Scroll to:
Evaluation of biocompatibility of an experimental membrane for glucose sensors: the results of a prospective experimental controlled preclinical study involving laboratory animals
https://doi.org/10.14341/probl2017634219-226
Abstract
An increase in the accuracy of monitoring of glucose concentration indicators and an increase in the running time of glucose sensors are promising directions in the field of diabetology. One of the ways to extend the lifetime of a sensor is its complete implantation excluding direct communication with the skin surface. For effective long-term functioning in the patient’s body, the surface of an implantable sensor should be highly biocompatibile: it should not induce allergic and inflammatory reactions as well as the demarcation reaction (formation of a dense connective tissue capsule). Earlier, a group of authors developed a glucose-permeable membrane and a biocompatible coating comprising a complex of nadroparin with transesterified polyethylene glycol and γ-aminopropyl triethoxysilane, which formed a protein repellent hydrogel on the membrane surface.
Aims. To evaluate the biocompatibility of the experimental coated membrane implanted into laboratory animals.
Methods. The experimental prospective controlled study involved 60 laboratory animals (Wistar albino rats). The animals were divided into 3 groups of 20 animals each. Animals of each group were implanted with the standard, or experimental, or experimental coated membrane. After implantation, the skin condition in the implantation area was visually assessed for 90 days. After 90 days, the tissue condition around the implant was evaluated histologically.
Results. No serious allergic or inflammatory reactions in the implantation area were detected in all three groups of animals within 90 days of the follow-up period. In the case of the experimental coated membrane, a significantly low score was graded based on visual assessment of the skin reactions. In the histological analysis, the tissue condition in the implantation area of the coated membranes was characterized by significantly lower density of a connective tissue capsule and the presence of vascularization areas at the contact between of the membrane surface and the surrounding tissue.
Conclusion. In experimental animals, the tested coating significantly inhibits formation of a connective tissue capsule around the implant and reduces the intensity of skin reactions after implantation. Further clinical studies of coated membranes in humans are required to verify their biocompatibility.
For citations:
Stanishevskiy Ya.M., Sachivkina N.P., Tarasov Yu.V., Philippov Yu.I., Sokolov S.A., Shestakova M.V. Evaluation of biocompatibility of an experimental membrane for glucose sensors: the results of a prospective experimental controlled preclinical study involving laboratory animals. Problems of Endocrinology. 2017;63(4):219-226. https://doi.org/10.14341/probl2017634219-226
Continuous glucose monitoring (CGM) is one of the most effective ways of self-monitoring of glycemia, which significantly improves treatment outcomes in patients with diabetes mellitus [1—5]. Modern CGM devices are based on temporarily implanted glucose sensors [6]; in this case, one of the actively developing areas of CGM technologies is the development of tiny glucose biosensors for long-term (many months and even years) implantation [7]. Implementation of this task requires, among other things, much higher biocompatibility compared to that of existing devices, commercially available versions of which can stably operate in the human body only for less than 14 days [8—10].
Biocompatible materials have been actively developed for more than 40 years. In this case, creation of biocompatible coatings for implants remains one of the most actively developing areas. The highest standards of biocompatibility are specified for coatings of implantable biosensors. These coatings should avoid provoking the body’s response to foreign material and simultaneously enable penetration of biomarker molecules directly to the sensor. In addition, the biosensor coating should reduce or eliminate encapsulation effects and be resistant to biofouling (sorption of protein molecules on the coating surface, leading eventually to clogging of pores and a decrease in permeability for biomarkers).
For application in implantable glucose sensors, a highly hydrophilic coating, a complex of nadroparin (Nad) with transesterified polyethylene glycol (PEG) and γ-aminopropyl triethoxysilane (AGM-9), forming a protein-repelling hydrogel on the membrane surface, potentially reducing sorption of fibrin, and inhibiting an inflammatory response was developed at the Endocrinology Research Centre [11]. PEG is a hydrophilic and non-toxic polymer consisting of repeating (-CH2CH2-O-) units, which has a simple structure. It is extensively used for modification of membrane surfaces [12] and known as an agent inhibiting bio-contamination. AGM-9 is an amino-functional coupling agent used to form strong chemical bonds between inorganic substrates and organic polymers. In the synthesized coating, AGM-9 acts as a polymerizing agent and promoter of nanscent polymer adhesion to the substrate (glucose-permeable membrane). Theoretically, high biocompatibility of the synthesized coating may be caused, in particular, by weak PEG—AGM-9 ether bonds and a low interfacial energy at the polymer-water interface (<5 mJ/m2) [13]. Nad, depolymerized heparin (a direct-acting anticoagulant) with a molecular weight of 4,000 to 5,000 Da was used as a pharmacological modifier of a polymeric composite in the synthesized coating.
Previous in vitro hemocompatibility testing of synthesized membranes and coatings demonstrated good results for their hemolytic potential, effect on the rate of blood clotting, and inhibition of adsorption of blood cells and proteins on the membrane surface [11].
Study purpose
The study purpose was to assess biocompatibility of the synthesized membranes and coatings in in vivo experiments.
Material and methods
Study design
We performed a prospective preclinical experimental controlled study.
Eligibility Criteria
Mature Wistar rats of both sexes and an initial weight of 300−400 g were used in the study. The age of all animals at the study onset was 12 weeks.
Experimental conditions
This was a blind study: researchers were provided with the minimum necessary information about tested materials (storage conditions and instructions for the use of materials, without disclosure of their composition and biochemical properties).
All materials for implantation were pre-sterilized and placed in injectors.
The study was performed in the vivarium of the Faculty of Medicine of the Peoples’ Friendship University of Russia.
Experimental animals. Animals were kept in groups of 5—6 rats in a cage with free access to water and feed and a 12/12 light cycle in well-ventilated rooms (multiplicity of 10—12 rph with a sterile laminar flow) with air temperature of 22—25 °C and humidity of 30—70%. On the first experiment day, access of rats to feed was reduced.
Implants. Experimental samples served as the study material:
- Samples A — sterile samples of polymeric coatings on the basis of a Nad, PEG, and AGM-9 complex (complex 1, K1) applied to a cellulose acetate capsule (2×6 mm);
- Samples B (negative control) — sterile cellulose acetate capsules (2×6 mm);
- Samples C (positive control) — sterile standard polyethylene terephthalate samples 2×6 mm in size (Kazanorgsintez, Russia; in accordance with ISO 5834-2:1985).
Fabrication of implantable capsules. Membrane samples were implanted in the form of capsules that were prepared from pieces of cellulose acetate dialysis filter tubing (6 mm in diameter, 0.25 μm pore size, 50% porosity, and 25 μm thick) by sealing both ends of polyethylene terephthalate. Sealing resulted in the minimum roughness of the ends.
Coating of capsules. Transesterified AGM-9 and PEG comprising Nad (~1.5 U/cm2) were sprayed onto cellulose acetate capsules (~0.5 mL) in two steps. The coating was fixed on capsules using UV curing (~1.8 J/cm2 under a nitrogen atmosphere for 2 min).
Sterilization of samples. Samples were sterilized by double autoclaving at a temperature of 220 °C and pressure of 1.5 bar for 10 min, immediately before implantation.
Study duration
Animals were monitored for 90 days. The study was conducted between July and October 2016.
Medical procedures
Before the study onset, blood samples were taken in all animals to obtain data for control and comparison purposes.
Preparation of animals. Animals were anesthetized by inhalation with diethyl ether. Before implantation, hair was shaved on tested skin areas. The shaved area was completely washed with warm water and dried with dry sterile gauze, placing the animals in clean plastic containers. At least 2 h after hair shaving, the condition of tested skin areas was assessed.
Implantation. The examined skin area was pretreated with 70% ethyl alcohol. Sterile materials were implanted into the interscapular skin fold using a special injector for implantation of subcutaneous electronic animal tags (Global-Vet, Spain) (Fig. 1). This was the least aggressive implantation technique.
Fig. 1. An injector for subcutaneous implantation.
Bruisings were removed with a sterile cotton swab impregnated with 70% ethyl alcohol.
Sampling of biomaterials in animals. Blood (150 μL) was sampled from the tail vein using a pre-heparinized microsyringe. The analysis was performed using a SPOTCHEM EZ SP-4430 biochemical automatic analyzer (Arkray, Japan), with allowance for potential development of acute, subacute, and chronic inflammatory processes.
Blood chemistry tests were performed to control the occurrence of inflammatory phases as a response to implantation.
Implant removal. The animals were sacrificed by electric current 90 days after implantation. An implant was excised together with the formed capsule and about 5 mm surrounding unchanged soft tissue.
The main study outcome
The conclusion about biocompatibility of the experimental membrane was based the time until the inflammatory response onset after implantation as well as the period of recurrent inflammatory responses.
Additional study outcomes
An additional object of evaluation was the structure and properties of the connective tissue capsule formed around the implant 90 days after implantation of the experimental coating into the skin.
Analysis in subgroups
The experimental animals were divided into three groups:
- Group A — 20 animals implanted with sample A;
- Group B — 20 animals implanted with sample B;
- Group C — 20 animals implanted with sample C.
Outcome detection methods
Primary microscopic evaluation. Original coated membrane samples dried under vacuum were examined by electron microscopy to collect control data. A 20—25 nm thick tungsten layer was sprayed on samples using a Cressington 208HR sputter coater. Microphotographs were acquired with a Nova NanoSEM scanning electron microscope (FEI, USA).
Visible skin reactions. To detect visible skin reactions, the animals were examined 6 h after implantation and then every day for 90 days. On examination, the degree of a tissue response, including erythema and edema, was assessed for the injection site and each observation time interval according to the classification presented in Table 1.
Table 1. A scheme for assessment of intradermal reactions
|
Response |
Score |
|
Erythema and scab formation |
|
|
No erythema |
0 |
|
Very slight erythema (barely perceptible) |
1 |
|
Well-defined erythema |
2 |
|
Moderate erythema |
3 |
|
Severe erythema (dark red) with scab formation |
4 |
|
Edema |
|
|
No edema |
0 |
|
Very slight edema (barely perceptible) |
1 |
|
Well-defined edema |
2 |
|
Moderate edema (raised approximately 1mm) |
3 |
|
Severe edema (extensive, raised more than 1mm) |
4 |
|
Maximum score |
8 |
For better evaluation, two animals from each group were intravenously injected with a vital dye, trypan blue, 45 and 90 days after implantation (for staining irritation spots). After 90 days, a total score was summarized for each test sample and an appropriate control sample. The sums were divided by 3,600 (20 animals × 90 evaluation periods × 2 estimated categories) to calculate the mean value for each test sample and an appropriate control sample. The test requirements were considered to be fulfilled if the difference between the mean value in the test group and an appropriate control was ≤1.0.
Histological analysis. Excised samples were used for histological examination; fixation was carried out in 10% formalin. Samples were processed in accordance with GOST R ISO 10993.6-99: after standard treatment with alcohols, the samples were embedded in paraffin to prepare 5−6 μm thick slices and stained with hematoxylin-eosin. Histological specimens were analyzed using a Nikon Eclipse light microscope.
Ethical review
The study protocol was approved by the local Ethics Committee of the Medical Institute of the Peoples’ Friendship University on June 24, 2015 (extract from Protocol No. 12 of 08.12.16).
Statistical analysis
Sample size calculation principles: the sample size was not predetermined.
Methods of statistical data analysis. Statistical processing of the data was carried out using the Statistica v.8.0 software package for PC. The group arithmetic mean (M) and the standard error of the mean (m) were calculated for all quantitative data.
Results
Skin reactions
- After implantation of samples A, mild erythema was observed in the implantation area within the first 6 h. In 18 of 20 cases, there was no edema; no erythema developed after 24 h. In 2 cases out of 20, there was slight edema with clearly discernible erythema for 24 h; there was no erythema after 36 h; the edema began to subside after 48 h; no edema was observed on the third day. On day 45, there was a complete absence of erythema and very slight edema in all cases with a difference of 2—2.5 h; after the development, edema persisted for 5 days.
- After implantation of samples B, mild erythema was observed for the first 6 h, which then completely disappeared within 4 h (10 h after implantation). After 3 days, moderate edema with clearly discernible erythema developed; the erythema persisted for another 4 days; on day 8, erythema became weak; the edema became clearly discernible on day 11. On day 16, there was no erythema, and the edema became very slight. After 28 days, there was no edema.
- After implantation of samples C, there was clearly discernible erythema for the first 6 h, which, together with slight edema, persisted less than 2 days; on day 4, the erythema became slight, there was no edema. On day 8, there was no erythema, and very slight edema developed. After 15 days, edema was absent.
The difference between the mean total score of skin reactions in test group A and the mean values in groups B and C did not exceed 1.0 (Table 2).
Table 2. Mean scores of skin reactions to implantation of samples
|
Sample group |
Total score of skin reactions |
Mean score |
Difference with group A |
|
Group A samples |
606 |
0,541071 |
— |
|
Group B samples |
1480 |
1,321429 |
0,409459 |
|
Group C samples |
820 |
0,732143 |
0,739024 |
Blood chemistry testing
Primary chemistry blood testing of animals before the experiment revealed no abnormalities or inflammatory processes.
— In the group of sample A, there were no indicators of an inflammatory response 8 h after implantation; 45 days later, there were indicators typical of the acute phase of an inflammatory response, with gradual attenuation of the inflammatory response; after 59 days, the indicators were typical of the subacute phase of an inflammatory response; after 70 days, the indicators returned to normal values.
— In the group of sample B, indicators typical of the acute phase of an inflammatory response occurred in 3 out of 20 cases after 8 h; indicators typical of a mild inflammatory process were observed in 17 of 20 cases; on days 10 and 21, indicators in all 20 cases were typical of the subacute phase of an inflammatory response with gradual subsiding; after 31 days, mild chronic inflammation was observed; after 41 days, the indicators were minimally different from normal values; after 51 days, the indicators returned to normal values.
— In the group of sample C, indicators typical of a mild inflammatory process were observed 8 h after implantation; after days 7 and 10, indicators typical of the subacute phase of an inflammatory response with gradual subsiding were observed; after 21 days, mild chronic inflammation was observed; after 31 days the indicators returned to normal values.
Primary microscopic evaluation (Fig. 2—4)
Fig. 2. The coating surface structure of samples A (×1,500).
Fig. 3. The coating surface structure of samples A (×5,998).
Fig. 4. A cross-section of a coated sample A (×1,000).
Primary microscopic evaluation demonstrated that a 10 μm thick stable defect-free coating formed on samples.
Histological evaluation
A histological analysis performed 90 days after implantation showed no necrosis and necrotic changes in surrounding tissues in all samples.
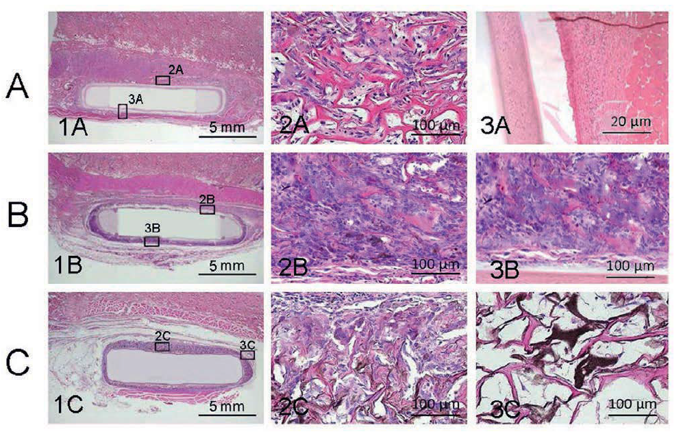
An examination of sample B revealed the absence of foreign material fragments in a capsule surrounding the implanted sample; the sample was surrounded by connective tissue structures (Fig. 5.3B) closely adjacent to the sample surface. In the case of sample C (Fig. 5.1C), a thick capsule formed around the sample. The capsule had signs of fibrinoid impregnation and contained numerous large macrophages with an annular nucleus and an eosinophilic cytoplasm. A discernible fibrous capsule formed in samples without coating. A comparable amount of macrophages and fibroblasts in the implant-surrounding tissue was typical of all samples B and C.
Microscopic images of histological specimens of group A animals demonstrate the lowest staining intensity of surrounding connective tissue, which may indicate a much lower content of dense collagen in the connective tissue capsule surrounding samples A with the K1 coating as well as the development of capillaries partially involving the coating (Fig. 5.3A). In addition, the smallest number of fibroblasts in tissue adjacent to the coating was observed in samples A.
Fig. 5. Microphotographs of excised samples.
Line A: 1A — a longitudinal section of an excised sample A; 2A — a magnified image of the 2A area in Fig. 5.1A; 3A — a magnified image of the 3A area in Fig. 5.1A.
Line B: 1B — a longitudinal section of an excised sample B; 2B — a magnified image of the 2B area in Fig. 5.1B, 3B − a magnified image of the 3B area in Fig. 5.1B.
Line C: 1C — a longitudinal section of an excised sample C; 2C — a magnified image of the 2C area in Fig. 5.1C; 3C – a magnified image of the 3C area in Fig. 5.1C. Magnification: column 1 — ×40; column 2 — ×160; column 3 — ×160 (except the 3A image with a magnification of ×400).
Adverse events
Implantation of all samples was not accompanied by serious adverse events. It should be noted that bleeding ceased after 4—5 min upon implantation of samples B and C, whereas there was slight bleeding for 10—13 min in two cases of sample A, which was obviously caused by the presence of Nad anticoagulant in the K1 coating structure.
Discussion
Summary of the findings
Satisfactory biocompatibility of the synthesized experimental membranes for glucose sensors was revealed in the preclinical experimental controlled study. Subcutaneous administration of the developed coating for glucose sensor membranes did not cause allergic and serious inflammatory reactions in experimental animals. Furthermore, the experimental coating provided much lower local reactivity of the animal’s body.
Discussion of the study results
Improving biocompatibility of implantable biosensors is of crucial importance for increasing their lifetime. In this study, we supposed that coatings based on an AGM-9- and PEG-containing hydrogel comprising the direct anticoagulant Nad with anti-inflammatory properties may significantly improve biocompatibility of the membrane of implantable glucose sensors, which was demonstrated both by evaluation of the skin reactions and by chemistry blood tests in animals. Although the inflammatory response to implantation was still persisting, it was significantly weaker than that to implantation of reference samples B and control samples C: chemistry blood testing demonstrated no inflammation markers in samples A after 12 days. A relatively prolonged inflammatory response with all phases of the inflammatory process was observed for samples B and C. Standard samples C were characterized by a shorter period of the inflammatory response compared to that described in the literature, which, in our opinion, was related to the procedure of material implantation by means of an injector [14].
A histological evaluation revealed an obvious difference in a tissue response to implantation of samples, depending on the coating and the membrane composition. For example, in the case of membranes with the experimental coating, the implant surrounding tissue contained a significantly smaller amount of collagen and collagen-producing cells. Stimulation of angiogenesis may be related to the fact that Nad is depolymerized heparin, and the effect of heparin on vascularization has been proven by numerous studies [15]. The obtained results confirm the influence of low molecular weight heparins on the development of inflammatory reactions [16] as well as the data that heparin may act as a vascular growth factor [15].
The experimental coating could not completely prevent the formation of a connective tissue capsule. However, the capsule formed around coated experimental membranes for 90 days did not contain a large amount of collagen and was not dense enough to block filtration of the interstitial fluid; capillary growth may accelerate the metabolite exchange process in this area. Our findings suggest that in the case of further capillary growth in the area of contact between the coated membrane and surrounding tissue, the intensity of glucose exchange will be sufficiently high to exclude a significant time delay in sensor readings, which is typical of currently used sensors [17, 18]. Therefore, the experimental membrane and surrounding tissues will retain the properties necessary for implantable CGM systems to operate for a long time.
Limitations of the study
The present study was conducted on laboratory animals, and its results can not be unconditionally extrapolated to humans.
Conclusion
The performed experimental preclinical study demonstrates that the complex PEG- and Nad-based hydrogel significantly inhibits the formation of a connective tissue capsule around the implant and reduces the intensity of skin inflammatory reactions. Further clinical studies of coated membranes are required to confirm their biocompatibility properties.
ADDITIONAL INFORMATION
Funding. The study was supported by the Russian Science Foundation (grant No. 14-25-00181).
Conflict of interest. The authors declare no obvious and potential conflicts of interest related to this article.
Author contributions: YaMS developed the study protocol, controlled and coordinated research, and reviewed the manuscript; NPS worked with animals, performed implantation and removal procedures as well as microbiological and biochemical evaluation, prepared histological samples, and interpreted study data; YuVT prepared materials for research, developed the study protocol, and prepared the manuscript; YuIP developed the study protocol, reviewed the manuscript, and interpreted study data; SAS performed microscopic evaluation, interpreted study data, and reviewed the manuscript; MVS approved the study protocol, controlled and coordinated research, approved the final version of the manuscript.
References
1. Langendam M, Luijf YM, Hooft L, et al. Continuous glucose monitoring systems for type 1 diabetes mellitus. 2012. doi: 10.1002/14651858.CD008101.pub2
2. Yeh H-C, Brown TT, Maruthur N, et al. Comparative effectiveness and safety of methods of insulin delivery and glucose monitoring for diabetes mellitus. Ann Intern Med. 2012;157(5):336. doi: 10.7326/0003-4819-157-5-201209040-00508
3. Poolsup N, Suksomboon N, Kyaw A. Systematic review and metaanalysis of the effectiveness of continuous glucose monitoring (CGM) on glucose control in diabetes. Diabetol Metab Syndr. 2013;5(1):39. doi: 10.1186/1758-5996-5-39
4. Choudhary P, Ramasamy S, Green L, et al. Real-time continuous glucose monitoring significantly reduces severe hypoglycemia in hypoglycemia-unaware patients with type 1 diabetes. Diabetes Care. 2013;36(12):4160-4162. doi: 10.2337/dc13-0939
5. Mauras N, Fox L, Englert K, Beck RW. Continuous glucose monitoring in type 1 diabetes. Endocrine. 2012;43(1):41-50. doi: 10.1007/s12020-012-9765-1
6. Maltoni G, Zucchini S. Glucose sensors. 2017;149-161. doi: 10.1007/978-3-319-40242-0_13
7. Kropff J, Choudhary P, Neupane S, et al. Accuracy and longevity of an implantable continuous glucose sensor in the PRECISE study: a 180-day, prospective, multicenter, pivotal trial. Diabetes Care. 2016:dc161525. doi: 10.2337/dc16-1525
8. Hoss U, Budiman ES, Liu H, Christiansen MP. Continuous glucose monitoring in the subcutaneous tissue over a 14-day sensor wear period. Journal of Diabetes Science and Technology. 2013;7(5):1210-1219. doi: 10.1177/193229681300700511
9. Christiansen M, Bailey T, Watkins E, et al. A New-generation continuous glucose monitoring system: improved accuracy and reliability compared with a previous-generation system. Diabetes Technol Ther. 2013;15(10):881-888. doi: 10.1089/dia.2013.0077
10. Keenan DB, Mastrototaro JJ, Zisser H, et al. Accuracy of the enlite 6-day glucose sensor with guardian and veo calibration algorithms. Diabetes Technol Ther. 2012;14(3):225-231. doi: 10.1089/dia.2011.0199
11. Tarasov YV, Philippov YI, Sokolov SA, et al. Experimental polymer coating provides hemocompatibility to glucose sensors in bloodstream. Journal of Biomaterials and Tissue Engineering. 2017;in press.
12. Goddard JM, Hotchkiss JH. Polymer surface modification for the attachment of bioactive compounds. Prog Polym Sci. 2007;32(7):698-725. doi: 10.1016/j.progpolymsci.2007.04.002
13. Krishnan S, Weinman CJ, Ober CK. Advances in polymers for anti-biofouling surfaces. J Mater Chem. 2008;18(29):3405. doi: 10.1039/b801491d
14. Bridges AW, Whitmire RE, Singh N, et al. Chronic inflammatory responses to microgel-based implant coatings. J Biomed Mater Res A. 2010;94(1):252-258. doi: 10.1002/jbm.a.32669
15. Rema RB, Rajendran K, Ragunathan M. Angiogenic efficacy of heparin on chick chorioallantoic membrane. Vasc Cell. 2012;4(1):8. doi: 10.1186/2045-824X-4-8
16. Fillinger J, Antus B. Low-molecular-weight heparins do not modify obliterative airway disease in rat tracheal allografts. Exp Lung Res. 2010;36(10):625-631. doi: 10.3109/01902148.2010.499443
17. Basu A, Dube S, Veettil S, et al. Time lag of glucose from intravascular to interstitial compartment in type 1 diabetes. Journal of Diabetes Science and Technology. 2014;9(1):63-68. doi: 10.1177/1932296814554797
18. Barry Keenan D, Mastrototaro JJ, Weinzimer SA, Steil GM. Interstitial fluid glucose time-lag correction for real-time continuous glucose monitoring. Biomedical Signal Processing and Control. 2013;8(1):81-89. doi: 10.1016/j.bspc.2012.05.007
About the Authors
Yaroslav M. StanishevskiyRUDN University
Russian Federation
PhD, professor associate
Nadezhda P. Sachivkina
RUDN University
Russian Federation
PhD, professor associate
Yuriy V. Tarasov
Endocrinology Research Centre
Russian Federation
Yury I. Philippov
Endocrinology Research Centre
Russian Federation
MD, researcher
Sergey A. Sokolov
Lomonosov Moscow State University
Russian Federation
PhD-student
Marina V. Shestakova
Endocrinology Research Centre; I.M. Sechenov First Moscow State Medical University
Russian Federation
MD, PhD, Professor
Supplementary files
|
|
1. Рис. 1. Инъектор для подкожных имплантаций. | |
| Subject | ||
| Type | Исследовательские инструменты | |
View
(12KB)
|
Indexing metadata ▾ | |
|
|
2. Рис. 2. Структура поверхности покрытия образцов группы А (×1500). | |
| Subject | ||
| Type | Исследовательские инструменты | |
View
(139KB)
|
Indexing metadata ▾ | |
|
|
3. Рис. 3. Структура поверхности покрытия образцов группы А (×5998). | |
| Subject | ||
| Type | Исследовательские инструменты | |
View
(145KB)
|
Indexing metadata ▾ | |
|
|
4. Рис. 4. Срез образца группы А с нанесенным на него покрытием (×1000). | |
| Subject | ||
| Type | Исследовательские инструменты | |
View
(84KB)
|
Indexing metadata ▾ | |
|
|
5. Рис. 5. Микрофотографии извлеченных образцов. Линия А: 1А — продольный срез извлеченного образца А; 2А — увеличение участка 2А рис. 5.1А; 3А — увеличение участка 3А рис. 5.1А. Линия В: 1В — продольный срез извлеченного образца В; 2В — увеличение участка 2В рис. 5.1В, 3В — увеличение участка 3В рис. 5.1В. Линия С: 1С — продольный срез извлеченного образца С; 2С — увеличение участка 2С рис. 5.1С; 3С — увеличение участка 3С рис. 5.1С. Увеличение: столбец 1 — ×40; столбец 2 — ×160; столбец 3 — ×160 (кроме 3А, где ×400). | |
| Subject | ||
| Type | Исследовательские инструменты | |
View
(1MB)
|
Indexing metadata ▾ | |
|
|
6. Fig. 1. An injector for subcutaneous implantation. | |
| Subject | ||
| Type | Исследовательские инструменты | |
View
(16KB)
|
Indexing metadata ▾ | |
|
|
7. Fig. 2. The coating surface structure of samples A (×1,500). | |
| Subject | ||
| Type | Research Instrument | |
View
(223KB)
|
Indexing metadata ▾ | |
|
|
8. Fig. 3. The coating surface structure of samples A (×5,998). | |
| Subject | ||
| Type | Research Instrument | |
View
(229KB)
|
Indexing metadata ▾ | |
|
|
9. Fig. 4. A cross-section of a coated sample A (×1,000). | |
| Subject | ||
| Type | Research Instrument | |
View
(123KB)
|
Indexing metadata ▾ | |
|
|
10. Fig. 5. Microphotographs of excised samples. | |
| Subject | ||
| Type | Research Instrument | |
View
(251KB)
|
Indexing metadata ▾ | |
Review
For citations:
Stanishevskiy Ya.M., Sachivkina N.P., Tarasov Yu.V., Philippov Yu.I., Sokolov S.A., Shestakova M.V. Evaluation of biocompatibility of an experimental membrane for glucose sensors: the results of a prospective experimental controlled preclinical study involving laboratory animals. Problems of Endocrinology. 2017;63(4):219-226. https://doi.org/10.14341/probl2017634219-226
This work is licensed under a Creative Commons Attribution-NonCommercial-NoDerivatives 4.0 International License (CC BY-NC-ND 4.0).




































.jpg)

