Перейти к:
Клинически активная гонадотропинома c развитием синдрома гиперстимуляции яичников у молодой женщины
https://doi.org/10.14341/probl10178
Аннотация
Гормонально-неактивные аденомы гипофиза (ГНАГ) составляют от 14 до 54% всех аденом гипофиза, их распространенность оценивается в 7,0–41,3 случая на 100 000 населения. Наиболее часто встречающимся видом ГНАГ (73%) являются гонадотропиномы. В большинстве случаев для гонадотропином характерна секреция биологически неактивных гормонов, поэтому выделение гонадотропинов не приводит к развитию каких-либо клинических симптомов. По этой причине диагноз гонадотропиномы чаще всего устанавливают на основании результатов иммуногистохимического исследования. Однако в редких случаях гонадотропиномы секретируют биологически активные гормоны, чаще всего фолликулостимулирующий (ФСГ), реже лютеинизирующий (ЛГ). Синдром гиперстимуляции яичников (СГЯ) вследствие гонадотропинсекретирующей опухоли гипофиза встречается примерно у 3% женщин с гормонально-неактивными аденомами гипофиза в репродуктивном возрасте и 8% пациенток с верифицированной гонадотропиномой. В представленном клиническом наблюдении мы описываем молодую пациентку с ФСГ/ЛГ-секретирующей макроаденомой гипофиза, которая привела к развитию синдрома СГЯ. Диагноз аденомы гипофиза был установлен благодаря выявленной гиперпролактинемии за 1 мес до развития зрительных нарушений, что можно считать несвоевременной диагностикой. Хирургическое лечение гонадотропиномы было проведено успешно и без осложнений: достигнута ремиссия заболевания, восстановлена зрительная функция, наступила беременность.
Ключевые слова
Для цитирования:
Горбачева А.М., Пржиялковская Е.Г., Азизян В.Н., Станоевич И.В., Григорьев А.Ю., Сазонова А.И., Лапшина А.М., Белая Ж.Е. Клинически активная гонадотропинома c развитием синдрома гиперстимуляции яичников у молодой женщины. Проблемы Эндокринологии. 2019;65(4):278-288. https://doi.org/10.14341/probl10178
For citation:
Gorbacheva A.M., Przhiyalkovskaya E.G., Azizyan V.N., Stanoevich I.V., Grigoriev A.Yu., Sazonova A.I., Lapshina A.M., Belaya Zh.E. An ovarian hyperstimulation syndrome caused by gonadotropinoma in a young woman. Problems of Endocrinology. 2019;65(4):278-288. https://doi.org/10.14341/probl10178
Актуальность
Гормонально-неактивные аденомы гипофиза (ГНАГ) составляют от 14 до 54% всех аденом гипофиза, их распространенность оценивается в 7,0–41,3 случая на 100 000 населения [1, 2]. В клинической картине ГНАГ присутствуют симптомы масс-эффекта (зрительные нарушения, головные боли, гипопитуитаризм) и отсутствуют проявления гиперпродукции тех или иных тропных гормонов гипофиза. В то же время ГНАГ представляют собой крайне гетерогенную группу опухолей: среди них встречаются ноль-клеточные аденомы, онкоцитомы, гонадотропинсекретирующие опухоли, а также «молчащие» аденомы, экспрессирующие адренокортикотропный гормон (АКТГ), соматотропный гормон (СТГ), пролактин или тиреотропный гормон (ТТГ). На данный момент тактика ведения пациентов одинакова для всех ГНАГ, различий в прогнозе не описано [3].
Наиболее часто встречающимся видом ГНАГ (73% случаев) являются гонадотропиномы [4]. Они представляют собой опухоли, которые происходят из гонадотрофов [3, 5]. В отличие от гормонально-активных аденом гипофиза в большинстве случаев для гонадотропином характерна секреция биологически неактивных гормонов, поэтому выделение гонадотропинов не приводит к развитию каких-либо клинических симптомов [6]. По этой причине диагноз гонадотропиномы чаще всего устанавливается на основании результатов иммуногистохимического исследования [6–8]. Однако в редких случаях гонадотропиномы секретируют биологически активные гормоны, чаще всего фолликулостимулирующий (ФСГ), реже лютеинизирующий (ЛГ) [9, 7]. Клинические проявления ФСГ/ЛГ-секретирующих аденом гипофиза зависят от пола и возраста. У детей эти опухоли вызывают преждевременное половое созревание. У пациенток репродуктивного возраста хроническое воздействие ФСГ на яичники может приводить к нарушению менструального цикла, бесплодию, развитию ретенционных кист яичников вплоть до синдрома гиперстимуляции яичников (СГЯ) [10]. В постменопаузе секреция аденомой гипофиза биологически активных гонадотропинов не сопровождается клиническими проявлениями, поскольку в постменопаузе гонадотропины повышены и в норме, что не приводит к стимуляции яичников. У мужчин отмечаются увеличение тестикул (без наличия объемных и/или жидкостных образований), снижение либидо и эректильная дисфункция [10–12].
Клинически активные гонадотропиномы трудно диагностировать in vivo, поэтому их истинная распространенность не известна [10]. В ходе кросс-секционного исследования A. Fernandez и соавт. [13] у 81 449 жителей Великобритании не было обнаружено ни одного случая клинически активной гонадотропиномы. В литературе описано очень мало случаев ФСГ/ЛГ-секретирующих аденом гипофиза, среди них у женщин фертильного возраста всего 40, у мужчин – 21. Описаны также 3 девочки и 3 мальчика в возрасте до 18 лет [10, 14–21].
A. Caretto и соавт. [15] проанализировали все случаи ГНАГ у женщин репродуктивного возраста, которым было проведено нейрохирургическое лечение с 1993 по 2014 г. в Университете Vita-Salute в Милане. Из 213 пациенток при иммуногистохимическом исследовании гонадотропиномы диагностированы у 171, причем у всех больных, кроме 2 (98,8%), выявлены макроаденомы. Из всех женщин с гонадотропиномами по совокупности данных клиническая активность опухолей с развитием СГЯ подтверждена только у 3. Таким образом, частота встречаемости СГЯ у пациенток с ГНАГ в данном исследовании составила 2,9% [15]. В группе пациенток с гистологически верифицированными гонадотропиномами частота СГЯ составила 8,1%, что подтверждается и менее масштабными исследованиями [4]. Использование транскрипционного фактора SF-1 позволило установить, что довольно большая часть ноль-клеточных аденом имеет гонадотрофное происхождение [4], поэтому частота СГЯ при гонадотропиномах может быть завышена, так как большинство исследователей используют для верификации данных опухолей исключительно иммуногистохимические методы. С другой стороны, частота СГЯ при ФСГ/ЛГ-секретирующих аденомах гипофиза может быть занижена, так как исследователи ограничены популяцией пациентов, нуждающихся в оперативном лечении, в то время как пациенты с асимптомным течением ГНАГ или опухолями небольших размеров не направляются на нейрохирургическое лечение и иммуногистохимическая верификация диагноза у них недоступна. По всей видимости, СГЯ вследствие гонадотропином во многих случаях остается недиагностированным [22].
Некоторые авторы описывают смену секреторной активности аденом гипофиза, когда исходно гормонально-неактивное образование начинает секретировать гонадотропины через несколько лет наблюдения [23]. Это наблюдение лишний раз подчеркивает необходимость не только динамического контроля роста опухоли, но и клинического наблюдения пациентов с ГНАГ.
Чаще всего диагноз клинически активной гонадотропиномы устанавливается спустя много лет после появления гинекологической симптоматики. Выявление у пациентки СГЯ требует проведения дифференциальной диагностики между ФСГ/ЛГ-секретирующей аденомой гипофиза, синдромом поликистозных яичников (СПЯ) и опухолями яичников. При СПЯ часто наблюдаются снижение соотношения ФСГ/ЛГ (однако вопрос о соотношении ФСГ/ЛГ при СПЯ является спорным), гиперандрогения. Яичники при СПЯ увеличены незначительно, а размеры кист редко превышают 1 см [10]. Опухоли яичников чаще встречаются у женщин старшего возраста на фоне физиологического повышения уровня ФСГ и ЛГ [10]. Настороженность в отношении СГЯ вследствие клинически активных гонадотропином позволит раньше выявить истинную причину заболевания и выбрать правильную тактику лечения.
Важно отметить, что развитие спонтанного СГЯ отличается от вызванного экзогенными гонадотропинами, применяемыми в протоколах вспомогательных репродуктивных технологий. В случае ятрогенного СГЯ часто встречаются асцит, генерализованные периферические отеки и повышение сосудистой проницаемости, не характерные для эндогенной формы синдрома. В гормональном профиле при активных гонадотропиномах имеют место высоконормальная или повышенная концентрация ФСГ, подавление ЛГ (увеличение соотношения ФСГ/ЛГ) и высокая концентрация эстрадиола [10]. Важно отметить, что во многих описанных клинических наблюдениях [10] абсолютная концентрация ФСГ оставалась в пределах референсного интервала, в то время как соотношение ФСГ/ЛГ было повышено. Это подтверждает важность оценки соотношения указанных параметров в случае подозрения на гонадотропиному. Содержание эстрадиола также может быть нормальным или повышенным [10].
ЛГ необходим для продукции клетками теки яичников андрогенов, которые под действием ароматазы фолликулярных клеток превращаются в эстрогены (за этот процесс в свою очередь отвечает ФСГ) [10]. В случае недостатка ЛГ концентрация эстрадиола может оставаться низкой. В то же время в некоторых описанных в литературе случаях наблюдались высокие концентрации эстрадиола при низком содержании ЛГ. Это может свидетельствовать о том, что даже очень небольшой концентрации ЛГ достаточно для гиперпродукции эстрадиола [22]. Низкая концентрация ЛГ также может быть обусловлена физиологическим механизмом отрицательной обратной связи вследствие высокой концентрации эстрадиола или может быть вызвана повреждением гипофиза растущей опухолью [10, 22]. Для клинически активных гонадотропином характерно также и повышение содержания ингибина В, этот параметр возвращается в норму вскоре после оперативного лечения [10]. Часто выявляемая гиперпролактинемия при гонадотропиномах является следствием масс-эффекта опухоли. Важно, что повышение концентрации пролактина может заставить врача обратить внимание на выявление патологии гипоталамо-гипофизарной области в том случае, если состояние ошибочно расценено как СПЯ или опухоль яичников.
Основным методом лечения клинически активных гонадотропином считается транссфеноидальная аденомэктомия. По данным A. Caretto и др. [15], после нейрохирургического лечения у 2 из 3 пациенток восстанавливался нормальный гормональный профиль, возобновлялись регулярные менструации (у 3-й пациентки отмечен выраженный дефицит массы тела, возможно, препятствовавший восстановлению менструального цикла). Послеоперационных рецидивов заболевания у всех 3 пациенток не описано [15]. Во многих публикациях продемонстрировано, что по данным УЗИ строение яичников также нормализуется после удаления гонадотропиномы [10], но в серии клинических наблюдений это продемонстрировано лишь несколькими авторами, такими как А. Caretto и др. и Т. Kawaguchi и др. [15, 21]. Отсюда следует, что своевременное правильное установление центрального генеза СГЯ с последующим нейрохирургическим лечением не просто позволяет достичь ремиссии основного заболевания, но и предотвращает неоправданное оперативное вмешательство в области малого таза.
В то же время ремиссия после аденомэктомии при гонадотропиномах достигается не во всех случаях, и тогда приходится прибегать к медикаментозной и лучевой терапии. О. Karapanou и др. [24] описали пациентку с гонадотропиномой и СГЯ, у которой нейрохирургическое лечение не привело к ремиссии заболевания. Назначение октреотида (Сандостатин 0,5 мг 3 раза в день подкожно, затем Сандостатин ЛАР 30 мг 1 раз в месяц внутримышечно) позволило нормализовать концентрацию эстрадиола и функцию яичников у данной пациентки, после чего для достижения стойкой ремиссии ей была проведена лучевая терапия [24]. Помимо аналогов соматостатина, в мировой практике в подобных случаях в качестве медикаментозной терапии гонадотропином также успешно применялся каберголин [25].
При неэффективности нейрохирургического лечения клинически активных гонадотропином стоит помнить о возможности эктопической продукции ФСГ. A. Miras и др. [26] описали пациентку 26 лет с СГЯ, повышенным ФСГ и микроаденомой (0,5 см) гипофиза. Пациентке была проведена аденомэктомия, но снижения ФСГ в послеоперационном периоде не наблюдалось; по данным гистологического исследования, аденома состояла из сомато- и лактотрофов. В ходе компьютерной томографии брюшной полости была обнаружена опухоль тела поджелудочной железы размером 4,5×7,5 см. После оперативного лечения подтверждена нейроэндокринная природа образования, опухоль продуцировала β-субъединицу ФСГ и общую α-субъединицу. После второй операции была достигнута ремиссия заболевания.
В данной статье мы хотим представить описание редкого клинического наблюдения: ФСГ/ЛГ-секретирующей макроаденомы гипофиза с развитием СГЯ у 18-летней женщины, описать особенности диагностического поиска и результаты проведенного лечения.
Описание случая
История заболевания
Пациентка А., 18 лет, поступила в отделение нейроэндокринологии и остеопатий ФГБУ «НМИЦ эндокринологии» Минздрава России в июне 2017 г. с жалобами на общую слабость, периодические головные боли, прогрессирующее снижение зрения, боли внизу живота.
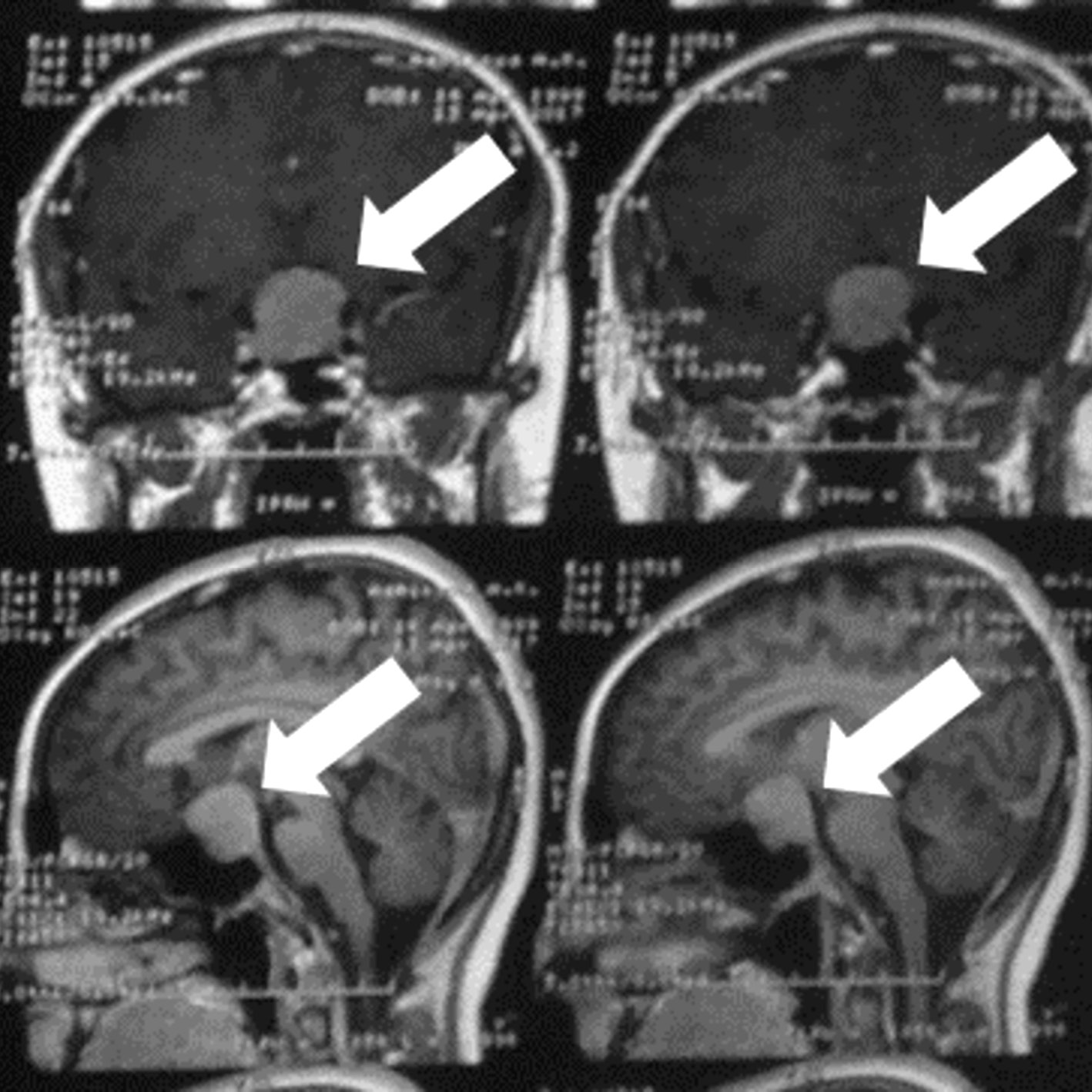
При сборе анамнеза установлено, что вышеописанные жалобы беспокоили с 2016 г. Менструальный цикл регулярный. В дебюте заболевания пациентка обратилась к гинекологу по месту жительства, при осмотре и по данным УЗИ выявлены двусторонние множественные кисты яичников. Пациентка была направлена в ФГБУ «НМИЦ АГП им. В.И. Кулакова» с направительным диагнозом «синдром поликистозных яичников» для дообследования и оперативного лечения. В ходе обследования проведено исключение беременности (в том числе внематочной) и впервые были выявлены изменения гормонального профиля: повышение пролактина до 90,18 нг/мл (норма до 23), ФСГ до 16,46 Ед/л (норма до 8) и эстрадиола до 834 пг/мл (норма до 172), а также снижение ЛГ – 0,03 Ед/д. Учитывая выявленную гиперпролактинемию, исключен феномен макропролактинемии: пролактин общий 1824 мЕд/л, пролактин мономерный 1512 мЕд/л. В связи с повышением содержания пролактина пациентка направлена на магнитно-резонансную томографию (МРТ) головного мозга с контрастированием, при которой впервые выявлена макроаденома гипофиза размером 2,6×2,2×2,1 см с супраселлярным ростом и компрессией хиазмы (рис. 1).
Рис. 1. МР-томография головного мозга пациентки, Т1-изображение.
Сверху – фронтальная проекция, снизу – сагиттальная. Стрелками отмечена макроаденома гипофиза.
Для исключения гормональной активности аденомы гипофиза пациентке определен уровень инсулиноподобного фактора роста 1-го типа (ИФР-1) – выявлено его снижение до 132 нг/мл (норма 267,5–470,8) – и выполнена малая дексаметазоновая проба – концентрация кортизола в крови после пробы 35,8 нмоль/л (норма <50,0).
Пациентка была осмотрена офтальмологом, снижения остроты зрения не выявлено. По данным МРТ малого таза без контрастирования выявлены значительно увеличенные яичники (размеры не указаны) с множественными кистами, а также кзади от мочевого пузыря и уретры – кистозное образование неправильной формы 73×41×28 мм, заполненное однородным жидкостным содержимым (рис. 2).
Рис. 2. МР-изображение органов малого таза пациентки. Видны поликистозные увеличенные яичники.
По окончании обследования пациентка амбулаторно обратилась в ФГБУ ЭНЦ (в мае 2017 г.), где на основании повышения содержания ФСГ и эстрадиола, наличия макроаденомы гипофиза и СГЯ заподозрена гонадотропинома. При проведении периметрии сужения полей зрения не выявлено, нейрохирургом рекомендовано плановое нейрохирургическое лечение через 3 мес. В предоперационном периоде была рекомендована терапия каберголином 0,125 мг 2 раза в неделю для окончательного подтверждения неопухолевого генеза гиперпролактинемии. Однако в конце мая того же года пациентка отметила быстрое ухудшение самочувствия: появились выраженные головные боли, развилось нарушение зрения (возникли скотомы), при осмотре офтальмологом по месту жительства впервые выявлено сужение полей зрения. В связи с этим в июне 2017 г. больная была экстренно госпитализирована в ФГБУ «НМИЦ эндокринологии» МЗ РФ.
Данные клинико-лабораторного обследования
При осмотре в ходе госпитализации клинических признаков, соответствующих нарушению секреции тропных гормонов гипофиза, не выявлено. Пациентка нормальной массы тела и роста – 61 кг и 168 см соответственно, индекс массы тела 21,6. Распределение подкожной жировой клетчатки равномерное, отеков нет. Оволосение по женскому типу (по шкале Ферримана–Голлвея 6 баллов), вторичные половые признаки развиты правильно, отделяемого из сосков нет. Щитовидная железа не увеличена. В остальном по органам и системам без особенностей.
При гинекологическом осмотре наружные половые органы развиты правильно, слизистая оболочка влагалища чистая, розовая, через переднюю стенку и передний свод влагалища с переходом на правую боковую стенку и правый боковой свод «просвечивает» кистозное мягкоэластическое образование (размер не указан). Шейка матки оттеснена кзади, цилиндрическая, не эрозирована. Тело матки нормальных размеров, подвижное, безболезненное, придатки матки увеличены в размерах, безболезненные. Параметрий неинфильтрирован, безболезнен.
Соматический анамнез пациентки без особенностей, наследственность не отягощена. Менархе в 12 лет. Менструальный ритм по 5 дней, через 28 дней, менструации умеренные, безболезненные. В браке с 17 лет, беременностей не было.
При исследовании гонадотропной функции на 24-й день менструального цикла выявлено снижение концентрации ЛГ, повышение концентрации ФСГ. Данных за смешанный характер секреции аденомы и гипопитуитаризм не получено, содержание пролактина на фоне 2-недельной отмены каберголина в норме (табл. 1).
Таблица 1. Данные гормонального обследования при поступлении
|
Исследуемый параметр |
Полученное значение |
Референсный интервал |
|
|
овуляторная фаза |
лютеиновая фаза |
||
|
ЛГ, ЕД/л |
0,216 |
24–150 |
2–17 |
|
ФСГ, ЕД/л |
18,9 |
6,17–17,2 |
1,09–9,2 |
|
Эстрадиол, пмоль/л |
2570 |
131–1655 |
91–861 |
|
Кортизол крови утром, нмоль/л |
230 |
123–626 |
|
|
Т4св., пмоль/л |
16,7 |
10–18 |
|
|
ИФР-1, нг/мл |
141 |
120–400 |
|
|
Пролактин, мЕД/л |
272 |
90–540 |
|
В ходе периметрии было выявлено сужение полей зрения в верхневисочном квадранте справа, острота зрения не снижена.
Множественные функциональные (ретенционные) кисты яичников, выявленные до госпитализации по данным МРТ, расценены лечащим врачом как проявление СГЯ. Объемное образование в ректовагинальной клетчатке было расценено гинекологом как киста гартнерова хода.
Таким образом, на основании наличия СГЯ, высокой концентрации ФСГ, верификации по данным МРТ объемного образования гипофиз, было подтверждено наличие гонадотропиномы.
Пациентке установлен следующий диагноз:
Основной: ФСГ-секретирующая супраэндоселлярная макроаденома гипофиза со зрительными нарушениями.
Осложнения: синдром гиперстимуляции яичников легкой степени тяжести: множественные функциональные кисты яичников. Сужение полей зрения в верхневисочном квадранте OD.
Сопутствующие: киста гартнерова хода справа.
Лечение
Учитывая наличие гонадотропинсекретирующей макроаденомы гипофиза с компрессией хиазмы и зрительными нарушениями, оптимальным методом лечения выбрано нейрохирургическое вмешательство. В июне 2017 г. в ФГБУ «НМИЦ эндокринологии» МЗ РФ проведено трансназальное транссфеноидальное удаление аденомы гипофиза. Интраоперационно нейрохирургами обнаружена опухоль кремового цвета, мягкой консистенции.
По данным гистологического исследования – аденома гипофиза (рис. 3.1, на цв. вклейке). При иммуногистохимическом исследовании обнаружена экспрессия ФСГ с интенсивным окрашиванием цитоплазмы большинства опухолевых клеток (до 90%), ЛГ в цитоплазме опухолевых клеток (20–30%), пролактина – в единичных клетках. Индекс Ki-67=3,8%, SF-1 (steroidogenic factor-1) c ядерной экспрессией в большинстве опухолевых клеток. Таким образом, верифицирован диагноз ФСГ/ЛГ-секретирующей аденомы гипофиза (рис. 3.2–3.4, на цв. вклейке).
Рис. 3. Гистологическое и иммуногистохимическое исследование ткани аденомы гипофиза.
1 – гистологическое строение аденомы гипофиза из хромофобных вытянутых клеток, формирующих периваскулярные псевдорозетки, окраска гематоксилином и эозином, ×100; 2 – иммуногистохимическое исследование с антителами к ФСГ, ×200; 3 – иммуногистохимическое исследование с антителами к ЛГ, ×100; 4 — иммуногистохимическое исследование с антителами к SF-1, ×100.
В раннем послеоперационном периоде пациентка отметила значительное улучшение самочувствия: регресс головных болей и улучшение зрения.
На 3-и сутки после операции были исключены вторичная надпочечниковая недостаточность (концентрация кортизола в крови утром >450 нмоль/л) и вторичный гипотиреоз (Т4св. в пределах референсного диапазона), клинических и лабораторных признаков несахарного диабета не выявлено (суточный диурез менее 3 л, нормальное содержание натрия в крови). Через 1 нед после вмешательства нормализовалась концентрация ФСГ и эстрадиола. Количественные данные отражены в табл. 2.
Таблица 2. Данные гормонального обследования в 1-ю неделю после операции
|
Исследуемый параметр |
Полученное значение |
Референсный интервал |
|
|
овуляторная фаза |
лютеиновая фаза |
||
|
ЛГ, ЕД/л |
0,216 |
24–150 |
2–17 |
|
ФСГ, ЕД/л |
1,42 |
6,17–17,2 |
1,09–9,2 |
|
Эстрадиол, пмоль/л |
112,9 |
131–1655 |
91–861 |
|
Кортизол крови утром, нмоль/л |
1750 |
123–626 |
|
|
Т4св,, пмоль/л |
12,7 |
10–18 |
|
|
Пролактин, мЕД/л |
301 |
90–540 |
|
|
Натрий сыворотки крови, ммоль/л |
142 |
136–145 |
|
|
Суточный диурез, мл |
1200 |
До 3000 |
|
Результаты динамического наблюдения
В отдаленном послеоперационном периоде пациентка продолжала отмечать значительное улучшение самочувствия: исчезли боли внизу живота, уменьшились головные боли, улучшилось зрение. Сохранялся нормальный менструальный цикл (длиной 28–30 дней, продолжительность менструации 3–4 дня), концентрация ФСГ, ЛГ, эстрадиола и пролактина при обследовании по месту жительства соответствовали половозрастным нормам: в фолликулярную фазу ФСГ 7,54 МЕ/л (1,37–9.9), ЛГ 5,8 МЕ/л (2–14), пролактин – 19,07 нг/мл (4,2–23,0), эстрадиол 63,1 пг/мл (до 255).
По данным ультразвукового контроля через 6 мес, на 13-й день менструального цикла кистозных изменений обоих яичников больше не наблюдалось: правый яичник увеличен до 47×30 мм, в его срезе определялись около 10 фолликулов диаметром 3–4 мм и доминантный фолликул диаметром 20 мм. Левый яичник не был увеличен: 35×23 мм, в его срезе определялось около 10 фолликулов диаметром от 3 до 5 мм. Аналогичная картина отмечена и при контроле через 1 год после операции. Учитывая регресс кистозных образований яичников, исключения их опухолевого и метастатического поражения не потребовалось. В плановом порядке пациентке было проведено удаление кисты гартнерова хода в ФГБУ «НМИЦ АГП им. В.И. Кулакова» Минздрава России.
В апреле 2018 г. пациентка вновь была госпитализирована в ФГБУ «НМИЦ эндокринологии» Минздрава России. При обследовании подтверждена ремиссия гонадотропиномы: концентрация ФСГ, ЛГ и эстрадиола в норме (табл. 3). По данным МРТ головного мозга, картина вторичного «пустого турецкого седла», послеоперационные изменения селлярной области без признаков рецидива заболевания.
Таблица 3. Данные гормонального обследования через 9 мес после операции
|
Исследуемый параметр |
Полученное значение |
Референсный интервал (фолликулярная фаза) |
|
ЛГ, ЕД/л |
2,25 |
1,68–15,0 |
|
ФСГ, ЕД/л |
4,86 |
1,37–9,90 |
|
Эстрадиол, пмоль/л |
176 |
68–1269 |
|
СТГ, нг/мл |
0,417 |
0,06–6,90 |
|
Т4св,, пмоль/л |
13,6 |
10–18 |
|
ИФР-1, нг/мл |
177,7 |
120–400 |
|
Пролактин, мЕД/л |
473,8 |
90–540 |
|
Кортизол крови утром, нмоль/л |
139,8 |
123–626 |
Исследованы и остальные функции гипофиза для исключения вторичного гипопитуитаризма, все параметры были в пределах референсного диапазона (табл. 3). Однако однократно до госпитализации у пациентки выявлялось снижение ИФР-1 до 132 нг/мл (267,5–470,8), а концентрация кортизола в крови утром не позволяла окончательно исключить вторичную надпочечниковую недостаточность. Пациентке был проведен тест с инсулиновой гипогликемией: гипогликемия (1,27 ммоль/л) была достигнута через 30 мин после начала пробы, на этом фоне концентрация кортизола поднялась до 627 нмоль/л (норма >550), а СТГ – до 11,1 нг/мл (норма более 10). Таким образом, гипопитуитаризм был окончательно исключен.
После выписки в мае 2018 г. у пациентки самостоятельно наступила беременность.
Обсуждение
СГЯ – это гетерогенная группа заболеваний. В отсутствие предшествующей индукции овуляции синдром может быть вызван гиперпродукцией гликопротеиновых гормонов и/или мутацией рецепторов ФСГ. В первом случае состояние будет обусловлено схожестью β-субъединиц ТТГ, ФСГ, ЛГ и хорионического гонадотропина человека (ХГЧ). В условиях гиперпродукции одного из них рецепторы ФСГ дикого типа могут терять свою специфичность и активироваться от действия бета-субъединиц других гормонов [27, 28]. Согласно другим теориям, в организме могут синтезироваться модифицированные молекулы ХГЧ или ТТГ с большей биологической аутокринной активностью в отношении клеток гранулезы. Помимо этого, избыточная стимуляция рецепторов ФСГ может достигаться и при гиперпродукции ФСГ опухолью. В литературе описано 9 случаев СГЯ, вызванных гипотиреозом, и 16 случаев, связанных с гиперпродукцией ХГЧ [19].
Другим возможным механизмом развития СГЯ является мутация в рецепторе ФСГ (рФСГ). На сегодняшний день известно шесть гетерозиготных мутаций в гене рФСГ, которые могут приводить к СГЯ. Пять из них локализованы в серпентиновом домене рФСГ, участвующем в трансдукции сигнала внутрь клетки [27, 29–32], и приводят к повышенной чувствительности к ХГЧ и ТТГ. Мутация, локализованная во внеклеточном N-концевом домене рФСГ, ответственном за высокую аффинность рецептора, повышает чувствительность только к ХГЧ [13]. Важно отметить, что в тех описанных случаях, когда у пациенток не удалось подтвердить наличие герминативной мутации, соматические мутации в тканях яичника путем биопсии не исключались [29]. На основании этих данных N. Panagiotopoulou и соавт. [19] выделили 4 типа истинного СГЯ: к первому типу относятся пациентки с мутациями в рФСГ, ко второму типу – с гиперпродукцией ХГЧ (например, при многоплодной беременности), к третьему типу относятся пациентки с повышением секреции ТТГ и к четвертому – с ФСГ/ЛГ-секретирующими аденомами гипофиза.
Эта классификация демонстрирует, что диагноз клинически активной гонадотропиномы устанавливают методом исключения. Для подтверждения истинного СГЯ при обнаружении объемных образований яичников необходимо провести тщательную дифференциальную диагностику. В данном случае диагностический поиск начался с СПЯ.
СПЯ – самая частая эндокринная патология среди женщин репродуктивного возраста, встречающаяся у 8–13% пациенток в зависимости от популяции [33, 34]. Для установления диагноза СПЯ требуется несколько критериев. Согласно обновленным клиническим рекомендациям по диагностике данного синдрома, вышедшим в 2018 г., к таким критериям относятся мультифолликулярные яичники по УЗИ, гиперандрогения (в том числе ее клинические проявления, такие как акне, алопеция и гирсутизм), ановуляция, нерегулярный менструальный цикл. У женщин, у которых от менархе прошло менее 8 лет, для диагностики данного синдрома УЗИ-критерий не используется, так как в этот период жизни наличие мультифолликулярных яичников может являться вариантом нормы [35].
Таким образом, несмотря на наличие поликистозных яичников по данным УЗИ, в описанном случае направительный диагноз СПЯ был неправомочен ввиду относительно недавнего наступления менархе у пациентки и отсутствия иных характерных клинических проявлений.
Дальнейшим этапом обследования пациентки должна была являться дифференциальная диагностика объемных образований яичников. Первым этапом диагностического поиска, согласно данным Американской ассоциации семейных врачей, является исключение эктопической беременности [36]. Такой анализ был проведен в ФГБУ «НМИЦ АГП им. В.И. Кулакова» – результат отрицательный. Следующим шагом является оценка данных УЗИ – если образование придатков матки размером больше 10 см и/или является подозрительным на злокачественное (в структуре определяются участки солидного компонента размерами ≥100 мм, не менее 4 папиллярных структур и сильно выраженный кровоток по данным цветного допплеровского картирования, а сама опухоль является многокамерной) [37], пациентка направляется к онкологу для дальнейшей диагностики поражения. Важно отметить, что двусторонний характер поражения делает еще более вероятным диагноз злокачественного поражения.
Учитывая персистирующий характер образований (функциональные кисты яичников подвергаются обратному развитию в течение нескольких менструальных циклов), дальнейшими диагностическими шагами должны были являться исследование онкомаркеров (СА-125, НЕ4, альфа-фетопротеин, ß-субъединицы ХГЧ, лактатдегидрогеназы), УЗИ молочных желез (до 35 лет) или маммография (с 35 лет), гастро- и колоноскопия для исключения метастатического характера обнаруженных изменений и впоследствии оперативное лечение с интраоперационным гистологическим исследованием [37].
Решающим моментом в диагностике у описанной молодой женщины стало определение содержания пролактина. Благодаря обнаруженной гиперпролактинемии пациентке была проведена МРТ головного мозга и обнаружена макроаденома гипофиза. Умеренная гиперпролактинемия, по всей вероятности, была обусловлена масс-эффектом опухоли, а соматотропная, кортикотропная и тиреотропная функции гипофиза не пострадали. Как уже было сказано выше, ГНАГ являются относительно частой патологией, составляя до 54% всех аденом гипофиза, а их гонадотропная клинически выраженная активность крайне редка. Согласно рекомендациям Российского общества эндокринологов, в случае отсутствия зрительных нарушений пациентам с ГНАГ рекомендуется динамическое наблюдение [38]. Однако ГНАГ являются диагнозом исключения: при обнаружении инциденталомы гипофиза необходимо доказать отсутствие гормональной активности опухоли, а для этого, помимо других тропных гормонов, исследуются уровни ЛГ и ФСГ [38]. У данной пациентки имелось выраженное повышение концентрации ФСГ и эстрадиола, что могло являться проявлениями как опухоли яичника, так и клинически активной гонадотропиномы. Исследование ФСГ и ЛГ у пациенток с СГЯ, вызванным индукцией овуляции в данном цикле, не несет клинически значимой информации и, по мнению многих авторов, не может рекомендоваться в рутинной практике. В то же время необходимо отметить, что при отсутствии в анамнезе недавнего применения вспомогательных репродуктивных технологий и наличия увеличенных поликистозных яичников или иных объемных образований придатков определение концентрации ЛГ и ФСГ может иметь важное диагностическое значение (так, например, для СПЯ типично повышение соотношения ЛГ/ФСГ ≥2) [35].
Результаты иммуногистохимического исследования ткани удаленной опухоли гипофиза и нормальная УЗ-картина яичников в послеоперационном периоде позволили установить, что причиной множественных кистозных образований яичников являлась их гиперстимуляция избыточным количеством ФСГ.
Вместе с тем на данный момент в литературе нет как данных, посвященных встречаемости истинных опухолей яичников у пациенток с клинически активными гонадотропиномами, так и информации о частоте ГНАГ или аденом гипофиза с секрецией ФСГ/ЛГ у женщин с объемными образованиями яичников. Таким образом, однозначные рекомендации по дифференциальной диагностике этих двух ситуаций на сегодняшний день не разработаны, а для усовершенствования диагностических критериев требуется дальнейшее накопление клинических данных.
Заключение
СГЯ вследствие гонадотропинсекретирующей опухоли гипофиза встречается примерно у 3% женщин с ГНАГ в репродуктивном возрасте и у 8% пациенток с верифицированной гонадотропиномой. Настороженность в отношении клинически активных гонадотропином должна быть при выявлении СГЯ и у пациенток с ГНАГ репродуктивного возраста. Наличие специфической клинической картины и характерных данных лабораторной и инструментальной диагностики позволяет раньше установить верный диагноз и повысить эффективность лечения таких пациенток.
В данном клиническом случае описана молодая пациентка с ФСГ/ЛГ-секретирующей макроаденомой гипофиза, которая привела к развитию СГЯ. Диагноз аденомы гипофиза был установлен благодаря выявленной гиперпролактинемии за 1 мес до развития зрительных нарушений, что можно считать несвоевременной диагностикой. Хирургическое лечение гонадотропиномы было проведено успешно и без осложнений, достигнута ремиссия заболевания, была восстановлена зрительная функция, послеоперационный гипопитуитаризм не развился, наступила беременность. Однако в других случаях более ранняя диагностика может играть решающую роль в исходе заболевания, поэтому необходимо своевременно обращать внимание на клинические проявления, изменения гормонального профиля у пациенток с СГЯ или ГНАГ.
Дополнительная информация
Дополнительные материалы к статье
|
Рис. 3. Гистологическое и иммуногистохимическое исследование ткани аденомы гипофиза. 1 – гистологическое строение аденомы гипофиза из хромофобных вытянутых клеток, формирующих периваскулярные псевдорозетки, окраска гематоксилином и эозином, ×100; 2 – иммуногистохимическое исследование с антителами к ФСГ, ×200; 3 – иммуногистохимическое исследование с антителами к ЛГ, ×100; 4 – иммуногистохимическое исследование с антителами к SF-1, ×100. Доступен на цветной вклейке и в сети Интернет: |
Источник финансирования. Статья публикуется на личные средства авторского коллектива.
Согласие пациента. Пациенткой была подписана форма информированного согласия на публикацию персональной медицинской информации в обезличенной форме в журнале «Проблемы эндокринологии».
Конфликт интересов. Авторы декларируют отсутствие явных и потенциальных конфликтов интересов, связанных с публикацией настоящей статьи.
Участие авторов. Все авторы внесли значимый вклад в подготовку статьи, прочли и одобрили финальную версию перед публикацией.
Список литературы
1. Katznelson L, Alexander JM, Klibanski A. Clinical review 45: clinically nonfunctioning pituitary adenomas. J Clin Endocrinol Metab. 1993;76(5):1089–1094. doi: https://doi.org/10.1210/jcem.76.5.8496297.
2. Ntali G, Wass JA. Epidemiology, clinical presentation and diagnosis of non-functioning pituitary adenomas. Pituitary. 2018;21(2):111–118. doi: 10.1007/s11102-018-0869-3.
3. Losa M, Mortini P, Barzaghi R, et al. Early results of surgery in patients with nonfunctioning pituitary adenoma and analysis of the risk of tumor recurrence. J Neurosurg. 2008;108(3):525–532. doi: https://doi.org/10.3171/JNS/2008/108/3/0525.
4. Nishioka H, Inoshita N, Mete O, et al. The complementary role of transcription factors in the accurate diagnosis of clinically nonfunctioning pituitary adenomas. Endocr Pathol. 2015;26(4):349–355. doi: https://doi.org/10.1007/s12022-015-9398-z.
5. Yamada S, Ohyama K, Taguchi M, et al. A study of the correlation between morphological findings and biological activities in clinically nonfunctioning pituitary adenomas. Neurosurgery. 2007;61(3):580–585. doi: 10.1227/01.NEU.0000290906.53685.79.
6. Snyder PJ. Extensive personal experience: gonadotroph adenomas. J Clin Endocrinol Metab. 1995;80(4):1059–1061. doi: https://doi.org/10.1210/jcem.80.4.7714066.
7. Snyder PJ. Gonadotroph cell adenomas of the pituitary. Endocr Rev. 1985;6(4):552–563. doi: https://doi.org/10.1210/edrv-6-4-552.
8. Snyder PJ. Clinically nonfunctioning pituitary adenomas. Endocrinol Metab Clin North Am. 1993;22(1):163–175. doi: https://doi.org/10.1016/S0889-8529(18)30185-3.
9. Balinisteanu B, Ceausu RA, Cimpean AM, et al. Conventional examination versus immunohistochemistry in the prediction of hormone profile of pituitary adenomas. An analysis on 142 cases. Rom J Morphol Embryol. 2011;52(3 Suppl):1041–1045.
10. Ntali G, Capatina C, Grossman A, Karavitaki N. Clinical review: functioning gonadotroph adenomas. J Clin Endocrinol Metab. 2014;99(12):4423–4433. doi: https://doi.org/10.1210/jc.2014-2362.
11. Chamoun R, Layfield L, Couldwell WT. Gonadotroph adenoma with secondary hypersecretion of testosterone. World Neurosurg. 2013;80(6):900.e7-11. doi: https://doi.org/10.1016/j.wneu.2012.11.069.
12. Kumar P, Bishnoi I, Singh D, et al. Follicle stimulating hormone secreting pituitary macroadenoma in males: a rare entity. Neurol India. 2016;64(5):1068–1071. doi: https://doi.org/10.4103/0028-3886.190225.
13. Fernandez A, Karavitaki N, Wass JA. Prevalence of pituitary adenomas: a community-based, cross-sectional study in Banbury (Oxfordshire, UK). Clin Endocrinol (Oxf). 2010;72(3):377–382. doi: https://doi.org/10.1111/j.1365-2265.2009.03667.x.
14. Broughton C, Mears J, Williams A, Lonnen K. A clinically functioning gonadotroph adenoma presenting with abdominal pain, ovarian hyperstimulation and fibromatosis. Endocrinol Diabetes Metab Case Rep. 2018;2018:EDM180123. doi: https://doi.org/10.1530/EDM-18-0123.
15. Caretto A, Lanzi R, Piani C, et al. Ovarian hyperstimulation syndrome due to follicle-stimulating hormone-secreting pituitary adenomas. Pituitary. 2017;20(5):553–560. doi: https://doi.org/10.1007/s11102-017-0817-7.
16. Cote DJ, Smith TR, Sandler CN, et al. Functional gonadotroph adenomas: case series and report of literature. Neurosurgery. 2016;79(6):823–831. doi: https://doi.org/10.1227/NEU.0000000000001188.
17. Graillon T, Castinetti F, Chabert-Orsini V, et al. Functioning gonadotroph adenoma with severe ovarian hyperstimulation syndrome: a new emergency in pituitary adenoma surgery? Surgical considerations and literature review. Ann Endocrinol (Paris). 2019;80(2):122–127. doi: https://doi.org/10.1016/j.ando.2018.11.007.
18. Halupczok J, Bidzińska-Speichert B, Lenarcik-Kabza A, et al. Gonadotroph adenoma causing ovarian hyperstimulation syndrome in a premenopausal woman. Gynecol Endocrinol. 2014;30(11):774–777. doi: https://doi.org/10.3109/09513590.2014.934668.
19. Panagiotopoulou N, Byers H, Newman WG, Bhatia K. Spontaneous ovarian hyperstimulation syndrome: case report, pathophysiological classification and diagnostic algorithm. Eur J Obstet Gynecol Reprod Biol. 2013;169(2):143–148. doi: https://doi.org/10.1016/j.ejogrb.2013.03.004.
20. Tatsuoka H, Inano S, Hamamoto Y, et al. Male gonadotroph adenoma: report of three cases and a review of the literature. Intern med. 2013;52(11):1199–1202.doi: https://doi.org/10.2169/internalmedicine.52.7855.
21. Kawaguchi T, Ogawa Y, Ito K, et al. Follicle-stimulating hormone-secreting pituitary adenoma manifesting as recurrent ovarian cysts in a young woman – latent risk of unidentified ovarian hyperstimulation: a case report. BMC Res Notes. 2013;6:408.doi: https://doi.org/10.1186/1756-0500-6-408.
22. Halupczok J, Kluba-Szyszka A, Bidzinska-Speichert B, et al. hyperstimulation caused by gonadotroph pituitary adenoma – review. Adv Clin Exp Med. 2015;24(4):695–703.doi: https://doi.org/10.17219/acem/25212.
23. Andino-Rios GG, Portocarrero-Ortiz L, Rojas-Guerrero C, et al. Nonfunctioning pituitary adenoma that changed to a functional gonadotropinoma. Case Rep Endocrinol. 2018;2018:5027859.doi: https://doi.org/10.1155/2018/5027859.
24. Karapanou O, Tzanela M, Tamouridis N, Tsagarakis S. Gonadotroph pituitary macroadenoma inducing ovarian hyperstimulation syndrome: successful response to octreotide therapy. Hormones (Athens). 2012;11(2):199–202.doi: https://doi.org/10.14310/horm.2002.1347.
25. Leese G, Jeffreys R, Vora J. Effects of cabergoline in a pituitary adenoma secreting follicle-stimulating hormone. Postgrad Med J. 1997;73(862):507–508.doi: https://doi.org/10.1136/pgmj.73.862.507.
26. Miras AD, Mogford JT, Wright J, et al. Ovarian hyperstimulation from ectopic hypersecretion of follicle stimulating hormone. Lancet. 2015;385(9965):392.doi: https://doi.org/10.1016/S0140-6736(14)62294-7.
27. Schubert RL, Narayan P, Puett D. Specificity of cognate ligand-receptor interactions: fusion proteins of human chorionic gonadotropin and the heptahelical receptors for human luteinizing hormone, thyroid-stimulating hormone, and follicle-stimulating hormone. Endocrinology. 2003;144(1):129–137. doi: 10.1210/en.2002-220829.
28. Smits G, Campillo M, Govaerts C, et al. Glycoprotein hormone receptors: determinants in leucine-rich repeats responsible for ligand specificity. EMBO J. 2003;22(11):2692–2703.doi: https://doi.org/10.1093/emboj/cdg260.
29. De Leener A, Montanelli L, Van Durme J, et al. Presence and absence of follicle-stimulating hormone receptor mutations provide some insights into spontaneous ovarian hyperstimulation syndrome physiopathology. J Clin Endocrinol Metab. 2006;91(2):555–562. doi: 10.1210/jc.2005-1580.
30. Montanelli L, Delbaere A, Di Carlo C, et al. A mutation in the follicle-stimulating hormone receptor as a cause of familial spontaneous ovarian hyperstimulation syndrome. J Clin Endocrinol Metab. 2004;89(4):1255–1258.doi: https://doi.org/10.1210/jc.2003-031910.
31. Smits G, Olatunbosun O, Delbaere A, et al. Ovarian hyperstimulation syndrome due to a mutation in the follicle-stimulating hormone receptor. N Engl J Med. 2003;349(8):760–766.doi: https://doi.org/10.1056/NEJMoa030064.
32. Vasseur C, Rodien P, Beau I, et al. A chorionic gonadotropin-sensitive mutation in the follicle-stimulating hormone receptor as a cause of familial gestational spontaneous ovarian hyperstimulation syndrome. N Engl J Med. 2003;349(8):753–759.doi: https://doi.org/10.1056/NEJMoa030065.
33. Azziz R, Carmina E, Chen Z, et al. Polycystic ovary syndrome. Nat Rev Dis Primers. 2016;2:16057.doi: https://doi.org/10.1038/nrdp.2016.57.
34. Teede H, Deeks A, Moran L. Polycystic ovary syndrome: a complex condition with psychological, reproductive and metabolic manifestations that impacts on health across the lifespan. BMC Med. 2010;8:41.doi: https://doi.org/10.1186/1741-7015-8-41.
35. Teede HJ, Misso ML, Costello MF, et al. Recommendations from the international evidence-based guideline for the assessment and management of polycystic ovary syndrome. Hum Reprod. 2018;33(9):1602–1618.doi: https://doi.org/10.1016/j.fertnstert.2018.05.004.
36. Givens V, Mitchell GE, Harraway-Smith C, et al. Diagnosis and management of adnexal masses. Am Fam Physician. 2009;80(8): 815–820.
37. Письмо Министерства здравоохранения РФ от 04.12.18 №15-4/10/2-7838 «Диагностика и лечение доброкачественных новообразований яичников с позиции профилактики рака» [интернет]. [Letter of Ministry of Health of the Russian Federation dated December 4, 2018, № 15-4/10/2-7838 «Diagnostika i lechenie dobrokachestvennykh novoobrazovanii yaichnikov s pozitsii profilaktiki raka» [internet]. (In Russ).] Доступно по: https://primorsky.ru/authorities/executive-agencies/departments/health/klinicheskie-protokoly-po-akusherstvu-i-ginekologii/. Ссылка активна на 15.04.2019.
38. Дедов И.И., Мельниченко Г.А., Рожинская Л.Я., и др. Инциденталомы гипофиза: клиника, диагностика, дифференциальная диагностика и методы лечения // Проблемы эндокринологии. – 2015. Т. 61. – №3 – С. 57–68. [Dedov II, Melnichenko GA, Rozhinskaya LYa, et al. Pituitary incidentalomas: the clinical picture, diagnostics, differential diagnostics, and methods of treatment. Problems of endocrinology. 2015;61(3):57–68. (In Russ).] doi: https://doi.org/10.14341/probl201561357-68.
Об авторах
Анна Максимовна ГорбачеваРоссия
Елена Георгиевна Пржиялковская
Россия
к.м.н.
Вилен Неронович Азизян
Россия
отделение нейрохирургии
Ирина Васильевна Станоевич
Россия
доктор медицинских наук
Андрей Юрьевич Григорьев
Россия
д.м.н.
Анна Игоревна Сазонова
Россия
кандидат медицинских наук, врач-эндокринолог терапевтического отделения
Анастасия Михайловна Лапшина
Россия
Кандидат медицинских наук, врач-патологоанатом отдела фундаментальной патоморфологии
Жанна Евгеньевна Белая
Россия
д.м.н., зав. отделения нейроэндокринологии и остеопатий,
профессор кафедры эндокринология, института высшего и дополнительного образования
Дополнительные файлы
|
|
1. Рис. 1. МР-томография головного мозга пациентки, Т1-изображение. | |
| Тема | ||
| Тип | Прочее | |
Посмотреть
(243KB)
|
Метаданные ▾ | |
|
|
2. Рис. 2. МР-изображение органов малого таза пациентки. Видны поликистозные увеличенные яичники. | |
| Тема | ||
| Тип | Прочее | |
Посмотреть
(324KB)
|
Метаданные ▾ | |
|
|
3. Рис. 3. Гистологическое и иммуногистохимическое исследование ткани аденомы гипофиза. | |
| Тема | ||
| Тип | Прочее | |
Посмотреть
(1MB)
|
Метаданные ▾ | |
Рецензия
Для цитирования:
Горбачева А.М., Пржиялковская Е.Г., Азизян В.Н., Станоевич И.В., Григорьев А.Ю., Сазонова А.И., Лапшина А.М., Белая Ж.Е. Клинически активная гонадотропинома c развитием синдрома гиперстимуляции яичников у молодой женщины. Проблемы Эндокринологии. 2019;65(4):278-288. https://doi.org/10.14341/probl10178
For citation:
Gorbacheva A.M., Przhiyalkovskaya E.G., Azizyan V.N., Stanoevich I.V., Grigoriev A.Yu., Sazonova A.I., Lapshina A.M., Belaya Zh.E. An ovarian hyperstimulation syndrome caused by gonadotropinoma in a young woman. Problems of Endocrinology. 2019;65(4):278-288. https://doi.org/10.14341/probl10178
Контент доступен под лицензией Creative Commons Attribution-NonCommercial-NoDerivatives 4.0 International License (CC BY-NC-ND 4.0).




































.jpg)

