Перейти к:
Тиреотропинома: поздний диагноз и эффективность терапии
https://doi.org/10.14341/probl201763139-45
Аннотация
Современные лечебно-диагностические алгоритмы позволяют своевременно выявить нарушения функции щитовидной железы, назначить адекватное лечение. Между тем в процессе интерпретации тиреоидного статуса необходимо учитывать крайне редкую, но реально существующую возможность развития тиреотоксикоза центрального генеза, диагностика которого, как показывает общемировая практика, затруднена.
Представлен клинический случай ТТГ-продуцирующей аденомы гипофиза у женщины 47 лет, длительное время получающей тиреостатики по поводу тиреотоксикоза. Пациентке был установлен диагноз болезнь Грейвса, однако истинной причиной тиреотоксикоза являлась тиреотропинома. Основные лабораторные проявления тиреотоксикоза центрального генеза заключались в сочетании эпизодов нормального или повышенного уровня ТТГ с высокой или нормальной концентрацией свободного Т4. При МРТ выявлена макроаденома гипофиза. Наличие клинических проявлений тиреотоксикоза позволило исключить синдром резистентности к тиреоидным гормонам. Пробное лечение октреотидом купировало клинические и лабораторные проявления тиреотоксикоза, что обусловило выбор консервативного метода в качестве первой линии терапии. Обсуждаются особенности клинико-лабораторных проявлений, а также принципы дифференциальной диагностики и современных методов лечения ТТГ-продуцирующих аденом гипофиза.
Ключевые слова
Для цитирования:
Петрик Г.Г., Космачева Е.Д., Полякова Ю.И., Бутаева С.В., Рожинская Л.Я., Белая Ж.Е. Тиреотропинома: поздний диагноз и эффективность терапии. Проблемы Эндокринологии. 2017;63(1):39-45. https://doi.org/10.14341/probl201763139-45
For citation:
Petrik G.G., Kosmacheva E.D., Polyakova U.I., Butaeva S.V., Rozhinskaya L.Ya., Belaya Zh.E. TSH-secreting pituitary adenoma: late diagnosis and effectiveness of therapy. Problems of Endocrinology. 2017;63(1):39-45. https://doi.org/10.14341/probl201763139-45
Синдром тиреотоксикоза широко распространен в практике эндокринолога [1]. Современные лечебно-диагностические алгоритмы позволяют своевременно выявить нарушения функциональной активности щитовидной железы (ЩЖ), назначить адекватное лечение. При интерпретации показателей тиреоидного статуса необходимо учитывать крайне редкую, но реально существующую возможность развития тиреотоксикоза центрального генеза, диагностика которого, как показывает общемировая практика, затруднена. Многим пациентам ошибочно устанавливается диагноз болезнь Грейвса с последующими неуместными в данной ситуации назначениями тиреостатиков, выполнением тиреоидэктомии и/или радиоаблации.
Цель публикации — привлечение внимания практикующих эндокринологов к особенностям клинико-лабораторных проявлений тиреотоксикоза центрального генеза, обусловленного ТТГ-проду цирующей аденомы гипофиза (тиреотропиномой), и обсуждение современных возможностей лечения данного контингента больных.
Описание случая
Пациентка А., 46 лет, поступила в эндокриноло гическое отделение ГБУЗ НИИ-ККБ №1 им. С.В. Очаповского с жалобами на учащенное сердцебиение, эпизоды дрожания тела, дискомфорт в области шеи.
Из анамнеза: в течение 10 лет отмечает эпизоды сердцебиений. В 2013 г. при исследовании тиреоидного статуса патологических изменений не обнаружено (табл. 1), УЗИ щитовидной железы — без структурных изменений, объем 9,7 см3.
Таблица 1. Параметры тиреоидного статуса
|
Дата, год |
ТТГ, мМЕ/мл (референсные значения 0,35—4,9) |
Св. TA пмоль/л (референтные значения 12,0—22,0) |
Св.Т3, пмоль/л (референсные значения 3,07—6,9) |
Доза тирозола, мг |
|
2013 г. |
3,2 |
20,7 |
3,2 |
— |
|
03.15 |
4,9 |
36,02 |
||
|
04.15 |
5,14 |
20,7 |
9,0 |
|
|
05.15 |
21,7 |
17,0 |
5,74 |
20 |
|
06.15 |
35,3 |
17,6 |
8,07 |
30 |
|
08.15 |
5,4 |
21,4 |
11,0 |
|
|
10.15 |
11,4 |
21,7 |
9,0 |
5 |
|
11.15 |
12,0 |
29,7 |
10,7 |
10 |
В марте 2015 г. при повторном обследовании по поводу тахикардии впервые выявлены высоконормальные уровни ТТГ и повышение концентрации свободного тироксина (св.Т4), АТ-ТПО в пределах референсных значений. При перепроверке показателей в апреле 2015 г. — повышенный уровень ТТГ, свободного трийодтиронина (св.Т3). Диагностирован диффузный токсический зоб, начато лечение тирозолом исходно в дозе 20 мг, а затем ввиду отсутствия эффекта — 30 мг в сутки. Прием и последующее увеличение доз тирозола сопровождался повышением уровня ТТГ с одновременным превышением референсных значений свТ3 при нормальных концентрациях св.Т4. Рекомендовано продолжение приема тирозола (30 мг в сутки), который она самостоятельно прекратила 3 нед спустя в связи с появлением крапивницы. На фоне отмены тиреостатика (август 2015 г.) отмечено снижение ТТГ, повышение св.Т3, при референсных значениях св.Т4. Возобновление приема 5 мг и 10 мг тирозола сопровождалось изменением всех показателей тиреоидного статуса (октябрь, ноябрь 2015 г.). В связи с неэффективностью лечения и для определения дальнейшей тактики ведения пациентка с диагнозом — диффузный токсический зоб 2-й стадии, средней тяжести, медикаментозно некомпенсированный — направлена в эндокринологическое отделение ГБУЗ НИИ-ККБ №1 им. проф. С.В. Очаповского.
Из анамнеза жизни: в 2011 г. зафиксировано отслоение сетчатки (этиология не уточнена), проводились курсы лазеротерапии. В декабре 2014 г. оперирована по поводу миомы матки. Наличие патологии гипофиза и ЩЖ у родственников отрицает.
Данные осмотра. Общее состояние удовлетворительное. Пациентка правильного телосложения, нормального питания, рост 160 см, масса тела 62 кг. Отмечается умеренная влажность кожных покровов, легкий тремор пальцев рук. ЩЖ — 0 ст. по ВОЗ, плотно-эластичная, неоднородная, узловые образования не пальпируются. Глазные симптомы тиреотоксикоза отсутствуют. На фоне приема 2,5 мг бисопролола частота сердечных сокращений 80 в мин., артериальное давление 120/80 мм рт.ст. Результаты повторного гормонального исследования приведены в табл. 2.
Таблица 2. Результаты гормонального исследования от 26.11.15
|
Показатель |
Референсные значения |
|
|
ТТГ, мкМе/мл |
12,2 |
0,35—4,5 |
|
Общий Т3, нмоль/л |
3,31 |
0,92—2,79 |
|
Свободный Т3, пмоль/л |
10,7 |
3,50—6,50 |
|
Общий Т4, нмоль/л |
192 |
58—161 |
|
Свободный Т4, пмоль/л |
29,7 |
11,5—22,7 |
|
АтТПО, Ед/мл |
Abs |
до 60 |
|
АТрТТГ, МЕ/мл |
0,1 |
0,0—1,75 |
|
Лютеинизирующий гормон, мМЕ/мл |
7,14 |
1,9—12,5 |
|
Фоликулостимулирующий, мМЕ/л |
4,66 |
2,5—10,2 |
|
Пролактин, мМЕ/л |
275,56 |
59—619 |
|
ИРФ-1, нг/мл |
193,0 |
94—252 |
|
АКТГ, пг/мл |
15,8 |
0,0—46,0 |
Примечание. Используемые сокращения: ТТГ-тиреотропный гормон гипофиза, Общий Т3 — общий трийодтиронин, Свободный Т3 — свободный трийодтиронин, Общий Т4 — общий тироксин, Свободный Т4 — свободный тироксин, АтТПО — антитела к тиреоидной пероксидазе, АТрТТГ — антитела к рецепторам ТТГ, ИРФ1 — инсулиноподобный ростовой фактор 1, АКТГ — адренокортикотропный гормон.
Результаты лабораторного и инструментального исследования. Концентрация щелочной фосфатазы в пределах нормы, уровень общего холестерина несколько повышен — 5,8 ммоль/л (норма 2,3—5,17 ммоль/л). Выявлено незначительное повышение уровня глобулина, связывающего половые гормоны, 154,3 нмоль/л (норма 34,3—147,7 нмоль/л).
По данным УЗИ ЩЖ (01.12.15), признаки изоэхогенных узлов обеих долей до 8 мм в диаметре с перинодальным кровотоком, диффузные изменения ЩЖ, кровоток обычный 15 см/с, V=8,5 см3.
По данным cцинтиграфии ЩЖ (02.12.15), изображение обеих долей не увеличено, форма обычная. Контуры ровные, нечеткие. Распределение РФП диффузно-неравномерное: по всем полям обеих долей умеренно выраженные диффузные зоны повышенного накопления РФП («горячие» зоны). Заключение: умеренно выраженные диффузные изменения в обеих долях ЩЖ.
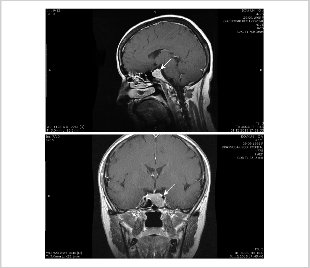
По данным МРТ гипофиза (01.12.15), объемное образование интра-, инфраселлярной локализации 17,7×27,1×19,5 мм, нижнелевые контуры массы расположены под левой внутренней сонной артерией. Воронка смещена вправо (см. рисунок).
Магнитно-резонансная томограмма головного мозга: макроаденома гипофиза.
Пациентка осмотрена офтальмологом (03.12.15), установлен диагноз: периферическая дегенерация сетчатки, миопия слабой степени, состояние после лазерной коагуляции сетчатки обоих глаз; осмотрена нейрохирургом (03.12.15) диагноз: объемное образование интра-, инфраселлярной локализации.
На основании клинической картины заболевания, результатов гормонального исследования — повышенный уровень ТТГ, св.Т3, св.Т4 в отсутствие антител к рецептору ТТГ, своеобразные изменения тиреоидного статуса на фоне приема тиреостатиков [снижение св.Т3 до 5,74 пмоль/л с повышением ТТГ до 35,3 мкМЕ/мл и последующая при отмене тирозола нормализация уровня ТТГ (5,4мМЕ/мл) и наличие лабораторных признаков гипертиреоза (св.Т4 —21,47 пмоль/л, св.Т3 — 11,0 пмоль/л)], а также наличие макроаденомы гипофиза на МРТ — высказано предположение о тиреотоксикозе центрального генеза — ТТГ-секретирующей аденоме гипофиза. С целью уточнения диагноза и определения тактики лечения больная направлена в ФБУ «Эндокринологический научный центр» МЗ РФ (ЭНЦ).
19.01.16 в ЭНЦ установлен диагноз: макроаденома гипофиза с гиперпродукцией ТТГ. Тиреотоксикоз центрального генеза. Запланировано нейрохирургическое лечение. Для предварительной компенсации тиреотоксикоза рекомендован прием аналога соматостатина длительного действия в дозе 20 мг внутримышечно 1 раз в 28 дней.
На фоне терапии аналогами соматостатина пролонгированного действия был достигнут эутиреоз (март 2016 г.): ТТГ — 2,162 мМЕ/л, св.Т4 —15,35 пмоль/л, св.Т3 — 4,4 пмоль/л. Данных о смешанном характере секреции аденомы не получено (пролактин — 42 мЕд/л, ИРФ 1—122 нг/мл). При МРТ (01.12.15) подтверждена макроаденома гипофиза размером 20×27×18 мм с пара- и инфраселлярным распространением. Учитывая отказ пациентки от нейрохирургического лечения, а также высокую чувствительность к терапии аналогами соматостатина, рекомендовано продолжить консервативное лечение аналогами соматостатина пролонгированного действия с повторным рассмотрением показаний к хирургическому лечению через 6 мес. Из осложнений тиреотоксикоза выявлена начальная остеопения в лучевой кости (до –1,1 SD по Z-критерию) и гиповитаминоз D, в связи с чем назначены препараты витамина D. Выписана в удовлетворительном состоянии.
21.06.16 телефонный контакт: на фоне терапии аналогами соматостатина пролонгированного действия состояние удовлетворительное, жалоб нет, приступы сердцебиения не беспокоят. Результаты оценки гормонального статуса от 21.06.16 представлены в табл. 3.
Таблица 3. Результаты гормонального обследования через 6 мес лечения аналогами соматостатина пролонгированного действия
|
Показатель |
Референсные значения |
|
|
ТТГ, мкМе/мл |
1,75 |
0,35—4,94 |
|
Свободный Т3, пмоль/л |
4,68 |
2,6—5,7 |
|
Свободный Т4, пмоль/л |
14,86 |
9,01—19,1 |
|
Лютеинизирующий гормон, мМЕ/мл |
3,04 |
1,68—15,0 |
|
Фоликулостимулирующий, мМЕ/л |
4,52 |
1,37—8,08 |
|
Пролактин, мМЕ/л |
330 |
126—628 |
Обсуждение
Представленная клиническая ситуация отражает сложности диагностики ТТГ-продуцирующих аденом гипофиза. Несмотря на хорошую осведомленность эндокринологов о возможности развития тиреотоксикоза центрального генеза, низкая распространенность тиреотропином подчас не позволяет преодолеть стереотипность мышления врача. Нетипичные исходные показатели тиреоидного статуса — повышение уровня тиреоидных гормонов на фоне нормальных или слегка повышенных значений ТТГ, а при назначении тиреостатиков выраженное повышение уровня ТТГ на фоне снижения концентраций тиреоидных гормонов — позволяют провести обследование, направленное на выявление ТТГ-секретирующей аденомы гипофиза.
Распространенность тиреотропином невелика и в структуре аденом гипофиза составляет 0,5—3%. За последнее время в отечественной литературе описан один случай тиреотропиномы у ребенка, другой — у молодой женщины [2, 3]; всего в мире с 1960 г. описано около 350 случаев заболевания [4]. Клиническая манифистация ТТГ-продуцирующих аденом гипофиза происходит в различные возрастные периоды, однако пик приходится на пятое десятилетие. Женщины и мужчины подвержены данной патологии в равной степени [5].
В подавляющем большинстве случаев ТТГ-секретирующие аденомы являются макроаденомами и характеризуются моносекрецией ТТГ. Предшествующие хирургические или радиоционные аблации ЩЖ негативно влияют на размер и инвазивность опухоли (макроаденомы обнаружены у 49% больных после вмешательств на ЩЖ и у 27% пациентов без таких вмешательств) [4]. Морфологически аденомы имеют волокнистую структуру, иногда столь плотную, что их называют «гипофизарным камнем» [6]. Как правило, тиреотропиномы доброкачественны, однако в литературе [7] имеются сведения и о ТТГ-секретирующих карциномах. К клиническим особенностям тиреотропиномы относят мягкость течения, или «молчание», которое связывают с низкой биологической активностью секретируемых аденомой молекул ТТГ. Описаны случаи эутиреоидного состояния у пациентов со случайно выявленными тиреотропиномами [8]. Однако тяжелый тиреотоксикоз с фибрилляцией предсердий, сердечной недостаточностью, приходящими параличами отмечен в каждом четвертом случае [4, 9, 10]. Вследствие масс-эффекта возможны нарушения полей зрения (40%), головная боль (20%), парциальное или полное выпадение тропных функций гипофиза. Частичный гипогонадизм отмечен примерно у 1/3 пациентов, проявляясь у женщин нарушениями менструального цикла, а у мужчин — явлениями центрального гипогонадизма, задержкой полового развития, снижением либидо [4].
Особое внимание у пациентов с тиреотропиномами уделяется состоянию ЩЖ. В условиях гиперстимуляции формирование диффузного зоба происходит даже после частичной тиреоидэктомии. Кроме того, ЩЖ у пациентов с тиреотропиномой склонна к узловым трансформациям, однако функциональная автономия развивается нечасто [11]. Наблюдение за имеющимися узлами подлежит общепринятой тактике, поскольку в ряде случаев в таких узлах ЩЖ обнаруживают карциномы [12]. Что касается иной патологии, то, согласно литиературным данным титры антител к ТПО и рецептору ТТГ не отличаются от общепопуляционных, однако имеются сообщения о развитии болезни Грейвса после аденомэктомии и двусторонней офтальмопатии на фоне появления аутоиммунного тиреоидита, а также одностороннего экзофтальма вследствие инвазий гипофизарной опухоли [13, 14].
У 1/3 пациентов тиреотропиномы имеют смешанный характер, обусловленный общностью факторов транскрипции Prop-1 и Pit-1 для сомато-, лакто- и тиреотрофов [15]. Наиболее часто секреция ТТГ сочетается с продукцией гормона роста (16%) и пролактина (10%) и крайне редко — с продукцией гонадотропных гормонов (1,4%). В таких случаях доминируют проявления акромегалии, гиперпролактинемии, гипогонадизма. Также описаны тиреотропиномы в рамках синдрома множественных эндокринных неоплазий 1-го типа, синдрома МакКьюна—Олбрайта и у одного пациента с мутациями гена AIP [4].
Дифференциальный диагноз ТТГ-продуцирую щих аденом в первую очередь проводят с болезнью Грейвса и многоузловым токсическим зобом. Диагностическими критериями тиреотропиномы являются повышение уровня тиреоидных гормонов на фоне повышенной либо нормальной концентрации ТТГ, а также наличие аденомы гипофиза при КТ/МРТ-исследовании. Тиреотропиномы, как правило, резистентны к повышению уровня тиреидных гормонов, но очень чувствительны к снижению их количества, что объясняет высокую секрецию ТТГ и более агрессивный рост опухоли после назначения тиреостатиков, тиреоидэктомии, радиойодтерапии. Диагностика ТТГ-стимулирующей аденомы у пациентов, получающих заместительную терапию после предшествующей тиреоидэктомии или радиойодтерапии, сложна. По данным P. Beck-Peccoz и др. [5], уровень ТТГ у пациентов, перенесших аблацию ЩЖ, во много раз выше, чем у нелеченных, хотя концентрации тиреоидных гормонов находятся в гипертиреоидном диапазоне. В таких случаях диагноз можно предположить, если на фоне полной заместительной дозы левотироксина сохраняется повышенный уровень ТТГ. В сложных диагностических ситуациях проводят функциональные пробы — либо стимуляционные с тиреорелизинг-гормоном, антагонистами допамина, либо подавляющую с трийодтиронином (проба Вернера). У пациентов с тиреотропиномой во всех случаях отсутствует адекватная реакция ТТГ.
После подтверждения тиреотоксикоза центрального генеза необходимо провести дифференциальный диагноз между тиреотропиномой и синдромом резистентности к тиреоидным гормонам (СРТГ), для которого также характерно повышение концентрации свободных Т3 и Т4 в сочетании с повышенной или нормальной концентрацией ТТГ.
CРТГ относится к группе крайне редких заболеваний, обусловленных снижением чувствительности периферических тканей к тиреоидным гормонам вследствие мутаций в гене, кодирующем рецепторы ЩЖ. У 80% больных заболевание имеет наследственный аутосомно-доминантный характер, что обусловливает возможность появления семейных форм. Клинические проявления СТРГ зависят от локализации и степени функциональной активности мутации. Характерные признаки: зоб, задержка физического и полового развития, гиперактивность и тахикардия в покое. Напротив, неврологическая симптоматика (нарушения зрения, головная боль) или клинические признаки гиперсекреции гормонов гипофиза (акромегалия, галакторея/аменорея), а также визуализация аденомы гипофиза при МРТ/КТ, свидетельствуют в пользу тиреотропиномы. Дифференциальный диагноз может быть затруднен в случае малых размеров аденомы, наличия синдрома «пустого турецкого седла» и инциденталом.
При дифференциальной диагностике СРТГ с тиреотропиномой могут быть полезны лабораторные методы. Клинические проявления тиреотоксикоза при ТТГ-продуцирующих аденомах сопряжены с повышением уровня секс-гормон-связываю щего глобулина (СССГ), С-концевого телопептида коллагена 1-го типа и снижением концентрации холестерина [16, 17]. Однако методом, верифицирующим СРТГ, является молекулярно-генетическое исследование, подтверждающее наличие мутаций в генах кодирующих рецепторы тиреоидных гормонов [18].
При подтвержденном диагнозе ТТГ-секрети рующей опухоли гипофиза предпочтительным методом лечения является удаление тиреотропиномы, позволяющее добиться гормональной ремиссии в 75—84% случаев [4, 19, 20]. Однако радикальное удаление макротиреотропином достаточно часто сопряжено с техническими трудностями, связанными с фиброзом, инвазией опухоли в кавернозные синусы, внутреннюю сонную артерию или хиазму. При противопоказаниях к оперативному лечению или отказе пациента возможно проведение лучевой терапии и/или (учитывая экспрессию соматостатиновых рецепторов в большинстве ТТГ-секре тирующих аденом) назначение аналогов соматостатина.
Заключение
Разграничение синдрома тиреотоксикоза центрального, тиреоидного (первичного) и периферического (СРТГ) генеза — принципиально важно. Представленный случай служит типичным примером ошибочного диагноза первичного тиреотоксикоза с последующим безуспешным лечением тиреостатиками и закономерным приростом ТТГ без ликвидации симптомов тиреотоксикоза. Дифференциация с СРТГ проведена на основании наличия симптомов тиреотоксикоза, макроаденомы гипофиза, повышенного уровня СССГ и отсутствия родственников с аналогичными лабораторными сдвигами. Лечение длительно-действующим аналогом соматостатина позволило достичь клинической и лабораторной ремиссии тиреотоксикоза, что подтверждает диагноз тиреотропиномы. Таким образом, правильный диагноз и патогенетическое лечение позволили компенсировать состояние пациентки и добиться существенного клинического улучшения. Вопрос о динамике размеров опухоли на фоне консервативной терапии и необходимости последующего нейрохирургического лечения остается открытым. Ответить на этот вопрос позволит контрольное МРТ-исследование через год после начала терапии длительно-действующим аналогом соматостатина.
ДОПОЛНИТЕЛЬНАЯ ИНФОРМАЦИЯ
Согласие пациента. Пациентка добровольно подписала информированное согласие на публикацию персональной медицинской информации в обезличенной форме (именно в этом журнале).
Конфликт интересов. Авторы декларируют отсутствие явных и потенциальных конфликтов интересов, связанных с публикацией настоящей статьи.
Список литературы
1. Бузиашвили И., Фадеев В.В., Мельниченко Г.А. Лечение токсического зоба. // Врач. — 2005. — №3. – С. 32-35. [Buziashvili I, Fadeyev VV, Mel`nichenko GA. Lechenie toksicheskogo zoba. Vrach. 2005;(3):32-35. (In Russ.)].
2. Мазеркина Н.А., Трунин Ю.Ю., Горелышев С.К., и др. Тиреотропинома у ребенка: описание клинического случая и обзор литературы. // Вопросы нейрохирургии им. Н.Н. Бурденко. — 2012. – Т.76. — №5. – C.63-69. [Mazerkina NA, Trunin II, Gorelyshev SK, et al. Thyrotropin secreting pituitary adenoma in a child: case report and literature review. Zh Vopr Neirokhir im NN. Burdenko. 2012;76(5):63-69. (In Russ.)].
3. Пржиялковская Е.Г., Газизова Д.О., Григорьев А.Ю., и др. Тиреотропинома: трудности дифференциальной диагностики (клинический случай) // Клиническая и экспериментальная тиреоидология. - 2011. - Т.7. - №2 - C. 68-73. [Prgijalkovskaja EG, Gasisova DO, Grigoriev AYu, et al. Thyrotropin-producing adenoma: diagnostic challenges (сase report). Clinical and experimental thyroidology. 2011;7(2):68-73. (In Russ.)]. doi: 10.14341/ket20117268-73
4. Beck-Peccoz P, Lania A, Persani L. TSH-producing adenomas. In: Jameson JL, Degroot LJ, editors. Endocrinology. 7th ed. USA: W.B. Saunders Pub.; 2015;266-274.
5. Beck-Peccoz P, Lania A, Beckers A, et al. 2013 European thyroid association guidelines for the diagnosis and treatment of thyrotropin-secreting pituitary tumors. Eur Thyroid J. 2013;2(2):76-82. doi: 10.1159/000351007
6. Webster J, Peters JR, John R, et al. Pituitary stone: two cases of densely calcified thyrotrophin-secreting pituitary adenomas. Clin Endocrinol (Oxf). 1994;40(1):137-143.
7. Mixson AJ, Friedman TC, Katz DA, et al. Thyrotropin-secreting pituitary carcinoma. J Clin Endocrinol Metab. 1993;76(2):529-533. doi: 10.1210/jcem.76.2.8432799
8. Yamakita N, Ikeda T, Murai T, et al. Thyrotropin-producing pituitary adenoma discovered as a pituitary incidentaloma. Intern Med. 1995;34(11):1055-1060.
9. Hsu FS, Tsai WS, Chau T, et al. Thyrotropin-secreting pituitary adenoma presenting as hypokalemic periodic paralysis. Am J Med Sci. 2003;325(1):48-50.
10. George JT, Thow JC, Matthews B, et al. Atrial fibrillation associated with a thyroid stimulating hormone-secreting adenoma of the pituitary gland leading to a presentation of acute cardiac decompensation: a case report. J Med Case Rep. 2008;2:67. doi: 10.1186/1752-1947-2-67
11. Abs R, Stevenaert A, Beckers A. Autonomously functioning thyroid nodules in a patient with a thyrotropin-secreting pituitary adenoma: possible cause—effect relationship. Eur J Endocrinol. 1994;131(4):355-358.
12. Kishida M, Otsuka F, Kataoka H, et al. Hyperthyroidism in a patient with tsh-producing pituitary adenoma coexisting with thyroid papillary adenocarcinoma. Endocr J. 2000;47(6):731-738. doi: 10.1507/endocrj.47.731
13. Losa M, Mortini P, Minelli R, Giovanelli M. Coexistence of TSH-secreting pituitary adenoma and autoimmune hypothyroidism. J Endocrinol Invest. 2014;29(6):555-559. doi: 10.1007/bf03344147
14. Yovos JG, Falko JM, O’Dorisio TM, et al. Thyrotoxicosis and a thyrotropin-secreting pituitary tumor causing unilateral exophthalmos. J Clin Endocrinol Metab. 1981;53(2):338-343. doi: 10.1210/jcem-53-2-338
15. Bertholon-Gregoire M, Trouillas J, Guigard MP, et al. Mono- and plurihormonal thyrotropic pituitary adenomas: pathological, hormonal and clinical studies in 12 patients. Eur J Endocrinol. 1999;140(6):519-527.
16. Beck-Peccoz P, Roncoroni R, Mariotti S, et al. Sex hormone-binding globulin measurement in patients with inappropriate secretion of thyrotropin (IST): evidence against selective pituitary thyroid hormone resistance in nonneoplastic IST. J Clin Endocrinol Metab. 1990;71(1):19-25. doi: 10.1210/jcem-71-1-19
17. Persani L, Preziati D, Matthews CH, et al. Serum levels of carboxyterminal cross-linked telopeptide of type I collagen (ICTP) in the differential diagnosis of the syndromes of inappropriate secretion of TSH. Clin Endocrinol (Oxf). 1997;47(2):207-214.
18. Калдымова В.А., Кияев А.В., Тюльпаков А.Н. Синдром резистентности к тиреоидным гормонам. // Клиническая и экспериментальная тиреоидология. — 2013. — Т.9. — №1. — C. 51-53. [Kaldymova VA, Kiyaev AV, Tyulpakov AN. Syndromes of resistance to thyroid hormone. Clinical and experimental thyroidology. 2013;9(1):51-53. (In Russ.)]. doi: 10.14341/ket20139151-53
19. Malchiodi E, Profka E, Ferrante E, et al. Thyrotropin-secreting pituitary adenomas: outcome of pituitary surgery and irradiation. J Clin Endocrinol Metab. 2014;99(6):2069-2076. doi: 10.1210/jc.2013-4376
20. Yamada S, Fukuhara N, Horiguchi K, et al. Clinicopathological characteristics and therapeutic outcomes in thyrotropin-secreting pituitary adenomas: a single-center study of 90 cases. J Neurosurg. 2014;121(6):1462-1473. doi: 10.3171/2014.7.jns1471 doi: http://dx.doi.org/10.14341/probl201763139-45
Об авторах
Галина Георгиевна ПетрикФГБОУ ВО «Кубанский государственный медицинский университет»; ГБУЗ НИИ «Краевая клиническая больница №1 им. проф. С.В. Очаповского»
Россия
кандидат медицинских наук доцент кафедры терапии №1 ФПК и ППС ГБОУ ВПО КубГМУ Мз РФ и врач-эндокринолог ГБУЗ НИИ-ККБ №1 им. профессора С.В.Очаповского
Конфликт интересов:
отсутствует
Елена Дмитриевна Космачева
ФГБОУ ВО «Кубанский государственный медицинский университет»; ГБУЗ НИИ «Краевая клиническая больница №1 им. проф. С.В. Очаповского»
Россия
доктор медицинских наук, зав.кафедрой терапии №1 ФПК и ППС и зам.главного врача по медицинсклй части
Конфликт интересов:
отсутствует
Юлия Игоревна Полякова
ГБУЗ НИИ «Краевая клиническая больница №1 им. проф. С.В. Очаповского»
Россия
Врач эндокринологического отделения
Конфликт интересов:
отсутствует
Светлана Васильевна Бутаева
ГБУЗ НИИ «Краевая клиническая больница №1 им. проф. С.В. Очаповского»
Россия
зав.эндокринологически отделением
Конфликт интересов:
отсутствует
Людмила Яковлевна Рожинская
ФБГУ «Эндокринологический научный центр» Минздрава России
Россия
доктор медицинских наук, профессор, главный научный сотрудник отделения нейроэндокринологии и остеопатий врач-эндокринолог
Конфликт интересов:
отсутствует
Жанна Евгеньевна Белая
ФБГУ «Эндокринологический научный центр» Минздрава России
Россия
доктор медицинских наук заведующая отделением нейроэндокринологии и остеопатий, врач-эндокринолог
Конфликт интересов:
отсутствует
Дополнительные файлы
|
1. ТИРЕОТРОПИНОМА: поздний диагноз и эффективность терапии | |
| Тема | ||
| Тип | Прочее | |
Скачать
(151KB)
|
Метаданные ▾ | |
|
2. Thyrotropin (TSH)-secreting pituitary adenomas: late diagnosis and treatment efficacy | |
| Тема | ||
| Тип | Прочее | |
Скачать
(151KB)
|
Метаданные ▾ | |
|
|
3. Магнитно-резонансная томограмма головного мозга: макроаденома гипофиза. | |
| Тема | ||
| Тип | Research Instrument | |
Посмотреть
(284KB)
|
Метаданные ▾ | |
|
|
4. Table 1. Thyroid status parameters | |
| Тема | ||
| Тип | Research Instrument | |
Посмотреть
(30KB)
|
Метаданные ▾ | |
|
|
5. Table 2. Hormonal test results (11.26.15) | |
| Тема | ||
| Тип | Research Instrument | |
Посмотреть
(46KB)
|
Метаданные ▾ | |
|
|
6. Table 3. Hormonal test results after 6-month treatment with long-acting somatostatin analogues | |
| Тема | ||
| Тип | Research Instrument | |
Посмотреть
(27KB)
|
Метаданные ▾ | |
Рецензия
Для цитирования:
Петрик Г.Г., Космачева Е.Д., Полякова Ю.И., Бутаева С.В., Рожинская Л.Я., Белая Ж.Е. Тиреотропинома: поздний диагноз и эффективность терапии. Проблемы Эндокринологии. 2017;63(1):39-45. https://doi.org/10.14341/probl201763139-45
For citation:
Petrik G.G., Kosmacheva E.D., Polyakova U.I., Butaeva S.V., Rozhinskaya L.Ya., Belaya Zh.E. TSH-secreting pituitary adenoma: late diagnosis and effectiveness of therapy. Problems of Endocrinology. 2017;63(1):39-45. https://doi.org/10.14341/probl201763139-45
Контент доступен под лицензией Creative Commons Attribution-NonCommercial-NoDerivatives 4.0 International License (CC BY-NC-ND 4.0).




































.jpg)

