Перейти к:
Вирилизирующая опухоль яичника: проблемы дифференциальной диагностики
https://doi.org/10.14341/probl10222
Аннотация
Опухоли из клеток Сертоли–Лейдига представляют собой довольно редкий вид новообразований яичников, относящихся к группе опухолей полового тяжа. Для данного вида новообразований характерны повышенная продукция андрогенов, приводящая к формированию так называемого вирильного синдрома, а также возможное сочетание с различными метаболическими нарушениями, такими как верхний тип ожирения, нарушения углеводного и белкового обмена, артериальная гипертензия.
Важным этапом дифференциально-диагностического поиска является установление источника избыточной продукции андрогенов. Андрогенпродуцирующую опухоль яичника следует дифференцировать с андрогенпродуцирующей опухолью надпочечника, стромальным текоматозом (гипертекозом) яичников, эндогенным гиперкортицизмом (синдромом Кушинга). В большинстве случаев опухоль из клеток Сертоли–Лейдига ассоциирована с носительством мутации гена DICER1, при выявлении которой необходимо проводить генетическое обследование родственников, так как пациенты с мутациями в этом гене имеют повышенный риск развития широкого спектра доброкачественных и злокачественных опухолей, большинство которых относительно редки в общей популяции.
Осведомленность специалистов (акушеров-гинекологов, эндокринологов, онкологов) об этом редко встречающемся новообразовании яичника должна обеспечить своевременную диагностику и адекватное лечение заболевания.
Ключевые слова
Для цитирования:
Калашникова М.Ф., Лиходей Н.В., Тюльпаков А.Н., Федорова Е.В., Брюнин Д.В., Бахвалова А.А., Глушакова М.А., Смирнова С.А., Фадеев В.В. Вирилизирующая опухоль яичника: проблемы дифференциальной диагностики. Проблемы Эндокринологии. 2019;65(4):273-277. https://doi.org/10.14341/probl10222
For citation:
Kalashnikova M.F., Likhodey N.V., Tiulpakov A.N., Fedorova E.V., Bryunin D.V., Bakhvalova A.A., Glushakova M.A., Smirnova S.A., Fadeyev V.V. Virilizing ovarian tumor: the challenges of differential diagnosis. Problems of Endocrinology. 2019;65(4):273-277. https://doi.org/10.14341/probl10222
Актуальность
Согласно американской базе данных, частота новых случаев опухолей яичников составляет 11,7:100 000 женщин в год. Андробластома, известная еще как опухоль из клеток Сертоли–Лейдига, относится к группе опухолей полового тяжа и является довольно редким заболеванием – 0,5% всех опухолей яичников [1]. Это новообразование за счет избыточной продукции тестостерона приводит к формированию синдрома гиперандрогении (вирильного синдрома), который включает такие симптомы, как избыточный рост волос по мужскому типу (гирсутизм), снижение тембра голоса (барифония), андрогенную алопецию, нарушение менструального цикла по типу олигоменореи/вторичной аменореи, увеличение размеров клитора. При сочетании гиперандрогении с различными проявлениями метаболического синдрома (верхний тип ожирения, артериальная гипертензия, нарушение толерантности к глюкозе, дислипидемия) необходимо исключать такие заболевания, как эндогенный гиперкортицизм (синдром Кушинга), гипертекоз (стромальный текоматоз) яичников, андрогенпродуцирующую опухоль надпочечника. Опухоли яичника из клеток Сертоли–Лейдига в большинстве случаев ассоциированы с носительством мутации гена DICER1, что требует проведения генетического исследования у данных пациенток.
Описание случая
Пациентка Ш., 43 лет, впервые обратилась в клинику эндокринологии №1 Первого МГМУ им. И.М. Сеченова в августе 2017 г. с жалобами на отсутствие менструации, избыточный рост волос на лице и теле, выпадение волос на голове по мужскому типу, избыточный вес тела, повышение АД до 180/100 мм рт.ст. Из анамнеза известно, что у пациентки менструации регулярные до 37 лет. С 38 лет – вторичная аменорея, появился избыточный рост волос в андрогензависимых зонах, угревые высыпания на лице, груди, спине. В 40 лет самостоятельно начала прием комбинированного орального контрацептива (ципротерона ацетат 2 мг + этинилэстрадиол 2 мг), который принимала до 42 лет. Имела место менструальноподобная реакция. С 30 лет пациентка отмечала постепенную прибавку массы тела; вес при госпитализации – 100 кг. В возрасте 40 лет выявлено повышение уровня тестостерона до 19,5 нмоль/л (норма 0,5–4,3); Уровни ТТГ, ЛГ, ФСГ, пролактина оставались в пределах референсных диапазонов. С 40 лет отмечает повышение АД максимально до 180/100 мм рт.ст.
При осмотре отмечены избыточный рост волос на лице и на теле (26 баллов по шкале Ферримана–Голлвея), гиперемия лица, акне на лице, груди, спины; выпадение волос на голове, преимущественно в лобно-теменной области, чрезмерное развитие подкожно-жировой клетчатки с распределением по центрипетальному типу, стрии розового цвета на животе. ИМТ = 37,2 кг/м2 (рис. 1, 2, см. на цв. вклейке).
Рис. 1. Внешний вид пациентки Ш. до операции – избыточный рост волос на лице и на теле.
Рис. 2. Внешний вид пациентки Ш. до операции – гиперемия и угревая сыпь на спине, выпадение волос на голове, чрезмерное развитие подкожно-жировой клетчатки на животе.
При обследовании выявлено значительное повышение уровня общего тестостерона до 35,3 нмоль/л), андростендиона до 20,9 нмоль/л (норма 1,0–11,5), эстрадиола до 347 пмоль/л (норма 0–118/л); снижение уровня ЛГ до 0,08 мЕД/мл (норма 5–20) и ФСГ до 0,5 мЕД/мл (норма 5–20). Содержание 17-гидроксипрогестерона и ДГЭA-C – в пределах референсных значений. При гинекологическом осмотре: гипертрофия клитора, увеличение размера матки. Левый яичник также увеличен в размере. Учитывая наличие клинической картины выраженного вирильного синдрома, значительно повышенный уровень общего тестостерона на фоне нормального содержания дегидроэпиандрон-сульфат (ДГЭA-C), пациентке было проведено УЗИ органов малого таза. Выявлены увеличенные размеры матки до 61×52×75 мм за счет множественных миомных узлов, структурные изменения и увеличение левого яичника (43×27×42 мм). Диагностированы опухолевые образования левого яичника, миомы матки (рис. 3).
Рис. 3. УЗИ органов малого таза. Увеличение размеров и структурные изменения левого яичника (43×27×42 мм). Увеличение матки (61×52×75 мм), миомы матки разных размеров.
По данным ночного подавляющего теста с 1 мг дексаметазона: кортизол – 148 нмоль/л (норма <50). Циркадный ритм секреции кортизола и АКТГ не были нарушены. По данным биохимического анализа крови: гликированный гемоглобин – 6,1٪ (норма до 6,5٪); результаты ПГТТ: глюкоза натощак – 6,8 ммоль/л, через 120 мин – 5,7 ммоль/л.
Несмотря на ряд клинических проявлений гиперкортицизма (матронизм, ожирение с перераспределением подкожно-жировой клетчатки по центрипетальному типу, стрии в области живота, нарушение менструального цикла, нарушение гликемии натощак, артериальная гипертензия), а также отрицательный результат подавляющего теста с 1 мг дексаметазона, состояние было расценено как андрогенпродуцирующая опухоль левого яичника. Нормальный уровень ДГЭА-С и отсутствие патологических изменений надпочечников по данным КТ позволяли исключить андрогенпродуцирующую опухоль надпочечника(-ов).
Лечение
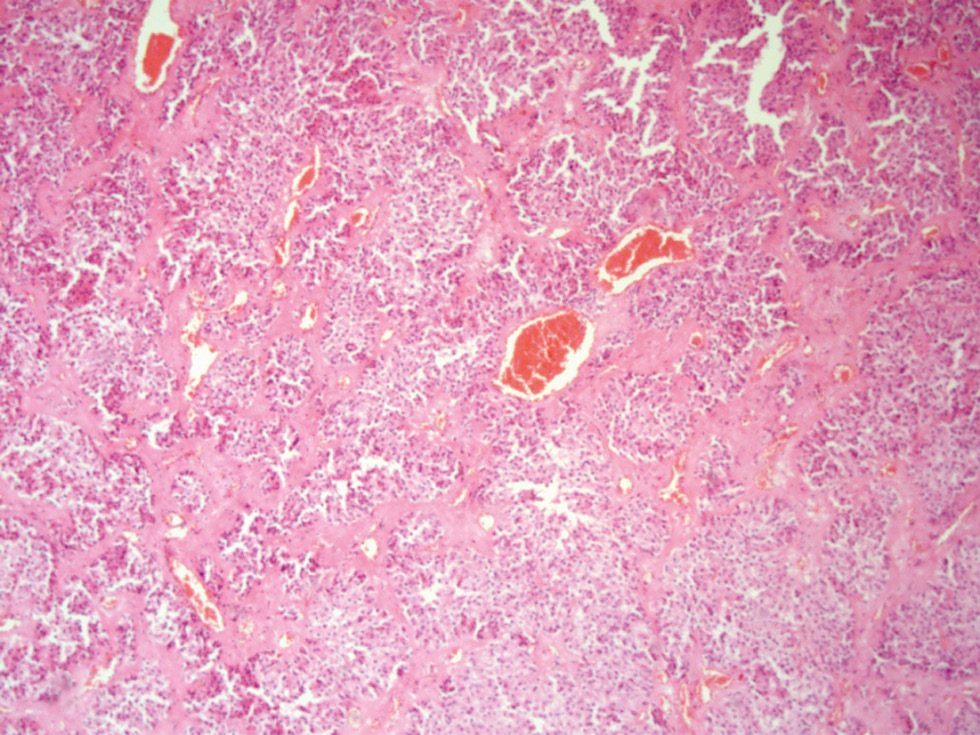
Выполнена лапароскопическая экстирпация матки с придатками. По данным гистологического исследования: опухоль левого яичника, состоящая из однородных солидных или полых трубчатых структур, выстланных клетками Сертоли; в соединительнотканной строме между этими структурами имеется различное число клеток Лейдига, которые содержат липофусцин; митозы встречаются редко (рис. 4, см. на цв. вклейке).
Через 2 мес после операции было выявлено значительное снижение уровня тестостерона до 0,8 нмоль/л, андростендиона до 1,6 нмоль/л по сравнению с дооперационным периодом. Отмечалась положительная динамика: снижение роста волос в андрогензависимых зонах, побледнение стрий, исчезновение акне, повышение тембра голоса, нормализация артериального давления. Повторно проведен ночной подавляющий тест с 1 мг дексаметазона: уровень кортизола составил 29 нмоль/л. При ПГТТ нарушений углеводного обмена не выявлено.
Рис. 4. Высокодифференцированная опухоль яичника из клеток Сертоли–Лейдига. Окраска гематоксилином и эозином, ×50.
Через 2 года после операции отмечено снижение веса пациентки на 17 кг, исчезновение угревых высыпаний на лице и теле (рис. 5, см. на цв. вклейке); избыточный рост волос по мужскому типу на лице сохранялся, тогда как на груди и спине стержневые волосы отсутствуют (рис. 6, 7, см. на цв. вклейке).
Рис. 5. Внешний вид пациентки Ш. спустя 2 года после операции – отсутствие угревых высыпаний на лице.
Рис. 6. Внешний вид пациентки Ш. спустя 2 года после операции – отсутствие угревых высыпаний, оволосения на спине.
Рис. 7. Внешний вид пациентки Ш. спустя 2 года после операции – отсутствие угревых высыпаний, оволосения на груди, на животе.
Для уточнения этиологии заболевания проведен молекулярно-генетический анализ методом секвенирования следующего поколения (NGS). Использовалась разработанная в отделении наследственных эндокринопатий ФГБУ ЭНЦ панель праймеров Ion Ampliseq Custom DNA Panel («LifeTechnologies», США), охватывающая кодирующие области следующих генов: SDHB, SDHC, CDKN2C, MEN1, AIP, SDHD, CDKN1B, DICER1, PRKAR1A, PRKCA, GNAS, POU1F1, PTTG2, SDHA, CDKN2A. В качестве референсной последовательности кодирующей области гена DICER1 использовался транскрипт NM_177438.2. Заключение: мутаций в гене DICER1 не выявлено.
Дифференциальный диагноз
Синдром гиперандрогении у женщин, страдающих верхним типом ожирения, артериальной гипертензией, нарушениями углеводного обмена, может быть обусловлен наличием андрогенпродуцирующей опухоли яичника или надпочечника, стромальным текоматозом яичников, а также эндогенным гиперкортицизмом.
На фоне значительного повышения уровня общего тестостерона интерпретация результатов подавляющего теста с 1 мг дексаметазона может приводить к ложноположительным результатам.
Проведенное первичное дифференциально-диагностическое обследование заставило проанализировать факторы, влияющие на чувствительность и специфичность подавляющего теста с 1 мг дексаметазона. Несмотря на то что в практике чаще используется именно данный тест, у него есть ряд ограничений [2]. Ложноположительный результат могут давать псевдокушингоидные состояния, прием ряда лекарственных препаратов (усиливающих/подавляющих активность цитохрома Р450 3А4), беременность, нарушения порядка проведения пробы, перекрестная реактивность при использовании глюкокортикоидов. Ложноотрицательный результат могут давать тяжелые соматические заболевания, патология печени и почек, выраженное ожирение. На основании результатов обследования можно предположить, что на специфичность ночного подавляющего теста с 1 мг дексаметазона также влияет высокий уровень тестостерона, синтезируемый андробластомой яичника.
Стромальный текоматоз яичников (в иностранной литературе чаще используется термин «гипертекоз яичников») является одной из форм овариальной гиперандрогении неопухолевого генеза, развивающейся преимущественно у женщин репродуктивного возраста и приводящей к развитию вирильного синдрома [3]. От синдрома поликистозных яичников стромальный текоматоз отличается гиперплазией межуточной (стромальной) ткани яичников и появлением в ней вне связи с фолликулами групп эпителиоидных клеток, формирующих очаги текоматоза различной формы и величины [4]. Клиническими особенностями стромального текоматоза яичников являются выраженный вирильный синдром, первичная или вторичная аменорея, а также частое сочетание с различными метаболическими нарушениями («верхним» типом ожирения, нарушениями углеводного обмена, артериальной гипертензией и черным акантозом – дерматологическим маркером инсулинорезистентности). Клинические проявления заболевания развиваются постепенно; при УЗИ органов малого таза выявляются двусторонние изменения яичников, а при гормональном исследовании – нормальные уровни ДГЭА-С и 17-гидроксипрогестерона.
Симптоматика вирилизирующей опухоли надпочечников сходна с таковой вирилизирующей опухоли яичников. Критериями диагноза являются высокий уровень ДГЭА-С и наличие опухолевого образования в надпочечнике.
Обсуждение
Андробластома яичника была впервые описана в 1905 г. L. Pick [5]. С тех пор были описаны различные варианты развития, клиники и лечения опухолей из клеток Сертоли–Лейдига, которые чаще диагностируются в молодом возрасте (до 40 лет) [6, 7].
В 2014 г. H. Zhang и соавт. [8] описали 16 случаев опухолей яичников из клеток Сертоли–Лейдига; пациентки наблюдались в течение 10 лет. Наиболее распространенной жалобой было отсутствие менструаций или нерегулярный менструальный цикл, избыточная масса тела, наблюдались признаки вирилизации. У всех женщин опухоли были оперативно удалены, у 11 пациенток обнаружили низкодифференцированную опухоль, в связи с чем после оперативного вмешательства была проведена химиотерапия. У всех пациенток через 10 лет наблюдались стойкая ремиссия и обратное развитие первичных симптомов.
В 2008 г. A. Warenik-Szymankiewicz и соавт. [9] описали случай двусторонней андробластомы яичников у девочки 17 лет. У пациентки наблюдались вторичная аменорея, гирсутизм и акне. При лапаротомии выявили опухоли размером 40×30×20 мм в правом яичнике и 10 мм в диаметре в левом яичнике.
В 2009 г. D. Hill и др. [10] показали, что мутации в гене DICER1 приводят к развитию плевропульмональной бластомы. Это дало толчок к активному изучению роли гена DICER1 в канцерогенезе. Было доказано, что этот ген подавляет опухолевый рост.
Ген DICER1 расположен на 14-й хромосоме в положении q32,13 и кодирует белок DICER эндорибонуклеазы семейства рибонуклеаз III. Эндорибонуклеаза DICER была открыта E. Bernstein и соавт. в 2001 г. [11]; она расщепляет предшественник микроРНК с образованием активной микроРНК. МикроРНК играют большую роль в регуляции клеточной пролиферации и апоптоза. В ходе апоптоза ген DICER1 инициирует расщепление хромосомной ДНК, что является ключевым моментом в контролируемой гибели клеток.
Мутации в гене DICER1 приводят к его инактивации и нарушению процессинга определенных видов микроРНК, что может сопровождаться возникновением различных опухолей. Люди с мутациями DICER1 в зародышевой линии клеток подвергаются повышенному риску развития доброкачественных и злокачественных опухолей, таких как кистозная нефрома, почечная саркома, опухоль Вильмса, узловая гиперплазия и рак щитовидной железы, плевропульмональная бластома, андрогенпродуцирующие опухоли яичников. При выявлении мутации в гене DICER1 необходимо проводить генетическое обследование родственников больного, так как герминальные мутации в этом гене повышают риск развития широкого спектра опухолей, большинство которых в общей популяции относительно редки [12–14].
В настоящее время используется термин DICER1-синдром – редкое генетическое заболевание, ассоциированное с повышенным риском развития целого ряда злокачественных и доброкачественных новообразований в результате герминальных мутаций в гене DICER1.
В 2016 г. описан случай маскулинизации девочки 11 лет, у которой была обнаружена опухоль клеток Сертоли–Лейдига яичников, при УЗИ щитовидной железы визуализировались узлы, в аспирате которых была обнаружена цитологическая атипия [15]. При молекулярно-генетическом анализе были найдены мутации в гене DICER1.
В 2017 г. K. Schultz и др. [6] описали 49 случаев опухолей из клеток Сертоли–Лейдига. У 36 из 37 обследуемых была обнаружена мутация в гене DICER1. У трех человек были обнаружены герминальные мутации в этом гене. У таких пациентов существует высокий риск развития метахронных опухолей. У остальных 33 человек DICER1-ассоциированная мутация находилась в точке доступа к домену РНКазы IIIb.
Таким образом, почти все опухоли полового тяжа связаны с мутацией в гене DICER1. Скрининг таких мутаций может способствовать раннему выявлению соответствующих опухолей.
В описываемом нами случае у пациентки не было выявлено мутации гена DICER1. Однако это не исключает диагноза DICER1-синдрома, так как изменение нуклеотидной последовательности могло затрагивать некодирующие участки гена (интроны, регуляторные области), которые не были проанализированы при использованном методе ДНК-анализа. С другой стороны, возможно, что развитие опухоли у пациентки связано с другими молекулярными механизмами, отличными от первичного дефекта гена DICER1.
Заключение
Описанный клинический случай демонстрирует этапы диагностического поиска при вирильном синдроме и способствует большей осведомленности специалистов (акушеров-гинекологов, эндокринологов, онкологов) в данной области.
В большинстве случаев опухоль из клеток Сертоли–Лейдига ассоциирована с носительством мутации гена DICER1, которая может приводить к развитию целого ряда злокачественных и доброкачественных новообразований. Необходим дальнейший мониторинг возможных проявлений DICER1-синдрома у данной пациентки, что позволит оценить долгосрочный прогноз заболевания.
Дополнительная информация
Согласие пациента. Пациентка добровольно подписала информированное согласие на публикацию персональной медицинской информации в обезличенной форме в этом журнале.
Конфликт интересов. Авторы декларируют отсутствие явных и потенциальных конфликтов интересов, связанных с публикацией настоящей статьи.
Участие авторов. Все авторы внесли значимый вклад в наблюдение пациентки и подготовку статьи, прочли и одобрили финальную версию до публикации.
Список литературы
1. Tandon R, Goel P, Saha PK, et al. A rare ovarian tumor – Sertoli–Leydig cell tumor with heterologous element. MedGenMed. 2007;9(4):44.
2. Дзеранова Л.К., Панкратова Ю.В., Белая Ж.Е., и др. Гиперкортицизм и метаболический синдром: сложности дифференциальной диагностики и лечения // Ожирение и метаболизм. – 2012. – Т.9. – №2. – С. 57–61. [Dzeranova LK, Pankratova YuV, Belaya ZE, et al. Giperkortitsizm i metabolicheskiy sindrom: slozhnosti differentsial’noy diagnostiki i lecheniya. Obesity and metabolism. 2012;9(2):57–61. (In Russ).] doi: https://doi.org/10.14341/omet2012257-61
3. Мальцева М.Ф., Пищулин А.А., Бронштейн М.Э. Стромальный текоматоз яичников (Обзор литературы) // Проблемы эндокринологии. – 1996. – Т.42. – №3. – С. 40–45. [Maltseva MF, Pishchulin AA, Bronshtein ME. Stromal’nyi tekomatoz yaichnikov (Obzor literatury). Problems of endocrinology. 1996;42(3):40–45. (In Russ).]
4. Бронштейн М.Э. Гистологические и гистохимические изменения в яичниках при синдроме Штейна–Левенталя: Автореф. дис. … канд. биол. наук. – М.; 1968. – 17 с. [Bronshtein ME. Gistologicheskie i gistokhimicheskie izmeneniya v yaichnikakh pri sindrome Shteina–Leventalya [dissertation abstract] Moscow; 1968. 17 p. (In Russ).] Доступно по: https://search.rsl.ru/ru/record/01005986402. Ссылка активна на 30.07.2019.
5. Pick L. Ueber neubildungen am genital bei zwittern. Archiv für Gynäkologie. 1905;76(2):191–281. doi: https://doi.org/10.1007/bf01834723.
6. Schultz KA, Harris AK, Finch M, et al. DICER1-related Sertoli–Leydig cell tumor and gynandroblastoma: clinical and genetic findings from the International Ovarian and Testicular Stromal Tumor Registry. Gynecol Oncol. 2014;147(3):521–527. doi: https://doi.org/10.1016/j.ygyno.2017.09.034.
7. Poiana C, Virtej I, Carsote M, et al. Virilising Sertoli–Leydig cell tumour associated with thyroid papillary carcinoma: case report and general considerations. Gynecol Endocrinol. 2010;26(8):617–622. doi: https://doi.org/10.3109/09513591003686361.
8. Zhang HY, Zhu JE, Huang W, Zhu J. Clinicopathologic features of ovarian Sertoli–Leydig cell tumors. Int J Clin Exp Pathol. 2014;7(10):6956–6964.
9. Meczekalski B, Podfigurna-Stopa A, Warenik-Szymankiewicz A, Genazzani AR. Functional hypothalamic amenorrhea: current view on neuroendocrine aberrations. Gynecol Endocrinol. 2008;24(1):4–11. doi: https://doi.org/10.1080/09513590701807381.
10. Hill DA, Ivanovich J, Priest JR, et al. DICER1 mutations in familial pleuropulmonary blastoma. Science. 2009;325(5943):965. doi: https://doi.org/10.1126/science.1174334.
11. Bernstein E, Caudy AA, Hammond SM, Hannon GJ. Role for a bidentate ribonuclease in the initiation step of RNA interference. Nature. 2001;409(6818):363–366. doi: https://doi.org/10.1038/35053110.
12. Robertson JC, Jorcyk CL, Oxford JT. DICER1 syndrome: DICER1 mutations in rare cancers. Cancers (Basel). 2018;10(5):E143. doi: https://doi.org/10.3390/cancers10050143.
13. Slade I, Bacchelli C, Davies H, et al. DICER1 syndrome: clarifying the diagnosis, clinical features and management implications of a pleiotropic tumour predisposition syndrome. J Med Genet. 2011;48(4):273–278. doi: https://doi.org/10.1136/jmg.2010.083790.
14. Doros L, Schultz KA, Stewart DR, et al. DICER1-related disorders. In: Pagon RA, Adam MP, Ardinger HH, et al., editors. Gene Reviews® [Internet]. Seattle, WA: University of Washington, Seattle; 1993-2019. Available from: https://www.ncbi.nlm.nih.gov/books/NBK196157/
15. Canfarotta M, Riba-Wolman R, Orsey AD, et al. DICER1 syndrome and thyroid disease. J Pediatr Surg Case Rep. 2016;11:31–34. doi: 10.1016/j.epsc.2016.05.014.
Об авторах
Марина Федоровна КалашниковаРоссия
к.м.н., доцент
Наталья Вячеславовна Лиходей
Россия
Врач-эндокринолог Кафедры и клиники эндокринологии
Анатолий Николаевич Тюльпаков
Россия
доктор медицинских наук, директор института персонализированной медицины
Евгения Викторовна Федорова
Россия
к.м.н., доцент
Дмитрий Викторович Брюнин
Россия
д.м.н., профессор
Алла Алексеевна Бахвалова
Россия
к.м.н
Мария Андреевна Глушакова
Россия
студент 6 курс Лечебный Факультет
Светлана Алексеевна Смирнова
Россия
студент 6 курс Лечебный Факультет
Валентин Викторович Фадеев
Россия
д.м.н., профессор, член-корр. РАН
Дополнительные файлы
|
|
1. Рис. 1. Внешний вид пациентки Ш. до операции – избыточный рост волос на лице и на теле. | |
| Тема | ||
| Тип | Прочее | |
Посмотреть
(160KB)
|
Метаданные ▾ | |
|
|
2. Рис. 2. Внешний вид пациентки Ш. до операции – гиперемия и угревая сыпь на спине, выпадение волос на голове, чрезмерное развитие подкожно-жировой клетчатки на животе. | |
| Тема | ||
| Тип | Прочее | |
Посмотреть
(106KB)
|
Метаданные ▾ | |
|
|
3. Рис. 3. УЗИ органов малого таза. Увеличение размеров и структурные изменения левого яичника (43×27×42 мм). Увеличение матки (61×52×75 мм), миомы матки разных размеров. | |
| Тема | ||
| Тип | Прочее | |
Посмотреть
(139KB)
|
Метаданные ▾ | |
|
|
4. Рис. 4. Высокодифференцированная опухоль яичника из клеток Сертоли–Лейдига. Окраска гематоксилином и эозином, ×50. | |
| Тема | ||
| Тип | Прочее | |
Посмотреть
(293KB)
|
Метаданные ▾ | |
|
|
5. Рис. 5. Внешний вид пациентки Ш. спустя 2 года после операции – отсутствие угревых высыпаний на лице. | |
| Тема | ||
| Тип | Прочее | |
Посмотреть
(84KB)
|
Метаданные ▾ | |
|
|
6. Рис. 6. Внешний вид пациентки Ш. спустя 2 года после операции – отсутствие угревых высыпаний, оволосения на спине. | |
| Тема | ||
| Тип | Прочее | |
Посмотреть
(109KB)
|
Метаданные ▾ | |
|
|
7. Рис. 7. Внешний вид пациентки Ш. спустя 2 года после операции – отсутствие угревых высыпаний, оволосения на груди, на животе. | |
| Тема | ||
| Тип | Прочее | |
Посмотреть
(131KB)
|
Метаданные ▾ | |
|
|
8. РИС.7. Внешний вид пациентки Ш.спустя 2 года после операции- отсутствие угревых высыпаний, оволосения на груди, на животе | |
| Тема | ||
| Тип | Прочее | |
Посмотреть
(939KB)
|
Метаданные ▾ | |
Рецензия
Для цитирования:
Калашникова М.Ф., Лиходей Н.В., Тюльпаков А.Н., Федорова Е.В., Брюнин Д.В., Бахвалова А.А., Глушакова М.А., Смирнова С.А., Фадеев В.В. Вирилизирующая опухоль яичника: проблемы дифференциальной диагностики. Проблемы Эндокринологии. 2019;65(4):273-277. https://doi.org/10.14341/probl10222
For citation:
Kalashnikova M.F., Likhodey N.V., Tiulpakov A.N., Fedorova E.V., Bryunin D.V., Bakhvalova A.A., Glushakova M.A., Smirnova S.A., Fadeyev V.V. Virilizing ovarian tumor: the challenges of differential diagnosis. Problems of Endocrinology. 2019;65(4):273-277. https://doi.org/10.14341/probl10222
Контент доступен под лицензией Creative Commons Attribution-NonCommercial-NoDerivatives 4.0 International License (CC BY-NC-ND 4.0).




































.jpg)

