Перейти к:
Связь морфологии сосудистой сети АКТГ-секретирующих аденом гипофиза с возможностью визуализации опухоли при магнитно- резонансной томографии
https://doi.org/10.14341/probl201662411-17
Аннотация
Актуальность. Независимо от разрешающей способности магнитно-резонансной томографии (МРТ) и применения контрастирования до 20% АКТГ-секретирующих аденом гипофиза выявляются только в ходе хирургического вмешательства.
Цель исследования — оценить связь количества и диаметра кровеносных сосудов в АКТГ-секретирующих аденомах гипофиза с возможностью их визуализации при МРТ.
Материал и методы. Проведена ретроспективная оценка образцов ткани АКТГ-секретирующих аденом гипофиза у 39 пациентов с болезнью Иценко—Кушинга; у 17 пациентов аденома не была обнаружена при МРТ, а у 22 больных размер аденомы был менее 25 мм. МРТ проводилась на аппарате Siemens Magnetom Harmony 1.0T с гадолиниевым контрастированием. Образцы опухолей исследовали иммуногистохимически с антителами к антигенам СD34 и D2-40; рассчитывали плотность микрососудов и диаметр наибольшего и наименьшего сосуда.
Результаты. Плотность кровеносной сети в аденомах, выявленных и не выявленных при МРТ [123 (77; 136) и 112 (110,0; 126,5)] сосудов на единицу площади, соответственно), а также количество щелевидных сосудов [32 (5; 50) и 25 (5; 50)] на единицу площади, соответственно) статистически значимо не различались (p>0,05). Не выявлено статистически значимых различий и в диаметре этих сосудов: диаметр наибольшего сосуда в невыявленных при МРТ аденомах — 53 мкм (32,5; 63,5), в выявленных — 33 мкм (30,0; 51,5), средний диаметр кровеносных сосудов — 15 мкм (14,5; 26,0) и 13 мкм (12; 14) соответственно.
Заключение. Диаметр и количество кровеносных сосудов в аденомах у пациентов с Болезнью Иценко-Кушинга не влияют на возможность обнаружения опухоли с помощью МРТ.
Ключевые слова
Для цитирования:
Хандаева П.М., Воронкова И.А., Белая Ж.Е., Рожинская Л.Я., Воронцов А.В., Григорьев А.Ю., Мельниченко Г.А. Связь морфологии сосудистой сети АКТГ-секретирующих аденом гипофиза с возможностью визуализации опухоли при магнитно- резонансной томографии. Проблемы Эндокринологии. 2016;62(4):11-17. https://doi.org/10.14341/probl201662411-17
For citation:
Khandaeva P.M., Voronkova I.А., Belaya Zh.E., Rozhinskaya L.Ya., Vorontsov A.V., Grigoriev A.Ya., Mel’nichenko G.A. Immunochistochemical characteristics of blood vessels in non-visualized and visualized on MRI pituitary adenoma in patients with Cushing’s disease. Problems of Endocrinology. 2016;62(4):11-17. (In Russ.) https://doi.org/10.14341/probl201662411-17
Актуальность
Болезнь Иценко—Кушинга (БИК) — тяжелое нейроэндокринное заболевание, обусловленное хронической гиперпродукцией АКТГ опухолью гипофиза [1] и повышенной выработкой кортизола корой надпочечников, что обусловливает симптомокомплекс эндогенного гиперкортицизма, угрожающий жизни пациента [2]. БИК — наиболее частая причина эндогенного гиперкортицизма, однако в 10—15% случаев наблюдается эктопическая секреция АКТГ опухолью любой локализации [3]. Все пациенты с подозрением на АКТГ-зависимый гиперкортицизм направляются на магнитно-резонансную томографию (МРТ) гипофиза. Однако традиционные методы МРТ обладают низкой чувствительностью (аденома выявляется только у 50% пациентов). Чувствительность метода повышается до 80% при использовании контрастного усиления [4, 5]. Вместе с тем выявление микроаденомы, особенно менее 5—6 мм в диаметре, не обязательно означает установление причины заболевания. Согласно популяционным исследованиям [6], инциденталомы гипофиза выявляются у 10—20% здоровых людей.
До 20% пациентов с АКТГ-зависимым эндогенным гиперкортицизмом направляются на процедуру забора крови из нижних каменистых синусов [7]. Вместе с тем при нейрохирургическом вмешательстве у пациентов с ранее не обнаруженной при МРТ аденомой находят опухоли, по объему сопоставимые с микроаденомами, выявляемыми с помощью МРТ [8]. Причина этого феномена не ясна. Можно предположить, что увеличение разрешающей способности МРТ (путем повышения индукции магнитного поля до 3 или 6 Тесла) позволит выявлять ранее невидимые микроаденомы. Поскольку выявление аденомы зависит от ее способности накапливать контрастный препарат, строение сосудов в опухолях могло бы влиять на этот процесс и, следовательно, определять возможность визуализации опухоли при МРТ.
Цель исследования — оценить связь морфологии кровеносных и лимфатических сосудов в АКТГ-секретирующих опухолях гипофиза у пациентов с БИК с возможностью выявления опухолей при МРТ.
Материал и методы
Дизайн исследования
Ретроспективное когортное исследование. Для иммуногистохимического исследования были отобраны достаточные по объему образцы гистологически подтвержденных кортикотропином. Хирургическое вмешательство проводилось у пациентов с лабораторно подтвержденным АКТГ-зависимым эндогенным гиперкортицизмом. В случаях отсутствия видимой аденомы при МРТ с контрастным усилением проводили селективный забор крови из нижних каменистых синусов для исключения синдрома эктопированной продукции АКТГ и инценденталомы гипофиза размером менее 6 мм. МРТ-исследование проводилось на аппарате Siemens Magnetom Harmony 1.0T с контрастом на основе гадолиния.
Критерии исключения
В исследование не были включены и не подвергались анализу ткани:
• в которых аденома не была выявлена при повторном гистологическом исследовании;
• в случае малого количества ткани опухоли, предоставленной для морфологического исследования;
• аденомы гипофиза с обильными кровоизлияниями различной степени давности;
• полученные при повторных нейрохирургических вмешательствах.
Условия проведения
Все клинические, лабораторные и инструментальные манипуляции, выполненные в рамках данного исследования, были проведены на базе одного учреждения (ФГБУ «Эндокринологический научный центр» Минздрава России, Москва).
Продолжительность исследования
В исследовании использовали биологический материал пациентов, прооперированных с 2009 по 2014 г., которые проходили процедуру селективного забора крови из нижних каменистых синусов и подписывали добровольное информированное согласие на использование биологического материала в научных целях.
Основной исход исследования
Проведена оценка плотности (количества сосудов на единицу площади) и диаметра кровеносных сосудов в тканях опухоли, которые визуализировались и не визуализировались при МРТ с контрастным усилением.
Методы регистрации исходов
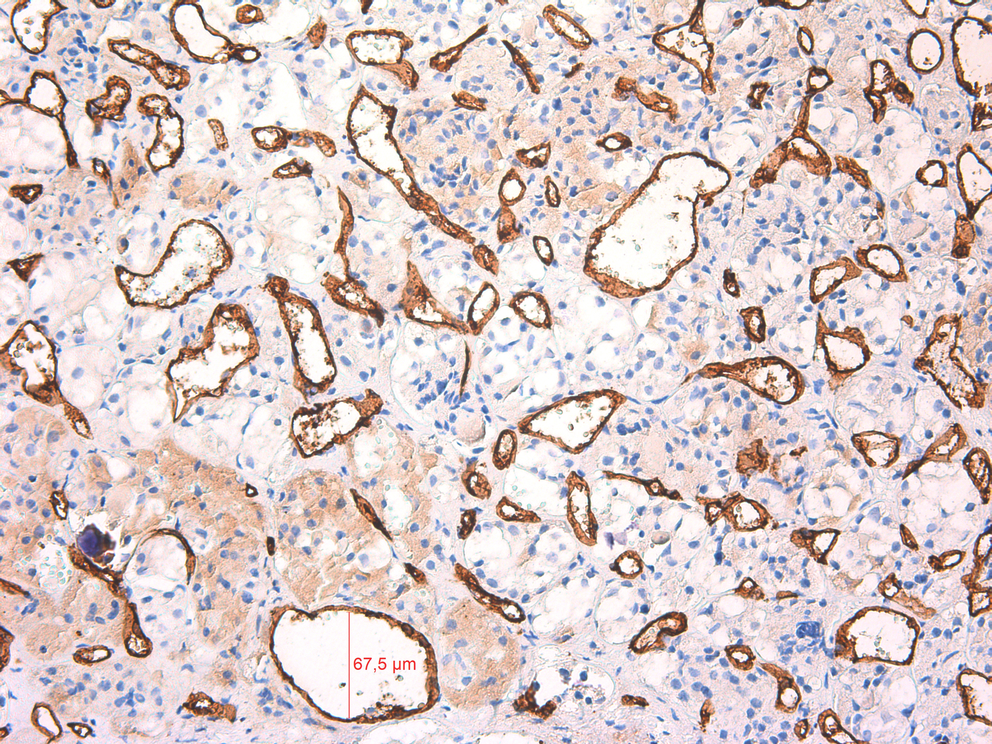
Гистологические препараты оценивались двумя независимыми морфологами. Расхождение результатов было отмечено лишь в 3 случаях (аденома гипофиза и гиперплазия аденогипофиза), что потребовало привлечения третьего эксперта. Иммуногистохимическое исследование (ИГХ) отобранных аденом гипофиза проводилось с антителами к СD34 (клон QBEnd/10, RTU, «Leica»), D2-40 (клон D2-40, RTU, «Dako») и Ki-67 (клон MIB-1, RTU, «Dako»). Индекс пролиферации Ki-67 рассчитывался для оценки агрессивного потенциала роста новообразования и как следствие — повышения ангиогенеза в ткани опухоли. ИГХ-исследование было проведено на автоматизированной системе Bondmax («Leica») с использованием полимерной системы Bond Polymer Refine Detection system («Leica») в соответствии со стандартными протоколами для Ki-67, D2-40, CD34. Для оценки ангиогенеза с помощью ИГХ метода было выбрано антитело кCD34, поскольку интенсивность реакции с данным маркером в кортикотропиномах была выше, чем с антителами к CD31. При микроскопическом исследовании обработанных ИГХ методом тканей аденом с увеличением ×200 на каждом срезе было выбрано поле с максимальной плотностью сосудов. Фиксацию цифровых изображений выбранных полей проводили с помощью камеры Leica DFC 490. Для обработки цифровых изображений использовали программное обеспечение Leica Application Suite V3. С помощью компьютерной системы анализа изображения была определена площадь просвета сосудов (в мкм). Отдельно измеряли диаметры самого крупного и самого мелкого сосудов в выбранных полях каждого из срезов (в мкм). Затем подсчитывали средний диаметр сосудов, расположенных в 0,3 мм2 выбранного поля каждого среза, с вычислением среднего значения.
Количество капилляров подсчитывали в поле зрения светового микроскопа Leica DMLS2 при увеличении ×200 с помощью лабораторного счетчика. Полуколичественным методом оценивали долю (в %) щелевидных сосудов (диаметр которых с помощью светового микроскопа при увеличении ×400 установить не удалось) в каждом выбранном поле. Индекс пролиферации Ki-67 был рассчитан как доля Ki-67-положительных ядер в 500 клетках; для оценки индекса пролиферации была выбрана область с наибольшим количеством иммуноположительных клеток («горячих точек») на каждом срезе.
Этическая экспертиза
Локальным Этическим комитетом ФГБУ «Эндокринологический научный центр» Минздрава России, согласно протоколу №12 Заседания Комитета от 28.10.15, постановлено, что планируемая научная работа соответствует этическим стандартам добросовестной клинической практики и может быть проведена на базе отделения нейроэндокринологии и остеопатий ФГБУ «ЭНЦ».
Статистический анализ
Статистическая обработка полученных результатов выполнена с помощью программы SPSS 16.0. Описание количественных данных представлено в виде медианы (Me) и процентилей (Q25%;Q75%). Соотношения качественных признаков представлены в виде долей. Сравнительный анализ количественных признаков в подгруппах проводили с помощью критерия Манна—Уитни; значимыми считали различия при p<0,05.
Объекты (участники) исследования
На первом этапе в исследование было включено 25 образцов тканей опухоли пациентов (19 женщин и 6 мужчин) в возрасте 36 (28; 48) лет; самому младшему было 16 лет, а старшему — 53 года.
В 1-ю группу вошли образцы ткани от 7 пациентов, аденома гипофиза у которых не была визуализирована при МРТ с контрастированием.
Во 2-ю группу вошли ткани от 18 пациентов, аденома которых была визуализирована до операции. Общие характеристики пациентов сведены в табл. 1.
Таблица 1. Общие характеристики пациентов по группам на первом этапе исследования [Мe (Q25; Q75)]
Параметр | Без визуализации | С визуализацией | p |
Пол Ж (%): М (%) | 4 (57):3 (43) | 15 (83):3 (17) | 0,594 |
Возраст, годы | 34 (16; 53) | 35 (20; 51) | 0,096 |
Кортизол, нмоль/сут | 1755 (885; 2289) | 1926 (1497; 4472) | 0,298 |
АКТГ утро, пг/мл | 82 (64; 115,2) | 59,7 (51,6; 116,2) | 0,170 |
АКТГ вечер, пг/мл | 68,9 (36,6; 86,3) | 54 (40; 78,15) | 0,354 |
Содержание кортизола в суточной моче во второй группе составило 1755 нмоль/сут (885; 2289) (мин. 602,3 нмоль/сут, макс. 4800 нмоль/сут, в 1-й группе — 1926 нмоль/сут (1497; 4472) (мин. 1286 нмоль/сут, макс. 6800 нмоль/сут). Концентрация АКТГ в крови утром у пациентов 2-й группы составила 82 пг/мл (64; 115,2) (мин. 39,6 пг/мл; макс. 239,0 пг/мл); в 1-й группе — 59,7 пг/мл (51,6; 116,2); (мин. 43,5 пг/мл, макс. 155 пг/мл). Концентрация в крови АКТГ вечером составила у пациентов 2-й группы — 68,9 пг/мл (36,6; 86,3) (мин. 18,0 пг/мл; макс. 245,0 пг/мл), у пациентов 1-й группы — 54 пг/мл (40; 78,15) (мин. 28,4 пг/мл, макс. 100 пг/мл).
На втором этапе исследования были включены еще 14 пациентов, таким образом в анализ вошли 39 больных с БИК (табл. 2) в возрасте 36±10,5 года (Me 36 [29; 47]); (мин. 16 лет, макс 55 лет) из них 10 мужчин и 29 женщин. В 1-ю группу пациентов (у которых аденома не визуализировалась при МРТ) вошли 17 человек; во 2-ю группу —22, сопоставимых по полу и возрасту. Размер аденом на МРТ изображениях составил в среднем 6 мм (4,5; 10) (в среднем 8 мм — мин. 2; макс. 25 мм), включая 6 макроаденом, размером от 10 до 25 мм (Ме = 13 мм).
Содержание кортизола в суточной моче во 2-й группе составило 1536 нмоль/сут (1125,4; 2148,0) (мин. 602,3 нмоль/сут, макс. 2289 нмоль/сут), концентрация АКТГ утром — 76,6 пг/мл (59,02; 95,5) (мин. 39,6 пг/мл, макс. 115,2 пг/мл), концентрация АКТГ вечером — 71,6 пг/мл (51,4; 82,0) (мин. 32,9 пг/мл, макс. 109,5 пг/мл). В 1-й группе содержание кортизола в суточной моче составило 1708 нмоль/сут (1497; 1926) (мин. 1286 нмоль/сут; макс. 2144 нмоль/сут), содержание в крови АКТГ утром — 59,7 пг/мл (51,6; 107,3) (мин. 43,5 пг/мл, макс. 155 пг/мл), содержание в крови АКТГ вечером — 51,7 пг/мл (40,0; 51,4) (мин. 28,4 пг/мл, макс. 100 пг/мл).
Результаты
В ходе первого этапа исследования во всех кортикотропинах (20 микроаденом; 5 макроаденом) было отмечено наличие кровеносных сосудов, тогда как лимфатические сосуды присутствовали лишь в половине случаев. Не было выявлено разницы между группами по количеству кровеносных сосудов, по диаметру самого крупного сосуда в срезе и по значению индекса пролиферации Ki-67 (p>0,05) (см. табл. 2). Однако средний диаметр кровеносных сосудов был значимо больше в образцах тканей пациентов первой группы (в которой опухоль не была визуализирована) (см. табл. 2). Мы не получили значимой разницы в количестве лимфатических сосудов между группами, однако наблюдалась тенденция (p=0,08) к большему их количеству в ткани аденом пациентов первой группы (см. табл. 2).
Таблица 2. Общие характеристики пациентов по группам на втором этапе исследования [Мe (Q25; Q75)]
Параметр | Без визуализации | С визуализацией | p |
Пол Ж (%): М (%) | 12 (71):5 (29) | 17 (77);5 (23) | 0,601 |
Возраст, годы | 39,5 (24,5; 50,5) | 36 (31,0; 39,0) | 0,745 |
Кортизол, нмоль/сут | 1708 (1497; 1926) | 1536 (1125,4; 2148,0) | 0,36 |
АКТГ утро, пг/мл | 59,7 (51,6; 107,3) | 76,6 (59,02; 95,5) | 0,244 |
АКТГ вечер, пг/мл | 51,7 (40; 51,4) | 71,6 (51,4; 82) | 0,427 |
Таблица 3. Показатели ангиогенеза и пролиферативной активности по группам на первом этапе исследования [Me (Q25; Q75)]
Параметр | Без визуализации (n=7) | С визуализацией (n=18) | p |
Количество кровеносных сосудов | 117 (56; 138) | 112 (95; 136) | 0,41 |
Количество лимфатических сосудов | 14 (0; 14) | 0 (0; 1) | 0,08 |
Количество щелевидных сосудов, % | 5 (5; 32) | 30 (10; 65) | 0,629 |
Диаметр большего сосуда, мкм | 65 (41; 93) | 35 (25; 66) | 0,06 |
Средний диаметр сосудов, мкм | 16 (13,5; 30,0) | 12,5 (11,7; 14,2) | 0,028 |
Диаметр мелких сосудов, мкм | 7 (5,0; 9,5) | 7 (6,0; 9,3) | 0,995 |
Индекс пролиферации Ki-67, % | 0 (0; 0) | 0 (0; 1) | 0,736 |
Учитывая полученные различия, выборка была увеличена с целью проверки гипотезы о влиянии ангиогенеза на возможность визуализации аденом гипофиза при МРТ с контрастным усилением.
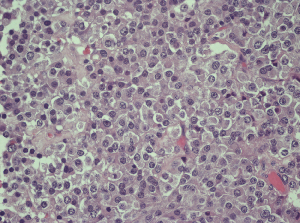
При морфологической оценке удаленного материала было выявлено 26 аденом гипофиза (рис. 1, на цв. вклейке), в 13 случаях мы наблюдали сочетание аденомы c гиперплазией аденогипофиза. Клеточный состав образований был представлен в 23 случаях базофильными клетками, в 11 — эозинофильными клетками, в 3 — состоял из эозинофильно-хромофобных клеток, в 2 — из базофильно-эозинофильных. Не было выявлено разницы между группами по клеточному составу и характеру новообразований (p>0,05). Пролиферативная активность в обеих группах была преимущественно низкой. Лишь в 3 образцах индекс пролиферации превышал 2% и был равен 3, 4 и 15%, соответственно.
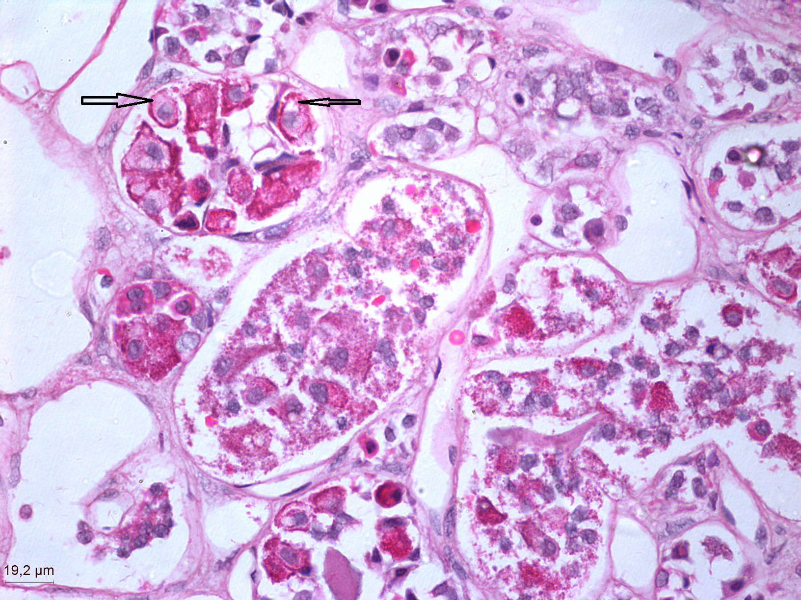
В обеих группах подсчитывали количество кровеносных сосудов с оценкой их диаметра (рис. 2—4, на цв. вклейке).
Исследование лимфатического русла на большей выборке (биоматериал, включенный в исследование на втором этапе) не проводилось. В ходе второго этапа исследования мы не выявляли связи между визуализацией аденомы гипофиза при МРТ и состоянием сосудистого русла новообразования (табл. 4)
Таблица 4. Показатели ангиогенеза и пролиферативной активности по группам на втором этапе исследования [Me (Q25; Q75)]
Параметр | Без визуализации (n=17) | С визуализацией (n=22) | p |
Количество кровеносных сосудов | 112 (110,0; 126,5) | 123 (72,5; 136,0) | 0,615 |
Количество щелевидных сосудов, % | 25 (5; 50) | 32 (5; 50) | 0,610 |
Диаметр большего сосуда, мкм | 33 (30,0; 51,5) | 53 (32,5; 63,5) | 0,820 |
Средний диаметр кровеносных сосудов, мкм | 15 (14,5; 26,0) | 13 (12,0; 14,0) | 0,520 |
Диаметр мелких сосудов, мкм | 7 (5,5; 8) | 7 (6; 9) | 0,893 |
Индекс пролиферации Ki-67, % | 0 (0; 0) | 0 (0; 1,0) | 0,635 |
Обсуждение
Количество сосудов на единицу площади и диаметр кровеносных сосудов в аденомах гипофиза у пациентов с БИК не влияет на возможность визуализации аденомы при МРТ.
Невозможность визуализации аденомы при МРТ является серьезной проблемой при диагностическом поиске причины АКТГ-зависимого гиперкортицизма. Для решения этой проблемы разработаны методы забора образцов крови, оттекающей от гипофиза [9], проводят поиск новых биомаркеров диагностики центрального гиперкортицизма [10], предлагают проводить МРТ с большей разрешающей способностью.
Возможной причиной отсутствия накопления контрастного препарата в ткани аденомы могла бы быть особенность строения сосудов в опухоли. Вместе с тем в настоящем исследовании нам не удалось выявить различий в количестве сосудов на единицу площади среза ткани аденомы и их диаметре в тех случаях, когда опухоль удалось визуализировать с помощью МРТ и в тех, когда этого не удалось. Выявленные на первом этапе исследования различия в среднем диаметре сосудов могли бы объяснять «сброс» контрастного препарата или меньшее его накопление в опухолях, которые не визуализируются при МРТ [11]. Однако при дальнейшем наборе материала (исследование проведено в два этапа ввиду редкости заболевания) и увеличении размера выборки выявленные различия оказались незначимыми.
Необходимо учитывать, что только у 20% пациентов с этой редкой патологией аденома не визуализируется при МРТ с контрастным усилением. Объем удаленной в ходе операции опухоли в этих случаях, как правило, сопоставим с объемом визуализирующихся аденом гипофиза, однако возникают объективные сложности с получением материала для гистологического исследования, связанные с потерей ткани в ходе нейрохирургических манипуляций. Мы не нашли в литературе данных для сравнения с нашими результатами, поскольку исследования строения и свойств сосудов ранее проводилась в основном в макроаденомах гипофиза (в нашем исследовании лишь 27% опухолей приходилось на макроаденомы) [12, 13]. К тому же, в таких исследованиях применялась разная методика оценки свойств сосудов, отличались и единицы площади исследуемых областей, что прежде всего связано с разным оптическим разрешением микроскопов и программным обеспечением.
Широко используемым методом оценки строения и свойств сосудов в опухолях человека является подсчет микрососудов с помощью специфических маркеров эндотелиальных клеток, таких как CD31 и CD34. Выбор иммуногистохимического маркера для оценки строения и свойств сосудов аденом основан на опыте ранее проведенных работ [12—14].
Что касается метода подсчета сосудов, то в большинстве исследований применяется метод N. Weidner и соавт. [15, 16], основанный на выборе поля зрения с максимальным количеством сосудов при малом увеличении для дальнейшего расчета средней плотности сосудов в нескольких полях зрения при большем увеличении.
Существуют рекомендации по оценке плотности микрососудов в опухолевой ткани, но важную роль играет опытность исследователя [12, 15, 16].
Попытка облегчить исследование опухолевого ангиогенеза была предпринята С. Fox и соавт. [17]. Данные, полученные с помощью использованного этими авторами метода, коррелировали с результатами применения метода N. Weidner. На выбранных «горячих точках» при увеличении ×200—250 25 случайно расположенных точек располагают так, чтобы максимальное их число содержалось внутри области окрашенных сосудов. Вместо отдельных микрососудов подсчитывают количество точек, лежащих вне этой области.
Полуавтоматический метод подсчета сосудов более удобен для оценки внутриопухолевой плотности сосудов. Основное преимущество компьютерной системы анализа изображения состоит в возможности оценки дополнительных морфологических параметров: количества сосудов внутри заранее заданной площади, и определение площади просвета сосудов.
При гистологическом исследовании аденогипофиз состоит из эпителиальных клеток, в промежутках между которыми лежат капилляры. Немногочисленные фибробласты образуют ретикулярные волокна, которые поддерживают тяжи секретирующих гормоны клеток. Наличие ретикулиновых волокон имеет большое значение, поскольку они присутствуют в нормальном и гиперплазированном аденогипофизе, но отсутствуют в аденомах [18]. Поэтому с целью дифференциальной диагностики аденомы от гиперплазированной ткани аденогипофиза полезно применение гистологической окраски на ретикулиновые волокна.
В наших случаях клеточный состав новообразований был в основном представлен базофильными клетками, которые в норме продуцируют АКТГ; редко встречалась примесь стволовых хромофобных клеток. В 35% случаев мы отмечали образования из эозинофильных клеток, которые в норме не продуцируют АКТГ. Это может могут быть обусловлено «приобретением» ацидофильной окраски базофильными клетками вследствие увеличения в них количества митохондрий, приобретением онкоцитарной дифференцировки или «полипотентностью» неопластических эозинофильных клеток [19].
В 2 случаях мы наблюдали в неизмененном гипофизе клетки Крука, которые выявляются у пациентов с гиперкортицизмом, и представляют собой гиалинизированную базофильную клетку с накоплением цитокератинов в перинуклеарной области. Такие изменения чаще всего встречаются в прилежащем к кортикотропиноме нормальном аденогипофизе, но могут быть выявлены и в агрессивных аденомах [20].
Индекс пролиферации Ki-67 в АКТГ-секретирующих аденомах гипофиза в нашем исследовании варьировал от 0 до 3% и лишь в одном случае достигал 15%. Несмотря на то что Ki-67 >3% ассоциирован со злокачественным потенциалом, наблюдение за этим больным в течение года не выявило признаков злокачественного роста.
Нам не удалось выявить каких-либо гистологических особенностей невизуализирующихся АКТГ-секретирующих аденом гипофиза.
Ограничения исследования
Определенное влияние на полученные результаты мог оказать не слишком значительный объем выборки. Однако значения p достаточно велики, чтобы связывать отсутствие различий между группами исключительно с объемом выборки. Кроме того, в работу могли быть включены невизуализированные с помощью МРТ аденомы гипофиза большего размера. Оценить точный размер аденомы, которая не визуализировалась при МРТ, не представляется возможным ввиду того, что удаленный материал не обязательно состоит только из ткани опухоли, а ткань опухоли могла быть полностью или частично утеряна при хирургических манипуляциях. Наконец, существуют ограничения подсчета сосудов: форма сосудов различна и не всегда имеет правильные геометрические контуры; не ясно, можно ли считать близко расположенные структуры отдельными сосудами. Подсчет сосудов — кропотливый процесс, их количество при анализе различными специалистами может различаться.
Выводы
Не выявлено связи между характеристиками кровеносного русла аденом гипофиза и возможностью их визуализации с помощью МРТ с контрастным усилением.
Дополнительная информация
Информация о финансировнии и конфликте интересов.
Источники финансирования. Исследование проведено за счет средств гранта Российского Научного Фонда (проект №15-15-30032).
Авторы декларируют отсутствие явных и потенциальных конфликтов интересов, связанных с публикацией настоящей статьи.
Участие авторов: сбор клинического материала, подбор блоков, написание текста статьи — П.М. Хандаева; разработка дизайна исследования, иммуногистохимия, анализ результатов, написание текста — И.В. Воронкова; идея работы, разработка дизайна исследования, анализ результата, коррекция текста — Ж.Е. Белая; общая идея работы, коррекция текста, обсуждение результатов — Л.Я. Рожинская и Г.А. Мельниченко; МРТ-исследование, анализ результатов — А.В. Воронцов; нейрохирургические манипуляции, сбор послеоперационного материала, обсуждение и анализ результатов — А.Ю. Григорьев
Благодарности
Авторы признательны Ю.И. Филиппову за внимательное прочтение статьи, конструктивную критику и замечания.
Список литературы
1. Мельниченко Г.А., Дедов И.И., Белая Ж.Е., и др. Болезнь Иценко—Кушинга: клиника, диагностика, дифференциальная диагностика, методы лечения // Проблемы эндокринологии. — 2015. - Т.61. - №2 - С.55-77. [Melnichenko GA, Dedov II, Belaya ZhE, et al. Cushing’s Disease: the clinical features, diagnostics, differential diagnostics, and methods of treatment. Probl Endokrinol (Mosk).2015;61(2):55-77. (In Russ.)]. doi: 10.14341/Probl201561255-77
2. Белая Ж.Е., Рожинская Л.Я., Драгунова Н.В., и др. Метаболические осложнения эндогенного гиперкортицизма. Выбор пациентов для скрининга // Ожирение и метаболизм. — 2013. — Т.10. — №1. — C. 26-31. [Belaya ZhE, Rozhinskaya LY, Dragunova NV, et al. Metabolic complications of endogenous Cushing: patient selection for screening. Obesity And Metabolism. 2013;10(1):26-31. (In Russ.)]. doi: 10.14341/2071-8713-5068
3. Boscaro M, Arnaldi G. Approach to the patient with possible Cushing’s syndrome. J Clin Endocrinol Metab. 2009;94(9):3121-3131. doi: 10.1210/Jc.2009-0612
4. Findling JW, Raff H. Screening and diagnosis of Cushing’s syndrome. Endocrinol Metab Clin North Am. 2005;34(2):385-402, Ix-X. doi: 10.1016/J.Ecl.2005.02.001
5. Дедов И.И., Белая Ж.Е., Ситкин И.И., и др. Значение метода селективного забора крови из нижних каменистых синусов в дифференциальной диагностике АКТГ-зависимого гиперкортицизма // Проблемы эндокринологии. — 2009. — T.55. — C.35-40. [Dedov II, Belaya ZhE, Sitkin II, et al. Significance of the method of selective blood collection from the inferior petrosal sinuses for differential diagnosis of ACTH-dependent hypercorticism. Probl Endokrinol (Mosk). 2009;55(6):35-40. (In Russ.)]. doi: 10.14341/Probl200955635-40
6. Hall WA, Luciano MG, Doppman JL, et al. Pituitary magnetic resonance imaging in normal human volunteers: occult adenomas in the general population. Ann Intern Med. 1994;120(10):817. doi: 10.7326/0003-4819-120-10-199405150-00001
7. Ситкин И.И., Белая Ж.Е., Рожинская Л.Я., и др. Двухсторонний селективный забор крови из нижних каменистых синусов на фоне стимуляции десмопрессином в дифференциальной диагностике АКТГ-зависимого гиперкортицизма // Диагностическая и интервенционная радиология. – 2013. — T.7. — №3. — C.57-68. [Sitkin II, Belaya ZhE, Rozhinskaya LYa, et al. Bilateral inferior petrosal sinus sampling with desmopressin for differential diagnosis of ACTH-dependent Cushing’s syndrome. Diagnostic and Interventional Radiology. 2013;7(3):57-68. (In Russ.)].
8. Belaya Z, Khandaeva P, Rozhinskaya L, et al. Neurosurgery outcome in patients with Cushing’s disease with and without visualised pituitary adenoma on MRI, who underwent inferior petrosal sinus sampling. Endocrine Abstracts. 2015. doi: 10.1530/Endoabs.37.Gp.22.07
9. Дедов И.И., Ситкин И.И., Белая Ж.Е., и др. Первый опыт использования селективного забора крови из нижних каменистых синусов в России (клиническое наблюдение) // Проблемы эндокринологии. - 2009. - T.55. - №6. - C.11-16. [Dedov II, Sitkin II, Belaya ZhE, et al. The first experience with selective blood collection from the inferior petrosal sinuses in Russia (case reports). Probl Endokrinol (Mosk). 2009;55(6):11-16. (In Russ.)]. doi: 10.14341/Probl200955611-16
10. Белая Ж.Е., Рожинская Л.Я., Мельниченко Г.А., и др. Роль градиента пролактина и АКТГ/пролактин-нормализованного отношения для повышения чувствительности и специфичности селективного забора крови из нижних каменистых синусов для дифференциальной диагностики АКТГ-зависимого гиперкортицизма // Проблемы эндокринологии.- 2013. – T.59. - №4. - C.3-10. [Belaia ZhE, Rozhinskaia LI, Mel’nichenko GA, et al. The role of prolactin gradient and normalized ACTH/prolactin ratio in the improvement of sensitivity and specificity of selective blood sampling from inferior petrosal sinuses for differential diagnostics of ACTH-dependent hypercorticism. Probl Endokrinol (Mosk). 2013;59(4):3-10. (In Russ.)]. doi: 10.14341/Probl20135943-10
11. Voronkova I, Belaya Z, Khandaeva P, et al. Immunohistochemical characteristics of blood vessels in non-visualized and visualized on MRI pituitary adenomas in patients with Cushing’s disease (pilot study). Endocrine Abstracts. 2016;41:142. doi: 10.1530/Endoabs.41.Ep13
12. Miao Y, Zong M, Jiang T, et al. A comparative analysis of ESM-1 and vascular endothelial cell marker (CD34/CD105) expression on pituitary adenoma invasion. Pituitary. 2016;19(2):194-201. doi: 10.1007/S11102-015-0698-6
13. Takano S, Akutsu H, Hara T, et al. Correlations of vascular architecture and angiogenesis with pituitary adenoma histotype. Int J Endocrinol. 2014;2014:1-12. doi: 10.1155/2014/989574
14. Miyajima K, Takekoshi S, Itoh J, et al. Inhibitory effects of Anti-VEGF antibody on the growth and angiogenesis of estrogen-induced pituitary prolactinoma in Fischer 344 Rats: animal model Of VEGF-targeted therapy for human endocrine tumors. Acta Histochem Cytochem. 2010;43(2):33-44. doi: 10.1267/ahc.09034
15. Weidner N, Semple JP, Welch WR, Folkman J. Tumor angiogenesis and metastasis — correlation in invasive breast carcinoma. N Engl J Med. 1991;324(1):1-8. doi: 10.1056/Nejm199101033240101
16. Weidner KM, Arakaki N, Hartmann G, Vandekerckhove J, Birchmeier W. Evidense for identity of human scatter factor and human hepatocyte growth factor. Proceedings of the National Academy of Sciences. 1991;88:7001-7005.
17. Fox CA, Loo S, Dillin A, Rine J. The origin recognition complex has essential functions in transcriptional silencing and chromosomal replication. Genes Dev. 1995;9(8):911-924. doi: 10.1101/Gad.9.8.911
18. Mills SE. Histology For Pathologists. Fourth Edition. Philadelphia, Lippincott Williams & Wilkins; 2012:343-375.
19. Gjerris A, Lindholm J, Riishede J. Pituitary oncocytic tumor with Cushing’s disease. Cancer. 1978;42(4):1818-1822. doi: 10.1002/1097-0142(197810)42:4<1818::AID-CNCR2820420420>3.0.Co;2-Y
20. Syro LV, Rotondo F, Cusimano MD, et al. Current status on histological classification in Cushing’s disease. Pituitary. 2015;18(2):217-224. doi: 10.1007/S11102-014-0619-0
21. Thapar K, Kovacs K, Scheithauer BW, et al. Proliferative activity and invasiveness among pituitary adenomas and carcinomas: an analysis using the MIB-1 antibody. Neurosurgery. 1996;38(1):99-107. doi: 10.1097/00006123-199601000-00024
Об авторах
Патимат Магомедовна ХандаеваРоссия
н.с. отд. нейроэндокринологии и остеопатий
Конфликт интересов: Конфликт интересов отсутствует
Ия Александровна Воронкова
Россия
к.м.н., врач патологоанатом отд. фундаментальной патоморфологии
Конфликт интересов: Конфликт интересов отсутствует
Жанна Евгеньевна Белая
Россия
д.м.н. зав. отд. нейроэндокринологии и остеопатий
Конфликт интересов: Конфликт интересов отсутствует
Людмила Яковлевна Рожинская
Россия
д.м.н., проф. в отделении нейроэндокринологии и остеопатий
Конфликт интересов: Конфликт интересов отсутствует
Александр Валерьевич Воронцов
Россия
д.м.н., зав. отд. МРТ и отделением КТ
Конфликт интересов: Конфликт интересов отсутствует
Андрей Юрьевич Григорьев
Россия
д.м.н., зав. нейрохирургическим отделением
Конфликт интересов: Конфликт интересов отсутствует
Галина Афанасьевна Мельниченко
Россия
акад. РАН, директор Института клинической эндокринологии
Конфликт интересов: Конфликт интересов отсутствует
Дополнительные файлы
|
|
1. крупные сосуды с диаметром 60-120 µм | |
| Тема | ||
| Тип | Исследовательские инструменты | |
Посмотреть
(4MB)
|
Метаданные ▾ | |
|
|
2. средние сосуды с диаметром20-50 µм | |
| Тема | ||
| Тип | Исследовательские инструменты | |
Посмотреть
(9MB)
|
Метаданные ▾ | |
|
|
3. щелевидные сосуды | |
| Тема | ||
| Тип | Исследовательские инструменты | |
Посмотреть
(8MB)
|
Метаданные ▾ | |
|
|
4. Аденома | |
| Тема | ||
| Тип | Исследовательские инструменты | |
Посмотреть
(3MB)
|
Метаданные ▾ | |
|
5. гиперплазированный аденогипофиз | |
| Тема | ||
| Тип | Исследовательские инструменты | |
Скачать
(22MB)
|
Метаданные ▾ | |
|
|
6. клетки Крука | |
| Тема | ||
| Тип | Исследовательские инструменты | |
Посмотреть
(824KB)
|
Метаданные ▾ | |
Рецензия
Для цитирования:
Хандаева П.М., Воронкова И.А., Белая Ж.Е., Рожинская Л.Я., Воронцов А.В., Григорьев А.Ю., Мельниченко Г.А. Связь морфологии сосудистой сети АКТГ-секретирующих аденом гипофиза с возможностью визуализации опухоли при магнитно- резонансной томографии. Проблемы Эндокринологии. 2016;62(4):11-17. https://doi.org/10.14341/probl201662411-17
For citation:
Khandaeva P.M., Voronkova I.А., Belaya Zh.E., Rozhinskaya L.Ya., Vorontsov A.V., Grigoriev A.Ya., Mel’nichenko G.A. Immunochistochemical characteristics of blood vessels in non-visualized and visualized on MRI pituitary adenoma in patients with Cushing’s disease. Problems of Endocrinology. 2016;62(4):11-17. (In Russ.) https://doi.org/10.14341/probl201662411-17
Контент доступен под лицензией Creative Commons Attribution-NonCommercial-NoDerivatives 4.0 International License (CC BY-NC-ND 4.0).




































.jpg)

