Spontaneous remission of neuroendocrine diseases due to apoplexy in hormonally active pituitary adenomas
https://doi.org/10.14341/probl13567
Abstract
This article presents a literature review on the topic of remission of severe neuroendocrine diseases due to adenoma apoplexy. The discussion addresses possible mechanisms underlying apoplexy in pituitary adenomas.
Additionally, two clinical cases of spontaneous remission of acromegaly and Cushing's disease in patients hospitalized at Endocrinology research Centre for neurosurgical treatment are discussed. These cases highlight the need for thorough examination and retesting of patients with hormonally active tumors immediately prior to neurosurgical interventions.
About the Authors
V. O. VishnyakovaRussian Federation
Victoria O. Vishnyakova
11 Dm. Ulyanova street, 117036 Moscow
D. A. Belyaeva
Russian Federation
Darya A. Belyaeva
Moscow
E. A. Starostina
Russian Federation
Evgenia A. Starostina, MD, PhD
Moscow
E. G. Przhiyalkovskaya
Russian Federation
Elena G. Przhiyalkovskaya, MD, PhD
Moscow
References
1. Briet C, Salenave S, Bonneville J-F, Laws ER, Chanson P. Pituitary Apoplexy. Endocr Rev. 2015;36(6):622-645. doi: https://doi.org/10.1210/er.2015-1042
2. Skljarevski V, Khoshyomn S, Fries TJ. Pituitary Apoplexy in the Setting of Coronary Angiography. J Neuroimaging. 2003;13(3):276-279. doi: https://doi.org/10.1177/1051228403013003014
3. Mura P, Cossu AP, Musu M, et al. Pituitary apoplexy after laparoscopic surgery: A case report. Eur Rev Med Pharmacol Sci. 2014
4. Hidiroglu M, Kucuker A, Ucaroglu E, Kucuker SA, Sener E. Pituitary Apoplexy After Cardiac Surgery. Ann Thorac Surg. 2010;89(5):1635-1637. doi: https://doi.org/10.1016/j.athoracsur.2009.09.038
5. Kiliçli F, Dökmetaş HS, Gürelik M. Development of pituitary apoplexy during TRH/GnRH test in a patient with pituitary macroadenoma. Singapore Med J. 2010
6. Semple PL, De Villiers JC, Bowen RM, Lopes MBS, Laws ER. Pituitary apoplexy: Do histological features influence the clinical presentation and outcome? J Neurosurg. 2006. doi: https://doi.org/10.3171/jns.2006.104.6.931
7. Oldfield EH, Merrill MJ. Apoplexy of pituitary adenomas: the perfect storm. J Neurosurg. 2015;122(6):1444-1449. doi: https://doi.org/10.3171/2014.10.JNS141720
8. Turner HE, Nagy Z, Gatter KC, Esiri MM, Harris AL, Wass JAH. Angiogenesis in pituitary adenomas and the normal pituitary gland. J Clin Endocrinol Metab. 2000. doi: https://doi.org/10.1210/jcem.85.3.6485
9. Nawar RN, AbdelMannan D, Selman WR, Arafah BM. Analytic Review: Pituitary Tumor Apoplexy: A Review. J Intensive Care Med. 2008. doi: https://doi.org/10.1177/0885066607312992
10. Donegan D, Erickson D. Revisiting Pituitary Apoplexy. J Endocr Soc. 2022. doi: https://doi.org/10.1210/jendso/bvac113
11. Garza I, Kirsch J. Pituitary Apoplexy and Thunderclap Headache. Headache J Head Face Pain. 2007;47(3):431-432. doi: https://doi.org/10.1111/j.1526-4610.2007.00729.x
12. Boellis A, di Napoli A, Romano A, Bozzao A. Pituitary apoplexy: an update on clinical and imaging features. Insights Imaging. 2014;5(6):753-762. doi: https://doi.org/10.1007/s13244-014-0362-0
13. Horwitz MJ. Response to letter: What medical options should be considered for the treatment of primary hyperparathyroidism? Clin Endocrinol (Oxf). 2011. doi: https://doi.org/10.1111/j.1365-2265.2011.04101.x
14. Liu T, Rossiter JP, Houlden RL, Awad S. Sparsely Granulated Corticotroph Pituitary Macroadenoma Presenting With Pituitary Apoplexy Resulting in Remission of Hypercortisolism. AACE Clin Case Reports. 2022. doi: https://doi.org/10.1016/j.aace.2022.04.003
15. Villar-Taibo R, Ballesteros-Pomar MD, Vidal-Casariego A, Álvarez-San Martín RM, Kyriakos G, Cano-Rodríguez I. Spontaneous remission of acromegaly: apoplexy mimicking meningitis or meningitis as a cause of apoplexy? Arq Bras Endocrinol Metabol. 2014;58(1):76-80. doi: https://doi.org/10.1590/0004-2730000002701
16. Roerink SH, van Lindert EJ, van de Ven AC «Spontaneous remission of acromegaly and Cushing’s disease following pituitary apoplexy: Two case reports». The Netherlands Journal of Medicine. 2015;73(5):242-6. PMID: 26087804.
17. Rahman SH, Chittibonia P, Quezado M, Patronas N, Stratakis CA, Lodish MB. Delayed diagnosis of Cushing’s disease in a pediatric patient due to apparent remission from spontaneous apoplexy. J Clin Transl Endocrinol Case Reports. 2016;2:30-34. doi: https://doi.org/10.1016/j.jecr.2016.09.001
18. Kumar S, Sharma S. Pituitary apoplexy causing spontaneous remission of acromegaly following long-acting octreotide therapy: a rare drug side effect or just a coincidence. Oxford Med Case Reports. 2016;2016(4):81-83. doi: https://doi.org/10.1093/omcr/omw009
19. Maltby VE, Crock PA, Lüdecke DK. A rare case of pituitary infarction leading to spontaneous tumour resolution and CSF-sella syndrome in an 11-year-old girl and a review of the paediatric literature. J Pediatr Endocrinol Metab. 2014;27(9-10). doi: https://doi.org/10.1515/jpem-2014-0143
20. Alam S, Kubihal S, Goyal A, Jyotsna VP. Spontaneous Remission of Acromegaly After Pituitary Apoplexy in a Middle-Aged Male. Ochsner J. 2021;21(2):194-199. doi: https://doi.org/10.31486/toj.20.0002
21. vanBoven E, Massolt ET, van Rossum «Spontaneous remission of unidentified Cushing’s disease revealed by hair cortisol analysis». The Netherlands Journal of Medicine. 2020;78(5):297-299. PMID: 33093257.
22. Siwakoti K, Omay SB, Inzucchi SE. Spontaneous resolution of primary hypercortisolism of Cushing disease after pituitary hemorrhage. AACE Clin Case Rep. 2020;6(1):e23-e29. doi: https://doi.org/10.4158/ACCR-2019-0292
23. Sanz-Sapera E, Sarria-Estrada S, Arikan F, Biagetti B. Acromegaly remission, SIADH and pituitary function recovery after macroadenoma apoplexy. Endocrinol Diabetes Metab Case Rep. 2019;2019(1):19-0057. doi: https://doi.org/10.1530/EDM-19-0057
24. Souteiro P, Belo S, Carvalho D. A rare case of spontaneous Cushing disease remission induced by pituitary apoplexy. J Endocrinol Invest. 2017;40(5):555-556. doi: https://doi.org/10.1007/s40618-017-0645-7
25. Raj H, Kamalanathan S, Sahoo JP, Kadhiravan T. Varicella causing remission of Cushing’s disease. BMJ Case Rep. 2018;2018:bcr-2018-225867. doi: https://doi.org/10.1136/bcr-2018-225867
26. Patra S, Biswas SN, Datta J, Chakraborty PP. Hypersomatotropism induced secondary polycythaemia leading to spontaneous pituitary apoplexy resulting in cure of acromegaly and remission of polycythaemia: ‘The virtuous circle’. BMJ Case Rep. 2017;2017:bcr2017222669. doi: https://doi.org/10.1136/bcr-2017-222669
27. Simsek Bagir G, Civi S, Kardes O, Kayaselcuk F, Ertorer ME. Stubborn hiccups as a sign of massive apoplexy in a naive acromegaly patient with pituitary macroadenoma. Endocrinol Diabetes Metab Case Rep. 2017;2017:17-0044. doi: https://doi.org/10.1530/EDM-17-0044
28. Mahkamov KE, Azizov MM. Remission of invasive CTG secreting macroadenocarcinoma of hipophisis with pituitary apoplexy after transsphenoidal adenomectomy. Russian Journal of Oncology. 2015;20(5):36-39 (In Russ.). doi: https://doi.org/10.17816/onco40216
29. Azizyan VN, Grigorjev AU, Ivaschenko OV, Molitvoslovova NN. Intraoperation haemorrhage into hypophysis adenoma as the cause of acromegaly remission. Endocrine Surgery. 2011;5(1):39-44. (In Russ.) doi: https://doi.org/10.14341/2306-3513-2011-1-39-44
Supplementary files
|
|
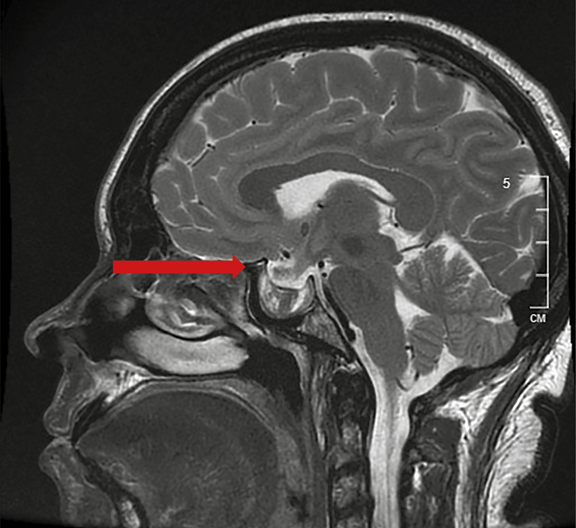
1. Figure 1. MRI of the brain with contrast enhancement from 11/23/2023. MR signs of previous apoplexy in the pituitary adenoma. | |
| Subject | ||
| Type | Исследовательские инструменты | |
View
(514KB)
|
Indexing metadata ▾ | |
Review
For citations:
Vishnyakova V.O., Belyaeva D.A., Starostina E.A., Przhiyalkovskaya E.G. Spontaneous remission of neuroendocrine diseases due to apoplexy in hormonally active pituitary adenomas. Problems of Endocrinology. 2025;71(4):39-46. (In Russ.) https://doi.org/10.14341/probl13567
This work is licensed under a Creative Commons Attribution-NonCommercial-NoDerivatives 4.0 International License (CC BY-NC-ND 4.0).




































.jpg)

