Перейти к:
Гипогликемический синдром при эпителиоидной гемангиоэндотелиоме печени, успешное лечение — трансплантация печени от живого родственного донора
https://doi.org/10.14341/probl9461
Аннотация
Гипогликемический синдром встречается не только при эндокринных заболеваниях, он может осложнять течение многих соматических болезней и опухолей панкреатической и внепанкреатической локализации. Развитие гипогликемии при опухолях печени связывают с уменьшением объема функционирующей ткани печени, усиленным потреблением и утилизацией опухолевой тканью глюкозы, торможением глюконеогенеза и гликогенолиза, секрецией инсулиноподобных пептидов. Гипогликемия при опухолях печени редко бывает первым симптомом заболевания и обычно возникает при больших размерах опухоли и симптомах опухолевой интоксикации. Эпителиоидная гемангиоэндотелиома печени — первичное злокачественное новообразование из группы мезенхимальных опухолей, занимает менее 1% всех злокачественных новообразований печени. Клиническое течение эпителиоидной гемангиоэндотелиомы печени весьма вариабельно. Встречаются медленно и быстро прогрессирующие варианты. Диагноз основывается на результатах гистологического и иммуногистохимического исследования послеоперационного материала. В литературе отсутствует описание гипогликемии при эпителиоидной гемангиоэндотелиоме. Описан случай тяжелого гипогликемического синдрома, обусловленного большой эпителиоидной гемангиоэндотелиомой печени. Лечение гипогликемии лекарственными препаратами было неэффективно. Массивное билобарное поражение печени опухолью исключало возможность резекции. Гепатэктомия с сохранением нижней полой вены и трансплантация правой половины печени от живого родственного донора позволили сохранить жизнь больному и устранить гипогликемию.
Ключевые слова
Для цитирования:
Бондарь И.А., Чесноченко Л.И., Шабельникова О.Ю., Поршенников И.А. Гипогликемический синдром при эпителиоидной гемангиоэндотелиоме печени, успешное лечение — трансплантация печени от живого родственного донора. Проблемы Эндокринологии. 2019;65(1):50-56. https://doi.org/10.14341/probl9461
For citation:
Bondar I.A., Chesnochenko L.I., Shabelnikova O.Yu., Porshennikov I.A. Hypoglycemic syndrome in hepatic epithelioid hemangioendothelioma, successful treatment — liver transplantation from a living related donor. Problems of Endocrinology. 2019;65(1):50-56. https://doi.org/10.14341/probl9461
Гипогликемический синдром встречается не только при эндокринных заболеваниях; он может осложнять течение многих соматических болезней и опухолей панкреатической и внепанкреатической локализации. Наиболее часто гипогликемии развиваются у больных с мезенхимальными опухолями и при гепатоцеллюлярном раке печени — от 4% в Северной Америке до 27% в Гонконге [1]. Гепатоцеллюлярный рак диагностируется более чем в 80% всех опухолей печени; за последние 20 лет частота этого рака возросла на 62% [2]. Развитие гипогликемии при опухолях печени связывают с уменьшением объема функционирующей ткани печени, усиленным потреблением и утилизацией опухолевой тканью глюкозы, торможением глюконеогенеза и гликогенолиза, секрецией инсулиноподобных пептидов (ИФР) [3, 4]. Гипогликемия при опухолях печени редко бывает первым симптомом заболевания и обычно возникает при больших размерах опухоли и симптомах опухолевой интоксикации [5].
Эпителиоидная гемангиоэндотелиома печени — первичное злокачественное новообразование из группы мезенхимальных опухолей, встречается менее чем в 1% случаев всех злокачественных новообразований печени. Частота составляет 1 случай на 100 000 населения в год [6, 7], поэтому возможности изучения клиники данного новообразования ограничены. Клиническое течение эпителиоидной гемангиоэндотелиомы печени весьма вариабельно. Встречаются медленно и быстро прогрессирующие варианты. Диагноз основывается на результатах гистологического исследования послеоперационного материала и иммуногистохимического исследования, которые подтверждают эндотелиальную структуру опухоли, экспрессирующую антиген, связанный с фактором VIII (vWF), CD31 и CD34 [8, 9]. В литературе отсутствует описание гипогликемии при эпителиоидной гемангиоэндотелиоме.
Представлено описание случая гипогликемии как раннего симптома эпителиоидной гемангиоэндотелиомы печени, успешно излеченной путем ортотопической трансплантации фрагмента печени от родственного донора.
Описание случая
Больной С., 35 лет, житель Новосибирской области, находился на лечении в эндокринологическом отделении и отделении трансплантации органов ГБУЗ НСО «Государственная Новосибирская областная клиническая больница» (ГНОКБ) (главный врач — А.В. Юданов) в июне 2016 г.
При поступлении предъявлял жалобы на периодические приступы слабости, дрожи, потливости, заторможенности и сонливости. Приступы возникали ежедневно, преимущественно в ночные и утренние часы. Пациент купировал и предупреждал эти состояния частым приемом сладких продуктов.
Анамнез жизни: до 29-летнего возраста считал себя здоровым, работал. После травмы головы в 2010 г. появились постоянная, интенсивная головная боль, шаткая походка. При обследовании в нейрохирургическом отделении ФГБУ «Новосибирский научно-исследовательский институт травматологии и ортопедии» (НИИТО) по результатам МРТ головного мозга с контрастированием установлен диагноз: менингиома правой теменной области с явлениями начального вклинивания в тенториум и большое затылочное отверстие. Выполнены декомпрессионная трепанация, парциальное удаление гигантской парасагиттальной менингиомы правой теменной доли. Гистологически — атипическая менингиома смешанного строения (ангиматозная, псаммоматозная) с признаками активного роста. Через полгода проведен второй этап оперативного лечения — полное удаление менингиомы, затем курс лучевой терапии, в 2012 г. — краниопластика. Ежегодно пациент проходил обследование в НИИТО. При МРТ головного мозга в 2016 г. данных за рецидив опухоли не выявлено.
Анамнез заболевания: в феврале 2016 г. появились приступы слабости, утомляемости, потливости, дрожи в теле. Больной не придавал значения изменениям своего состояния, в лечебные учреждения не обращался. Через 2 мес впервые возник приступ генерализованных тонических судорог, которые были расценены как симптоматическая эпилепсия после лечения менингиомы. При обследовании зафиксирована гипогликемия натощак — 1,4 ммоль/л. Для уточнения причины гипогликемии был направлен в эндокринологическое отделение ГНОКБ.
При осмотре общее состояние удовлетворительное. Сознание ясное, телосложение нормостеническое. Температура тела 36,6 °C. Масса тела 77 кг, рост 180 см, ИМТ 23 кг/м2. Кожный покров физиологической окраски, влажный, чистый, тургор и эластичность сохранены. Подкожная клетчатка выражена умеренно, распределена равномерно. Лимфатические узлы не увеличены. Щитовидная железа не увеличена. ЧДД 19 в 1 мин. Дыхание везикулярное, хрипов нет. Пульс 78 уд/мин, хорошего напряжения и наполнения. АД 130/90 мм рт.ст. Тоны сердца ясные, ритмичные. Язык влажный, чистый. Живот увеличен в объеме, при пальпации мягкий, безболезненный. В правом подреберье пальпируется бугристое образование, плотной консистенции, безболезненное, диаметром 10 см. Печень выступает из-под реберного края на 5 см, размер по Курлову 20×16×14 см. Кишечные шумы выслушиваются четко. Стул регулярный, оформленный. Селезенка не пальпируется. Периферических отеков нет.
Предварительный диагноз: гипогликемический синдром неясного генеза. Требовалось уточнить характер гипогликемии — голодовая или реактивная, с повышением или без повышения уровня инсулина. Учитывая операцию по поводу менингиомы в анамнезе, необходимо было исключить вторичную хроническую надпочечниковую недостаточность, а также исключить инсулиному, опухолевый или метастатический процесс.
Больному был рекомендован прием быстрых углеводов каждые 1–2 ч, на ночь назначался дексаметазон 4 мг в/м; 2–3 раза в день при приступах гипогликемии вводилось 40 мл 40% раствора глюкозы. Несмотря на лечение, гипогликемические состояния возникали до 2 раз в сутки. Гликемия (по глюкометру) снижалась ночью и в течение дня до 2,0–2,2 ммоль/л.
В общем анализе крови наблюдалась тромбоцитопения до 133·109/л, других изменений не было. Выявлено повышение уровня гаммаглютамилтранспептидазы до 103,3 Ед/л, щелочной фосфатазы до 142,2 Ед/л, АЛТ до 64 Ед/л; остальные показатели — в норме: билирубин 13 мкмоль/л, белок общий 69,5 г/л, мочевина 2,1 ммоль/л, креатинин 59,0 мкмоль/л, калий 3,88 ммоль/л, натрий 146,2 ммоль/л, гликированный гемоглобин 4,7%. Инсулинома исключена на основании низкого уровня инсулина — 0,7 мкМЕ/мл (норма 1,9–23,0 мкМЕ/мл) и С-пептида — менее 0,01 нг/мл (норма 0,9–7,1 нг/мл). Содержание тиреоидных гормонов и кортизола в плазме — нормальное, что позволило исключить патологию гипофиза. Уровень онкомаркеров (альфа-фетопротеин 0,0 Ед/мл, раково-эмбриональный антиген 1,79 нг/мл) не выходил за пределы нормы. Пациенту выполнены МСКТ и МРТ органов брюшной полости с контрастированием, МСКТ органов грудной клетки.
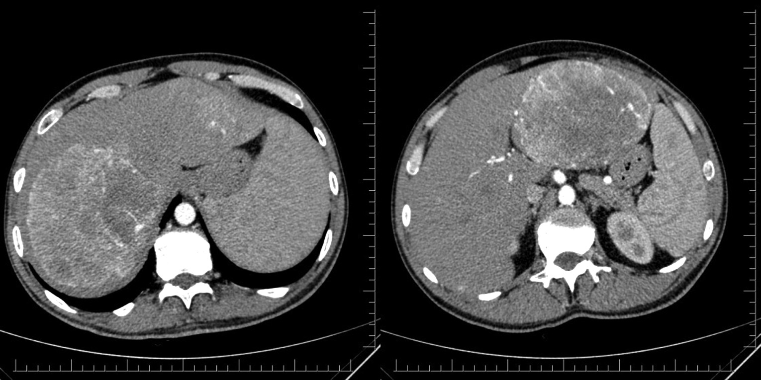
При МСКТ органов брюшной полости (рис. 1) в паренхиме печени определяются множественные разнокалиберные (от 2–3 мм в диаметре) округлые образования с неровными, четкими контурами, наиболее крупные имеют диаметр 13,2 см (правая доля) и 13 см (левая доля), их структура кистозно-солидная; в артериальную и венозную фазы контрастирования отмечается выраженное неравномерное накопление контрастного препарата, прослеживается развитая сосудистая сеть, других изменений органов брюшной полости и забрюшинного пространства не выявлено. Заключение: объемные гиперваскулярные образования в паренхиме печени.
Рис. 1. МСКТ брюшной полости: артериальная фаза (описание в тексте).
При динамической МРТ с контрастным усилением гадоксетовой кислотой (рис. 2) выявлены увеличенные размеры печени (вертикальный размер правой доли 24 см, левой доли 18 см, горизонтальный 21 см), контуры четкие, ровные, при контрастном усилении интактная паренхима повышает плотность максимально в портальную и гепатоспецифическую фазы, в Sg7–8 печени визуализировано патологическое тканевое образование шаровидной формы, с максимальным размером 12×13 см, с неровными крупнобугристыми контурами, неоднородное по структуре, в Sg2–3 визуализировано аналогичное патологическое тканевое образование шаровидной формы 9×13 см; оба образования максимально интенсивно аккумулируют контрастный препарат в артериальную фазу, в паренхиме печени визуализированы многочисленные шаровидной формы разнокалиберные очаги (от 5 до 20 мм в диаметре) с четкими и ровными контурами, однородные по структуре, других изменений органов брюшной полости и забрюшинного пространства не выявлено. Заключение: томографические признаки соответствуют гепатоцеллюлярной карциноме с множественным билобарным поражением.
Рис. 2. МРТ: динамическое сканирование печени в аксиальной проекции на импульсной последовательности LAVABHAsset с использованием гадоксетовой кислоты (описание в тексте).
При МСКТ органов грудной клетки отдаленных метастазов не выявлено.
Учитывая данные обследования, установлен диагноз: гепатоцеллюлярный рак в Sg2–3, Sg6–7–8 нормальной печени с множественными внутрипеченочными метастазами Т4NxM0; тяжелый гипогликемический синдром.
С учетом молодого возраста пациента, массивного билобарного поражения в отсутствие признаков диссеминации процесса и регионарного метастазирования, а также локализации опухоли в нормальной (цирротически не измененной) печени решено было использовать трансплантацию печени в качестве лечебной опции. Ввиду рисков имплантационного метастазирования и внутрибрюшного кровотечения из гиперваскуляризированных опухолей предоперационная пункционная биопсия с целью морфологической верификации диагноза не проводилась. Из-за непрогнозируемого времени нахождения пациента в листе ожидания принято решение об использовании фрагмента печени от родственного донора. В качестве потенциального донора обследован дядя пациента.
07.06.16 родственной паре выполнены операции. Операция у донора — правосторонняя гемигепатэктомия, без каких-либо технических особенностей. Краткое описание вмешательства у реципиента: лапаротомия по типу Mercedes, при ревизии брюшной полости печень без признаков цирротических изменений, значительно увеличена в размерах, в Sg2–3 и Sg6–7–8 определяются новообразования мягкоэластической консистенции диаметром около 13–14 см каждое, нет инвазии опухоли в портальные ворота, ретропеченочный сегмент нижней полой вены, в окружающие ткани и органы, нет признаков паракавальной и парапортальной лимфаденопатии, нет признаков канцероматоза и явлений портальной гипертензии. Выполнена гепатэктомия без резекции ретропеченочного сегмента нижней полой вены; масса удаленной печени составила 5 кг (рис. 3, на цв. вклейке). После гепатэктомии трансплантация правой половины печени от родственного донора без каких-либо технических особенностей. Операция у реципиента проводилась при постоянной внутривенной инфузии 10% раствора глюкозы; интраоперационная кровопотеря составила 1100 мл, продолжительность вмешательства — 10,5 ч. Сразу после удаления опухоли уровень глюкозы нормализовался (5,2–6,7–6,3–5,9 ммоль/л).
Рис. 3. Вид удаленной печени.
Печень без признаков цирротических изменений, значительно увеличена в размере, в Sg2–3 и Sg6–7–8 определяются мягкоэластической консистенции новообразования диаметром 13–14 см каждое, нет инвазии опухоли в портальные ворота. Масса удаленной печени 5 кг.
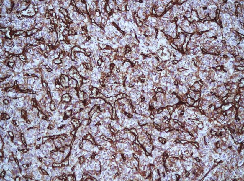
Гистологическое исследование удаленной печени: опухолевые узлы в печени представлены пролиферацией средней величины вытянутых и округло-овальных клеток с веретеновидными, овоидными и неправильной формы ядрами, митотическая активность низкая, опухолевые клетки растут солидно с формированием трабекул и сосочковых структур, в части полей зрения кавернозные полости, отмечается рост опухолевых клеток в просвет синусоидных сосудов, в отдельных препаратах ретикулиновый и коллагеновый фиброз, инфаркты. Заключение: эпителиоидная гемангиоэндотелиома обеих долей печени с мультифокальным ростом (2 узла 13 см, множественные узлы до 1 см), без признаков опухолевого роста в краях сосудов и удаленных лимфоузлах. При иммуногистохимическом исследовании (рис. 4, на цв. вклейке) обнаружена активная экспрессия клетками опухоли vWF, CD31, CD34, виментина, клетки не экспрессируют гладкомышечный актин, хромогранин A, CD117. Таким образом, гистологическое строение и иммунофенотип опухоли наиболее соответствовали эпителиоидной гемангиоэндотелиоме печени.
Рис. 4. Иммуногистохимическое исследование.
Опухолевые узлы в печени представлены пролиферацией средней величины вытянутых и округло-овальных клеток с веретеновидными, овоидными и неправильной формы ядрами, митотическая активность низкая. Опухолевые клетки растут как солидно, так и с формированием трабекул и сосочковых структур; в части полей зрения кавернозные полости. Отмечается рост опухолевых клеток в просвет синусоидных сосудов. Интенсивная экспрессия CD34 опухолью. ×200.
Заключительный клинический диагноз: эпителиоидная гемангиоэндотелиома, множественное билобарное поражение. Тяжелый гипогликемический синдром.
Течение послеоперационного периода гладкое, гликемия варьировала от 4,2 до 7,6 ммоль/л, гипогликемии отсутствовали. Иммуносупрессивная терапия инициирована по схеме: эверолимус de novo ± такролимус; применен бесстероидный протокол (быстрая редукция дозы стероидов с их полной отменой на 5-е сутки).
В течение 1 года 8 мес наблюдения за пациентом состояние его удовлетворительное, нет внепеченочных опухолей и признаков прогрессии заболевания. Концентрация эверолимуса поддерживается на уровне 5–7 нг/мл, такролимуса — 3–5 нг/мл.
Обсуждение
R. Yeung [5] описал два типа гипогликемии при гепатоцеллюлярной карциноме: гипогликемия типа А встречается при низкодифференцированных опухолях печени, гипогликемические состояния протекают легко или имеют среднюю тяжесть и появляются за 2 нед до смерти. Гипогликемия возникает в связи с выраженным поражением печени и низкими запасами гликогена. Гипогликемия типа В возникает при медленно растущих опухолях, протекает тяжело и сопровождается выраженным нарушением сознания, судорогами, осложняется комой. Этот тип гипогликемии вызван повышенным синтезом опухолевой тканью ИФР-2. В редких случаях гипогликемия является первым проявлением опухоли печени.
В настоящем наблюдении гипогликемия явилась ранним симптомом опухоли больших размеров, значительно замещающей паренхиму печени. При этом у больного не было печеночной недостаточности, опухолевой интоксикации. Анамнез заболевания у пациента короткий, клиническое течение гипогликемии первоначально характеризовалось приступами слабости, утомляемости, выраженной потливостью, парестезиями, дрожью, которые повторялись ежедневно и купировались легкоусвояемыми углеводами. Через 2 мес гипогликемия приобрела тяжелое течение — впервые возник приступ генерализованных тонических судорог, появились заторможенность, неадекватность поведения. Еще через 1 мес частота приступов увеличилась до 2–4 раз в сутки, что потребовало внутривенного введения 40% раствора глюкозы и глюкокортикоидов.
Для больных, страдающих голодовой гипогликемией в сочетании с внепанкреатическими опухолями, в отличие от инсулиномы характерно снижение уровня инсулина и С-пептида в плазме [10, 11]. Содержание инсулина и С-пептида у нашего пациента было низким. В литературе описаны клинические случаи гепатоцеллюлярного рака печени [12, 13], протекающего с гипогликемией. Патогенез гипогликемий связан с усиленным потреблением опухолью глюкозы. Наблюдается торможение глюконеогенеза вследствие влияния на печень токсичных продуктов, выделяемых опухолью. Не исключена роль цитокинов (ИЛ-1, альфа-интерферона, ФНО-альфа), которые избыточно высвобождаются из опухоли или макрофагов, активированных опухолью. Повышенный транспорт глюкозы в опухоль может опосредоваться онкогенами, которые повышают активность глюкозных транспортеров, локализованных внутри опухоли. У 50% больных с опухолями и гипогликемиями диагностирован повышенный уровень ИФР-1 и ИФР-2. У некоторых больных ИФР-2 и ИФР-2-связывающий белок типа 3 присутствуют в виде бинарного комплекса. Этот комплекс быстрее достигает тканей-мишеней, легче диссоциирует, приводя к увеличению свободного ИФР. Кроме того, ИФР-2 ингибирует секрецию глюкагона и СТГ, что снижает уровень глюкозы в крови. ИФР-1, подобно инсулину стимулирует поглощение глюкозы мышечной и жировой тканью [14, 15].
В литературе описаны гипогликемии при раке печени, но нами не найдено описания эпителиоидной гемангиоэндотелиомы в сочетании с гипогликемией.
Лечение гипогликемического синдрома при опухолях обычно сводится к приему быстроусвояемых углеводов. Методы лекарственной терапии малоэффективны. Приступ гипогликемии кратковременно может быть купирован внутривенным введением 40–60 мл 40% раствора глюкозы. Кортикостероиды (дексаметазон 2 мг или преднизолон до 40 мг в сутки) являются наиболее часто применяемыми лекарственными средствами. Однако в большинстве случаев достигается лишь временный эффект [5]. По мнению T. Thipaporn и соавт. [16], более эффективны стероиды длительного действия. C. Tsai и соавт. [13] наблюдали 42-летнюю женщину с тяжелой гипогликемией, которая явилась первым проявлением гепатоцеллюлярной карциномы. При КТ в печени выявлена опухоль диаметром 15 см с метастазами. Пероральный прием легкоусвояемых углеводов, введение раствора глюкозы и преднизолона не давали эффекта. Число эпизодов гипогликемии сократилось до 1 раза в месяц только после паллиативной лучевой терапии.
При внепанкреатических опухолях, сопровождающихся гипогликемией, не показано применение диазоксида для предоперационной подготовки, так как этот препарат тормозит секрецию инсулина β-клетками поджелудочной железы. При внепанкреатических опухолях уровень инсулина снижен [17]. Введение гормона роста, как и аналогов соматостатина, глюкагона, адреналина не сопровождается стойким повышением гликемии. Наиболее эффективное лечение гипогликемии, вызванной опухолью печени, связано с уменьшением объема опухоли с помощью хирургической циторедукции [18, 19], курсов химиотерапии и лучевой терапии [20], инъекций этанола [1]. При большом объеме опухоли резекция печени исключается.
Заключение
В представленном наблюдении для купирования и предупреждения гипогликемии использовалось несколько методов: частые приемы пищи (пациент в течение дня постоянно принимал быстроусвояемые углеводы), внутривенное введение 40 мл 40% раствора глюкозы, внутримышечное введение дексаметазона 2–4 мг/сут, преднизолона 30–60 мг/сут. Однако это лечение позволило лишь уменьшить частоту и тяжесть гипогликемии. В связи с большими размерами опухоли резекция печени исключалась и единственным шансом сохранения жизни больному была трансплантация печени. Пациенту были выполнены гепатэктомия и трансплантация печени от родственного донора в качестве радикального метода лечения с хорошим отдаленным результатом. Оперативное лечение полностью устранило гипогликемию.
Дополнительная информация
Дополнительные материалы к статье
Согласие пациента: пациент добровольно подписал информированное согласие на публикацию персональной медицинской информации в обезличенной форме в журнале «Проблемы эндокринологии».
Источник финансирования: подготовка статьи и поисково-аналитическая работа проведены на личные средства авторского коллектива.
Конфликт интересов: авторы декларируют отсутствие явных и потенциальных конфликтов интересов, связанных с публикацией настоящей статьи.
Участие авторов: все авторы были вовлечены в ведение пациента, внесли существенный вклад в проведение поисково-аналитической работы и подготовку статьи, прочли и одобрили финальную версию до публикации.
Список литературы
1. Saigal S, Nandeesh HP, Malhotra V, Sarin SK. A case of hepatocellular carcinoma associated with troublesome hypoglycemia: management by cytoreduction using percutaneous ethanol injection. Am J Gastroenterol. 1998;93(8):1380-1381. doi: https://doi.org/10.1111/j.1572-0241.1998.427_h.x
2. Perz JF, Armstrong GL, Farrington LA, et al. The contributions of hepatitis B virus and hepatitis C virus infections to cirrhosis and primary liver cancer worldwide. J Hepatol. 2006;45(4):529-538. doi: https://doi.org/10.1016/j.jhep.2006.05.013
3. Daughaday WH. Hypoglycemia due to paraneoplastic secretion of insulin-like growth factor-I. J Clin Endocrinol Metab. 2007;92(5):1616. doi: https://doi.org/10.1210/jc.2007-0378
4. Morbois-Trabut L, Maillot F, De Widerspach-Thor A, et al. «Big IGF-II»-induced hypoglycemia secondary to gastric adenocarcinoma. Diabetes Metab. 2004;30(3):276-279. doi: https://doi.org/10.1016/S1262-3636(07)70119-2
5. Yeung RT. Hypoglycaemia in hepatocellular carcinoma: a review. Hong Kong Med J. 1997;3(3):297-301.
6. Grotz TE, Nagorney D, Donohue J, et al. Hepatic epithelioid haemangioendothelioma: is transplantation the only treatment option? HPB (Oxford). 2010;12(8):546-553. doi: https://doi.org/10.1111/j.1477-2574.2010.00213.x
7. Hu HJ, Jin YW, Jing QY, et al. Hepatic epithelioid hemangioendothelioma: Dilemma and challenges in the preoperative diagnosis. World J Gastroenterol. 2016;22(41):9247-9250. doi: https://doi.org/10.3748/wjg.v22.i41.9247
8. D’Annibale M, Piovanello P, Carlini P, et al. Epithelioid hemangioendothelioma of the liver: case report and review of the literature. Transplant Proc. 2002;34(4):1248-1251. doi: https://doi.org/10.1016/S0041-1345(02)02751-3
9. Schiff ER, Maddrey WC, Rajender K. Schiff’s Diseases of the Liver. 8th ed. New York: Lippincott-Raven; 1999.
10. Sorlini M, Benini F, Cravarezza P, Romanelli G. Hypoglycemia, an atypical early sign of hepatocellular carcinoma. J Gastrointest Cancer. 2010;41(3):209-211. doi: https://doi.org/10.1007/s12029-010-9137-0
11. Benn JJ, Firth RG, Sonksen PH. Metabolic effects of an insulin-like factor causing hypoglycaemia in a patient with a haemangiopericytoma. Clin Endocrinol (Oxf). 1990;32(6):769-780. doi: https://doi.org/10.1111/j.1365-2265.1990.tb00924.x
12. Sharma M, Reddy DN, Kiat TC. Refractory Hypoglycemia Presenting as First Manifestation of Advanced Hepatocellular Carcinoma. ACG Case Rep J. 2014;2(1):50-52. doi: https://doi.org/10.14309/crj.2014.82
13. Tsai CY, Chou SC, Liu HT, et al. Persistent hypoglycemia as an early, atypical presentation of hepatocellular carcinoma: A case report and systematic review of the literature. Oncol Lett. 2014;8(4):1810-1814. doi: https://doi.org/10.3892/ol.2014.2365
14. Daughaday WH. Hypoglycemia due to paraneoplastic secretion of insulin-like growth factor-I. J Clin Endocrinol Metab. 2007;92(5):1616. doi: https://doi.org/10.1210/jc.2007-0378
15. Macaulay VM. Insulin-like growth factors and cancer. Br J Cancer. 1992;65(3):311-320.
16. Thipaporn T, Bubpha P, Varaphon V. Hepatocellular carcinoma with persistent hypoglycemia: successful treatment with corticosteroid and frequent high carbohydrate intake. J Med Assoc Thai. 2005;88(12):1941-1946.
17. Hoff AO, Vassilopoulou-Sellin R. The role of glucagon administration in the diagnosis and treatment of patients with tumor hypoglycemia. Cancer. 1998;82(8):1585-1592. doi: https://doi.org/10.1002/(SICI)1097-0142(19980415)82:8< 1585::AID-CNCR22>3.0.CO;2-#
18. Nikeghbalian S, Bananzadeh A, Yarmohammadi H. Hypoglycemia, the first presenting sign of hepatocellular carcinoma. Saudi Med J. 2006;27(3):387-388.
19. Le Roith D. Tumor-induced hypoglycemia. N Engl J Med. 1999; 341(10):757-758. doi: https://doi.org/10.1056/NEJM199909023411011
20. Yonei Y, Tanaka M, Ozawa Y, et al. Primary hepatocellular carcinoma with severe hypoglycemia: involvement of insulin-like growth factors. Liver. 1992;12(2):90-93. doi: https://doi.org/10.1111/j.1600-0676.1992.tb00563.x
Об авторах
Ирина Аркадьевна БондарьРоссия
д.м.н., проф.
Людмила Ивановна Чесноченко
Россия
к.м.н.
Олеся Юрьевна Шабельникова
Россия
к.м.н.
Иван Анатольевич Поршенников
Россия
к.м.н.
Дополнительные файлы
|
|
1. Рис. 1. МСКТ брюшной полости: артериальная фаза (описание в тексте). | |
| Тема | ||
| Тип | Исследовательские инструменты | |
Посмотреть
(193KB)
|
Метаданные ▾ | |
|
|
2. Рис. 2. МРТ: динамическое сканирование печени в аксиальной проекции на импульсной последовательности LAVABHAsset с использованием гадоксетовой кислоты (описание в тексте). | |
| Тема | ||
| Тип | Исследовательские инструменты | |
Посмотреть
(116KB)
|
Метаданные ▾ | |
|
|
3. Рис. 3. Вид удаленной печени. | |
| Тема | ||
| Тип | Исследовательские инструменты | |
Посмотреть
(74KB)
|
Метаданные ▾ | |
|
|
4. Рис. 4. Иммуногистохимическое исследование. | |
| Тема | ||
| Тип | Прочее | |
Посмотреть
(254KB)
|
Метаданные ▾ | |
Рецензия
Для цитирования:
Бондарь И.А., Чесноченко Л.И., Шабельникова О.Ю., Поршенников И.А. Гипогликемический синдром при эпителиоидной гемангиоэндотелиоме печени, успешное лечение — трансплантация печени от живого родственного донора. Проблемы Эндокринологии. 2019;65(1):50-56. https://doi.org/10.14341/probl9461
For citation:
Bondar I.A., Chesnochenko L.I., Shabelnikova O.Yu., Porshennikov I.A. Hypoglycemic syndrome in hepatic epithelioid hemangioendothelioma, successful treatment — liver transplantation from a living related donor. Problems of Endocrinology. 2019;65(1):50-56. https://doi.org/10.14341/probl9461
Контент доступен под лицензией Creative Commons Attribution-NonCommercial-NoDerivatives 4.0 International License (CC BY-NC-ND 4.0).




































.jpg)

