Перейти к:
Первый опыт применения ингибитора ароматазы в сочетании с гормоном роста с целью улучшения ростового прогноза у подростка 14 лет с дефицитом гормона роста после лечения краниофарингиомы. Описание клинического случая
https://doi.org/10.14341/probl13446
Аннотация
В статье описывается первый опыт успешного применения гормона роста (ГР) в сочетании с ингибитором ароматазы (ИА) у мальчика 14 лет. В возрасте 7 лет у него появились головные боли с тошнотой и рвотой, на МРТ была выявлена краниофарингиома (КФ). Была установлена система Оммайя и проведена лучевая терапия. В результате лечения развился дефицит гормона роста (ГР) и вторичный гипотиреоз. В 9 лет появились признаки полового созревания. Темпы роста до 14 лет оставались удовлетворительными. В 14 лет скорость роста замедлилась, что послужило причиной обращения. При обследовании костный возраст составил 16 лет, ожидаемый конечный рост без терапии — 162 см. Учитывая плохой ростовой прогноз, был назначен ИА анастрозол в сочетании с ГР. В течение двух лет терапии прибавка в росте составила 12,5 см. Данное наблюдение показывает, что нормальные темпы роста у больных с КФ не свидетельствуют о сохранной соматотропной функции гипофиза. При сохранной половой функции может наблюдаться раннее или преждевременное половое созревание. В таких случаях, помимо ГР, могут назначаться ИА — препараты, тормозящие закрытие зон роста. Терапия ГР в сочетании с ИА высокоэффективна и безопасна у пациентов с дефицитом ГР после лечения КФ в период полового созревания и позволяет достичь хороших ростовых показателей.
Для цитирования:
Мазеркина Н.А., Горелышев С.К., Саватеев А.Н., Стребкова Н.А., Калинин А.Л. Первый опыт применения ингибитора ароматазы в сочетании с гормоном роста с целью улучшения ростового прогноза у подростка 14 лет с дефицитом гормона роста после лечения краниофарингиомы. Описание клинического случая. Проблемы Эндокринологии. 2025;71(1):66-71. https://doi.org/10.14341/probl13446
For citation:
Mazerkina N.A., Gorelyshev S.K., Savateev A.N., Strebkova N.A., Kalinin A.L. First experience using an aromatase inhibitor in combination with growth hormone to improve growth prognosis in a 14-year-old boy with growth hormone deficiency after treatment of craniopharyngioma. A case-report. Problems of Endocrinology. 2025;71(1):66-71. (In Russ.) https://doi.org/10.14341/probl13446
АКТУАЛЬНОСТЬ
Рост у детей остается важным показателем здоровья и социальной адаптации. После лечения опухолей мозга может наблюдаться задержка роста, обусловленная дефицитом ГР и нарушением полового созревания. Своевременная диагностика таких состояний и назначение адекватной терапии позволяют достичь удовлетворительных показателей конечного роста.
ОПИСАНИЕ СЛУЧАЯ
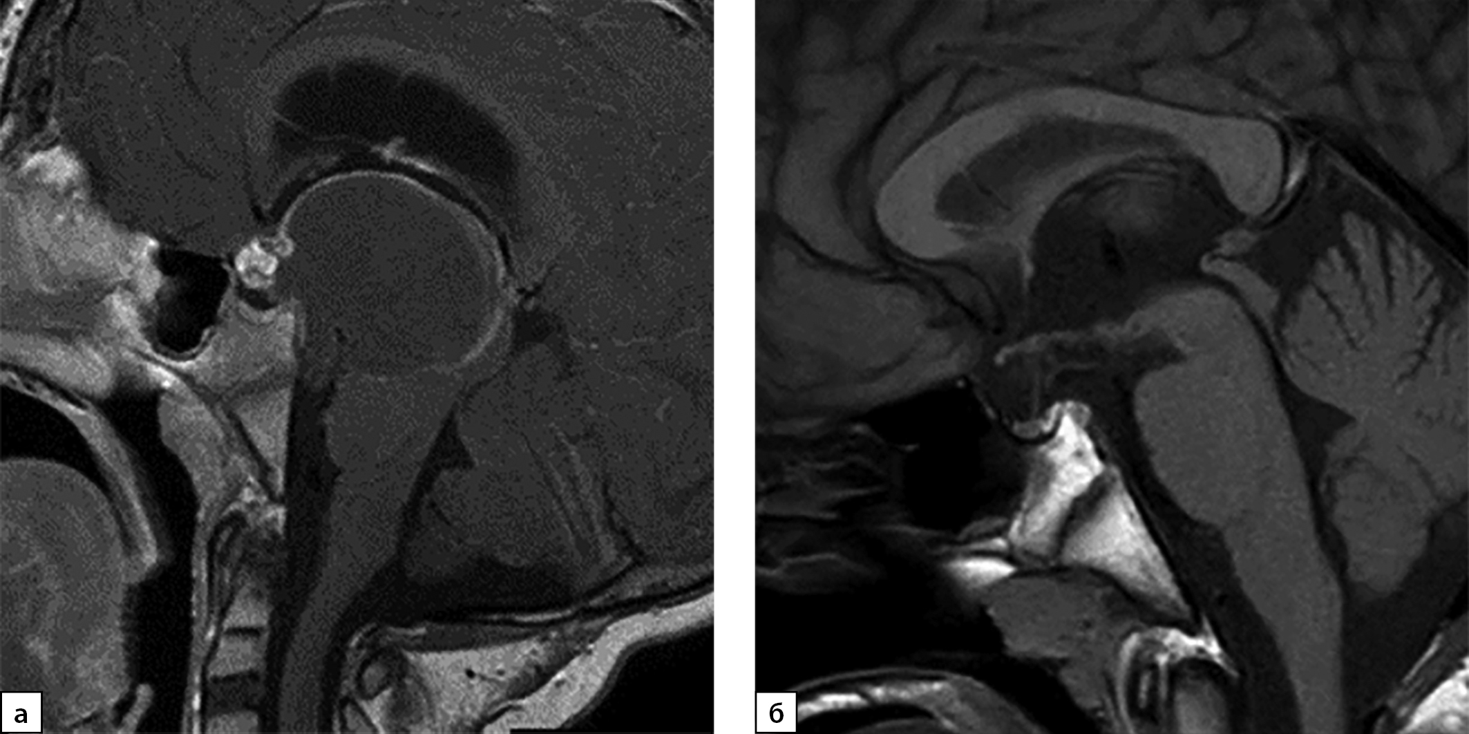
В возрасте 7 лет у мальчика появились головные боли с тошнотой и рвотой. Он был обследован, при МРТ выявлена краниофарингиома (КФ) (рис. 1а). Была проведена операция — биопсия опухоли и установка системы Оммайя с эвакуацией кистозного содержимого с последующей протонотерапией. После лечения развился вторичный гипотиреоз, по поводу которого назначена заместительная терапия препаратом левотироксина.
В дальнейшем пациент находился под наблюдением нейрохирурга (рецидива опухоли не было, рис. 1б) и эндокринолога по месту жительства. Исследование функции ГР не проводилось в связи с нормальными темпами роста (рис. 2). В 14 лет рост замедлился до 2 см в год, что послужило причиной обращения к эндокринологу в НМИЦ нейрохирургии им. акад. Н.Н. Бурденко.

Рисунок 1. МРТ пациента с КФ (а — до операции, б — на момент обращения).

Рисунок 2. Ростовая кривая пациента до и после назначения ИА.
Результаты физикального, лабораторного и инструментального обследований
При осмотре в 14,0 лет: рост — 157,5 см (SDS роста=-0,82), рост родителей: мама — 165 см, папа — 175 см, целевой рост — 176,5 см. Получает Л-тироксин 75 мкг в сутки. Половое развитие по Таннеру — 4, объем тестикул — 15 мл. Со слов, первые симптомы полового созревания появились в 9 лет. Костный возраст — 16 лет (рис. 3). В анализе крови на гормоны (табл. 1) все показатели в пределах нормы, кроме уровня инсулиноподобного фактора роста 1 (ИФР-1) — 130 нг/мл (SDS ИФР-1 составил -2,3). Ожидаемый конечный рост без терапии — 162 см.

Рисунок 3. Костный возраст (16 лет) пациента до терапии.
Таблица 1. Уровни показателей крови у пациента до и на фоне назначения ГР с ИА
|
Показатели крови |
До назначения ГР и ИА |
На фоне приема ГР и ИА |
Норма |
|
ТТГ, мкЕд/л |
0,01 |
0,03 |
0,4–4,0 |
|
свТ4, пМоль/л |
15,6 |
16,5 |
10,7–18,4 |
|
кортизол, нМоль/л |
385 |
512 |
101–536 |
|
пролактин, мЕд/л |
132 |
214 |
85–328 |
|
ЛГ, мЕд/л |
3,0 |
10 |
0–7 |
|
ФСГ, мЕд/л |
3,45 |
4,3 |
1,4–7,5 |
|
тестостерон, нМоль/л |
28,0 |
36 |
0,31–18,5 |
|
ИФР-1, нг/мл |
130 |
583 |
177–607 |
|
гемоглобин, г/л |
128 |
175 |
120–160 |
Лечение
Учитывая неудовлетворительный ростовой прогноз, наличие дефицита ГР в исходе лечения КФ, пациенту была назначена заместительная терапия ГР в дозе 0,033 мг на кг массы тела в сутки в сочетании с ИА с целью замедления костного созревания анастрозолом 1 мг в сутки. Проводился контроль гормональных показателей (табл. 1), биохимического и общего анализов крови. Из побочных эффектов отмечалось появление угревой сыпи на лице, а также повышение уровня гемоглобина до 175 г/л (табл. 1) при гематокрите 56%, в дальнейшем на фоне терапии уровень гемоглобина нормализовался.
Исход и результаты последующего наблюдения
Данную терапию пациент получал в течение двух лет, на этом фоне вырос со 157,5 до 170 см (на 12,5 см) (рис. 2). В настоящее время пациент продолжает получать терапию, данных о его конечном росте пока нет.
ОБСУЖДЕНИЕ ПОЛУЧЕННЫХ РЕЗУЛЬТАТОВ
КФ — доброкачественные опухоли, удаление которых приводит к пангипопитуитаризму у 61–100% пациентов [1][2]. В описанном нами случае опухоль имела преимущественно кистозное строение, в связи с чем ее удаление не проводилось, стереотаксически была установлена система Оммайя с последующей эвакуацией кистозного содержимого и протонотерапией. Облучение после операции также вызывает дефицит гормонов гипофиза. Наиболее чувствительной к повреждающему воздействию является функция ГР [3]. Учитывая наличие у пациента гипотиреоза, сопутствующий дефицит ГР не вызывал сомнений, в связи с чем стимуляционные тесты для исследования функции ГР пациенту не проводились. ИФР-1 отражает суммарную секрецию ГР, его нормативные значения зависят от возраста и стадии полового созревания [4]. В данном клиническом случае сниженный уровень ИФР-1 также свидетельствовал о дефиците ГР у пациента.
Безопасность терапии ГР у пациентов с различными опухолями мозга, в частности КФ, остается предметом дискуссии, хотя на сегодняшний день не выявлено увеличения частоты рецидивов на фоне лечения [5]. Так, в наиболее крупной международной базе данных KIGS, куда включен 1381 пациент с КФ, частота рецидивов составила 11,9%, что не выше, чем у пациентов, не получавших ГР [6].
Несмотря на дефицит ГР, часть больных может хорошо расти за счет других факторов, а именно за счет повышенной биодоступности ИФР-1 [1], но с течением времени скорость роста обычно снижается. Поэтому оценка функции ГР и ростового прогноза с назначением при необходимости заместительной терапии должна проводиться у всех пациентов с КФ независимо от темпов роста.
Критическим периодом, когда исчерпывается эффективность рост-стимулирующего действия ГР ввиду закрытия зон роста под воздействием половых стероидов, является период полового созревания. После лечения КФ у большинства пациентов отмечается сопутствующий гипогонадизм. В этих случаях заместительную терапию половыми гормонами можно начинать в любом возрасте, когда рост пациента достиг удовлетворительных показателей. У пациентов с сохранной половой функцией рост-стимулирующая терапия ГР ограничена по времени.
Одним из последствий облучения при различных опухолях мозга может быть раннее или преждевременное половое созревание (в том числе и при КФ, если сохранна половая функция), пубертат в среднем наступает на 2 года раньше, чем в общей популяции [7]. Скорость роста в таких случаях может быть нормальной, но пациенты не реализуют свой ростовой скачок в период полового созревания, и вследствие этого конечный рост может быть низким, особенно у пациентов с сопутствующим дефицитом ГР, как в описанном нами случае.
С целью замедления костного созревания в таких случаях возможно назначение аналогов гонадолиберина, однако это приводит к развитию гипогонадизма [8].
В различных исследованиях было показано, что среди половых гормонов именно эстрогены оказывают основное влияние на костное созревание [9]. Эстрогены уменьшают количество клеток — предшественников хондроцитов в фазе покоя, способствуя стабильности структуры хряща [10]. Таким образом блокада эстрогенов может задерживать костное созревание, не вызывая гипогонадизма у подростков мужского пола [11]. Эстрогены синтезируются из тестостерона путем ароматизации с помощью фермента ароматазы. Поэтому назначение ИА блокирует синтез эстрогенов в организме, и таким образом замедляется закрытие зон роста.
На фоне терапии по принципам обратной связи может повышаться секреция ЛГ и тестостерона, что мы и видели у нашего пациента. Повышение уровня тестостерона привело к появлению угревой сыпи и повышению уровня гемоглобина [12]. Данная терапия позволила увеличить скорость роста пациента с 2 см в год до 6 см в год, в целом за два года лечения прибавка в росте составила 12,5 см.
В литературе данные об эффективности терапии БА достаточно разнородны. В недавнем кохрановском обзоре, анализировавшем 4 исследования в совокупности 84 пациентов с различными формами низкорослости (дефицит ГР, идиопатическая низкорослость, конституциональная задержка роста и пубертата), несмотря на то, что прогнозируемый конечный рост увеличился на 5,1–6,1 см во всех исследованиях по сравнению с контрольной группой, улучшений конечного роста не было [13]. Правда, конечный рост анализировался в двух исследованиях из четырех. В одном из последних метаанализов, анализирующих эффективность БА и аналогов гонадолиберина в монотерапии у пациентов с идиопатической низкорослостью, прибавка конечного роста на фоне БА составила 4,9 см [14]. У нашего пациента конечный рост улучшился со 162 до 170 см, такой хороший эффект обусловлен, вероятно, комбинированной терапией ГР и БА у пациента с соматотропной недостаточностью.
В опубликованной на сегодняшний день литературе нет сообщений о применении ИА в сочетании с ГР у детей с опухолями мозга, в том числе при КФ.
В настоящее время мальчик продолжает получать терапию ГР и ИА, данных о его конечном росте пока нет.
ЗАКЛЮЧЕНИЕ
Нормальные темпы роста у пациентов с КФ не свидетельствуют о сохранности функции ГР. При сохранной половой функции может наблюдаться раннее или преждевременное половое созревание. В таких случаях, помимо ГР, могут назначаться ИА — препараты, тормозящие закрытие зон роста. Терапия ГР в сочетании с ИА высокоэффективна и безопасна у пациентов с дефицитом ГР после лечения КФ в период полового созревания и позволяет достичь хороших ростовых показателей.
СПИСОК СОКРАЩЕНИЙ
ГР — гормон роста
КФ — краниофарингиома
ИА — ингибиторы ароматазы
ИФР-1 — инсулиноподобный фактор роста 1
ДОПОЛНИТЕЛЬНАЯ ИНФОРМАЦИЯ
Источники финансирования. Работа выполнена по инициативе авторов без привлечения финансирования.
Конфликт интересов. Авторы декларируют отсутствие явных и потенциальных конфликтов интересов, связанных с содержанием настоящей статьи.
Участие авторов. Мазеркина Н.А. — сбор и обработка материала, интерпретация результатов, написание текста, подготовка рукописи; Горелышев С.К. — критическая интерпретация результатов, внесение существенной правки, одобрение финальной версии; Саватеев А.Н. — подготовка рукописи; Калинин А.Л. — интерпретация результатов, подготовка рукописи, внесение существенной правки; Стребкова Н.А. — интерпретация результатов, подготовка рукописи, внесение существенной правки.
Все авторы одобрили финальную версию статьи перед публикацией, выразили согласие нести ответственность за все аспекты работы, подразумевающую надлежащее изучение и решение вопросов, связанных с точностью или добросовестностью любой части работы.
Согласие пациента. Законный представитель пациента добровольно подписал информированное согласие на публикацию персональной медицинской информации в обезличенной форме в этом журнале.
Список литературы
1. Мазеркина Н.А. Соматотропная функция гипофиза и периферические ростовые факторы у детей с краниофарингиомой — Дисс. на соискание уч. ст. к.м.н., Москва, 1996.
2. Müller HL. Consequences of Craniopharyngioma Surgery in Children. J Clin Endocrinol Metab. 2011;96(7):1981-1991. doi: https://doi.org/10.1210/jc.2011-0174
3. Дедов И.И., Тюльпаков А.Н., Петеркова В.А. Соматотропная недостаточность. — Ид-во «ИндексПринт», Москва, 1998.
4. Caputo M, Pigni S, Agosti E, et al. Regulation of GH and GH Signaling by Nutrients. Cells. 2021;10(6):1376. doi: https://doi.org/10.3390/cells10061376
5. Allen DB, Backeljauw P, Bidlingmaier M, et al. GH safety workshop position paper: A critical appraisal of recombinant human GH therapy in children and adults. Eur J Endocrinol. 2016. doi: https://doi.org/10.1530/EJE-15-0873
6. Maghnie M, Ranke MB, Geffner ME, et al. Safety and Efficacy of Pediatric Growth Hormone Therapy: Results From the Full KIGS Cohort. J Clin Endocrinol Metab. 2022;107(12):3287-3301. doi: https://doi.org/10.1210/clinem/dgac517
7. Oberfield SE, Sklar CA. Endocrine sequelae in survivors of childhood cancer. Adolesc Med. 2002
8. Soriano-Guillén L, Argente J. Central precocious puberty, functional and tumor-related. Best Pract Res Clin Endocrinol Metab. 2019;33(3):101262. doi: https://doi.org/10.1016/j.beem.2019.01.003
9. Smith EP, Boyd J, Frank GR, et al. Estrogen Resistance Caused by a Mutation in the Estrogen-Receptor Gene in a Man. N Engl J Med. 1994. doi: https://doi.org/10.1056/nejm199410203311604
10. Gafni RI, Weise M, Robrecht DT, et al. Catch-Up Growth Is Associated with Delayed Senescence of the Growth Plate in Rabbits. Pediatr Res. 2001;50(5):618-623. doi: https://doi.org/10.1203/00006450-200111000-00014
11. Mauras N, Ross JL, Gagliardi P, et al. Randomized Trial of Aromatase Inhibitors, Growth Hormone, or Combination in Pubertal Boys with Idiopathic, Short Stature. J Clin Endocrinol Metab. 2016;101(12):4984-4993. doi: https://doi.org/10.1210/jc.2016-2891
12. de Ronde W, de Jong FH. Aromatase inhibitors in men: Effects and therapeutic options. Reprod Biol Endocrinol. 2011. doi: https://doi.org/10.1186/1477-7827-9-93
13. McGrath N, O’Grady MJ. Aromatase inhibitors for short stature in male children and adolescents. Cochrane Database Syst Rev. 2015;2015(10). doi: https://doi.org/10.1002/14651858.CD010888.pub2
14. Wang S, Wu Z, Chen Y, et al. Comparative efficacy of aromatase inhibitors and gonadotropin-releasing hormone analogue in increasing final height of idiopathic short stature boys: a network meta-analysis. Front Endocrinol (Lausanne). 2023;14. doi: https://doi.org/10.3389/fendo.2023.1167351
Об авторах
Н. А. МазеркинаРоссия
Мазеркина Надежда Александровна, д.м.н., профессор
125047, Москва, 1 Тверская-Ямская, 16
С. К. Горелышев
Россия
Горелышев Сергей Кириллович, д.м.н., профессор
Москва
Конфликт интересов:
Moscow
А. Н. Саватеев
Россия
Саватеев Александр Николаевич, к.м.н.
Москва
Н. А. Стребкова
Россия
Стребкова Наталья Анатольевна, к.м.н.
Москва
А. Л. Калинин
Россия
Калинин Алексей Леонидович, к.м.н.
Москва
Дополнительные файлы
|
|
1. Рисунок 1. МРТ пациента с КФ (а — до операции, б — на момент обращения). | |
| Тема | ||
| Тип | Исследовательские инструменты | |
Посмотреть
(627KB)
|
Метаданные ▾ | |
|
|
2. Рисунок 2. Ростовая кривая пациента до и после назначения ИА. | |
| Тема | ||
| Тип | Исследовательские инструменты | |
Посмотреть
(1MB)
|
Метаданные ▾ | |
|
|
3. Рисунок 3. Костный возраст (16 лет) пациента до терапии. | |
| Тема | ||
| Тип | Исследовательские инструменты | |
Посмотреть
(471KB)
|
Метаданные ▾ | |
Рецензия
Для цитирования:
Мазеркина Н.А., Горелышев С.К., Саватеев А.Н., Стребкова Н.А., Калинин А.Л. Первый опыт применения ингибитора ароматазы в сочетании с гормоном роста с целью улучшения ростового прогноза у подростка 14 лет с дефицитом гормона роста после лечения краниофарингиомы. Описание клинического случая. Проблемы Эндокринологии. 2025;71(1):66-71. https://doi.org/10.14341/probl13446
For citation:
Mazerkina N.A., Gorelyshev S.K., Savateev A.N., Strebkova N.A., Kalinin A.L. First experience using an aromatase inhibitor in combination with growth hormone to improve growth prognosis in a 14-year-old boy with growth hormone deficiency after treatment of craniopharyngioma. A case-report. Problems of Endocrinology. 2025;71(1):66-71. (In Russ.) https://doi.org/10.14341/probl13446
Контент доступен под лицензией Creative Commons Attribution-NonCommercial-NoDerivatives 4.0 International License (CC BY-NC-ND 4.0).




































.jpg)

