Preview

Проблемы Эндокринологии

Расширенный поиск

Устойчивая желудочковая тахикардия у пациента с единственным желудочком сердца и феохромоцитомой

Содержание

Перейти к:

Аннотация

Феохромоцитома – редкая опухоль, развивающаяся из адреномедуллярных хромаффинных клеток и продуцирующая один или несколько катехоламинов (адреналин, норадреналин, дофамин), редко – гормонально неактивная. Цианотические пороки сердца также являются относительно редкой патологией, и одним из наиболее редких их вариантов является единственный желудочек сердца. Предположительно, у пациентов с цианотическими пороками сердца частота встречаемости феохромоцитом и параганглиом может быть выше вследствие наличия определенных герминативных и соматических мутаций. При цианотических пороках сердца развитие злокачественных аритмий является одной из частых причин смерти. Казуистически редко сочетание феохромоцитом с единственным левым желудочком сердца: в литературе описано всего восемь таких случаев. Нами описан уникальный случай сочетания единственного левого желудочка сердца, феохромоцитомы и устойчивой желудочковой тахикардии у молодого пациента. Причиной желудочковой тахикардии, по всей видимости, в данном случае являлась неадекватная медикаментозная терапия (назначение верапамила). Проведение хирургического лечения феохромоцитомы и направление пациента на кардиохирургическое лечение стало возможно только после коррекции антигипертензивной и антиаритмической терапии: замены верапамила на комбинацию доксазозина и амиодарона с достижением синусового ритма и относительно удовлетворительных показателей АД.

Для цитирования:


Мелкозёров К.В., Кузнецов А.Б., Калашников В.Ю., Абдулхабирова Ф.М., Кузнецов С.Н., Горбачева А.М., Дедов И.И. Устойчивая желудочковая тахикардия у пациента с единственным желудочком сердца и феохромоцитомой. Проблемы Эндокринологии. 2019;65(2):107-112.

For citation:


Melkozerov K.V., Kuznetsov A.B., Kalashnikov V.Yu., Abdulkhabirova F.М., Kuznetsov S.N., Gorbacheva A.M., Dedov I.I. Sustained ventricular tachycardia in a patient with a single ventricle of the heart and a pheochromocytoma. Problems of Endocrinology. 2019;65(2):107-112.

Актуальность

Цианотические пороки сердца (ЦПС) – подгруппа врожденных нарушений нормальной анатомии сердца, которые проявляются вскоре после рождения признаками системной гипоксии и гипоксемии, обусловленными нарушениями внутрисердечной гемодинамики. Частота встречаемости врожденных пороков сердца среди новорожденных колеблется от 7,05 на 1000 новорожденных в европейской популяции до 13,08 на 1000 новорожденных в азиатской популяции. Во взрослой популяции врожденные пороки сердца встречаются с частотой 4,09 случая на 1000 человек [1, 2].

Феохромоцитома (ФХ) – опухоль, развивающаяся из адреномедуллярных хромаффинных клеток, продуцирующая один или несколько катехоламинов (адреналин, норадреналин, дофамин), редко – гормонально-неактивная [3]. Частота встречаемости ФХ у пациентов с артериальной гипертонией или инциденталомами надпочечника составляет соответственно 0,1 и 4% [4]. Встречаемость ФХ в общей популяции оценивается как 1 случай на 100 000 человек в год и менее [5–6].

Среди ЦПС одним из наиболее редких является единственный желудочек сердца. По данным L. Coats и соавт., опубликованным в 2015 г., частота встречаемости этого порока в Великобритании составляет 16 на 100 000 новорожденных, 2 на 100 000 взрослых [7]. Еще более редко его сочетание с феохромоцитомой: в литературе описано всего 8 таких случаев [8–14].

Интересно, что 70–80% пациентов с феохромоцитомами и параганглиомами (ПГ, производные вненадпочечниковых хромаффинных клеток нервного гребня) имеют определенное сочетание специфических герминативных и соматических мутаций. По данным Cancer Genome Atlas (TCGA), вовлеченные в эти комплексы мутаций гены разделены на три кластера: группу псевдогипоксии (включающую SDHA, SDHB, SDHC, SDHD, SDHAF2,VHL и HIF2α); группу Wnt-сигнального пути (CSDE1 и MAML3); группу киназных сигнальных путей (RET, NF1, TMEM127, MAX, HRAS). Мутации в генах псевдогипоксической группы были ассоциированы с нарушением регуляции фактора, индуцируемого гипоксией (HIF) – кислородзависимого фактора, вовлеченного в клеточный и тканевой ответ на гипоксию (заключающийся в неоангиогенезе, модуляции апоптоза, пролиферативных реакций, изменении уровня метаболизма клетки) [15].

Эти генетические данные позволяют по-новому взглянуть на многие классические работы, посвященные тканевым и клеточным изменениям в условиях истинной гипоксии. Так, например, известно, что гломусные клетки каротидного синуса чувствительны к концентрации кислорода в крови, как и хромаффинные клетки надпочечников в постнатальный период. Более того, хроническая гипоксемия приводит к гиперплазии каротидного синуса, а у людей, проживающих в высокогорье, риск развития ФХ и ПГ выше, чем у жителей равнин [16]. Также в клетках ФХ и ПГ нарушено строение митохондрий (основных органелл клеточного дыхания), а в одной из работ был описан случай регрессии ПГ после достижения ремиссии хронической гипоксии. Почти 25% (5/21) пациентов с диагностированной в Университете Джона Хопкинса с 1901 по 1962 г. ФХ имели ЦПС, также опубликованы несколько случаев сочетания этих патологий. Более того, по данным аутопсии, частота встречаемости врожденных пороков сердца при периферических опухолях из производных нервного гребня значимо выше, чем в среднем в популяции [16].

Соответственно предполагается, что у пациентов с ЦПС повышена частота встречаемости ФХ и ПГ [16].

Несмотря на казуистически редкое сочетание синих пороков сердца и ФХ, А. Opotowsky и соавт. в 2015 г. удалось провести исследование, показавшее, что частота встречаемости ФХ и ПГ у пациентов, госпитализируемых в связи с ЦПС, значительно выше, чем у остальных пациентов, причем эта разница не зависела от других известных факторов риска развития опухолей из хромаффинных клеток (исследование проведено ретроспективно на основании американской базы данных Nationwide Inpatient Sample, включавшей почти 17 тыс. случаев) [17].

Ретроспективное исследование R. George и соавт. [18] также продемонстрировало значимо более высокую частоту встречаемости пороков развития сердца у пациентов с нейробластомами по сравнению с таковой у пациентов с лейкемией (20 и 3,6% соответственно). Тем не менее доказательная база взаимосвязи хронической гипоксии и развития ФХ и ПГ остается недостаточной. В последние годы выживаемость пациентов с врожденными ЦПС увеличивается и, благодаря этому, могут быть получены данные, позволяющие подтвердить или опровергнуть наличие описанных закономерностей [16].

В литературе описано достаточно много случаев желудочковой тахикардии (ЖТ) у пациентов с ФХ [19–25]. G. Stenstrom и соавт. в 1988 г. описали 31 пациента с ФХ: средний интервал QT в данной выборке был нормальным на момент постановки диагноза (440±40 мс), несколько укорачивался после назначения феноксибензамина (430±20 мс) и снижался до 410±20 мс после хирургического лечения. При этом у 35% пациентов на момент постановки диагноза QTc был больше 440 мс, а послеоперационно эти явления сохранились лишь у двух пациентов [25]. По данным других авторов, увеличение интервала QT встречается у 35% пациентов с ФХ, однако к формированию желудочковых нарушений ритма это приводит в единичных случаях [26].

При ЦПС развитие злокачественных аритмий является одной из частых причин смерти. В большом мультицентровом исследовании пациентов с различными формами врожденных пороков сердца причиной 14% летальных исходов стали именно аритмии, в подавляющем большинстве случаев – фибрилляция желудочков [27].

В то же время смертность пациентов, перенесших операцию Фонтена (формирование тотального кавапульмонального соединения), лишь в 9,2% случаев обусловлена внезапной сердечной смертью (в частности, желудочковыми аритмиями). Этот показатель значительно уступает летальности после самой операции Фонтена (68%) и сопоставим со смертностью от хронической сердечной недостаточности (ХСН) (6,6%) и тромбоэмболий (7,2%) [28]. Эпидемиологических данных о частоте мономорфных желудочковых тахикардий у пациентов с единственным левым желудочком сердца нам не удалось найти.

Поэтому описанный в данной статье пациент представляет особенный интерес в связи с редкостью сочетания имеющихся у него патологий. От всех предыдущих опубликованных в литературе пациентов описываемый случай отличается наличием рецидивирующей желудочковой тахикардии.

Описание случая

Пациент Д., 21 года, родившийся и проживающий в горных районах северо-восточной части Кавказа, был госпитализирован в ФГБУ НМИЦ эндокринологии МЗ РФ для уточнения гормональной активности инциденталомы правого надпочечника (выявленной по данным УЗИ при случайном обследовании по месту жительства). При поступлении предъявлял жалобы на одышку, головокружение, повышение артериального давления (АД) до 170/100 мм рт.ст., учащенное сердцебиение. Из анамнеза известно, что вскоре после рождения у пациента выявлен врожденный порок сердца – двуприточный единственный анатомически левый желудочек, комбинированный стеноз легочной артерии, добавочная верхняя полая вена, дренирующаяся в коронарный синус, аортолегочные коллатерали от нисходящей аорты к обоим легким. В возрасте одного года пациенту был наложен двунаправленный кавапульмональный анастомоз. В 2016 г. была рекомендована операция Фонтена (формирование анастомоза между нижней полой веной и легочными артериями). В 2017 г. при подготовке к хирургическому лечению порока сердца было выявлено бессимптомное повышение АД до 220/110 мм рт.ст., при УЗИ обнаружено объемное образование правого надпочечника 46×36 мм с четкими контурами. Уровень кортизола крови – 464,2 нмоль/л; дальнейших обследований не проводилось. При холтеровском мониторировании ЭКГ были зарегистрированы миграция водителя ритма по предсердиям, пробежки суправентрикулярной тахикардии, эпизоды идиовентрикулярного ритма с ЧСС 60–70 в мин, в связи с чем направлен на стационарное обследование в ФГБУ НМИЦ эндокринологии МЗ РФ. За 2 нед до госпитализации с целью уточнения гормональной активности объемного образования надпочечника терапия бета-блокаторами была отменена. На момент госпитализации получал верапамил 240 мг в сутки, доксазозин 0,2 мг в сутки, контроль АД осуществлял нерегулярно.

Результаты физикального, лабораторного и инструментального исследования

При поступлении на ЭКГ регистрировалась желудочковая тахикардия (рис.1), которая сопровождалась артериальной гипотонией до 90/70 мм рт.ст.

Рис. 1. Электрокардиограмма при поступлении. Регистрируется мономорфная желудочковая тахикардия.

Тахикардия длилась от нескольких минут до 1 часа, купировалась спонтанно, но рецидивировала. Для контроля ритма больному был отменен верапамил, перорально назначены амиодарон в насыщающих дозах (200 мг 2 раза в день), бета-адреноблокаторы (метопролола сукцинат 12,5 мг 2 раза в день с последующим увеличением до 25 мг 2 раза в день), продолжена терапия альфа-адреноблокаторами (доксазозин 6 мг 2 раза в сут). В течение 2 сут удалось достичь устойчивого синусового ритма. В то же время развилось повышение АД до 200/100 мм рт.ст., в связи с чем к терапии была добавлена пролонгированная форма нифедипина 30 мг на ночь, иАПФ (эналаприл 5 мг 2 раза в день).

Клинико-лабораторное обследование:

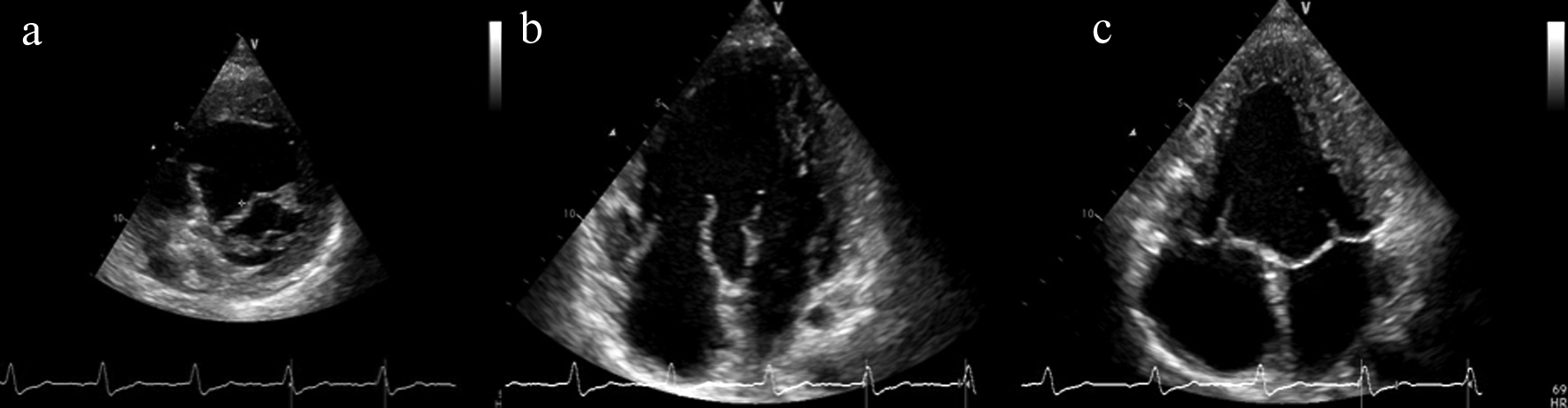
При ЭхоКГ (рис. 2) отмечалась митральная и трикуспидальная регургитация II–III степени, функционирующее овальное окно диаметром 4–5 мм, единственный двуприточный левый желудочек, фракция выброса левого желудочка – 75%.

Рис. 2. Данные эхокардиографии.

а – короткая парастернальная позиция на уровне митрального клапана; б – верхушечная 4-х камерная позиция, диастола; в – верхушечная 4-х камерная позиция, систола.

При компьютерной томографии выявлено образование правого надпочечника с четкими и ровными контурами, размером 39×37×43 мм, нативная плотность – 44 HU.

В суточной моче зарегистрировано изолированное повышение норметанефринов до 15 367 мкг/сут (норма 35–445). Лабораторных данных, позволяющих предположить гиперальдесторонизм и гиперкортицизм, не получено.

Дифференциальный диагноз

Для исключения МЭН-синдрома проведено УЗИ щитовидной и околощитовидных желез, дополнительных образований не выявлено, также были исключены функциональные нарушения щитовидной железы. Таким образом, была диагностирована ФХ.

Лечение

Назначен доксазозин в начальной дозе 6 мг в сут, рекомендовано оперативное лечение в объеме правосторонней адреналэктомии.

Учитывая часто рецидивирующую желудочковую тахикардию, сердечную недостаточность, пациенту была продолжена терапия амиодароном (400 мг в сут) и метопрололом (50 мг в сут). Для достижения оптимальных показателей АД были назначены эналаприл 10 мг в сут, нифедипин 30 мг в сут.

Исход и результаты последующего наблюдения

Спустя 5 мес пациент был вновь госпитализирован в ФГБУ НМИЦ эндокринологии МЗ РФ. Назначенной ранее терапии пациент придерживался, за прошедшее время доза доксазозина была увеличена до 16 мг в сут. На этом фоне достигались показатели АД в пределах 110–170/70–100 мм рт.ст. На сериях ЭКГ регистрировалась синусовая тахикардия с ЧСС 90–100/мин, жалоб на нарушения ритма сердца пациент не предъявлял, синкопальных и предсинкопальных состояний не отмечал.

На момент госпитализации симптомы ХСН выражены умеренно, на уровне 2-го функционального класса по NYHA. По данным Холтеровского мониторирования ЭКГ, желудочковых нарушений ритма не было.

Учитывая персистирующее повышение уровня калия в крови (до 5,8 ммоль/л) и креатинина (до 123 мкмоль/л, рСКФ по CKD-EPI – 72 мл/мин/1,73 м2), иАПФ были отменены. В связи с высокой ЧСС покоя (90–100/мин) была увеличена доза метопролола сукцината до 50 мг в сут. Блокатор кальциевых каналов (нифедипин) был отменен в связи с оптимальным контролем АД на фоне терапии альфа- и бета-адреноблокаторами. Терапия амиодароном была продолжена.

В условиях отдела хирургии ФГБУ НМИЦ эндокринологии МЗ РФ пациенту была выполнена лапароскопическая правосторонняя адреналэктомия. Полученный гистологический материал соответствовал феохромоцитоме альвеолярного типа гистологического строения с фиброзной дегенерацией в центре. Послеоперационный период протекал без особенностей, рецидивов желудочковой тахикардии не отмечалось, АД контролировалось оптимально. Пациент был выписан на 10-е сутки после оперативного вмешательства и направлен к кардиохирургам для проведения хирургического лечения порока сердца.

Обсуждение

Несмотря на крайне редкое сочетание ФХ и врожденных пороков сердца, такие случаи могут встретиться в клинической практике кардиолога, эндокринолога и хирурга.

Лечение таких пациентов требует особенно внимательного подхода, поскольку некоторые препараты, рутинно назначаемые при одной патологии, могут быть противопоказаны при наличии сопутствующих заболеваний. Вероятно, именно назначение пациенту верапамила в описываемом случае (с единственным желудочком сердца, ХСН и ФХ) на фоне морфологических изменений миокарда и отмены бета-адреноблокаторов привело к развитию у него устойчивой ЖТ. В литературе уже были описаны случаи ЖТ, инициированных назначением верапамила [29]. После отмены верапамила и назначения больших доз альфа-, бета-адреноблокаторов и амиодарона удалось достичь нормализации ритма сердца, что позволило провести хирургическое лечение ФХ и планировать дальнейшие этапы лечения врожденного порока сердца.

Возможно, удлинение интервала QT при ФХ (на фоне высоких концентраций катехоламинов в крови) в некоторых случаях может быть расценено как проявление синдрома удлиненного QT первого типа – состояния, связанного с одновременным наличием двух популяций калиевых каналов в миокарде – дисфункциональных и интактных. Этот тип синдрома характеризуется парадоксальным ответом на введение катехоламинов – QT удлиняется более чем на 30 мс, тогда как у здоровых людей при повышении концентрации катехоламинов в крови – QT укорачивается [30, 31].

Также необходимо отметить, что, помимо верапамила, вклад в развитие ЖТ могли внести как слабость синусового узла, так и отмена бета-блокаторов у пациента с ФХ.

Срочное хирургическое лечение ЖТ у больного с ЦПС и ФХ, на наш взгляд, было неоправданно. Его следовало рассматривать при неэффективности антиаритмической терапии после нормализации уровня катехоламинов. Имплантация кардиовертера-дефибриллятора не была рекомендована в силу вероятной обратимости причины ЖТ. Частота жизнеугрожающих нарушений ритма сердца у пациентов с ФХ остается неопределенной, что требует проведения дальнейших исследований.

Заключение

Данный клинический случай отражает сложную комбинацию потенциально жизнеугрожающих заболеваний: единственного левого желудочка сердца и ФХ у молодого пациента. Назначение недигидропиридинового кальциевого блокатора (верапамила) привело к развитию рецидивирующей устойчивой ЖТ. Хирургическое лечение ФХ и направление пациента на кардиохирургическое лечение стали возможны только после коррекции антигипертензивной и антиаритмической терапии: замены верапамила на комбинацию доксазозина и амиодарона с достижением синусового ритма и относительно удовлетворительных показателей АД.

Дополнительная информация

Источник финансирования. Статья подготовлена на личные средства авторского коллектива.

Согласие пациента. Пациент добровольно подписал информированное согласие на публикацию персональной медицинской информации в обезличенной форме в журнале «Проблемы эндокринологии».

Конфликт интересов. Авторы декларируют отсутствие явных и потенциальных конфликтов интересов, связанных с публикацией настоящей статьи.

Участие авторов: все авторы внесли значимый вклад в подготовку статьи, прочли и одобрили финальную версию перед публикацией.

Список литературы

1. van der Bom T, Bouma BJ, Meijboom FJ, et al. The prevalence of adult congenital heart disease, results from a systematic review and evidence based calculation. Am Heart J. 2012;164(4):568-575. doi: https://doi.org/10.1016/j.ahj.2012.07.023

2. Sayasathid J, Somboonna N, Sukonpan K. Epidemiology and Etiology of Congenital Heart Diseases. In: Rao PS, editor. Congenital Heart Disease – Selected Aspects. InTech; 2012. p. 47-84.

3. Lenders JW, Duh QY, Eisenhofer G, et al. Pheochromocytoma and paraganglioma: an endocrine society clinical practice guideline. J Clin Endocrinol Metab. 2014;99(6):1915-1942. doi: https://doi.org/10.1210/jc.2014-1498

4. Mantero F, Terzolo M, Arnaldi G, et al. A survey on adrenal incidentaloma in Italy. Study Group on Adrenal Tumors of the Italian Society of Endocrinology. J Clin Endocrinol Metab. 2000;85(2):637-644. doi: https://doi.org/10.1210/jcem.85.2.6372

5. Bravo EL, Tagle R. Pheochromocytoma: state-of-the-art and future prospects. Endocr Rev. 2003;24(4):539-553. doi: https://doi.org/10.1210/er.2002-0013

6. Mittendorf EA, Evans DB, Lee JE, Perrier ND. Pheochromocytoma: advances in genetics, diagnosis, localization, and treatment. Hematol Oncol Clin North Am. 2007;21(3):509-525. doi: https://doi.org/10.1016/j.hoc.2007.04.012

7. Coats L, O’Connor S, Wren C, O’Sullivan J. The single-ventricle patient population: a current and future concern a population-based study in the North of England. Heart. 2014;100(17):1348-1353. doi: https://doi.org/10.1136/heartjnl-2013-305336

8. Abe I, Nomura M, Sakamoto R, et al. Two Cases of Pheochromocytoma Associated with Single Ventricle Syndrome. Nihon Naika Gakkai Zasshi. 2007;96(5):994-996. doi: https://doi.org/10.2169/naika.96.994

9. Cheung YW, Spevack DM. Single left ventricle and pheochromocytoma. Congenit Heart Dis. 2008;3(5):355-358. doi: https://doi.org/10.1111/j.1747-0803.2008.00183.x

10. Filgueiras-Rama D, Oliver JM, Ruiz-Cantador J, et al. Pheochromocytoma in Eisenmenger’s syndrome: a therapeutic challenge. Rev Port Cardiol. 2010;29(12):1873-1877.

11. Sparks JW, Seefelder C, Shamberger RC, McGowan FX. The perioperative management of a patient with complex single ventricle physiology and pheochromocytoma. Anesth Analg. 2005;100(4): 972-975. doi: https://doi.org/10.1213/01.ANE.0000146433.84742.3A

12. Suffredini G, Diaz-Rodriguez N, Chakravarthy K, et al. Anesthetic Management of Pheochromocytoma Resection in Adults with Single Ventricle Physiology. Cureus. 2017;9(12):e1928. doi: https://doi.org/10.7759/cureus.1928

13. Tjeuw M, Fong J. Anaesthetic management of a patient with a single ventricle and phaeochromocytoma. Anaesth Intensive Care. 1990;18(4):567-569.

14. Yuki K, Shamberger RC, McGowan FX, Jr., Seefelder C. The perioperative management of a patient with Fontan physiology for pheochromocytoma resection. J Cardiothorac Vasc Anesth. 2008;22(5):748-750. doi: https://doi.org/10.1053/j.jvca.2007.05.005

15. Zhao B, Zhou Y, Zhao Y, et al. Co-Occurrence of Pheochromocytoma-Paraganglioma and Cyanotic Congenital Heart Disease: A Case Report and Literature Review. Front Endocrinol (Lausanne). 2018;9:165. doi: https://doi.org/10.3389/fendo.2018.00165

16. Singh GD, Anuradha S, Sethi P, et al. Pheochromocytoma and tetralogy of Fallot: Coincidence or a rare association? Asian Cardiovasc Thorac Ann. 2016;24(1):75-77. doi: https://doi.org/10.1177/0218492314545499

17. Opotowsky AR, Moko LE, Ginns J, et al. Pheochromocytoma and paraganglioma in cyanotic congenital heart disease. J Clin Endocrinol Metab. 2015;100(4):1325-1334. doi: https://doi.org/10.1210/jc.2014-3863

18. George RE, Lipshultz SE, Lipsitz SR, et al. Association between congenital cardiovascular malformations and neuroblastoma. J Pediatr. 2004;144(4):444-448. doi: https://doi.org/10.1016/j.jpeds.2003.12.032

19. Boiffard E, Abbey S, Burban M, et al. Bi-directional ventricular tachycardia and pheochromocytoma: a case report. Arch Mal Coeur Vaiss. 2006;99(2):183-186.

20. Li W-M, Huang C-H, Su C-M, et al. Extra-Adrenal Pheochromocytoma Presenting with Life-Threatening Ventricular Tachycardia: A Case Report. Kaohsiung J Med Sci. 2004;20(12):612-615. doi: https://doi.org/10.1016/s1607-551x(09)70268-2

21. Magalhaes AP, Pastor A, Núñez A, Cosío FG. Ventricular tachycardia as initial presentation of pheochromocytoma. Revista Española de Cardiología. 2007;60(4):450-451. doi: https://doi.org/10.1157/13101651

22. Park JW, Park SJ, Hur KY, et al. Recurrent ventricular tachycardia in malignant metastatic pheochromocytoma. Circulation. 2012;125(10):e435-438. doi: https://doi.org/10.1161/circulationaha.111.089607

23. Petit T, de Lagausie P, Maintenant J, et al. Thoracic pheochromocytoma revealed by ventricular tachycardia. Clinical case and review of the literature. Eur J Pediatr Surg. 2000;10(2):142-144. doi: https://doi.org/10.1055/s-2008-1072345

24. Zhang MM, Mao W, Wu D, Liu P. Pheochromocytoma with Ventricular Tachycardia as the Presenting Symptom. Chin Med J (Engl). 2016;129(12):1505-1506. doi: https://doi.org/10.4103/0366-6999.183416

25. Stenstrom G, Swedberg K. QRS Amplitudes, QTc Intervals and ECG Abnormalities in Pheochromocytoma Patients before, during and after Treatment. Acta Med Scand. 2009;224(3):231-235. doi: https://doi.org/10.1111/j.0954-6820.1988.tb19366.x

26. Paulin FL, Klein GJ, Gula LJ, et al. QT prolongation and monomorphic VT caused by pheochromocytoma. J Cardiovasc Electrophysiol. 2009;20(8):931-934. doi: https://doi.org/10.1111/j.1540-8167.2008.01405.x

27. Gillespie HS, Lin CC, Prutkin JM. Arrhythmias in structural heart disease. Curr Cardiol Rep. 2014;16(8):510. doi: https://doi.org/10.1007/s11886-014-0510-7

28. Yap SC, Harris L. Sudden cardiac death in adults with congenital heart disease. Expert Rev Cardiovasc Ther. 2009;7(12):1605-1620.doi: https://doi.org/10.1586/erc.09.153

29. Shiraishi H, Ishibashi K, Urao N, et al. Two Cases of Polymorphic Ventricular Tachycardia Induced by the Administration of Verapamil against Paroxysmal Supraventricular Tachycardia. Intern Med. 2002;41(6):445-448. doi: https://doi.org/10.2169/internalmedicine.41.445

30. Vyas H, Ackerman MJ. Epinephrine QT stress testing in congenital long QT syndrome. J Electrocardiol. 2006;39(4 Suppl):S107-113. doi: https://doi.org/10.1016/j.jelectrocard.2006.05.013

31. Zhou W, Ding SF. Concurrent Pheochromocytoma, Ventricular Tachycardia, Left Ventricular Thrombus, and Systemic Embolization. Intern Med. 2009;48(12):1015-1019. doi: https://doi.org/10.2169/internalmedicine.48.2022


Об авторах

Константин Владимирович Мелкозёров
ФГБУ «НМИЦ эндокринологии» Минздрава России
Россия

к.м.н., отдел кардиологии и сосудистой хирургии



Александр Борисович Кузнецов
ФГБУ «НМИЦ эндокринологии» Минздрава России
Россия

к.м.н., отдел кардиологии и сосудистой хирургии



Виктор Юрьевич Калашников
ФГБУ «НМИЦ эндокринологии» Минздрава России
Россия

д.м.н., профессор, академик РАН



Фатима Магомедовна Абдулхабирова
ФГБУ «НМИЦ эндокринологии» Минздрава России
Россия

к.м.н., отделение терапевтической эндокринологии



Сергей Николаевич Кузнецов
ФГБУ «НМИЦ эндокринологии» Минздрава России
Россия

к.м.н., отдел хирургии



Анна Максимовна Горбачева
ФГБУ «НМИЦ эндокринологии» Минздрава России
Россия

ординатор



Иван Иванович Дедов
ФГБУ «НМИЦ эндокринологии» Минздрава России
Россия

д.м.н., профессор, академик РАН



Дополнительные файлы

1. Рис. 1. Электрокардиограмма при поступлении. Регистрируется мономорфная желудочковая тахикардия.
Тема
Тип Прочее
Посмотреть (527KB)    
Метаданные ▾
2. Рис. 2. Данные эхокардиографии.
Тема
Тип Прочее
Посмотреть (386KB)    
Метаданные ▾
3. Fig. 1. Electrocardiogram on admission. Monomorphic ventricular tachycardia is recorded.
Тема
Тип Прочее
Посмотреть (415KB)    
Метаданные ▾
4. Fig. 2. Echocardiography data.
Тема
Тип Прочее
Посмотреть (145KB)    
Метаданные ▾

Рецензия

Для цитирования:


Мелкозёров К.В., Кузнецов А.Б., Калашников В.Ю., Абдулхабирова Ф.М., Кузнецов С.Н., Горбачева А.М., Дедов И.И. Устойчивая желудочковая тахикардия у пациента с единственным желудочком сердца и феохромоцитомой. Проблемы Эндокринологии. 2019;65(2):107-112.

For citation:


Melkozerov K.V., Kuznetsov A.B., Kalashnikov V.Yu., Abdulkhabirova F.М., Kuznetsov S.N., Gorbacheva A.M., Dedov I.I. Sustained ventricular tachycardia in a patient with a single ventricle of the heart and a pheochromocytoma. Problems of Endocrinology. 2019;65(2):107-112.

Просмотров: 3751

JATS XML


Creative Commons License
Контент доступен под лицензией Creative Commons Attribution 4.0 License.


ISSN 0375-9660 (Print)
ISSN 2308-1430 (Online)