Перейти к:
Овотестикулярное нарушение формирования пола у пациента с кариотипом 46,XY
https://doi.org/10.14341/probl2017633201-203
Аннотация
Овотестикулярное нарушение формирования пола 46,XY является редким вариантом патологической дифференцировки гонад. У пациента в возрасте 1 года 3 мес отмечено двойственное строение наружных половых органов, отсутствие пальпируемых гонад и кариотип 46,XY. При визуализации полости малого таза была обнаружена матка. Гонады располагались на маточных трубах и макроскопически выглядели как овотестис: каждая гонада состояла из двух отсеков, разделенных прослойкой соединительной ткани. При гистологическом исследовании часть гонады была представлена тканью яичника, имела деление на корковое и мозговое вещество, содержала примордиальные фолликулы с выраженными дистрофическими изменениями; другие участки представляли собой незрелый эпителий канальцев с пролиферативными изменениями. В данном случае обоснован выбор женского пола воспитания, определяющий возможность адаптации в период полового созревания. На основании гистологического исследования выбрана тактика хирургического лечения, принято решение о проведении гонадэктомии.
Для цитирования:
Райгородская Н.Ю., Болотова Н.В., Жарков Д.А., Палатова Т.В., Доровская Н.С. Овотестикулярное нарушение формирования пола у пациента с кариотипом 46,XY. Проблемы Эндокринологии. 2017;63(3):201-203. https://doi.org/10.14341/probl2017633201-203
For citation:
Raygorodskaya N.Y., Bolotova N.V., Jarkov D.A., Palatova T.V., Dorovskaya N.S. Ovotesticular disorder of sexual development in a patient with 46,XY karyotype. Problems of Endocrinology. 2017;63(3):201-203. https://doi.org/10.14341/probl2017633201-203
Овотестикулярное нарушение формирования пола (ОТ НФП) является редким вариантом патологической дифференцировки гонад. Наиболее частой причиной являются различные варианты гоносомного мозаицизма. Кариотип 46,XY имеют не более 7% пациентов с ОТ НФП. В экспериментальных работах показаны модели развития овотестис в результате нарушения соотношения аутосомных генов, регулирующих овариальные и тестикулярные пути развития [1, 2].
Классическим вариантом овотестис является двойственная абдоминальная гонада, состоящая из отдельных отсеков различной по структуре ткани. Для верификации ОТ-НФП необходимо гистологическое исследование, подтверждающее наличие овариальной и тестикулярной ткани в составе одной гонады [3]. Основными клиническими задачами при ведении пациентов с ОТ-НФП являются выбор пола и определение хирургической тактики в отношении гонад.
Описание случая
Родители пациента 1 года 3 мес обратились с жалобами на неправильное строение наружных половых органов ребенка. Из анамнеза известно, что при рождении ребенка фенотипический пол не определен. На основании кариотипирования (46,XY) и ДНК-диагностики (наличие SRY-гена) был зарегистрирован в мужском поле. При осмотре в возрасте 1,5 года рост 80 см, SDS роста: 0,02, масса тела 10 кг, ИМТ 15,6 кг/м2. Наружные половые органы имеют двойственное строение: лабиоскротальные складки полностью расщеплены, гонады не пальпируются; клитерофаллос длиной 3 см, кавернозные тела, головка сформированы; отверстие уретры открывается на промежности.
Обследование ребенка включало эхографию малого таза, лапароскопию и цистоскопию; определение тестостерона, эстрадиола и антимюллерова гормона (АМГ) в сыворотке; гистологическое исследование интраоперационного материала гонад и цитогенетическое исследование материала гонад методом ДНК-зондов.
Результаты физикального, лабораторного и инструментального исследования
При визуализации полости малого таза обнаружена матка с шейкой, влагалище. По данным ультразвукового сканирования, левая гонада была расценена как яичник объемом 3,7 см3 с фолликулами по периферии в количестве до 7—8 в одном поле сканирования. При лапароскопической визуализации левая гонада состояла из двух отделов, четко разделенных между собой прослойкой соединительной ткани; правая гонада также состояла из двух отделов, имела объем не более 1 см3. В одном из отделов каждой гонады определялись овариальные фолликулы. При проведении цистоуретроскопии на расстоянии 0,5 см от меатуса определяется вход во влагалище, которое хорошо развито, свободно проходимо для цистоскопа, имеет длину около 5 см, заканчивается шейкой матки. Рядом располагается вход в уретру, ведущую в мочевой пузырь.
При гормональном обследовании уровень тестостерона на фоне стандартного стимуляционного теста хорионическим гонадотропином — 9,5 нмоль/л; уровень АМГ — 115 нг/мл, эстрадиола — 17 пг/мл.
В ходе лапароскопии правая гонада была удалена. Проведена сепарация левой гонады по линии соединительнотканной перегородки с удалением тестикулярного компонента гонады. Проведена био псия овариального отсека левой гонады.
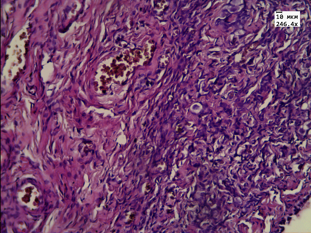
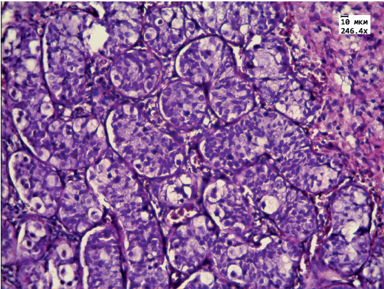
Гистологическое исследование интраоперационного материала гонад показало наличие ткани яичка и яичника, разделенных фиброзной прослойкой. Ткань яичника фиброзирована, деление на корковый и мозговой слой нечеткое. В корковом слое определяются примордиальные фолликулы с выраженными дистрофическими изменениями (рис. 1, на цв. вклейке). Ткань яичка разбита на дольки фиброзными прослойками, единичные микрокальцинаты. В эпителии канальцев резко выраженные дистрофические и пролиферативные изменения: увеличение размеров клеток, ядер, гиперхромия ядер. Клетки сперматогенного эпителия располагаются хаотично и находятся в разной степени зрелости. Обращают на себя внимание крупные клетки с четко определяемым ядром и наличием в нем ядрышек — половые клетки (рис. 2, на цв. вклейке). Такое строение сперматогенного эпителия соответствует организации, характерной для антенатального периода [4].
Рис. 1. Микроскопическая картина ткани яичника: диф- ференцировка на корковый и мозговой слой, в корковом слое примордиальные фолликулы с дистрофическими изменениями. Окраска гематоксилином и эозином, ув. 250.
Рис. 2. Микроскопическая картина ткани яичка: эпителий канальцев незрелый, с дистрофическими и пролифера- тивными изменениями. Окраска гематоксилином и эозином, ув. 250.
FISH-анализ с набором ДНК-зондов, специфичных к центромерным районам хромосом Х (DXZ1) и Y (DYZ3), был выполнен на интраоперационном материале гонад. При анализе интерфазных ядер в препаратах из некультивированных клеток овотестикулярной гонады выявлено по 1 копии последовательности, специфичной центромерному району хромосом X и Y. Подтвержден мужской кариотип, числовых отклонений по хромосомам X и Y не выявлено. Молекулярно-генетическая диагностика была проведена в Институте детской эндокринологии ЭНЦ в рамках программы «Альфа-Эндо» методом параллельнорго секвенирования на панели генов нарушения формирования пола; на данный момент генетическая причина заболевания не установлена.
На основании результатов проведенного обследования был выставлен диагноз: 46,XY, овотестикулярное нарушение формирования пола. В ходе клинического консилиума с участием родителей было принято решение о воспитании ребенка в женском поле.
На основании результатов гистологического исследования было принято решение о проведении гонадэктомии с последующим проведением заместительной терапии в период полового созревания.
Обсуждение
Основанием для выбора женского пола воспитания у данного пациента явились фенотипическое строение наружных гениталий, хорошее развитие мюллеровых структур — матки, влагалища, определяющих возможность адаптации ребенка в период полового созревания на фоне проведения заместительной терапии. Овотестикулярные гонады пациента имели типичное макроскопическое строение: каждая гонада состояла из двух компонентов, четко разделенных между собой соединительнотканной перегородкой. Выброс тестостерона в ответ на стимуляцию хориогонином свидетельствовал о частично сохранной функции клеток Лейдига. Источником высокого уровня АМГ можно считать незрелые примордиальные фолликулы [5].
Согласно данным литературы [6—8], сохранение овариальных частей гонад у девочек с ОТ-НФП определяет возможность самостоятельного пубертата. Пациентки с овотестис могут иметь нормально развитые молочные железы, менструировать. Возможность сохранения овариальных компонентов определяется гистологическим строением гонады — присутствием дифференцированной овариальной ткани, овариальных фолликулов различной степени зрелости. Недифференцированные гонады подлежат обязательному удалению в связи с высоким риском их малигнизации.
С целью определения оптимальной тактики на первом этапе хирургического лечения была проведена сепарация правой гонады с удалением дисгенетического тестикулярного компонента, биопсией овариальной ткани и последующими диагностическими исследованиями на материале гонад. Для исключения скрытого гоносомного мозаицизма было проведено молекулярно-цитогенетическое исследование методом FISH-диагностики, в результате которого числовых отклонений по половым хромосомам не выявлено, подтвержден мужской кариотип. Развитие овотестис при кариотипе XY является редким вариантом ОТ-НФП. В 2009 г. D. Wilhelm и L. Washburn [9] показали, что развитие овотестикулярной гонады у XY-особей прослеживалось в тех случаях, когда экспрессия тестикул детерминирующих генов (SRY, SOX 9) была недостаточной для подавления овариального пути развития.
Результаты гистологического исследования гонад нашего пациента показали наличие незрелой тестикулярной ткани с выраженными пролиферативными изменениями, микрокальцинатами. В ткани яичника отсутствовало четкое деление на корковое и мозговое вещество. Примордиальные фолликулы, определяемые в овариальной части гонады, имели выраженные дистрофические изменения. На основании этих данных было принято решение о проведении гонадэктомии.
Заключение
Выбор пола у пациента с ОТ-НФП проводился на основании совокупности данных: фенотипического строения гениталий, функционального состояния гонад, возможностей хирургической коррекции и перспективы адаптации пациента в период полового созревания. Хирургическую тактику для пациента с овотестикулярным нарушением формирования пола определило морфологическое строение и степень зрелости структурных компонентов овотестикулярной гонады.
ДОПОЛНИТЕЛЬНАЯ ИНФОРМАЦИЯ
Согласие пациента. Мать пациента добровольно подписала информированное согласие на публикацию медицинской информации о ребенке в обезличенной форме в журнале «Проблемы эндокринологии».
Конфликт интересов. Авторы декларируют отсутствие явных и потенциальных конфликтов интересов, связанных с публикацией настоящей статьи.
Список литературы
1. Ludbrook LM, Bernard P, Bagheri-Fam S, et al. Excess DAX1 leads to XY ovotesticular disorder of sex development (DSD) in mice by inhibiting steroidogenic factor-1 (SF1) activation of the testis enhancer of SRY-box-9 (Sox9). Endocrinology. 2012;153(4):1948-1958. doi: 10.1210/en.2011-1428
2. Ledig S, Hiort O, Wunsch L, Wieacker P. Partial deletion of DMRT1 causes 46,XY ovotesticular disorder of sexual development. Eur J Endocrinol. 2012;167(1):119-124. doi: 10.1530/EJE-12-0136
3. Lee PA, Houk CP, Ahmed SF, et al. Consensus statement on management of intersex disorders. International Consensus Conference on Intersex. Pediatrics. 2006;118(2):e488-e500. doi: 10.1542/peds.2006-0738
4. McLachlan RI, Rajpert-De Meyts E, Hoei-Hansen CE, et al. Histological evaluation of the human testis—approaches to optimizing the clinical value of the assessment: mini review. Hum Reprod. 2007;22(1):2-16. doi: 10.1093/humrep/del279
5. Kuiri-Hänninen T. Postnatal hypothalamic-pituitary-gonadal axis activation (i.e., minipuberty) in full-term and preterm infants:longitudinal assessment of hormone levels and target tissue effects. [dissertation]. Clinical Medicine Dissertation University of Eastern Finland; 2015.
6. Verkauskas G, Jaubert F, Lortat-Jacob S, et al. The long-term followup of 33 cases of true hermaphroditism: a 40-year experience with conservative gonadal surgery. J Urol. 2007;177(2):726-731;discussion 731. doi: 10.1016/j.juro.2006.10.003
7. Hisamatsu E, Nakagawa Y, Sugita Y. Two cases of late-diagnosed ovotesticular disorder of sex development. APSP J Case Rep. 2013;4(3):40. PMC3863829
8. Raygorodskaya NY, Chernykh VB, Morozov DA, et al. A 3-year-old boy with ovotestes: gender reassignment and surgical management. J Pediatr Endocrinol Metab. 2011;24(7-8):587-589.
9. Wilhelm D, Washburn LL, Truong V, et al. Antagonism of the testis- and ovary-determining pathways during ovotestis development in mice. Mech Dev. 2009;126(5-6):324-336. doi: 10.1016/j.mod.2009.02.006
Об авторах
Надежда Юрьевна РайгородскаяФГБУ ВО «Саратовский государственный медицинский университет им. В.И. Разумовского» Минздрава России
Россия
д.м.н.
Нина Викторовна Болотова
ФГБУ ВО «Саратовский государственный медицинский университет им. В.И. Разумовского» Минздрава России
Россия
д.м.н., профессор
Данил Анатольевич Жарков
ФГБУ ВО «Саратовский государственный медицинский университет им. В.И. Разумовского» Минздрава России
Россия
к.м.н.
Татьяна Васильевна Палатова
ФГБУ ВО «Саратовский государственный медицинский университет им. В.И. Разумовского» Минздрава России
Россия
Наталья Сергеевна Доровская
ГУЗ «Клинический перинатальный центр Саратовской области»
Россия
Дополнительные файлы
|
|
1. Рисунок 1. Микропрепарат ткани яичника | |
| Тема | ||
| Тип | Исследовательские инструменты | |
Посмотреть
(2MB)
|
Метаданные ▾ | |
|
|
2. Рисунок 2. Микропрепарат ткани яичка | |
| Тема | ||
| Тип | Исследовательские инструменты | |
Посмотреть
(2MB)
|
Метаданные ▾ | |
|
|
3. Рис. 1. Микроскопическая картина ткани яичника: диф- ференцировка на корковый и мозговой слой, в корковом слое примордиальные фолликулы с дистрофическими изменениями. Окраска гематоксилином и эозином, ув. 250. | |
| Тема | ||
| Тип | Исследовательские инструменты | |
Посмотреть
(631KB)
|
Метаданные ▾ | |
|
|
4. Рис. 2. Микроскопическая картина ткани яичка: эпителий канальцев незрелый, с дистрофическими и пролифера- тивными изменениями. Окраска гематоксилином и эозином, ув. 250. | |
| Тема | ||
| Тип | Исследовательские инструменты | |
Посмотреть
(648KB)
|
Метаданные ▾ | |
Рецензия
Для цитирования:
Райгородская Н.Ю., Болотова Н.В., Жарков Д.А., Палатова Т.В., Доровская Н.С. Овотестикулярное нарушение формирования пола у пациента с кариотипом 46,XY. Проблемы Эндокринологии. 2017;63(3):201-203. https://doi.org/10.14341/probl2017633201-203
For citation:
Raygorodskaya N.Y., Bolotova N.V., Jarkov D.A., Palatova T.V., Dorovskaya N.S. Ovotesticular disorder of sexual development in a patient with 46,XY karyotype. Problems of Endocrinology. 2017;63(3):201-203. https://doi.org/10.14341/probl2017633201-203
Контент доступен под лицензией Creative Commons Attribution-NonCommercial-NoDerivatives 4.0 International License (CC BY-NC-ND 4.0).




































.jpg)

