Перейти к:
Эпидемиология и результаты хирургического лечения эутиреоидного и токсического зоба в зависимости от особенностей клинического течения, степени компрессии трахеи и коморбидности
https://doi.org/10.14341/probl12233
Аннотация
ОБОСНОВАНИЕ. К моменту обращения за медицинской помощью у отдельных пациентов определяется узловой/многоузловой зоб больших и гигантских размеров, который приводит к сдавлению органов шеи. В структуре доброкачественных заболеваний сдавление органов шеи диагностируют в 10% случаев, причем сужение трахеи встречается у 84% больных этой группы. Экспериментально установлено, что сужение трахеи приводит к развитию гипертензии в малом круге кровообращения. Пациенты с узловым/многоузловым зобом со сдавлением органов шеи относятся к возрастной группе от 50 лет и старше, особенностью которой является коморбидность разной степени выраженности. Сердечно-легочные синдромы могут маскировать сдавление органов шеи щитовидной железой. Как правило, пациенты обращаются и/или направляются к кардиологу, пульмонологу, гастроэнтерологу и другим специалистам, в результате чего упускаются сроки своевременного оперативного лечения. Нередко к эндокринному хирургу пациентов доставляют экстренно в связи с развитием асфиксии. Предшествующие этому состоянию симптомы нарушения функции внешнего дыхания и начальные проявления легочной гипертензии как следствие компрессионного синдрома оцениваются лишь ретроспективно.
ЦЕЛЬ. Изучение частоты сдавления трахеи и симптомов хронической гипоксии в структуре доброкачественных заболеваний щитовидной железы, требующих хирургического лечения, а также оценка характера коморбидной патологии и результатов хирургического лечения.
МЕТОДЫ. Дизайн исследования — ретроспективное сплошное. Объект исследования — медицинские карты пациентов формы 003у. Проведен ретроспективный анализ результатов хирургического лечения доброкачественных заболеваний щитовидной железы (100 наблюдений) за период с марта по август 2019 г.
РЕЗУЛЬТАТЫ. В структуре доброкачественных заболеваний щитовидной железы преобладал токсический зоб (74%). Компрессия трахеи выявлена в 69% случаев. При сдавлении трахеи статистически значимо преобладала артериальная гипертензия (χ2, p≤0,01). Появление свистящего дыхания на вдохе/выдохе и увеличение его частоты выявлено при сужении трахеи на уровне щитовидной железы до 10 мм и менее в 10 наблюдениях (10%) со статистически значимым преобладанием частоты выявления легочной гипертензии (χ2, p≤0,01). В структуре операций преобладала тиреоидэктомия (80%). Статистически значимого увеличения хирургических осложнений в зависимости от выраженности сдавления трахеи, возраста и сопутствующей патологии не выявлено. Летальных исходов не было.
ЗАКЛЮЧЕНИЕ. Хирургическое лечение пациентов с доброкачественными заболеваниями щитовидной железы, осложненными сдавлением органов шеи, показано и безопасно вне зависимости от возраста и сопутствующей патологии.
Ключевые слова
Для цитирования:
Ильичева Е.А., Берсенев Г.А., Махутов В.Н., Алдаранов Г.Ю., Григорьев Е.Г. Эпидемиология и результаты хирургического лечения эутиреоидного и токсического зоба в зависимости от особенностей клинического течения, степени компрессии трахеи и коморбидности. Проблемы Эндокринологии. 2020;66(1):87-92. https://doi.org/10.14341/probl12233
For citation:
Ilyicheva E.A., Bersenev G.A., Makhutov V.N., Aldaranov G.Yu., Grigoryev E.G. Epidemiology and results of surgical treatment of euthyroid and toxic goiter depending on the peculiarities of clinical course, tracheal compression and comorbidity. Problems of Endocrinology. 2020;66(1):87-92. (In Russ.) https://doi.org/10.14341/probl12233
ОБОСНОВАНИЕ
В настоящее время патология щитовидной железы занимает второе место по частоте встречаемости в структуре эндокринных заболеваний после сахарного диабета [1]. По данным Национального медицинского исследовательского центра эндокринологии, заболеваемость узловым зобом составляет от 5,2 до 70% в зависимости от региона России [2]. Многоузловой зоб диагностируют у 5% населения неэндемичных и у 15% — эндемичных регионов планеты [3]. Распространенность диффузного токсического зоба в России — от 2 до 5% в зависимости от региона, ежегодная заболеваемость составляет в среднем 5−7 человек на 100 000 населения [4]. В нашей стране существует проблема поздней обращаемости населения с заболеваниями щитовидной железы за медицинской помощью [5]. К моменту обращения у отдельных пациентов определяется узловой/многоузловой зоб больших/гигантских размеров, который приводит к сдавлению органов шеи [6]. В зависимости от выраженности компрессии у больных могут развиваться дисфагия, кашель, свистящее дыхание на вдохе/выдохе, хроническая гипоксия, асфиксия, синдромы верхней полой вены, Бернара−Горнера, сдавление диафрагмального нерва, легочно-сердечная и церебральная недостаточность [7]. В структуре доброкачественных заболеваний сдавление органов шеи диагностируют в 10% случаев, причем сужение трахеи встречается у 84% больных этой группы. Асфиксия на этом фоне развивается редко (в 1% случаев) [6, 8, 9]. И. Курганский и соавт. [10] на лабораторных крысах линии Wistar установили, что сужение трахеи более чем на 50% от исходного приводит к нарушению функции внешнего дыхания — появлению свистящего дыхания и увеличению его частоты. Впоследствии длительное сужение трахеи приводит к увеличению давления в правом желудочке сердца, легочной артерии с развитием гипертензии в малом круге кровообращения [10]. Сдавление органов шеи при доброкачественных узловых заболеваниях щитовидной железы является показанием к оперативному вмешательству [11]. Пациенты с узловым/многоузловым зобом со сдавлением органов шеи относятся к возрастной группе от 50 лет и старше [5, 7], особенностью которой является коморбидность разной степени выраженности [9]. Сердечно-легочные синдромы могут маскировать сдавление органов шеи щитовидной железой. Как правило, пациенты обращаются и/или направляются к кардиологу, пульмонологу, гастроэнтерологу и другим специалистам, в результате чего упускаются сроки своевременного оперативного лечения [9]. Нередко к эндокринному хирургу пациентов доставляют экстренно в связи с развитием асфиксии. Предшествующие этому состоянию симптомы нарушения функции внешнего дыхания и начальные проявления легочной гипертензии как следствие компрессионного синдрома оцениваются лишь ретроспективно [6, 9].
В нашей клинике накоплен опыт более 2000 оперативных вмешательств при доброкачественных заболеваниях щитовидной и околощитовидных желез.
ЦЕЛЬ
Изучить частоту сдавления трахеи и симптомов хронической гипоксии в структуре доброкачественных заболеваний щитовидной железы, требующих хирургического лечения, а также оценить характер коморбидной патологии и результаты хирургического лечения.
МЕТОДЫ
Дизайн исследования
Проведено одноцентровое ретроспективное исследование результатов хирургического лечения доброкачественных заболеваний щитовидной железы сплошной выборки из 100 наблюдений.
Критерии соответствия
Критерии включения: пациенты, перенесшие хирургическое вмешательство по поводу доброкачественного заболевания щитовидной железы в торакальном отделении ГБУЗ «Иркутская ордена “Знак почета“ областная клиническая больница», независимо от пола и возраста за период с марта по август 2019 г. Все больные, соответствующие критериям включения, внесены в анализ.
Критерии невключения: пациенты, перенесшие повторное оперативное вмешательство на щитовидной железе.
Условия проведения
Клинические, лабораторные и инструментальные манипуляции проведены в отделении торакальной хирургии ГБУЗ «Иркутская ордена “Знак почета” областная клиническая больница», которое является клинической базой кафедры госпитальной хирургии ФГБОУ ВО «Иркутский государственный медицинский университет» и научного отдела клинической хирургии ФГБНУ «Иркутский научный центр хирургии и травматологии» (далее ИНЦХТ).
Продолжительность исследования
Исследование проводилось с сентября по октябрь 2019 г. В исследовании использовалась медицинская документация пациентов (медицинские карты формы 003у), прооперированных за период с марта по август 2019 г.
Исходы исследования
Основной исход исследования. Основная конечная точка исследования — определение частоты встречаемости сдавления трахеи и симптомов хронической гипоксии в структуре доброкачественных заболеваний щитовидной железы, требующих хирургического лечения.
Дополнительные исходы исследования. В рамках исследования проанализированы характер коморбидной патологии и результаты хирургического лечения доброкачественных заболеваний щитовидной железы.
Методы регистрации исходов
Проводили стандартное клинико-инструментальное обследование, включающее общий анализ крови, мочи, биохимические показатели крови (общий белок, альбумин, креатинин, мочевина, общий и прямой билирубин, общий кальций, фосфор, ионизированный кальций, щелочная фосфатаза), коагулограммы (международное нормализованное отношение, активированное частичное тромбопластиновое время, протромбиновый индекс), уровни гормонов (тиреотропный, трийодтиронин, тироксин, паратиреоидный гормон), уровень витамина D (кальцидиол).
Выполняли электрокардиографию, фиброгастродуоденоскопию, ультразвуковое исследование сердца, органов брюшной полости и забрюшинного пространства. Анатомические особенности щитовидной железы определяли по данным ультразвукового исследования. Оценка сдавления органов шеи проводилась с использованием рентгеноскопии пищевода и мультиспиральной компьютерной томографии шеи.
Этическая экспертиза
Все пациенты подписали информированное согласие на участие в исследовании. Работа выполнялась в соответствии с планом научно-исследовательской работы ИНЦХТ № 063 «Биомедицинские технологии профилактики и лечения органной недостаточности в реконструктивной и восстановительной хирургии», сроки выполнения 2013−2021 гг. Исследование одобрено комитетом по биомедицинской этике ИНЦХТ, протокол № 9 от 09.11.2012.
Статистический анализ
Статистический анализ данных проводили с помощью пакета программ Statistica 10.0 for Windows (лицензия № AXAR402G263414FA-V). Выполняли описательный и сравнительный анализы с использованием методов непараметрической статистики. Данные представляли в виде медианы с нижним и верхним квартилями (25-й и 75-й процентили). Определение статистической значимости различий полученных данных (р) в сравниваемых выборках проведено по критериям Манна−Уитни (U), Пирсона (χ2) и точному критерию Фишера. Различия считали статистически значимыми при p<0,05.
РЕЗУЛЬТАТЫ
Объекты (участники) исследования
Выполнен ретроспективный анализ 100 наблюдений хирургического лечения доброкачественных заболеваний щитовидной железы. Возраст прооперированных пациентов — от 20 до 87 лет, медиана 57 (43−66) лет. Женщин было 83 (83%). Соотношение женщин и мужчин 5:1.
Основные результаты исследования
Распределение больных по патологии щитовидной железы и наличию признаков сдавления органов шеи представлено в табл. 1.
Таблица 1. Структура доброкачественных заболеваний щитовидной железы
|
Код по МКБ-10 |
Диагноз по МКБ-10 |
Функция щитовидной железы |
Общее число пациентов* |
Сдавление органов шеи |
Сдавление трахеи |
|
|
n, %* |
n, %* |
n, %* |
%** |
|||
|
E04.1 |
Нетоксический одноузловой зоб |
Эутиреоз |
6 |
5 |
5 |
6,9 |
|
E04.2 |
Нетоксический многоузловой зоб |
Эутиреоз |
16 |
16 |
16 |
22,2 |
|
Гипотиреоз |
3 |
3 |
3 |
4,1 |
||
|
E05.0 |
Тиреотоксикоз с диффузным зобом |
Степень тяжести |
||||
|
Манифестный |
28 |
16 |
15 |
20,8 |
||
|
Осложненный |
8 |
2 |
- |
- |
||
|
E05.2 |
Тиреотоксикоз с токсическим многоузловым зобом |
Степень тяжести |
||||
|
Субклинический |
22 |
18 |
18 |
25 |
||
|
Манифестный |
13 |
9 |
9 |
12,5 |
||
|
Осложненный |
3 |
3 |
3 |
4,1 |
||
|
E06.5 |
Тиреоидит |
Гипотиреоз |
1 |
1 |
1 |
1,4 |
|
Итого |
100 |
72 |
69 |
97 |
||
Примечание. Абсолютные значения (n) равны проценту (%), т.к. в исследование включены 100 пациентов. %* — процент от общего количества пациентов. %** — процент от количества пациентов со сдавлением органов шеи.
Согласно табл. 1, в структуре доброкачественных заболеваний щитовидной железы преобладал токсический зоб (74%); компрессия трахеи наблюдалась в 60% случаев (n=45), при нетоксических формах зоба (n=26) — у всех пациентов. Медиана диаметра трахеи составила 22 (4,5−23) мм. Общий объем щитовидной железы по данным ультразвукового исследования, измеренный по общепринятому способу C.L. Brown (1981), составил от 10 до 391,5 см3, медиана — 56,6 (37,3−108,3) см3. У пациентов, имеющих рентгенологические признаки компрессии трахеи (сужение, смещение), медиана объема щитовидной железы составила 77,9 (53,2−118,2) см3, у не имеющих признаков компрессии — 32,5 (20,1−43,4) см3 (U-критерий Манна−Уитни, p≤0,01).
Появление свистящего дыхания на вдохе и выдохе, увеличение его частоты установлено в 10 (10%) наблюдениях. У этих пациентов минимальный просвет трахеи на уровне щитовидной железы был менее 10 мм, а структура доброкачественных заболеваний включала нетоксический многоузловой зоб (n=2), тиреотоксикоз с токсическим многоузловым зобом (n=7), тиреоидит (n=1). У данной группы пациентов статистически значимо преобладала легочная гипертензия (χ2, p≤0,01), что подтверждает полученные ранее экспериментальные данные [10]. В наших наблюдениях критическим в этом отношении установлен диаметр стенозированного сегмента менее 10 мм.
Все пациенты прооперированы. Структура операций включала резекцию перешейка щитовидной железы (1 наблюдение; 1%), гемитиреоидэктомию (16; 16%); тиреоидэктомию (80; 80%), из которых 10 (10%) выполнены при диаметре трахеи менее 10 мм, и тиреоидэктомию с субтотальной паратиреоидэктомией (3; 3%). В послеоперационном периоде парез гортани развился в 10 (10%) наблюдениях, гипопаратиреоз — в 1 (1%), нагноение послеоперационной раны — в 3 (3%), лабораторная гипокальциемия — в 6 (6%). Статистически значимого увеличения хирургических осложнений в зависимости от выраженности сдавления трахеи не выявлено (χ2, p>0,1). У пациентов, которые в дооперационном периоде получали препараты витамина D с целью компенсации его недостаточности, частота развития послеоперационного пареза гортани оказалась статистически значимо меньше (χ2, p<0,01). На первый взгляд, частота послеоперационной лабораторной гипокальциемии у пациентов без артериальной гипертензии оказалась выше, чем в группе больных, имеющих эту патологию (χ2, p<0,05). Однако, исключив наблюдения, где имелись протекторные факторы в отношении гипокальциемии, статистически значимая зависимость развития послеоперационной лабораторной гипокальциемии от сопутствующей артериальной гипертензии не выявлена (χ2, p>0,1). К протекторным факторам отнесены гемитиреоидэктомия, прием альфакальцидола пациентами с сопутствующим вторичным гиперпаратиреозом, назначение 10% хлористого кальция внутривенно с первых суток при выявлении пареза гортани. Статистически значимого увеличения хирургических осложнений в зависимости от возраста пациентов выявлено не было (χ2, p>0,1). Летальных исходов не было.
Дополнительные результаты исследования
Структура сопутствующей патологии у пациентов со сдавлением трахеи представлена в табл. 2.
Таблица 2. Частота выявления коморбидной патологии в зависимости от наличия признаков компрессии трахеи
|
Код по МКБ-10 |
Диагноз по МКБ-10 |
Наличие рентгенологических признаков сдавления трахеи, n=69 (%) |
Отсутствие рентгенологических признаков сдавления трахеи, n=31 (%) |
χ2, p |
|
E11.8 |
Инсулиннезависимый сахарный диабет с неуточненными осложнениями |
16 (23) |
4 (13) |
>0,1 |
|
E21.0 |
Первичный гиперпаратиреоз |
2 (3) |
1 (3) |
>0,1 |
|
E21.1 |
Вторичный гиперпаратиреоз, не классифицированный в других рубриках |
7 (10) |
8 (26) |
>0,1 |
|
E55 |
Недостаточность витамина D, медикаментозная компенсация |
46 (67) |
22 (71) |
>0,1 |
|
E66.0 |
Ожирение, обусловленное избыточным поступлением энергетических ресурсов |
23 (33) |
7 (22,5) |
>0,1 |
|
I11.0 |
Гипертензивная [гипертоническая] болезнь с преимущественным поражением сердца с (застойной) сердечной недостаточностью |
56 (81) |
14 (45) |
≤0,01 |
|
I49.9 |
Нарушение сердечного ритма неуточненное |
10 (14,5) |
10 (32) |
>0,1 |
|
I67.8 |
Другие уточненные поражения сосудов мозга |
6 (9) |
1 (3) |
>0,1 |
|
J44.9 |
Хроническая обструктивная легочная болезнь, неуточненная |
3 (4) |
0 (0) |
>0,1 |
|
K21.0 |
Гастроэзофагеальный рефлюкс с эзофагитом |
4 (6) |
4 (13) |
>0,1 |
|
N20.9 |
Мочевые камни неуточненные |
2 (2,9) |
1 (3) |
>0,1 |
Примечание. n — абсолютные значения; p — достигнутый уровень значимости; χ2 — критерий хи-квадрат, точный критерий Фишера.
Согласно табл. 2, в группе пациентов с рентгенологическими признаками сдавления трахеи статистически значимо преобладает артериальная гипертензия (χ2, p≤0,01). Медиана возраста составила 59 (49−68) лет, в группе без компрессии — 43,5 (34−68) года (χ2, p≤0,01). Этот показатель у пациентов со сдавлением трахеи также оказался статистически значимо выше, чем при отсутствии сдавления (χ2, p≤0,01). Таким образом, артериальная гипертензия и сдавление трахеи — признаки, ассоциированные с возрастом пациентов. В то же время при компрессии трахеи ассоциация возраста и артериальной гипертензии теряет свою значимость (χ2, p>0,1). Среди больных без компрессии трахеи преобладают лица старшего возраста с артериальной гипертензией (χ2, p<0,05).
ОБСУЖДЕНИЕ
Резюме основного результата исследования
По данным литературы, сдавление органов шеи выявляется в 10% случаев доброкачественных заболеваний щитовидной железы, причем компрессия трахеи диагностируется в 84% случаев [4, 9, 10]. Пациенты со сдавлением органов шеи составляют возрастную группу от 50 лет и старше [2, 7] и имеют выраженную сопутствующую патологию [10]. Зачастую проявления сдавления органов шеи принимаются за симптомы коморбидной патологии и подвергаются длительному и безуспешному лечению [10].
Обсуждение основного результата исследования
Ретроспективный анализ 100 наблюдений хирургического лечения доброкачественных заболеваний щитовидной железы показал, что сдавление органов шеи выявлено в 72% (n=72) случаев, преимущественно трахеи (n=69). Статистически значимая компрессия органов шеи наблюдалась при объеме щитовидной железы от 50 см3 и более (U-критерий Манна−Уитни, p≤0,01): следовательно, при объеме щитовидной железы ≥50 см3 необходимо проводить рентгеноскопию пищевода и мультиспиральную компьютерную томографию шеи. Возраст пациентов составил 20−87 лет с медианой 58,5 (47−67,5). Характерной особенностью была выраженная сопутствующая патология (см. табл. 2). Обнаружена статистически значимая связь компрессии органов шеи и сопутствующей артериальной гипертензии (χ2, p≤0,01) (см. табл. 2). Признаки нарушения внешнего дыхания и начальные проявления легочной гипертензии установлены у 10% пациентов (n=10), минимальный диаметр просвета трахеи на уровне щитовидной железы был менее 10 мм (χ2, p≤0,01), что подтверждает полученные ранее экспериментальные данные [10]. Обнаружена статистически значимая протекторная роль приема препаратов витамина D в отношении развития послеоперационного пареза гортани (χ2, p<0,01). Установлено, что возраст пациентов, сопутствующая патология статистически значимо не влияли на результаты хирургического лечения (χ2, p>0,1). Увеличения числа хирургических осложнений в зависимости от выраженности сдавления трахеи также не выявлено (χ2, p>0,1).
Ограничения исследования
Исследование ограничено возрастной группой пациентов от 18 лет и старше. Экстраполировать результаты исследования на лиц младше 18 лет неприменимо.
ЗАКЛЮЧЕНИЕ
Хирургическое лечение пациентов с доброкачественными заболеваниями щитовидной железы, осложненными сдавлением органов шеи, безопасно и показано независимо от возраста и сопутствующей патологии.
ДОПОЛНИТЕЛЬНАЯ ИНФОРМАЦИЯ
Источник финансирования. Исследование и публикация статьи осуществлены на личные средства авторского коллектива.
Конфликт интересов. Авторы декларируют отсутствие явных и потенциальных конфликтов интересов, связанных с публикацией настоящей статьи.
Участие авторов. Разработка концепции и дизайна, анализ и интерпретация данных, обоснование рукописи и проверка критически важного интеллектуального содержания — Е.А. Ильичева, Г.А. Берсенев; разработка концепции и дизайна, анализ и интерпретация данных, обоснование рукописи и проверка критически важного интеллектуального содержания, редактирование и окончательное утверждение рукописи — Е.Г. Григорьев; сбор материала, анализ и интерпретация данных — В.Н. Махутов, Г.Ю. Алдаранов.
Список литературы
1. Демидова Т.Ю., Дроздова И.Н., Потехин Н.П., Орлов Ф.А. Принципы диагностики и лечения узлового зоба // Медицинский совет. — 2016. — №3. — С. 86–91. [Demidova TY, Drozdova IN, Potekhin NP, Orlov FA. Principles of diagnosis and treatment of nodular goiter. Medical Council. 2016;(3):86–91. (In Russ).] doi: https://doi.org/10.21518/2079-701X-2016-3-86-91
2. Трошина Е.А., Платонова Н.М., Абдулхабирова Ф.М., Герасимов Г.А. Йододефицитные заболевания в Российской Федерации: время принятия решений / Под ред. Дедова И.И., Мельниченко Г.А. — М.: Конти-Принт, 2012. — 232 с. [Troshina EA, Platonova NM, Abdulkhabirova FM, Gerasimov GA. Iododefitsitnye zabolevaniya v Rossiiskoi Federatsii: vremya prinyatiya reshenii. Dedov II, Melnichenko GA, editors. Moscow: Konti-Print; 2012. 232 p. (In Russ).]
3. Abraham D, Singh N, Lang B, et al. Benign nodular goitre presenting as acute airway obstruction. ANZ J Surg. 2007;77(5):364–367. doi: https://doi.org/10.1111/j.1445-2197.2007.04061.x
4. Аметов А.С., Кондратьева Л.В., Бугова Л.А. Болезнь Грейвса и функциональная автономия щитовидной железы в регионе с легким йодным дефицитом // Клиническая и экспериментальная тиреоидология. — 2011. — Т.7. — №4. — С. 51–55. [Ametov AS, Kondratieva LV, Bugova LA. Graves’ disease and thyroid functional autonomy in the region of mild iodine deficiency. Clinical and experimental thyroidology. 2011;7(4):51–55. (In Russ).] doi: https://doi.org/10.14341/ket20117451-55
5. Березкина И.С., Саприна Т.В., Зима А.П., и др. Клинические особенности и результаты лабораторно-инструментального обследования пациентов с узловыми образованиями щитовидной железы // Клиническая медицина. — 2017. — Т.95. — №4. — С. 355–361. [Berezkina IS, Saprina TV, Zima AP, et al. Clinical features and results of laboratory and instrumental evaluation of patients with nodular formations of the thyroid gland in real clinical practice. Gazeta zhurnala Klinicheskaia meditsina. 2017;95(4):355–361. (In Russ).] doi: https://doi.org/10.18821/0023-2149-2017-95-4-355-361
6. Шулутко А.М., Семиков В.И., Грязнов С.Е., и др. Трудности экстренного хирургического лечения больных зобом с острой дыхательной недостаточностью в результате компрессионного синдрома (клинические наблюдения) // Московский хирургический журнал. — 2015. — №3. — С. 5–11. [Shulutko AM, Semikov VI, Gryaznov SE, et al. Difficulty emergency surgical treatment goiter with acute respiratory failure as a result compression syndrome (clinical observation). Moskovskii khirurgicheskii zhurnal. 2015;(3):5–11. (In Russ).]
7. Пиксин И.Н., Вилков А.В., Давыдкин В.И., и др. Особенности лечебно-диагностической тактики при компрессионном синдроме у больных с доброкачественными заболеваниями щитовидной железы // Таврический медико-биологический вестник. — 2017. — Т.20. — №3-2. — С. 221–226. [Piksin IN, Vilkov AV, Davydkin VI, et al. Peculiarities of diagnostic and treatment tactics when compression syndrome in patients with benign thyroid diseases. Tavricheskii mediko-biologicheskii vestnik. 2017;20(3-2):221–226. (In Russ).]
8. Ильичева Е.А., Булгатов Д.А., Жаркая А.В., и др. Хирургическое лечение зоба, осложненного асфиксией // Вестник Общественной организации «Ассоциация хирургов Иркутской области». — 2018. — №18. — С. 78–81. [Il’icheva EA, Bulgatov DA, Zharkaya AV, et al. Khirurgicheskoe lechenie zoba, oslozhnennogo asfiksiei. Vestnik Obshchestvennoi organizatsii «Assotsiatsiya khirurgov Irkutskoi oblasti». 2018;(18):78–81. (In Russ).]
9. Новиков В.Е. Диагностика болезней легких у лиц пожилого и старческого возраста и антибактериальная терапия // Клиническая геронтология. — 2010. — Т.16. — №7-8. — С. 37–41. [Nonikov VE. Diagnosis of pulmonary disease in elderly and senile patients and antibiotic therapy. Klinicheskaia gerontologiia. 2010;16(7-8):64–65. (In Russ).]
10. Патент РФ на изобретение № 2627463/19.07.2016. Бюл. № 22. Курганский И.С., Лепехова С.А., Гольдберг О.А., Махутов В.Н. Способ моделирования гипертензии малого круга кровообращения. [Patent RUS № 2627463/19.07.2016. Byul. № 22. Kurganskiy IS, Lepekhova SA, Gol’dberg OA, Makhutov VN. Sposob modelirovaniya gipertenzii malogo kruga krovoobrashcheniya. (In Russ).] Доступно по: https://findpatent.ru/patent/262/2627463.html. Ссылка активна на 10.12.2019.
11. Бельцевич Д.Г., Ванушко В.Э., Мельниченко Г.А., и др. Клинические рекомендации Российской ассоциации эндокринологов по диагностике и лечению (много)узлового зоба у взрослых (2015 год) // Эндокринная хирургия. — 2016. — Т.10. — №1. — С. 5–12. [Beltsevich DG, Vanushko VE, Mel’nichenko GA, et al. Russian Association of Endocrinologists clinic guidelines for thyroid nodules diagnostic and treatment. Endocrine Surgery. 2016;10(1):5–12. (In Russ).] doi: https://doi.org/10.14341/serg201615-12
Об авторах
Елена Алексеевна ИльичеваРоссия
д.м.н., профессор
Глеб Александрович Берсенев
Россия
Аспирант
Валерий Николаевич Махутов
Россия
Кандидат медицинских наук, заведующий отделением торакальной хирургии
Геннадий Юрьевич Алдаранов
Россия
Врач-торакальный хирург отделения торакальной хирургии
Евгений Георгиевич Григорьев
Россия
Член-корреспондент РАН, д.м.н., профессор, научный руководитель ИНЦХТ, заведующий кафедрой госпитальной хирургии
Дополнительные файлы
|
|
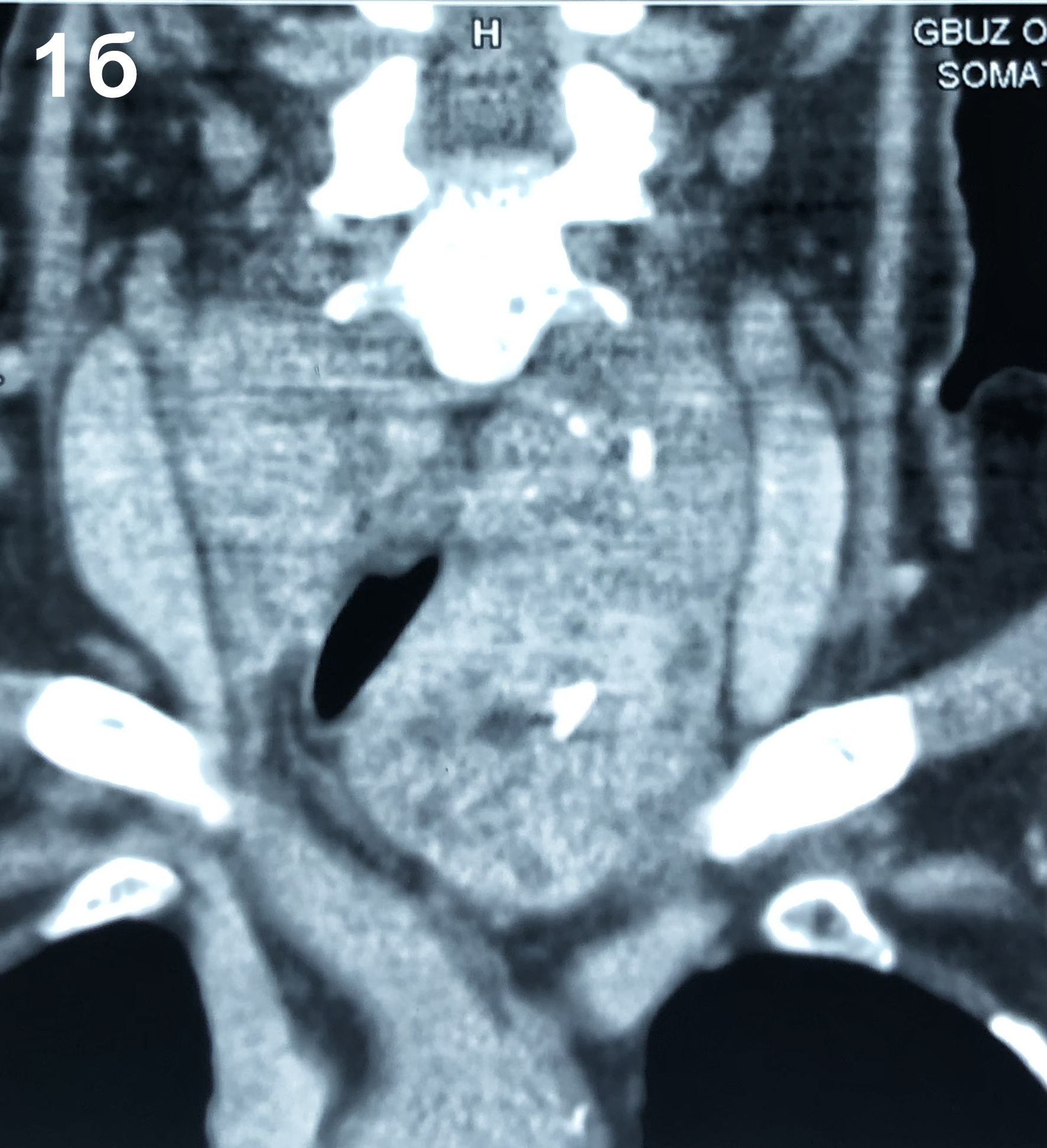
1. Рисунок 1a, b. Компьютерная томография шеи: диффузное увеличение щитовидной железы за счёт обеих долей с распространением загрудинно. Верхние полюса достигают сосцевидных отростков. Сужение просвета трахеи до 5 мм. | |
| Тема | ||
| Тип | author.submit.suppFile.figureAuthorProfileImage | |
Посмотреть
(1MB)
|
Метаданные ▾ | |
|
|
2. Рисунок 1a, b. Компьютерная томография шеи: диффузное увеличение щитовидной железы за счёт обеих долей с распространением загрудинно. Верхние полюса достигают сосцевидных отростков. Сужение просвета трахеи до 5 мм. | |
| Тема | ||
| Тип | author.submit.suppFile.figureAuthorProfileImage | |
Посмотреть
(1MB)
|
Метаданные ▾ | |
|
|
3. Рисунок 2. Фотография шейной области в боковой проекции на операционном столе. | |
| Тема | ||
| Тип | author.submit.suppFile.figureAuthorProfileImage | |
Посмотреть
(1MB)
|
Метаданные ▾ | |
|
|
4. Рисунок 3. Макропрепарат щитовидной железы.н | |
| Тема | ||
| Тип | author.submit.suppFile.figureAuthorProfileImage | |
Посмотреть
(1MB)
|
Метаданные ▾ | |
Рецензия
Для цитирования:
Ильичева Е.А., Берсенев Г.А., Махутов В.Н., Алдаранов Г.Ю., Григорьев Е.Г. Эпидемиология и результаты хирургического лечения эутиреоидного и токсического зоба в зависимости от особенностей клинического течения, степени компрессии трахеи и коморбидности. Проблемы Эндокринологии. 2020;66(1):87-92. https://doi.org/10.14341/probl12233
For citation:
Ilyicheva E.A., Bersenev G.A., Makhutov V.N., Aldaranov G.Yu., Grigoryev E.G. Epidemiology and results of surgical treatment of euthyroid and toxic goiter depending on the peculiarities of clinical course, tracheal compression and comorbidity. Problems of Endocrinology. 2020;66(1):87-92. (In Russ.) https://doi.org/10.14341/probl12233
Контент доступен под лицензией Creative Commons Attribution-NonCommercial-NoDerivatives 4.0 International License (CC BY-NC-ND 4.0).




































.jpg)

