Перейти к:
Клинический случай сочетания дифференцированного рака щитовидной железы и первичного гиперпаратиреоза: сложности топической дифференциальной диагностики
https://doi.org/10.14341/probl10107
Аннотация
За последние годы существенно изменилось представление об эпидемиологии, клинике и тактике ведения пациентов с гиперпаратиреозом. Наиболее часто в клинической практике встречается спорадический вариант первичного гиперпаратиреоза, который на сегодняшний день занимает третье место по распространенности среди эндокринных заболеваний (частота встречаемости во взрослой популяции составляет в среднем 1–2%). При первичном гиперпаратиреозе чаще всего выявляется солитарная аденома околощитовидной железы (ОЩЖ) – до 85% всех случаев. Единственный радикальный метод лечения – хирургическое удаление патологически измененной паратиреоидной ткани. Ранняя диагностика и лечение гиперпаратиреоза позволяют избежать тяжелых поражений костей скелета и висцеральных органов. Представлен сложный с диагностической точки зрения клинический случай сочетания онкоэндокринной патологии у пациента 70 лет. Основные трудности в первичной диагностике были связаны с отсутствием патогномоничных симптомов заболевания, нередко и вовсе протекающего бессимптомно. Наиболее актуальной проблемой представляется топическая локализация патологически измененных ОЩЖ, в связи с чем возникает необходимость разработки алгоритма по последовательному применению и комбинации методов медицинской визуализации.
Ключевые слова
Для цитирования:
Слащук К.Ю., Дегтярев М.В., Серженко С.С., Румянцев П.О., Шеремета М.С., Ясюченя В.С., Трухин А.А., Сирота Я.И., Баранова О.Д., Никифорович П.А. Клинический случай сочетания дифференцированного рака щитовидной железы и первичного гиперпаратиреоза: сложности топической дифференциальной диагностики. Проблемы Эндокринологии. 2019;65(4):243-250. https://doi.org/10.14341/probl10107
For citation:
Slashchuk K.Yu., Degtyarev M.V., Serzhenko S.S., Rumyantsev P.O., Sheremeta M.S., Yasuchenia V.S., Trukhin A.A., Sirota Ya.I., Baranova O.D., Nikiforovich P.A. A clinical case of combined differentiated thyroid cancer and primary hyperparathyroidism: the complexity of topical differential diagnosis. Problems of Endocrinology. 2019;65(4):243-250. https://doi.org/10.14341/probl10107
Список сокращений
ТГ – тиреоглобулин
ГПТ – гиперпаратиреоз
ПГПТ – первичный гиперпаратиреоз
ОЩЖ – околощитовидная железа
ПТГ – паратиреоидный гормон
ЩЖ – щитовидная железа
РФП – радиофармацевтический препарат
ОФЭКТ – однофотонная эмиссионная компьютерная томография
КТ – компьютерная томография
МРТ – магнитно-резонансная томография
ПЭТ – позитронно-эмиссионная томография
ТАПБ – тонкоигольная аспирационная пункционная биопсия
18ФХ – 18F-флюрохолин
11СМ – 11C-метионин
EANM – European Association of Nuclear Medicine
ATA – American Thyroid Association
NPV – negative predictive value
PPV – positive predictive value
Введение
Первичный гиперпаратиреоз (ПГПТ) – заболевание, характеризующееся автономной гиперсекрецией паратиреоидного гормона (ПТГ) с повышенным или нормальным уровнем кальция в крови.
Данная патология занимает третье место в структуре эндокринных заболеваний (после заболеваний щитовидной железы (ЩЖ) и сахарного диабета). Заболеваемость составляет от 4 до 188 случаев на 100 000 человек в год; чаще страдают лица старше 55 лет; соотношение мужчин и женщин 3:1. Существенная вариабельность этих показателей обусловлена сложностями диагностики ранних форм заболевания, нормокальциемическими вариантами и недостаточной осведомленностью врачей различных специальностей о ПГПТ. Фиксируемая заболеваемость ежегодно увеличивается [1–4].
До 85% случаев ПГПТ возникают как спорадическое заболевание, патогенез которого остается неизвестным. Генетически детерминированные формы ПГПТ встречаются примерно в 15% случаев и связаны с герминальными мутациями генов MEN1, HRPT2, CDC73, CASR или ингибиторами циклин-зависимых киназ (CDKIs). В спорадических случаях заболевания ведущая роль отводится соматическим мутациям гена MEN1 (около 35%), в 10% определяются мутации в других генах (RET, EZH2, POT1 и др.) [5, 6]; для наследственных форм чаще характерно множественное поражение околощитовидных желез (ОЩЖ).
Клинические проявления ГПТ в первую очередь обусловлены поражением органов-мишеней (табл. 1).
Таблица 1. Клинические проявления гиперпаратиреоза
|
Система |
Проявления |
Осмотр |
|
Общая симптоматика |
слабость |
|
|
утомляемость |
||
|
сонливость |
||
|
лихорадка неясного генеза |
||
|
инсипидарный синдром |
||
|
Кожа и придатки кожи |
сухость |
расчесы на коже |
|
зуд |
||
|
ломкость волос |
||
|
Опорно-двигательная система |
скованность по утрам |
снижение мышечного тонуса (невозможность встать из положения сидя без помощи рук) |
|
мышечные и костные (в том числе суставные) боли |
||
|
малотравматичные переломы |
||
|
снижение роста |
слабость мышц проксимальных отделов верхних и нижних конечностей (вплоть до атрофии) |
|
|
артралгии |
||
|
«барабанные палочки» |
||
|
Сердечно-сосудистая система |
кардиалгии, нарушения ритма |
повышение АД |
|
Желудочно-кишечный тракт |
жажда |
полидипсия |
|
сниженный аппетит, вплоть до анорексии |
абдоминальная боль без четкой локализации и связи с приемом пищи |
|
|
тошнота, рвота |
||
|
боли в животе |
язвенное поражение верхних отделов ЖКТ |
|
|
склонность к запорам |
||
|
Мочевыделительная система |
частое мочеиспускание (в т.ч. ночное) |
полиурия, полидипсия |
|
боли при мочеиспускании |
никтурия |
|
|
мочекаменная болезнь |
||
|
Нервная система |
головная боль |
моторные нарушения |
|
Психический статус |
нарушения памяти, концентрации внимания |
депрессия |
|
подавленное настроение, депрессия |
психозы |
|
|
галюцинации |
деменция |
|
|
нарушение ориентации в пространстве |
Верификация диагноза осуществляется исключительно лабораторно, путем двукратного определения уровней кальция (общего и ионизированного) и ПТГ в крови. Более чем в половине случаев диагноз устанавливается при случайно выявленной гиперкальциемии.
Важно отметить, что топическая диагностика измененных ОЩЖ целесообразна только в случае перспективы хирургического лечения (методы визуализации не должны использоваться при скрининге заболевания), а комбинация диагностических методов необходима исключительно при планировании селективной (малоинвазивной) паратиреоидэктомии, в том числе с эндоскопической/флюоресцентной/гамма-навигацией [7, 8].
Для обследования пациентов, которым изначально планируется двусторонняя ревизия, обычно достаточно ультразвукового исследования (УЗИ) и/или планарной сцинтиграфии; в случае эктопии ОЩЖ или мультигландулярного поражения незаменимы гибридные методы визуализации [9, 10].
Существует достаточно большой арсенал методов медицинской визуализации, чувствительность и специфичность которых по большей части зависят от специалиста, проводящего исследование, и от технических характеристик оборудования, т.е. фактически варьируют в разных медицинских центрах (табл. 2).
Таблица 2. Показатели информативности методов медицинской визуализации
|
Показатели |
УЗИ |
КТ c контрастом |
ОФЭКТ/КТ с MIBI |
ПЭТ/КТ с 18ФХ/11СМ |
Комбинация ОФЭКТ/КТ и УЗИ |
|
Чувствительность, % |
70–81 |
76–89 |
64–90 |
81–94 |
86–96 |
|
Специфичность, % |
80–95 |
88–93 |
83–96 |
91–98 |
96–98 |
|
NPV, % |
22–46 |
33–88 |
52–98 |
97 |
86–99 |
|
PPV, % |
86–97 |
80–90 |
57–94 |
90 |
91–98 |
|
Зона лучшей визуализации |
Типичного расположения |
Эктопии |
Любая |
Любая |
Любая |
|
Зона худшей визуализации |
Эктопии |
«Интратиреоидно» |
«Интратиреоидно» |
«Интратиреоидно» |
– |
Наибольшей информативностью обладает комбинация методов УЗИ и сцинтиграфии, чувствительность которой при совмещении с ОФЭКТ/КТ и в/в контрастированием может достигать 96%, а специфичность – 98% [11–14].
Ввиду особенностей эмбриогенеза ОЩЖ – «нижние» железы мигрируют вместе с тимусом из 3-его жаберного кармана – они чаще могут быть эктопированы и локализоваться от угла нижней челюсти вплоть до сосудистого пучка; редко встречается интратиреоидное расположение [15]. Важно отметить, что зона сканирования при сцинтиграфии или КТ должна включать верхнее средостение.
Несмотря на использование всех доступных методов визуализации, у части пациентов точно локализовать источник гиперпродукции ПТГ не всегда возможно, и в тех случаях, когда течение заболевания не позволяет продолжать консервативную терапию, необходима «поисковая» операция – ревизия всех ОЩЖ.
Во время операции взаиморасположение анатомических структур смещается и возникает необходимость навигации в операционном поле. На сегодняшний день активно развиваются методы интраоперационной навигации – интраоперационное УЗИ, флюоресцентная ангиография с индоцианином зеленым, радиометрия с технетрилом при помощи гамма-зонда (одноканального либо многоканального сцинтилляционного/полупроводникового детектора – Crystal Cam). В условиях операционной предпочтение всегда отдается быстрым и интуитивно понятным методам визуализации, позволяющим хирургу оценить локализацию изотоп/флюоресциннакапливающей ткани и в последующем – радикальность ее удаления, что снижает травматичность и время операции, риски рецидива/персистенции заболевания [16–19].
Радикальность операции оценивается в основном по результатам экспресс-определения уровня ПТГ через 15 мин после удаления измененной ОЩЖ. При успешно выполненной операции уровень ПТГ снижается на 50–80% от исходного.
После оперативного вмешательства клинические симптомы ПГПТ частично регрессируют. Нормализация уровня кальция и ПТГ происходит через несколько часов после операции. При нерадикальном хирургическом лечении возможно развитие персистирующего ГПТ (возникает в течение первых 6 мес) или рецидива заболевания (выявляется через 6 мес и более). Персистирующий ГПТ чаще обусловлен диагностическими ошибками (нераспознанные аденомы), рецидивный – в основном неадекватным объемом удаленных гиперплазированных ОЩЖ [20–23].
Клинический случай
Пациент К., 70 лет, более 30 лет страдает мочекаменной болезнью, неоднократно оперирован (дистанционные и контактные литотрипсии). В течение последних 5 лет отмечается усиление образования конкрементов, кроме того – снижение скорости клубочковой фильтрации (по CKD-EPI) до 52 мл/мин/1,73м2. За 2 мес проведены 3 контактные литотрипсии. В анамнезе простатэктомия в 2008 г. по поводу рака предстательной железы.
В 2017 г. впервые определена концентрация ПТГ и кальция в крови, зафиксировано повышение содержания ПТГ до 16,3 пмоль/л (норма 1,6–6,9 пмоль/л), общего (2,92 ммоль/л) и ионизированного кальция (1,49 ммоль/л); также отмечено высокое содержание кальция в моче (11,55 ммоль/сут). При УЗИ – двусторонний многоузловой зоб, слева (TIRADS 4a) узлы размером до 2 см в диаметре, гипоэхогенные образования у нижнего полюса правой и в средней трети левой доли ЩЖ (гиперплазированные ОЩЖ?).
Пациенту неоднократно проводилась тонкоигольная аспирационная пункционная биопсия (ТАБ) узловых образований ЩЖ; справа получена цитологическая картина, соответствующая коллоидному зобу без признаков злокачественности; результаты ТАБ левой доли ЩЖ неинформативны.
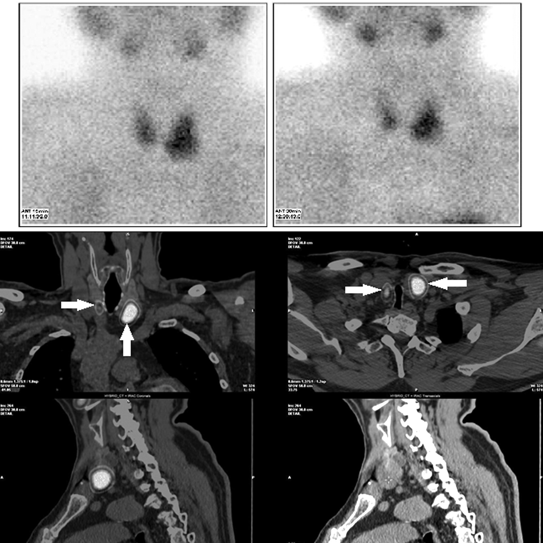
Выполнена сцинтиграфия ОЩЖ с 99mTc-технетрилом (радиоиндиактор активностью 700 МБк), с получением статических изображений области шеи на 15-й и 90-й минутах после введения радиофармпрепарата (РФП). Для уточнения локализации накопления препарата проведена ОФЭКТ/КТ: на ранних и отсроченных снимках определяются участки гиперфиксации радиоиндикатора в проекции нижней трети правой доли и средней и нижней трети левой доли ЩЖ. Позади нижнего полюса правой доли определяется образование с четкими ровными контурами, округлой формы, рентгеновской плотностью 43 HU, линейными размерами 18×14×13 мм, активно накапливающее радиометку, – предположительно аденома ОЩЖ. В нижней трети левой доли (интратиреоидно) определяется образование округлой формы, линейными размерами 29×26×29 мм, с кальцинатами, без четких границ с тканью ЩЖ, рентгеновской плотностью 30 HU, активно накапливающее радиоиндикатор. Также позади средней трети левой доли ЩЖ определяется образование округлой формы, рентгеновской плотностью 32 HU, линейными размерами 16×12×12 мм, не накапливающее радиоиндикатор (узел ЩЖ? лимфатический узел?). В других областях шеи и верхнего средостения патологического очагового накопления радиоиндикатора не выявлено (рис. 1).
Рис. 1. Верхний ряд – планарная сцинтиграфия через 15 и 90 мин после введения РФП; нижний ряд – ОФЭКТ/КТ через 90 мин; Стрелкой (→) отмечены зоны интенсивного накопления РФП в проекции правой нижней ОЩЖ и узла в нижнем полюсе левой доли ЩЖ.
Рекомендована ТАБ узлового образования левой доли ЩЖ со смывом на ПТГ для дифференциальной диагностики поражения; получен отрицательный результат – цитология неинформативна, смыв на ПТГ – 0 пг/мл.
С учетом полученных данных было принято решение выполнить оперативное вмешательство в объеме гемитиреоидэктомии слева, удаления правой нижней паратиреоаденомы, ревизии в зоне левой верхней ОЩЖ.
Достигнуто адекватное снижение концентрации ПТГ в раннем послеоперационном периоде (до 13,6 пг/мл).
По результатам планового гистологического исследования: в левой доле обнаружены фрагментированная фолликулярная аденома ЩЖ (положительная экспрессия тиреоглобулина в клетках опухоли), частично инкапсулированная папиллярная микрокарцинома ЩЖ с инвазивным ростом в капсулу доли, а также узел фолликулярного рака ЩЖ с двумя участками инвазии в сосуды капсулы железы. Прилежащий к доле лимфатический узел с микрометастазом высокодифференцированного (вероятнее всего, фолликулярного) рака ЩЖ; аденома ОЩЖ из главных клеток, альвеолярного строения.
Учитывая мофрологические данные, вторым этапом выполнены окончательная тиреоидэктомия, центральная лимфодиссекция. При морфологическом исследовании в правой доле ЩЖ обнаружены 2 инкапсулированных узла папиллярного рака ЩЖ фолликулярного строения без признаков инвазивного роста в капсулу доли и 1 ОЩЖ нормального строения.
Таким образом, диагноз – первично-множественный метахронный рак: фолликулярный рак левой доли ЩЖ II стадии (pT2ViN1аM0), папиллярный рак ЩЖ (pT1a(m)N0M0); рак предстательной железы, состояние после хирургического лечения. Первичный гиперпаратиреоз, аденома правой нижней ОЩЖ. Первичный послеоперационный гипотиреоз.
Согласно рекомендациям EANM 2009 и ATA 2015, пациент относится к группе промежуточного риска рецидива/прогрессирования рака ЩЖ, в связи с чем на фоне 4-недельной отмены левотироксина была проведена радиойодаблация 131I активностью 1,1 ГБк (концентрация ТГ – 9,60 нг/мл; Cyfra 21-1 – 2,83 нг/мл). По результатам посттерапевтической сцинтиграфии всего тела (СВТ) отмечено накопление 131I в проекции ложа ЩЖ (8,7%), что соответствует остаточной тиреоидной ткани. Пациент динамически наблюдался в течение 1 года, отмечено уменьшение камнеобразования, улучшение общего самочувствия. Через 1 год после радиойодтерапии выполнена диагностическая СВТ с введением 131I активностью 74 МБк на фоне отмены левотироксина сроком на 4 нед; выявлено накопление РФП (0,9%) в нижней трети шеи, соответствующее образованию с неровными контурами 7×6 мм, рентгеновской плотностью 70 HU. Проведена повторная радиойодтерапия 131I активностью 3,7 ГБк (концентрация ТГ – 4,2 нг/мл), при посттерапевтической СВТ накопление 131I соответствует выявленному образованию (1,5%), других патологических очагов накопления не отмечено. На данный момент продолжается динамическое наблюдение за пациентом; концентрация кальция и ПТГ остается в пределах референсных значений.
Обсуждение
Приведенный случай иллюстрирует сочетание первично-множественного метахронного рака (двух гистологических типов дифференцированного рака ЩЖ с метастазами в лимфатические узлы центральной клетчатки шеи и рака предстательной железы) и первичного гиперпаратиреоза с неоднозначной топической локализацией по результатам двух основных методов обследования. На данном примере видны недостатки различных методов визуализации, которые в комбинации позволяют получить дополнительную информацию о заболевании и выбрать оптимальную лечебную тактику. Рак ЩЖ не был диагностирован по результатам пункционной биопсии (вероятнее всего, это связано с фолликулярным строением опухоли), однако был заподозрен по данным сцинтиграфии с технетрилом. Чрезвычайно важно проводить обследование пациента последовательно, «от простого к сложному», а при получении противоречивых результатов использовать методы «экспертной диагностики».
На сегодняшний день не выявлено какой-либо генетической предрасположенности к сочетанию гиперпаратиреоза и дифференцированного (папиллярного и фолликулярного) рака ЩЖ, хотя эти две онкоэндокринные патологии не редко выявляются сочетанно. При обнаружении узлов в ЩЖ, накапливающих 99mTc-технетрил, крайне важно проводить ТАБ и УЗИ для оценки состояния регионарных лимфатических узлов шеи для выбора правильного объема хирургического лечения.
Заключение
Применение современных методов молекулярной визуализации (ОФЭКТ, ПЭТ) позволяет улучшить предоперационную топическую диагностику гиперпаратиреоза. Существующий алгоритм топической диагностики гиперпаратиреоза требует совершенствования, что особенно актуально при эктопии ОЩЖ.
Всем пациентам с лабораторно верифицированным гиперпаратиреозом и показаниями к хирургическому лечению на первом этапе целесообразно выполнять сцинтиграфию ОЩЖ с 99mTc-технетрилом в режиме ОФЭКТ/КТ, всегда сопровождаемую УЗИ. При совпадении результатов следует переходить к паратиреоидэктомии с применением интраоперационной радио- и флюоресцентной навигации. В случае отрицательного или дискордантного диагностического результата показаны дополнительные исследования (КТ с в/в контрастированием, двухфазная сцинтиграфия, пункция со смывом из иглы на ПТГ), которые можно дополнить более дорогостоящими и менее доступными: ПЭТ/КТ с 18F-холином/11C-метионином. Выполнение МРТ и КТ с контрастом на первом этапе считаем нецелесообразным (в том числе с точки зрения экономической эффективности), так как они визуализируют анатомические структуры (и их кровоснабжение – вымывание контраста при КТ, диффузионно-взвешенные изображения при МРТ) и в отличие от ОФЭКТ/ПЭТ не способны оценить функциональную (метаболическую) активность анатомического образования.
Предлагаемый усовершенствованный диагностический алгоритм позволит быстрее и более точно определять топическую локализацию гиперфункционирующих ОЩЖ с целью их прецизионного оперативного удаления с применением методов интраоперационной навигации. Все это повышает эффективность и безопасность хирургического лечения, снижая также частоту повторных оперативных вмешательств и инвалидизации пациентов от осложнений (рис. 2).
Рис. 2. Алгоритм диагностического поиска (схема).
Примечание. Слева в схеме указаны показатели улучшения эффективности при комбинации методов; желательно использование технологий навигации с флюоресцирующими агентами или радионавигации при условии визуализируемых образований с повышенной метаболической активностью по данным радиоизотопных исследований.
Дополнительная информация
Конфликт интересов. Все авторы декларируют отсутствие явных и потенциальных конфликтов интересов, связанных с публикацией настоящей статьи.
Согласие пациента. Персональные медицинские данные опубликованы с письменного согласия пациента.
Участие авторов. Все авторы принимали участие в наблюдении пациента, внесли значимый вклад в подготовку статьи, прочли и одобрили финальную версию перед публикацией.
Список литературы
1. Mackenzie-Feder J, Sirrs S, Anderson D, et al. Primary hyperparathyroidism: an overview. Int J Endocrinol. 2011;2011:251410. doi: https://doi.org/10.1155/2011/251410
2. Bilezikian JP, Bandeira L, Khan A, Cusano NE. Hyperparathyroidism. Lancet. 2018;391(10116):168-178. doi: https://doi.org/10.1016/s0140-6736(17)31430-7
3. Clarke BL. Epidemiology of primary hyperparathyroidism. J Clin Densitom. 2013;16(1):8-13. doi: https://doi.org/10.1016/j.jocd.2012.11.009
4. Griebeler ML, Kearns AE, Ryu E, et al. Secular trends in the incidence of primary hyperparathyroidism over five decades (1965-2010). Bone. 2015;73:1-7. doi: https://doi.org/10.1016/j.bone.2014.12.003
5. Newey PJ, Nesbit MA, Rimmer AJ, et al. Whole-exome sequencing studies of nonhereditary (sporadic) parathyroid adenomas. J Clin Endocrinol Metab. 2012;97(10):E1995-2005. doi: https://doi.org/10.1210/jc.2012-2303
6. Yu W, McPherson JR, Stevenson M, et al. Whole-exome sequencing studies of parathyroid carcinomas reveal novel PRUNE2 mutations, distinctive mutational spectra related to APOBEC-catalyzed DNA mutagenesis and mutational enrichment in kinases associated with cell migration and invasion. J Clin Endocrinol Metab. 2015;100(2):E360-364. doi: https://doi.org/10.1210/jc.2014-3238
7. Khan AA, Hanley DA, Rizzoli R, et al. Primary hyperparathyroidism: review and recommendations on evaluation, diagnosis, and management. A Canadian and international consensus. Osteoporos Int. 2017;28(1):1-19. doi: https://doi.org/10.1007/s00198-016-3716-2
8. Kunstman JW, Kirsch JD, Mahajan A, Udelsman R. Clinical review: Parathyroid localization and implications for clinical management. J Clin Endocrinol Metab. 2013;98(3):902-912. doi: https://doi.org/10.1210/jc.2012-3168
9. Cusano NE, Bilezikian JP. Diagnosis and management of primary hyperparathyroidism. J Clin Outcomes Manag. 2013;(20):181-192.
10. LiVolsi VA, Montone KT, Baloch ZN. Parathyroid: The Pathology of Hyperparathyroidism. Surg Pathol Clin. 2014;7(4):515-531. doi: https://doi.org/10.1016/j.path.2014.08.004
11. Biersack H-J, Heiden U. Parathyroid Imaging. In: Bucerius J, Ahmadzadehfar H, Biersack H-J, editors. 99mTc-Sestamibi. Clinical Applications. Berlin–Heidelberg: Springer-Verlag; 2012. p. 31-63. doi: https://doi.org/10.1007/978-3-642-04233-1_4
12. Cheung K, Wang TS, Farrokhyar F, et al. A meta-analysis of preoperative localization techniques for patients with primary hyperparathyroidism. Ann Surg Oncol. 2012;19(2):577-583. doi: https://doi.org/10.1245/s10434-011-1870-5
13. Patel CN, Salahudeen HM, Lansdown M, Scarsbrook AF. Clinical utility of ultrasound and 99mTc sestamibi SPECT/CT for preoperative localization of parathyroid adenoma in patients with primary hyperparathyroidism. Clin Radiol. 2010;65(4):278-287. doi: https://doi.org/10.1016/j.crad.2009.12.005
14. Silva BC, Cusano NE, Bilezikian JP. Primary hyperparathyroidism. Best Pract Res Clin Endocrinol Metab. 2018;32(5):593-607. doi: https://doi.org/10.1016/j.beem.2018.09.004
15. Gomes EMS, Nunes RC, Lacativa PGS, et al. Ectopic and extranumerary parathyroid glands location in patients with hyperparathyroidism secondary to end stage renal disease. Acta Cir Bras. 2007;22(2):105-109. doi: https://doi.org/10.1590/s0102-86502007000200005
16. England RJ, Mehanna H. Surgery for Primary Hyperparathyroidism. 2014:253-258. doi: https://doi.org/10.1007/978-1-4471-2146-6_33
17. Delorme S, Zechmann C, Haberkorn U. (2013). Imaging diagnostics of hyperparathyroidism. Der Radiologe. 2013;53(3):261-276.
18. Mohebati A, Shaha AR. Imaging techniques in parathyroid surgery for primary hyperparathyroidism. Am J Otolaryngol. 2012;33(4):457-468. doi: https://doi.org/10.1016/j.amjoto.2011.10.010
19. Judson BL, Shaha AR. Nuclear imaging and minimally invasive surgery in the management of hyperparathyroidism. J Nucl Med. 2008;49(11):1813-1818. doi: https://doi.org/10.2967/jnumed.107.050237
20. Tublin ME, Pryma DA, Yim JH, et al. Localization of Parathyroid Adenomas by Sonography and Technetium Tc 99m Sestamibi Single-Photon Emission Computed Tomography Before Minimally Invasive Parathyroidectomy. J Ultrasound Med. 2009;28(2):183-190. doi: https://doi.org/10.7863/jum.2009.28.2.183
21. Berber E, Parikh RT, Ballem N, et al. Factors contributing to negative parathyroid localization: an analysis of 1000 patients. Surgery. 2008;144(1):74-79. doi: https://doi.org/10.1016/j.surg.2008.03.019
22. Udelsman R. Approach to the patient with persistent or recurrent primary hyperparathyroidism. J Clin Endocrinol Metab. 2011;96(10):2950-2958. doi: https://doi.org/10.1210/jc.2011-1010
23. Калинин А.П., Павлов А.В., Александров Ю.К. и др. Методы визуализации околощитовидных желез и паратиреоидная хирургия: Руководство для врачей. / Под ред. А.П. Калинина. – М.: Издательский дом Видар-М; 2010. [Kalinin AP, Pavlov AV, Aleksandrov YK, et al. Kalinin AP, editor. Metody vizualizatsii okoloshchitovidnykh zhelez i paratireoidnaya khirurgiya: Rukovodstvo dlya vrachey. Moscow: Vidar-M; 2010. (In Russ.)]
Об авторах
Константин Юрьевич СлащукРоссия
научный сотрудник, врач-эндокринолог
Михаил Владимирович Дегтярев
Россия
заведующий отделением радионуклидной диагностики ОРНДТ
Сергей Сергеевич Серженко
Россия
врач-рентгенолог, отдел радионуклидной диагностики и терапии
Павел Олегович Румянцев
Россия
д.м.н.
Марина Сергеевна Шеремета
Россия
кандидат медицинских наук, заведующая отделением радионуклидной терапии
Валентина Сергеевна Ясюченя
Россия
Алексей Андреевич Трухин
Россия
Ярослав Игоревич Сирота
Россия
Ольга Дмитриевна Баранова
Россия
клинический ординатор
Петр Алексеевич Никифорович
Россия
Дополнительные файлы
|
1. Изображения к статье | |
| Тема | ||
| Тип | Прочее | |
Скачать
(401KB)
|
Метаданные ▾ | |
|
|
2. Рис. 1. Верхний ряд – планарная сцинтиграфия через 15 и 90 мин после введения РФП; нижний ряд – ОФЭКТ/КТ через 90 мин; Стрелкой (→) отмечены зоны интенсивного накопления РФП в проекции правой нижней ОЩЖ и узла в нижнем полюсе левой доли ЩЖ. | |
| Тема | ||
| Тип | Прочее | |
Посмотреть
(351KB)
|
Метаданные ▾ | |
|
|
3. Рис. 2. Алгоритм диагностического поиска (схема). | |
| Тема | ||
| Тип | Прочее | |
Посмотреть
(254KB)
|
Метаданные ▾ | |
Рецензия
Для цитирования:
Слащук К.Ю., Дегтярев М.В., Серженко С.С., Румянцев П.О., Шеремета М.С., Ясюченя В.С., Трухин А.А., Сирота Я.И., Баранова О.Д., Никифорович П.А. Клинический случай сочетания дифференцированного рака щитовидной железы и первичного гиперпаратиреоза: сложности топической дифференциальной диагностики. Проблемы Эндокринологии. 2019;65(4):243-250. https://doi.org/10.14341/probl10107
For citation:
Slashchuk K.Yu., Degtyarev M.V., Serzhenko S.S., Rumyantsev P.O., Sheremeta M.S., Yasuchenia V.S., Trukhin A.A., Sirota Ya.I., Baranova O.D., Nikiforovich P.A. A clinical case of combined differentiated thyroid cancer and primary hyperparathyroidism: the complexity of topical differential diagnosis. Problems of Endocrinology. 2019;65(4):243-250. https://doi.org/10.14341/probl10107
Контент доступен под лицензией Creative Commons Attribution-NonCommercial-NoDerivatives 4.0 International License (CC BY-NC-ND 4.0).




































.jpg)

