Preview

Проблемы Эндокринологии

Расширенный поиск

Оценка биосовместимости экспериментальной мембраны для сенсоров глюкозы: результаты проспективного экспериментального контролируемого доклинического исследования

https://doi.org/10.14341/probl2017634219-226

Содержание

Перейти к:

Аннотация

Увеличение точности показателей мониторирования концентрации глюкозы и увеличение времени беспрерывной работы сенсоров глюкозы являются перспективными направлением разработок в диабетологии. Одним из способов увеличения срока работы сенсора является его полная имплантация, исключающая прямую связь с поверхностью кожи. Для эффективной длительной работы в организме пациента поверхность имплантируемого сенсора должна обладать высокой биосовместимостью: не провоцировать развитие аллергических и воспалительных реакций, не индуцировать реакцию отграничения (образование плотной соединительнотканной капсулы). Ранее была подобрана проницаемая для глюкозы мембрана, а также разработано покрытие для обеспечения биосовместимости, включающее комплекс надрапорина с переэтерефицированным полиэтиленгликолем и γ-аминопропилтриэтоксисиланом, образующий на поверхности мембраны отталкивающий белковые молекулы гидрогель.


Цель исследования — оценка биосовместимости экспериментальной мембраны с покрытием при имплантации его лабораторным животным.


Материал и методы. Проведено экспериментальное проспективное контролируемое исследование на 60 крысах Wistar. Животных разделили на три группы по 20 особей. Каждой группе проведена имплантация мембраны: стандартной, экспериментальной и экспериментальной с исследуемым покрытием. После имплантации в течение 90 сут макроскопически оценивали состояние кожи в зоне имплантации. Через 90 сут проводили гистологичускую оценку состояния тканей вокруг имплантата.


Результаты. В течение 90 сут не отмечено серьезных реакций аллергии или воспаления в зоне имплантации образцов во всех трех группах животных. В случаях имплантации экспериментальной мембраны с покрытием кожные реакции были слабее (животные набрали значительно меньшую сумму баллов при визуальной оценке кожных реакций). При гистологическом анализе состояние тканей вокруг зоны имплантации исследуемых мембран с покрытием отличалось значительно меньшей плотностью формирующейся соединительнотканной капсулы и наличием зон васкуляризации в области контакта поверхности мембраны и окружающей ткани.


Заключение. У экспериментальных животных исследуемое покрытие позволяет в значительной степени блокировать образование соединительнотканной капсулы вокруг имплантата и уменьшить интенсивность протекающих после имплантации кожных реакций. Требуются дальнейшие клинические исследования образцов покрытых мембран для подтверждения их свойств в отношении биосовместимости.

Для цитирования:


Станишевский Я.М., Сачивкина Н.П., Тарасов Ю.В., Филиппов Ю.И., Соколов С.А., Шестакова М.В. Оценка биосовместимости экспериментальной мембраны для сенсоров глюкозы: результаты проспективного экспериментального контролируемого доклинического исследования. Проблемы Эндокринологии. 2017;63(4):219-226. https://doi.org/10.14341/probl2017634219-226

For citation:


Stanishevskiy Ya.M., Sachivkina N.P., Tarasov Yu.V., Philippov Yu.I., Sokolov S.A., Shestakova M.V. Evaluation of biocompatibility of an experimental membrane for glucose sensors: the results of a prospective experimental controlled preclinical study involving laboratory animals. Problems of Endocrinology. 2017;63(4):219-226. https://doi.org/10.14341/probl2017634219-226

Непрерывное мониторирование гликемии (НМГ) является одним из наиболее эффективных средств самоконтроля гликемии, значительно улучшающих результаты лечения пациентов с сахарным диабетом [1—5]. Современные устройства для НМГ функционируют на основе временно имплантируемых сенсоров глюкозы [6]; при этом одним из активно развивающихся направлений в технологии НМГ является создание миниатюрных биосенсоров глюкозы для имплантации на много месяцев и даже лет [7]. Для реализации поставленной задачи, помимо прочего, необходимо обеспечить значительно более высокую биосовместимость, чем у применяемых в настоящее время устройств, коммерчески доступные версии которых способны стабильно функционировать в теле человека лишь на протяжении не более 14 сут [8—10].

Разработки биосовместимых материалов ведутся крайне активно уже более 40 лет. При этом создание биосовместимых покрытий для имплантатов остается одним из наиболее активно развивающихся направлений. Наиболее высокие требования к биосовместимым покрытиям предъявляются в случаях имплантации биосенсоров. Такое покрытие не должно провоцировать реакцию организма на присутствие инородного тела, обеспечивая одновременно проникновение молекул биомаркеров непосредственно к сенсору. Кроме того, покрытие биосенсоров должно снижать или нивелировать эффекты инкапсуляции и быть устойчивыми к биообрастанию (сорбции белковых молекул на поверхности покрытия, приводящей со временем к закупорке пор и снижению проницаемости для биомаркеров).

Для применения в имплантируемых сенсорах глюкозы на базе ФГБУ «Эндокринологический научный центр» Минздрава России разработано высокогидрофильное покрытие — комплекс надрапорина (Nad) с переэтерефицированным полиэтиленгликолем (PEG) и γ-аминопропилтриэтоксисиланом (AGM-9), образующее на поверхности мембраны гидрогель, отталкивающий белковые молекулы, а также потенциально снижающий сорбцию фибрина и блокирующий развитие воспалительной реакции [11]. PEG — гидрофильный и нетоксичный полимер, состоящий из повторяющихся блоков (-CH2CH2-O-), обладающий простой структурой. Он широко применяется для модификации поверхностей мембран [12] и зарекомендовал себя как агент, блокирующий биозагрязнение. AGM-9 является аминофункциональным аппретом и применяется для создания прочных химических связей между неорганическими субстратами и органическими полимерами. В синтезированном покрытии AGM-9 выступает в роли полимеризующего агента и промотора адгезии формирующегося полимера к подложке (проницаемой для глюкозы мембране). Теоретически, высокая биосовместимость синтезированного покрытия может быть обусловлена (в том числе) слабыми эфирными связями PEG-AGM-9 и низким значением межфазной энергии на границе полимер—вода (<5 мДж×м2) [13].
В роли фармакологического модификатора полимерной композиции в синтезированном покрытии использован Nad — деполимеризованный гепарин (антикоагулянт прямого действия) с молекулярной массой от 4000 до 5000 Да.

Ранее проведенные in vitro тесты на гемосовместимость синтезированных мембран и покрытий показали хорошие результаты в отношение их гемолитического потенциала и влияния на скорость свертывания крови, а также блокирование сорбции форменных элементов и белковых молекул на поверхности мембраны [11].

Цель исследования — оценить биосовместимость синтезированных мембран и покрытий в эксперименте in vivo.

Материал и методы

Дизайн исследования

Проведено проспективное доклиническое экспериментальное контролируемое исследование.

Критерии соответствия

Для исследования использовали половозрелых крыс Wistar обоего пола и исходной массой 300—400 г. Возраст всех животных к моменту начала исследования составлял 12 нед.

Условия проведения

Исследование выполнялось слепым методом — исследователям предоставлялись минимально необходимые сведения об исследуемых материалах (условия хранения и инструкции по применения материалов, без раскрытия их состава и биохимических свойств).

Все материалы для имплантации были предварительно простерилизованы и размещены в иньекторы.

Исследование проводилось на базе вивария Медицинского факультета ФГАУ ВО «Российский университет дружбы народов».

Экспериментальные животные. Животных содержали группами по 5—6 крыс в клетке при свободном доступе к воде и корму и световом режиме 12/12 в хорошо вентилируемых помещениях (кратность 10—12 об/ч стерильным ламинарным потоком) с температурой воздуха 22—25 оС и влажностью 30—70%. В первые сутки эксперимента доступ крыс к корму был ограничен.

Имплантаты. Материалом для проведения исследования служили экспериментальные образцы:

— образцы А — стерильные образцы полимерных покрытий на основе комплекса Nad, PEG и AGM-9 (комплекс 1, К1), нанесенные на капсулу из ацетата целлюлозы (размером 2×6 мм);

— образцы В (отрицательный контроль) — стерильные капсулы из ацетата целлюлозы (размером 2×6 мм);

— образцы С (положительный контроль) — стерильные образцы из стандартного полиэтилентетрафталата размером 2×6 мм (ОАО «Казаньоргсинтез», Россия, в соответствии со стандартом ISO 5834-2:1985).

Формирование капсул для имплантации. Образцы мембран имплантировали в виде капсул, которые формировали путем запаивания отрезков длинной трубки диализного фильтра из ацетата целлюлозы диаметром 6 мм (с размером пор 0,25 мкм, пористостью 50% и толщиной 25 мкм) с двух концов полиэтилентетрафталата. При запайке формировалась минимальная шероховатость концов.

Формирование покрытия капсулы. Переэтерефицированные AGM-9 с PEG с предварительно введенным в состав Nad (~1,5 ЕД/см2) напыляли на капсулы (~0,5 мл) из ацетата целлюлозы в два этапа. Фиксацию покрытия на капсулах проводили с использованием UV отверждения (~1,8 Дж/см2 в течение 2 мин в атмосфере азота).

Стерилизация образцов. Образцы стерилизовали двойным автоклавированием при температуре 220 oC, давлении 1,5 Бар в течение 10 мин непосредственно перед имплантацией.

Продолжительность исследования

Период наблюдения за животными составил 90 дней. Исследование проведено в период с июля по октябрь 2016 г.

Описание медицинского вмешательства

У всех животных перед исследованием были взяты пробы крови с целью получения данных для контроля и сравнения.

Подготовка животных. Животных усыпляли посредством ингаляционного наркоза диэтиловым эфиром. Перед имплантацией производилось выбривание шерсти на подопытных участках кожи. Полностью обмытую теплой водой лишенную волос область высушивали сухой стерильной марлей, размещая животных в чистых пластиковых контейнерах. Не менее чем через 2 ч после удаления шерсти оценивали состояние исследуемых участков.

Имплантация. Исследуемый участок кожи предварительно обрабатывали 70% этиловым спиртом. Стерильные материалы имплантировали животным в кожную складку области межлопаточного пространства с помощью специального инъектора для имплантации подкожных электронных меток животных (производства «Global-Vet», Испания) (рис. 1). Такой способ имплантации наименее агрессивен.

Рис. 1. Инъектор для подкожных имплантаций.

Кровоподтеки удаляли стерильным ватным тампоном, пропитанным 70% этиловым спиртом.

Отбор биоматериалов у животных. Отбор крови проводили из хвостовой вены в количестве 150 мкл в предварительно гепаринизированный микрошприц. Анализ проводили при помощи биохимического автоматического анализатора SPOTCHEM EZ SP-4430 («Arkray», Япония) с учетом возможности развития острого, подострого и хронического типов воспалительных процессов.

Биохимический анализ крови проводили с целью контроля развития фаз воспаления как реакции на имплантацию.

Извлечение имплантата. Через 90 дней после имплантации животных умерщвляли с помощью электрического тока, имплантат вырезали вместе с образовавшейся капсулой и около 5 мм окружающих неизменных мягких тканей.

Основной исход исследования

Заключение о биосовместимости экспериментальной мембраны делали, исходя из оценки времени проявления воспалительной реакции после имплантации, а также периода повторного развития воспалительных реакций.

Дополнительные исходы исследования

Дополнительным объектом оценки была структура и свойства соединительнотканной капсулы, образовавшейся вокруг имплантата спустя 90 сут после введения в кожу экспериментального покрытия.

Анализ в подгруппах

Животные для исследования были разделены на три группы:

  • группа А — 20 животных, которым имплантировали образцы А;
  • группа В — 20 животных, которым имплантировали образцы В;
  • группа С — 20 животных, которым имплантировали образцы С.

Методы регистрации исходов

Первичная микроскопическая оценка. Для получения контрольных данных осушенные под вакуумом исходные образцы покрытых мембран исследовали методом электронной микроскопии. Образцы напылялись вольфрамом толщиной 20—25 нм на установке для ионного напыления Cressington 208HR. Микрофотографии выполнены на сканирующем электронном микроскопе Nova NanoSEM (FEI, США).

Видимые кожные реакции. Для выявления видимых кожных реакций животных осматривали через 6 ч после имплантации, затем ежедневно течение 90 дней. При осмотре оценивали степень тканевой реакции, включая эритему и отек, в соответствии с классификацией, представленной в табл. 1, для места инъекции и каждого интервала времени наблюдения.

Таблица 1. Схема оценки внутрикожных реакций

Реакция

Оценка

Эритема и образование струпа:

отсутствие эритемы

0

очень слабая эритема (едва заметная)

1

хорошо различимая эритема

2

умеренная эритема

3

резко выраженная эритема (темно-красная) с образованием струпа

4

Образование отека:

отсутствие отека

0

очень слабый отек (едва заметный)

1

хорошо различимый отек

2

умеренный отек (выступающий над поверхностью кожи на 1 мм)

3

резко выраженный отек (распространенный, выступающий над поверхностью кожи более чем на 1 мм)

4

Максимальное число баллов

8

Для лучшей оценки двум животным из каждой группы внутривенно вводили витальный краситель трипановый синий через 45 и 90 дней после имплантации (для окрашивая мест возникающего раздражения). Через 90 дней складывали все баллы для каждого испытуемого образца и контрольного образца. Суммы делили на 3600 (20 животных × 90 периодов оценки × 2 оцениваемые категории), чтобы определить среднее значение для каждого испытуемого образца и соответствующего контрольного образца. Требования испытания считали выполненными, если разница между средним значением в опытной группе и соответствующим контролем была ≤1,0.

Гистологический анализ. Извлеченные образцы использовали для гистологического исследования, фиксирование осуществлялось в 10% формалине. Образцы обрабатывали в соответствии со стандартом ГОСТ Р ИСО 10993.6-99: после стандартной обработки спиртами образцы были залиты парафином для приготовления срезов толщиной 5—6 мкм и окрашены гематоксилином и эозином. Анализ гистологических препаратов проводили на световом микроскопе Nikon Eclipse.

Этическая экспертиза

Протокол исследования одобрен 24.06.15 локальным Комитетом по этике медицинского института РУДН (выписка из протокола №12 от 08.12.16).

Статистический анализ

Принципы расчета размера выборки: размер выборки предварительно не определяли.

Методы статистического анализа данных. Статистическая обработка результатов исследования проведена с использованием пакета прикладных программ для ПК STATISTICA v.8.0. Для всех количественных данных вычисляли групповое среднее арифметическое (М) и стандартную ошибку среднего (m).

Результаты

Кожные реакции

После имплантации образцов А в течение первых 6 ч отмечена слабовыраженная эритема в области имплантации. В 18 из 20 случаев не было зафиксировано развитие отека, через 24 ч эритема не наблюдалась. В 2 случаях из 20 наблюдался слабовыраженный отек с хорошо различимой эритемой на протяжении 24 ч, отсутствие эритемы зафиксировано через 36 ч, через 48 ч отек начал спадать, отсутствие отека зафиксировано на 3-и сутки. На 45-е сутки зафиксировано полное отсутствие эритемы и очень слабый отек во всех случаях с разницей в 2—2,5 ч, отек после появления сохранялся на протяжение 5 сут.

После имплантации образцов B в течение первых 6 ч наблюдалась слабовыраженная эритема, которая затем полностью исчезла в течение 4 ч (через 10 ч после имплантации). По прошествии 3 сут развился умеренный отек с хорошо различимой эритемой, сохранявшейся на протяжении еще 4 сут, на 8-е сутки эритема становилась слабой, отек перешел в состояние хорошо различимого на 11-е сутки. На 16-е сутки зафиксировано полное отсутствие эритемы и переход отека в состояние очень слабого. По прошествии 28 сут отек отсутствовал.

После имплантации образцов С в течение первых 6 ч наблюдалась хорошо различимая эритема, сохранявшаяся чуть меньше 2 сут со слабовыраженным отеком, на 4-е сутки эритема перешла в состояние слабой, отек не наблюдался. На 8-е сутки зафиксировано полное отсутствие эритемы и появление очень слабого отека. По прошествии 15 сут отек отсутствовал.

Разница между средним значением суммарных оценок кожных реакций в опытной группе А и средними значениями в группе В и С не превышала 1,0 (табл. 2).

Таблица 2. Показатели средних значений оценок кожных реакций на имплантацию образцов

Группа образцов

Сумма оценок кожных реакций

Среднее значение

Разница с группой А

А

606

0,541071

B

1480

1,321429

0,409459

С

820

0,732143

0,739024

Биохимический анализ

Первичный биохимический анализ крови животных до эксперимента показал отсутствие каких-либо отклонений или воспалительных процессов.

Для группы образцов А через 8 ч после имплантации не наблюдались показатели, указывающие на развитие воспалительной реакции; через 45 дней наблюдались показатели, характерные для острой фазы воспалительной реакции с постепенным затуханием реакции воспаления; через 59 дней показатели были характерны для подострой фазы воспалительной реакции; через 70 дней показатели полностью нормализовались.

Для группы образцов В в 3 случаях из 20 через 8 ч наблюдались показатели, характерные для острой фазы воспалительной реакции; в 17 случаях из 20 наблюдались параметры, характерные для слабовыраженного воспалительного процесса; на 10-й и 21-й день во всех 20 случаях показатели соответствовали подострой фазе воспалительной реакции с постепенным затуханием; через 31 день наблюдалась картина слабовыраженного хронического воспаления, через 41 день показатели имели минимальные отклонения, через 51 день они полностью нормализовались.

Для группы образцов С через 8 ч после имплантации наблюдались показатели, характерные для слабовыраженного воспалительного процесса; через 7 и 10 дней наблюдались показатели, характерные для подострой фазы воспалительной реакции с постепенным затуханием; через 21 день наблюдалась картина слабовыраженного хронического воспаления; через 31 день показатели полностью нормализовались.

Первичная микроскопическая оценка (рис. 2—4)

Первичная микроскопическая оценка демонстрирует, что на образцах сформировано стабильное покрытие без дефектов толщиной ~10 мкм.

Рис. 2. Структура поверхности покрытия образцов группы А (×1500).

Рис. 3. Структура поверхности покрытия образцов группы А (×5998).

Рис. 4. Срез образца группы А с нанесенным на него покрытием (×1000).

Гистологическая оценка

Проведенный через 90 дней после имплантации гистологический анализ показал отсутствие некроза и некротических изменений в окружающих все образцы тканях.

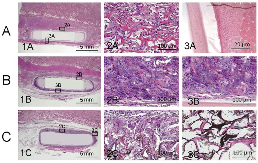
При исследовании образца В отмечено отсутствие фрагментов чужеродного материала в капсуле вокруг имплантированного образца; образец окружен структурами соединительной ткани (рис. 5, 3В на цв. вклейке), плотно прилегающей к поверхности образца. В случае образца С (см. рис. 5, 1С на цв. вклейке) вокруг образца образовалась толстая капсула с признаками фибриноидного пропитывания, содержащая большое число крупных макрофагов с кольцевидным ядром и эозинофильной цитоплазмой. Для образцов без покрытия отмечено образование четко выраженной фиброзной капсулы. Для всех образцов B и C отмечалось сравнимое количество макрофагов и фибробластов в ткани вокруг имплантата.

Рис. 5. Микрофотографии извлеченных образцов. Линия А: 1А — продольный срез извлеченного образца А; 2А — увеличение участка 2А рис. 5.1А; 3А — увеличение участка 3А рис. 5.1А. Линия В: 1В — продольный срез извлеченного образца В; 2В — увеличение участка 2В рис. 5.1В, 3В — увеличение участка 3В рис. 5.1В. Линия С: 1С — продольный срез извлеченного образца С; 2С — увеличение участка 2С рис. 5.1С; 3С — увеличение участка 3С рис. 5.1С. Увеличение: столбец 1 — ×40; столбец 2 — ×160; столбец 3 — ×160 (кроме 3А, где ×400).

Микроскопические снимки гистологических образцов животных группы А демонстрируют наименьшую интенсивность окрашивания окружающей соединительной ткани, что может свидетельствовать о значительно меньшем содержании плотного коллагена в капсуле соединительной ткани вокруг образцов А с покрытием К1, а также развитием капилляров, частично затрагивающим само покрытие образца (см. рис. 5, 3А на цв. вклейке). Кроме того, в случае образцов А наблюдалось наименьшее количество фибробластов в прилегающей к покрытию ткани.

Нежелательные явления

Имплантация всех образцов не сопровождалась возникновением серьезных нежелательных реакций. Следует отметить, что в случаях имплантации образцов группы В и С кровотечение прекратилось уже через 4—5 мин, тогда как для образцов А в 2 случаях наблюдалось легкое кровотечение в течение 10—13 мин, что, очевидно, обусловлено наличием в структуре покрытия К1 антикоагулянта Nad.

Обсуждение

В ходе доклинического экспериментального контролируемого исследования были получены удовлетворительные результаты оценки биосовместимости синтезированных экспериментальных мембран для сенсоров глюкозы. Разработанное покрытие для мембран сенсоров глюкозы не вызвало аллергических и серьезных воспалительных реакций у экспериментальных животных при введении под кожу. Более того, экспериментальное покрытие обеспечило значительно меньшую локальную реактивность организма животного.

Повышение биосовместимости имплантируемых биосенсоров имеет решающее значение для увеличения срока их службы. В данном исследовании мы предположили, что покрытия на основе гидрогеля AGM-9 и PEG, содержащего прямой антикоагулянт Nad, обладающий также противовоспалительными свойствами, сможет значительно увеличить биосовместимость мембраны имплантируемых сенсоров глюкозы, что и было продемонстрированно как результатами оценки кожных реакций, так и биохимическими анализами крови животных. Хотя воспалительная реакция на имплантацию все же сохранялась, она была значительно меньше, чем при имплантации образцов сравнения B и контроля C: через 12 дней для образцов А наблюдалось отсутствие маркеров воспаления в биохимическом анализе крови. Для образцов группы B и C наблюдалась относительно продолжительная воспалительная реакция с протеканием всех фаз воспалительного процесса. Для стандартных образцов группы C наблюдался более краткий период воспалительной реакции, чем описано в литературе, что, на наш взгляд, связано с примененным способом имплантации материала посредством инъектора [14].

При гистологической оценке мы обнаружили очевидную разницу в реакции ткани на имплантацию образцов в зависимости от наличия покрытия и состава самой мембраны. Так при использовании образов мембран с экспериментальным покрытием ткань вокруг имплантата содержала значительно меньшее количество коллагена и коллаген-продуцирующих клеток. Стимуляция ангиогенеза может быть обусловлена тем, что Nad является деполимеризованным гепарином, а влияние гепарина на васкуляризацию доказано многочисленными исследованиями [15]. Полученные результаты подтверждают влияние низкомолекулярных гепаринов на развитие воспалительных реакций [16], а также данные о том, что гепарин может обладать эффектами факторов роста сосудов [15].

Экспериментальное покрытие не смогло полностью предотвратить образование соединительнотканной капсулы. Однако капсула, сформировавшаяся за 90 дней вокруг покрытых экспериментальных мембран, не содержала большого количества коллагена и была не настолько плотной, чтобы блокировать фильтрацию интерстициальной жидкости; прорастание капилляров может ускорять процесс обмена метаболитами в данной области. На основе полученных данных можно предположить, что в случае дальнейшего формирования капилляров в зоне контакта покрытой мембраны с окружающей тканью интенсивность обмена глюкозы будет достаточно высокой, исключающей значительное отставание показаний сенсора во времени, что характерно для используемых в настоящее время сенсоров [17, 18]. Таким образом, экспериментальная мембрана и окружающие ее ткани будут сохранять необходимые для функционирования имплантируемых систем НМГ свойства в течение длительного времени.

Ограничения исследования

Настоящее исследование проведено на лабораторных животных, и его результаты не могут быть безоговорочно экстраполированы на людей.

Заключение

Проведенное экспериментальное доклиническое исследование демонстрирует, что применение комплексного гидрогеля на основе PEG и Nad позволяет в значительной степени блокировать образование соединительнотканной капсулы вокруг имплантата и уменьшить интенсивность кожных воспалительных реакций. Требуются дальнейшие клинические исследования образцов покрытых мембран для подтверждения их свойств в отношении биосовместимости.

ДОПОЛНИТЕЛЬНАЯ ИНФОРМАЦИЯ

Источник финансирования. Исследование проведено при поддержке Российского научного фонда (грант №14-25-00181).

Конфликт интересов. Авторы декларируют отсутствие явных и потенциальных конфликтов интересов, связанных с публикацией настоящей статьи.

Участие авторов: Станишевский Я.М. — разработка протокола исследования, контроль и координация проведения исследования, редактирование рукописи; Сачивкина Н.П. — работа с животными, проведение операций по имплантации и извлечению, микробиологическая и биохимическая оценка, подготовка гистологических образцов, интерпретация результатов; Тарасов Ю.В. — подготовка материалов для исследования, разработка протокола исследования, подготовка рукописи; Филиппов Ю.И. — разработка протокола исследования, редактирование рукописи, интерпретация результатов; Соколов С.А. —
микроскопическая оценка, интерпретация результатов, редактирование рукописи; Шестакова М.В. — утверждение протокола исследования, контроль и координация проведения исследования, утверждение финальной версии рукописи.

Список литературы

1. Langendam M, Luijf YM, Hooft L, et al. Continuous glucose monitoring systems for type 1 diabetes mellitus. 2012. doi: 10.1002/14651858.CD008101.pub2

2. Yeh H-C, Brown TT, Maruthur N, et al. Comparative effectiveness and safety of methods of insulin delivery and glucose monitoring for diabetes mellitus. Ann Intern Med. 2012;157(5):336. doi: 10.7326/0003-4819-157-5-201209040-00508

3. Poolsup N, Suksomboon N, Kyaw A. Systematic review and metaanalysis of the effectiveness of continuous glucose monitoring (CGM) on glucose control in diabetes. Diabetol Metab Syndr. 2013;5(1):39. doi: 10.1186/1758-5996-5-39

4. Choudhary P, Ramasamy S, Green L, et al. Real-time continuous glucose monitoring significantly reduces severe hypoglycemia in hypoglycemia-unaware patients with type 1 diabetes. Diabetes Care. 2013;36(12):4160-4162. doi: 10.2337/dc13-0939

5. Mauras N, Fox L, Englert K, Beck RW. Continuous glucose monitoring in type 1 diabetes. Endocrine. 2012;43(1):41-50. doi: 10.1007/s12020-012-9765-1

6. Maltoni G, Zucchini S. Glucose sensors. 2017;149-161. doi: 10.1007/978-3-319-40242-0_13

7. Kropff J, Choudhary P, Neupane S, et al. Accuracy and longevity of an implantable continuous glucose sensor in the PRECISE study: a 180-day, prospective, multicenter, pivotal trial. Diabetes Care. 2016:dc161525. doi: 10.2337/dc16-1525

8. Hoss U, Budiman ES, Liu H, Christiansen MP. Continuous glucose monitoring in the subcutaneous tissue over a 14-day sensor wear period. Journal of Diabetes Science and Technology. 2013;7(5):1210-1219. doi: 10.1177/193229681300700511

9. Christiansen M, Bailey T, Watkins E, et al. A New-generation continuous glucose monitoring system: improved accuracy and reliability compared with a previous-generation system. Diabetes Technol Ther. 2013;15(10):881-888. doi: 10.1089/dia.2013.0077

10. Keenan DB, Mastrototaro JJ, Zisser H, et al. Accuracy of the enlite 6-day glucose sensor with guardian and veo calibration algorithms. Diabetes Technol Ther. 2012;14(3):225-231. doi: 10.1089/dia.2011.0199

11. Tarasov YV, Philippov YI, Sokolov SA, et al. Experimental polymer coating provides hemocompatibility to glucose sensors in bloodstream. Journal of Biomaterials and Tissue Engineering. 2017;in press.

12. Goddard JM, Hotchkiss JH. Polymer surface modification for the attachment of bioactive compounds. Prog Polym Sci. 2007;32(7):698-725. doi: 10.1016/j.progpolymsci.2007.04.002

13. Krishnan S, Weinman CJ, Ober CK. Advances in polymers for anti-biofouling surfaces. J Mater Chem. 2008;18(29):3405. doi: 10.1039/b801491d

14. Bridges AW, Whitmire RE, Singh N, et al. Chronic inflammatory responses to microgel-based implant coatings. J Biomed Mater Res A. 2010;94(1):252-258. doi: 10.1002/jbm.a.32669

15. Rema RB, Rajendran K, Ragunathan M. Angiogenic efficacy of heparin on chick chorioallantoic membrane. Vasc Cell. 2012;4(1):8. doi: 10.1186/2045-824X-4-8

16. Fillinger J, Antus B. Low-molecular-weight heparins do not modify obliterative airway disease in rat tracheal allografts. Exp Lung Res. 2010;36(10):625-631. doi: 10.3109/01902148.2010.499443

17. Basu A, Dube S, Veettil S, et al. Time lag of glucose from intravascular to interstitial compartment in type 1 diabetes. Journal of Diabetes Science and Technology. 2014;9(1):63-68. doi: 10.1177/1932296814554797

18. Barry Keenan D, Mastrototaro JJ, Weinzimer SA, Steil GM. Interstitial fluid glucose time-lag correction for real-time continuous glucose monitoring. Biomedical Signal Processing and Control. 2013;8(1):81-89. doi: 10.1016/j.bspc.2012.05.007


Об авторах

Ярослав Михайлович Станишевский

ФГАОУ ВО «Российский университет дружбы народов»


Россия

д.хим.н., доц., директор Института биохимической технологии и нанотехнологии



Надежда Павловна Сачивкина

ФГАОУ ВО «Российский университет дружбы народов»


Россия

к.биол.н, доцент кафедры микробиологии и вирусологии Медицинского института



Юрий Владимирович Тарасов

ФГБУ «Эндокринологический научный центр» Минздрава России


Россия

научный сотрудник Института диабета



Юрий Иванович Филиппов
https://www.researchgate.net/profile/Yury_Philippov3

ФГБУ «Эндокринологический научный центр» Минздрава России


Россия

научный сотрудник Отделения терапии диабета с референс-центром обучения Института диабета



Сергей Александрович Соколов

ФГБОУ ВО «Московский государственный университет им. М.В. Ломоносова»


Россия

аспирант химического факультета



Марина Владимировна Шестакова

ФГБУ «Эндокринологический научный центр» Минздрава России; ГБОУ ВПО «Первый Московский государственный медицинский университет им. И.М. Сеченова»


Россия

д.м.н., профессор, академик РАН, директор Института диабета, заведующая кафедрой эндокринологии и диабетологии Педиатрического факультета



Дополнительные файлы

1. Рис. 1. Инъектор для подкожных имплантаций.
Тема
Тип Исследовательские инструменты
Посмотреть (12KB)    
Метаданные ▾
2. Рис. 2. Структура поверхности покрытия образцов группы А (×1500).
Тема
Тип Исследовательские инструменты
Посмотреть (139KB)    
Метаданные ▾
3. Рис. 3. Структура поверхности покрытия образцов группы А (×5998).
Тема
Тип Исследовательские инструменты
Посмотреть (145KB)    
Метаданные ▾
4. Рис. 4. Срез образца группы А с нанесенным на него покрытием (×1000).
Тема
Тип Исследовательские инструменты
Посмотреть (84KB)    
Метаданные ▾
5. Рис. 5. Микрофотографии извлеченных образцов. Линия А: 1А — продольный срез извлеченного образца А; 2А — увеличение участка 2А рис. 5.1А; 3А — увеличение участка 3А рис. 5.1А. Линия В: 1В — продольный срез извлеченного образца В; 2В — увеличение участка 2В рис. 5.1В, 3В — увеличение участка 3В рис. 5.1В. Линия С: 1С — продольный срез извлеченного образца С; 2С — увеличение участка 2С рис. 5.1С; 3С — увеличение участка 3С рис. 5.1С. Увеличение: столбец 1 — ×40; столбец 2 — ×160; столбец 3 — ×160 (кроме 3А, где ×400).
Тема
Тип Исследовательские инструменты
Метаданные ▾
6. Рис. 1. Инъектор для подкожных имплантаций.
Тема
Тип Исследовательские инструменты
Посмотреть (16KB)    
Метаданные ▾
7. Рис. 2. Структура поверхности покрытия образцов группы А (×1500).
Тема
Тип Research Instrument
Посмотреть (223KB)    
Метаданные ▾
8. Рис. 3. Структура поверхности покрытия образцов группы А (×5998).
Тема
Тип Research Instrument
Посмотреть (229KB)    
Метаданные ▾
9. Рис. 4. Срез образца группы А с нанесенным на него покрытием (×1000).
Тема
Тип Research Instrument
Посмотреть (123KB)    
Метаданные ▾
10. Рис. 5. Микрофотографии извлеченных образцов.
Тема
Тип Research Instrument
Посмотреть (251KB)    
Метаданные ▾

Рецензия

Для цитирования:


Станишевский Я.М., Сачивкина Н.П., Тарасов Ю.В., Филиппов Ю.И., Соколов С.А., Шестакова М.В. Оценка биосовместимости экспериментальной мембраны для сенсоров глюкозы: результаты проспективного экспериментального контролируемого доклинического исследования. Проблемы Эндокринологии. 2017;63(4):219-226. https://doi.org/10.14341/probl2017634219-226

For citation:


Stanishevskiy Ya.M., Sachivkina N.P., Tarasov Yu.V., Philippov Yu.I., Sokolov S.A., Shestakova M.V. Evaluation of biocompatibility of an experimental membrane for glucose sensors: the results of a prospective experimental controlled preclinical study involving laboratory animals. Problems of Endocrinology. 2017;63(4):219-226. https://doi.org/10.14341/probl2017634219-226

Просмотров: 1435


ISSN 0375-9660 (Print)
ISSN 2308-1430 (Online)