Streptozocin-induced Alzheimer’s disease as an independent risk factor for the development of hyperglycemia in Wistar rats
https://doi.org/10.14341/probl12126
Abstract
BACKGROUND: In recent years the theme of the relationship of Alzheimer’s disease (AD) and metabolic disorders has been widely discussed. Nevertheless, it remains unclear whether AD is a direct cause of carbohydrate metabolism disorders or it is the presence of classical risk factors for type 2 diabetes mellitus (DM 2), primarily obesity, that significantly increases the risk of AD.
AIM: To evaluate the separate contribution of two factors to the development of disorders of carbohydrate metabolism: (1) weight gain due to a high-calorie diet and (2) experimental-induced AD.
METHODS: Male Wistar rats were injected with streptozocin (STZ) in the lateral ventricles of the brain to induce AD or saline (sham operated animals - SO) during stereotactic operations. After 2 weeks, the animals were divided into four groups: 1) the SO group, which was assigned to the normal calorie (NCD) diet (SO NCD); 2) the SO group, which was assigned to the high-calorie diet (SO HCD); 3) the group to which the norm-calorie diet was prescribed after the administration of STZ into the lateral ventricles of the brain (STZ NCD); 4) the group to which the HCD was assigned after the administration of STZ (STZ HCD). The animals were on a diet for 3 months. Intraperitoneal glucose tolerance tests were carried out before the diet and after 3 months. At the end of the study, a morphological assessment of brain tissue, pancreas, and liver was performed.
RESULTS: 3 months after surgical interventions and the appointment of diets, the glycemic curves significantly differed in the 4 studied groups: normoglycemia persisted only in the SO + NCD group, while HCD and the STZ administration were accompanied by the development of hyperglycemia (p = 0.0001). The STZ + NСD group, which represented the isolated effect of AD, was also characterized by impaired carbohydrate metabolism. A morphological study showed that HCD leads to a more pronounced ectopic accumulation of fat in the liver and pancreas tissue than NCD. The administration of STZ, regardless of the diet, led to changes typical for the AD model – an increase in the size of the ventricles of the brain, degeneration of white matter, and the accumulation of β-amyloid in the hypothalamus.
CONCLUSIONS: The STZ-induced brain damage typical for AD led to impaired carbohydrate metabolism regardless of diet and was an independent risk factor for hyperglycemia.
About the Authors
Alla V. StavrovskayaRussian Federation
PhD in Biology, leading research associate
Dmitry N. Voronkov
Russian Federation
PhD, senior researcher
Ekaterina A. Shestakova
Endocrinology Research Centre
Russian Federation
MD, PhD
Anastasiya S. Gushchina
Russian Federation
research associate
Artyom S. Olshansky
Russian Federation
PhD in Biology, senior research associate
Nina G. Yamshikova
Russian Federation
PhD in Biology, leading research associate
References
1. Benziger CP, Roth GA, Moran AE. The Global Burden of Disease Study and the Preventable Burden of NCD. Glob Heart. 2016;11(4):393-397. doi: https://doi.org/10.1016/j.gheart.2016.10.024
2. Surkova EV. Diabetes mellitus and the central nervous system. Ther arch. 2016;88(10):82-86. 10.17116/terarkh201688682-86
3. Anjum I, Fayyaz M, Wajid A, et al. Does obesity increase the risk of dementia: a literature review. Cureus. 2018;10(5):e2660. doi: https://doi.org/10.7759/cureus.2660
4. Paxinos G, Watson C. The rat brain in stereotaxic coordinates. London: Academic Press; 2007. 456 p.
5. Goryacheva MA, Makarova MN. Special aspects of glucose tolerance test in small laboratory rodents (mice and rats). Mezhdunarodnii vestnik veterinarii. 2016;3:155-159.
6. Karkishchenko NN. Rukovodstvo po laboratornym zhivotnym i al’ternativnym modeliam v biomeditsinskikh issledovaniyakh. Ed by NN Karkishchenko, SV Grachev. Moscow: Profil’; 2010, 358 p.
7. Schwingshackl L, Hoffmann G, Lampousi AM, et al. Food groups and risk of type 2 diabetes mellitus: a systematic review and meta-analysis of prospective studies. Eur J Epidemiol. 2017;32(5):363–375. doi:10.1007/s10654-017-0246-y
8. Janson J, Laedtke T, Parisi JE, et al. Increased risk of type 2 diabetes in alzheimer disease. Diabetes. 2004;53(2):474-481. doi: https://doi.org/10.2337/diabetes.53.2.474
9. Kamat P. Streptozotocin induced Alzheimer′s disease like changes and the underlying neural degeneration and regeneration mechanism. Neural Regen Res. 2015;10(7):1050-1052. doi: https://doi.org/10.4103/1673-5374.160076
10. Gupta S, Yadav K, Mantri SS, et al. Evidence for compromised insulin signaling and neuronal vulnerability in experimental model of sporadic Alzheimer’s disease. Mol Neurobiol. 2018;55(12): 8916−8935. doi: https://doi.org/10.1007/s12035-018-0985-0
11. Deeds MC, Anderson JM, Armstrong AS, et al. Single dose streptozotocin-induced diabetes: considerations for study design in islet transplantation models. Lab Anim. 2011;45(3):131-140. doi: https://doi.org/10.1258/la.2010.010090
12. Srinivasan K, Viswanad B, Asrat L, et al. Combination of high-fat diet-fed and low-dose streptozotocin-treated rat: a model for type 2 diabetes and pharmacological screening. Pharmacol Res. 2005;52(4):313-320. doi: https://doi.org/10.1016/j.phrs.2005.05.004
13. Grieb P. Intracerebroventricular Streptozotocin Injections as a Model of Alzheimer’s Disease: in Search of a Relevant Mechanism. Mol Neurobiol. 2016;53(3):1741−1752. doi: https://doi.org/10.1007/s12035-015-9132-3
14. Bloch K, Gil-Ad I, Vanichkin A, et al. Intracerebroventricular Streptozotocin induces obesity and dementia in Lewis rats. J Alzheimers Dis. 2017;60(1):121-136. doi: https://doi.org/10.3233/JAD-161289
15. Zhang X, van den Pol AN. Hypothalamic arcuate nucleus tyrosine hydroxylase neurons play orexigenic role in energy homeostasis. Nat Neurosci. 2016;19(10):1341-1347. doi: https://doi.org/10.1038/nn.4372
16. García-Cáceres C, Balland E, Prevot V, et al. Role of astrocytes, microglia, and tanycytes in brain control of systemic metabolism. Nat Neurosci. 2019;22(1):7-14. doi: https://doi.org/10.1038/s41593-018-0286-y
17. Vercruysse P, Vieau D, Blum D, et al. Hypothalamic alterations in neurodegenerative diseases and their relation to abnormal energy metabolism. Front Mol Neurosci. 2018;11:2. doi:10.3389/fnmol.2018.00002
18. Zheng H, Zhou Q, Du Y, et al. The hypothalamus as the primary brain region of metabolic abnormalities in APP/PS1 transgenic mouse model of Alzheimer’s disease. Biochim Biophys Acta Mol Basis Dis. 2018;1864(1):263-273. doi: https://doi.org/10.1016/j.bbadis.2017.10.028
19. Clarke JR, Lyra E Silva NM, Figueiredo CP, et al. Alzheimer-associated Aβ oligomers impact the central nervous system to induce peripheral metabolic deregulation. EMBO Mol Med. 2015;7(2):190-210. doi: https://doi.org/10.15252/emmm.201404183
20. Ishii M, Wang G, Racchumi G, et al. Transgenic mice overexpressing amyloid precursor protein exhibit early metabolic deficits and a pathologically low leptin state associated with hypothalamic dysfunction in arcuate neuropeptide neurons. J Neurosci. 2014;34(27):9096-9106. doi: https://doi.org/10.1523/JNEUROSCI.0872-14.2014
21. Verberne AJ, Sabetghadam A, Korim WS. Neural pathways that control the glucose counterregulatory response. Front Neurosci. 2014;8:38. doi: https://doi.org/10.3389/fnins.2014.00038
22. Timper K, Brüning JC. Hypothalamic circuits regulating appetite and energy homeostasis: pathways to obesity. Dis Model Mech. 2017;10(6):679-689. doi: https://doi.org/10.1242/dmm.026609
23. Baloyannis SJ, Mavroudis I, Mitilineos D, et al. The hypothalamus in Alzheimer’s disease: a Golgi and electron microscope study. Am J Alzheimers Dis Other Demen. 2015;30(5):478-487. doi: https://doi.org/10.1177/1533317514556876
24. Ishii M, Iadecola C. Metabolic and non-cognitive manifestations of Alzheimer’s disease: the hypothalamus as both culprit and target of pathology. Cell Metab. 2015;22(5):761-776. doi: https://doi.org/10.1016/j.cmet.2015.08.016
25. Bogolepova AN. Alzheimer’’s disease and diabetes mellitus. Meditsinskiy sovet. 2015;18:36-40. doi: 10.21518/2079-701X-2015-18-36-40
26. Tran DQ, Tse EK, Kim MH, Belsham DD. Diet-induced cellular neuroinflammation in the hypothalamus: mechanistic insights from investigation of neurons and microglia. Mol Cell Endocrinol. 2016;438:18-26. doi: https://doi.org/10.1016/j.mce.2016.05.015
27. Guillemot-Legris O, Muccioli GG. Obesity-induced neuroinflammation: beyond the hypothalamus. Trends Neurosci. 2017;40(4): 237-253. doi: https://doi.org/10.1016/j.tins.2017.02.005.
28. Rollins CP, Gallino D, Kong V, et al. Contributions of a high-fat diet to Alzheimer’s disease-related decline: a longitudinal behavioural and structural neuroimaging study in mouse models. Neuroimage Clin. 2019;21:101606. doi: https://doi.org/10.1016/j.nicl.2018.11.016
29. Rodriguez-Casado A, Toledano-Díaz A, Toledano A. Defective insulin signalling, mediated by inflammation, connects obesity to Alzheimer disease. Relevant pharmacological therapies and preventive dietary interventions. Curr Alzheimer Res. 2017;14(8):894-911. doi: https://doi.org/10.2174/1567205014666170316161848
30. Shingo AS, Kanabayashi T, Kito S, Murase T. Intracerebroventricular administration of an insulin analogue recovers STZ-induced cognitive decline in rats. Behav Brain Res. 2013;241:105-111. doi: https://doi.org/10.1016/j.bbr.2012.12.005
31. Palleria C, Leo A, Andreozzi F, et al. Liraglutide prevents cognitive decline in a rat model of streptozotocin-induced diabetes independently from its peripheral metabolic effects. Behav Brain Res. 2017;321:157-169. doi: https://doi.org/10.1016/j.bbr.2017.01.004
32. Shestakova EA, Stavrovskaya AV, Gushchina AS, et al. Cognitive function and metabolic features in male Sprague-Dawley rats receiving high-fat and low-calorie diets. Obesity and metabolism. 2018;15(4):65-73. doi: 10.14341/OMET10022
33. Goldman ES, Goez D, Last D, et al. High-fat diet protects the blood-brain barrier in an Alzheimer’s disease mouse model. Aging Cell. 2018;17(5):e12818. doi: https://doi.org/10.1111/acel.12818
34. Lin B, Hasegawa Y, Takane K, et al. High-fat-diet intake enhances cerebral amyloid angiopathy and cognitive impairment in a mouse model of Alzheimer’s disease, independently of metabolic disorders. J Am Heart Assoc. 2016;5(6). pii: e003154. doi: https://doi.org/10.1161/JAHA.115.003154
Supplementary files
|
1. Fig. 1. Design of a research. | |
Subject | ||
Type | Other | |
View
(100KB)
|
Indexing metadata ▾ |
|
2. Fig. 2. Results of the intraperitoneal glucose tolerance test. | |
Subject | ||
Type | Other | |
View
(124KB)
|
Indexing metadata ▾ |
|
3. Fig. 3. Changes in animal body weight. | |
Subject | ||
Type | Other | |
View
(144KB)
|
Indexing metadata ▾ |
|
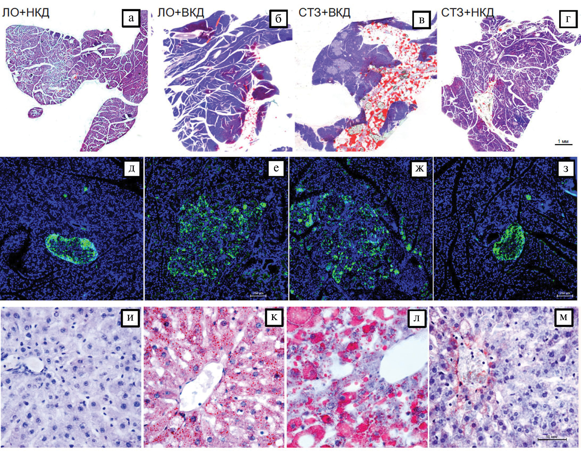
4. Fig. 4. Morphological pattern of pancreas (a-z) and liver (i-m) in animals treated with NCD (a, d, and), in group of CCD LO (b, e, k), group of CCC CTS (c, g, l) and group of CCC CTS (g, z, m): a-g, and red - detection by lip. D-h - pancreatic islets, detection of chromogranin A (green), nuclei of DAPI (blue). Scale: 1 mm - in figures a-g, 250 mcm - in figures d-h, 50 mcm - in figures i-m. | |
Subject | ||
Type | Other | |
View
(1MB)
|
Indexing metadata ▾ |
|
5. Fig. 5. Changes in the wall III of the ventricle of the brain and adjacent structures of the hypothalamus under the action of STZ (× 40): a, b - degeneration of GFAP-positive α-tanocytes, damage to the ventricle wall and reduction of astroglia density (GFAP dislocation); C, d is the accumulation of β-amyloid in neurons; Administration of physiological saline (a, c); Intracentricular administration of streptosocin (b, g); The cores are DAPI (blue). | |
Subject | ||
Type | Other | |
View
(474KB)
|
Indexing metadata ▾ |
|
6. Fig. 6. Changes in the mediobasal structures of hypothalamus under the action of STZ (× 10): a, b, b - cyclonucleotide phosphatase (CNP); D, e, e is glyofibrillar protein (GFAP); G, h, and are dopamine (TH-positive) neurons of the arcuate nucleus. Symbols: arrows indicate areas of damage; The cores are DAPI (blue). | |
Subject | ||
Type | Other | |
View
(876KB)
|
Indexing metadata ▾ |
|
7. Fig. 7. Density of GFAP-positive astrocytes (a) and dopaminergic neurons (b) in the arcuate nucleus of the hypothalamus (M ± SD; ANOVA, posteriory test Tuki). | |
Subject | ||
Type | Other | |
View
(99KB)
|
Indexing metadata ▾ |
Review
For citations:
Stavrovskaya A.V., Voronkov D.N., Shestakova E.A., Gushchina A.S., Olshansky A.S., Yamshikova N.G. Streptozocin-induced Alzheimer’s disease as an independent risk factor for the development of hyperglycemia in Wistar rats. Problems of Endocrinology. 2019;65(5):351-361. https://doi.org/10.14341/probl12126

This work is licensed under a Creative Commons Attribution-NonCommercial-NoDerivatives 4.0 International License (CC BY-NC-ND 4.0).