Preview

Problems of Endocrinology

Advanced search

Metastatic lesions of the adrenal glands. The experience of Endocrinology Research Center.

https://doi.org/10.14341/probl13195

Abstract

Differentiation between benign, primary and secondary malignant tumors is a critical problem in the clinical treatment of adrenal tumors, especially in patients with isolated adrenal lesions. In most cases, the correct diagnosis can be established microscopically with standard staining with hematoxylin and eosin. However, there are cases when it is almost impossible to distinguish metastasis from primary adrenal cancer, so an accurate diagnosis requires an immunohistochemical examination.
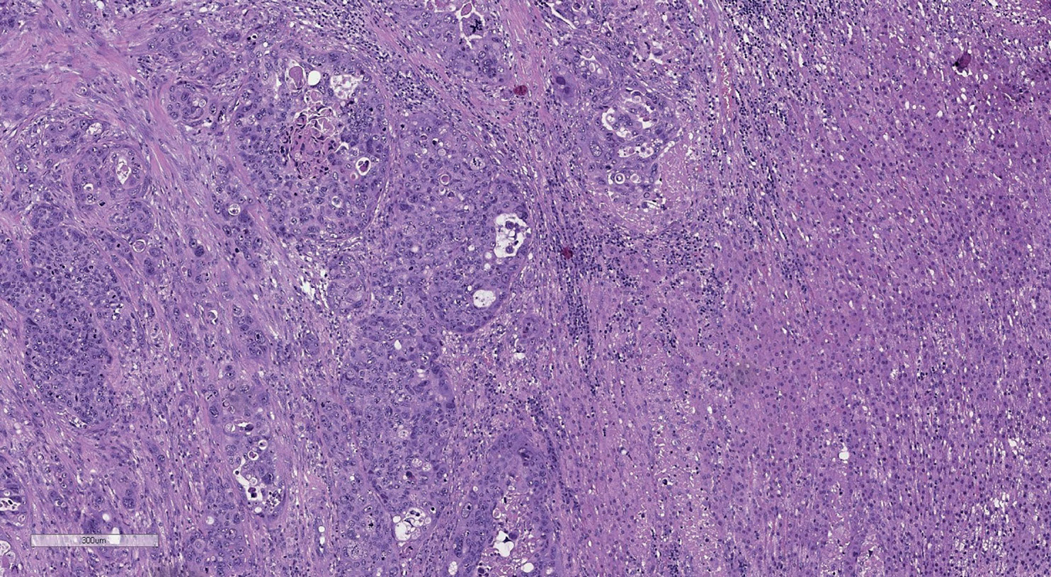
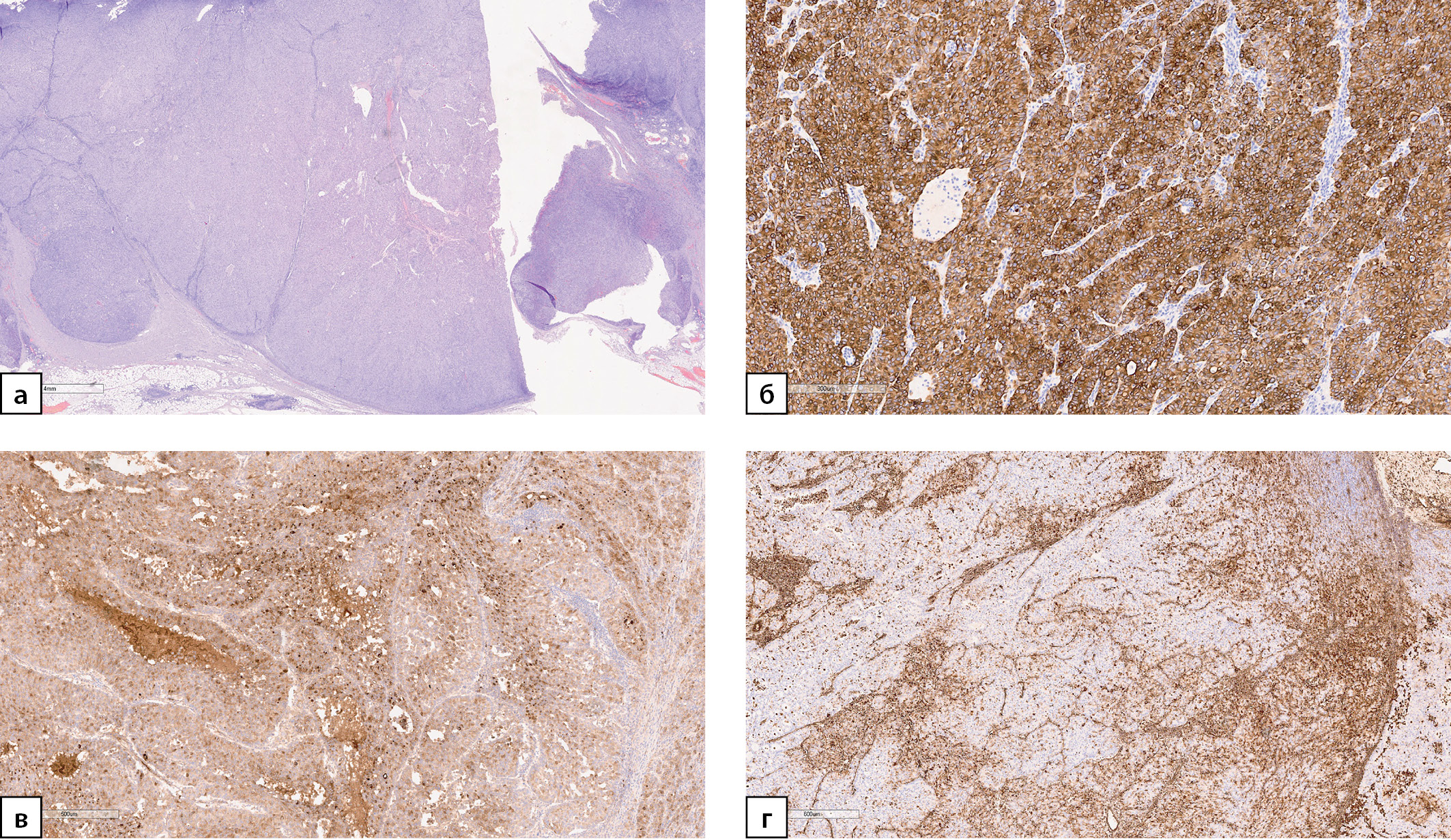
This article presents five unique observations of secondary adrenal tumors that were diagnosed by us in the current surgical material: metastasis of clear cell renal cell carcinoma, follicular variant of papillary thyroid cancer, metastasis of keratinizing squamous cell carcinoma of the cervix, lymphoepithelioma-like carcinoma of the bladder, as well as malignant mesothelioma. Taking into account the extreme rarity of the presented observations, we present an analysis of the literature data.

About the Authors

N. V. Pachuashvili
Institute of Clinical Morphology and Digital Pathology, I.M. Sechenov First Moscow State Medical University
Russian Federation

Nano V. Pachuashvili, PhD, student

8-2, Trubetskaya street, 119991 Moscow 


Competing Interests:

нет



A. A. Roslyakova
Endocrinology Research Center
Russian Federation

Anna A. Roslyakova, MD 

Moscow 

 


Competing Interests:

нет



E. E. Porubayeva
Endocrinology Research Center
Russian Federation

Erika E. Porubayeva 

Moscow 


Competing Interests:

нет



D. G. Beltsevich
Endocrinology Research Center
Russian Federation

Dmitry G. Beltsevich, MD, PhD 

Moscow 


Competing Interests:

нет



A. N. Gadzyra
Endocrinology Research Center
Russian Federation

Alexander N. Gadzyra, MD, PhD

Moscow 


Competing Interests:

нет



N. A. Drogalov
Endocrinology Research Center
Russian Federation

Nikolay A. Drogalov, MD 

Moscow 


Competing Interests:

нет



A. A. Lazareva
Endocrinology Research Center
Russian Federation

Anna A. Lazareva, MD

Moscow 


Competing Interests:

нет



L. S. Urusova
Endocrinology Research Center
Russian Federation

Liliya S. Urusova, MD, PhD 

Moscow 


Competing Interests:

нет



References

1. Ioachimescu AG, Remer EM, Hamrahian AH. Adrenal incidentalomas: A disease of modern technology offering opportunities for improved patient care. Endocrinol Metab Clin North Am. 2015;44(2):335-354. doi: https://doi.org/10.1016/j.ecl.2015.02.005

2. Angelousi A, Alexandraki KI, Kyriakopoulos G, et al. Neoplastic metastases to the endocrine glands. Endocr Relat Cancer. 2020;27(1):R1-R20. doi: https://doi.org/10.1530/ERC-19-0263

3. Kloos RT, Gross MD, Francis IR, et al. Incidentally discovered adrenal masses. Endocr Rev. 1995;16(4):460-484. doi: https://doi.org/10.1210/edrv-16-4-460

4. Beltsevich DG, Troshina EA, Melnichenko GA, et al. Draft of the clinical practice guidelines “Adrenal incidentaloma”. Endocrine surgery. 2021;15(1):4-26. (In Russ.). doi: https://doi.org/10.14341/serg12712

5. Mao JJ, Dages KN, Suresh M, Bancos I. Presentation, disease progression and outcomes of adrenal gland metastases. Clin Endocrinol (Oxf ). 2020;93(5):546-554. doi: https://doi.org/10.1111/cen.14268

6. Fassnacht M, Arlt W, Bancos I, et al. Management of adrenal incidentalomas: European Society of Endocrinology Clinical Practice Guideline in collaboration with the European Network for the Study of Adrenal Tumors. Eur J Endocrinol. 2016;175(2):1-34. doi: https://doi.org/10.1530/EJE-16-0 467

7. Bancos I, Tamhane S, Shah M, et al. Diagnosis of endocrine disease: The diagnostic performance of adrenal biopsy: a systematic review and metaanalysis. Eur J Endocrinol. 2016;175(2):65-80. doi: https://doi.org/10.1530/EJE-16-0297

8. Gunjur A, Duong C, Ball D, Siva S. Surgical and ablative therapies for the management of adrenal ‘oligometastases’ — A systematic review. Cancer Treat Rev. 2014;40(7):838-846. doi: https://doi.org/10.1016/j.ctrv.2014.04.001

9. Gittens PR, Solish AF, Trabulsi EJ. Surgical Management of Metastatic Disease to the Adrenal Gland. Semin Oncol. 2008;35(2):172-176. doi: https://doi.org/10.1053/j.seminoncol.2007.12.006

10. Ramsingh J, O’Dwyer P, Watson C. Survival outcomes following adrenalectomy for isolated metastases to the adrenal gland. Eur J Surg Oncol. 2019;45(4):631-634. doi: https://doi.org/10.1016/j.ejso.2019.01.006

11. Mete O, Erickson LA, Juhlin CC, et al. Overview of the 2022 WHO Classification of Adrenal Cortical Tumors. Endocr Pathol. 2022;33(1):155-196. doi: https://doi.org/10.1007/s12022-022-09710-8

12. Tkachuk AV, Tertychnyi AS, Beltsevich DG, et al. Adrenocortical cancer: morphological variants, immunohistochemical characteristics. Arkhiv Patologii. 2021;83(2):10-18. (In Russ.). doi: https://doi.org/10.17116/patol20218302110

13. Duregon E, Volante M, Giorcelli J, et al. Diagnostic and prognostic role of steroidogenic factor 1 in adrenocortical carcinoma: a validation study focusing on clinical and pathologic correlates. Hum Pathol. 2013;44(5):822-828. doi: https://doi.org/10.1016/j.humpath.2012.07.025

14. Weissferdt A, Phan A, Suster S, Moran CA. Adrenocortical Carcinoma. Appl Immunohistochem Mol Morphol. 2014;22(1):24-30. doi: https://doi.org/10.1097/PAI.0b013e31828a96cf

15. Piotrowicz S, Muśko N, Kozikowski M, et al. Contralateral adrenal metastasis from renal cell carcinoma with tumor thrombus in the adrenal vein: a case report. J Ultrason. 2015;15(63):438-442. doi: https://doi.org/10.15557/JoU.2015.0041

16. Ordonez NG. Broad-spectrum immunohistochemical epithelial markers: a review. Hum Pathol. 2013;44(7):1195-1215. doi: https://doi.org/10.1016/j.humpath.2012.11.016

17. Fischer S, Asa SL. Application of immunohistochemistry to thyroid neoplasms. Arch Pathol Lab Med. 2008;132(3):359-372. doi: https://doi.org/10.5858/2008-132-359-AOITTN

18. Shumarova S, Petrov D, Grozdev K, et al. Adrenalectomy for isolated metastases. J of IMAB. 2017; 23(3):1651-1656. doi: https://doi.org/10.5272/jimab.2017233.1651

19. Li H, Jing X, Yu J, et al. A combination of cytokeratin 5/6, p63, p40 and MUC5AC are useful for distinguishing squamous cell carcinoma from adenocarcinoma of the cervix. Diagnostic pathology. 2020;15(1):104. doi: https://doi.org/10.1186/s13000-020-01018-7

20. Mori K, Ando T, Nomura T, et al. Lymphoepitheliomalike carcinoma of the bladder: a case report and review of the literature. Case Rep Urol. 2013;2013:356576. doi: https://doi.org/10.1155/2013/356576

21. Williamson SR, Zhang S, Lopez-Beltran A, et al. Lymphoepithelioma-like carcinoma of the urinary bladder: clinicopathologic, immunohistochemical, and molecular features. Am J Surg Pathol. 2011;35(4):474-483. doi: https://doi.org/10.1097/PAS.0b013e31820f709e

22. Zolotareva EV, Andreeva YuYu, Frank GA. Lymphoepitheliomalike tumors: A review of literature and a clinical case of bladder carcinoma. Arkhiv Patologii. 2015;77(4):55-62. (In Russ.). doi: https://doi.org/10.17116/patol201577455-62

23. Finn RS, Brims FJH, Gandhi A, et al. Postmortem findings of malignant pleural mesothelioma: a two-center study of 318 patients. Chest. 2012;142(5):1267-1273. doi: https://doi.org/10.1378/chest.11-3204

24. Riera JR, Astengo-Osuna C, Longmate JA, Battifora H. The immunohistochemical diagnostic panel for epithelial mesothelioma: a reevaluation after heat-induced epitope retrieval. Am J Surg Pathol. 1997;21(12):1409-1419. doi: https://doi.org/10.1097/00000478-199712000-00003


Supplementary files

1. Figure 1.
Subject
Type Исследовательские инструменты
View (831KB)    
Indexing metadata ▾
2. Figure 2.
Subject
Type Исследовательские инструменты
View (1MB)    
Indexing metadata ▾
3. Figure 3.
Subject
Type Исследовательские инструменты
View (621KB)    
Indexing metadata ▾
4. Figure 4.
Subject
Type Исследовательские инструменты
View (1MB)    
Indexing metadata ▾
5. Figure 5.
Subject
Type Исследовательские инструменты
View (1MB)    
Indexing metadata ▾

Review

For citations:


Pachuashvili N.V., Roslyakova A.A., Porubayeva E.E., Beltsevich D.G., Gadzyra A.N., Drogalov N.A., Lazareva A.A., Urusova L.S. Metastatic lesions of the adrenal glands. The experience of Endocrinology Research Center. Problems of Endocrinology. 2023;69(4):11-20. (In Russ.) https://doi.org/10.14341/probl13195

Views: 4933


ISSN 0375-9660 (Print)
ISSN 2308-1430 (Online)