Ovotesticular disorder of sexual development in a patient with 46,XY karyotype
https://doi.org/10.14341/probl2017633201-203
Abstract
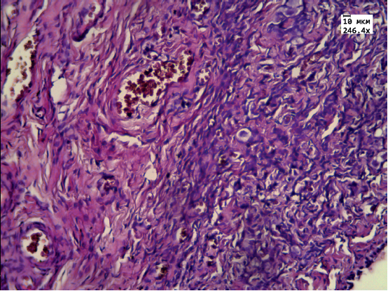
A 46,XY ovotesticular disorder of sexual development is a rare variant of pathological gonadal differentiation. A 15-month-old patient had ambiguous external genitalia, no palpable gonads, and the 46,XY karyotype. The uterus was detected by imaging of the lesser pelvis. Gonads resided on the fallopian tubes and macroscopically resembled ovotestes: each gonad consisted of two compartments separated by a connective tissue interlayer. Histological examination showed that one gonadal portion consisted for ovarian tissue, was differentiated into the cortical and medullary matter, and contained primordial follicles with pronounced dystrophic changes. The remaining portions consisted of immature tubular epithelium with proliferative cellular changes. The decision about bringing up as a female with possible adaptation during puberty was justified in this case. The surgical approach was selected on the basis of histological examination and a decision on performing gonadectomy was made.
About the Authors
Nadezda Y. RaygorodskayaV.I. Razumovskiy Saratov State Medical University
Russian Federation
MD, PhD
Nina V. Bolotova
V.I. Razumovskiy Saratov State Medical University
Russian Federation
MD, PhD, Professor
Danil A. Jarkov
V.I. Razumovskiy Saratov State Medical University
Russian Federation
MD, PhD
Tatyana V. Palatova
V.I. Razumovskiy Saratov State Medical University
Russian Federation
Natalya S. Dorovskaya
Clinical Center of Perinatology
Russian Federation
References
1. Ludbrook LM, Bernard P, Bagheri-Fam S, et al. Excess DAX1 leads to XY ovotesticular disorder of sex development (DSD) in mice by inhibiting steroidogenic factor-1 (SF1) activation of the testis enhancer of SRY-box-9 (Sox9). Endocrinology. 2012;153(4):1948-1958. doi: 10.1210/en.2011-1428
2. Ledig S, Hiort O, Wunsch L, Wieacker P. Partial deletion of DMRT1 causes 46,XY ovotesticular disorder of sexual development. Eur J Endocrinol. 2012;167(1):119-124. doi: 10.1530/EJE-12-0136
3. Lee PA, Houk CP, Ahmed SF, et al. Consensus statement on management of intersex disorders. International Consensus Conference on Intersex. Pediatrics. 2006;118(2):e488-e500. doi: 10.1542/peds.2006-0738
4. McLachlan RI, Rajpert-De Meyts E, Hoei-Hansen CE, et al. Histological evaluation of the human testis—approaches to optimizing the clinical value of the assessment: mini review. Hum Reprod. 2007;22(1):2-16. doi: 10.1093/humrep/del279
5. Kuiri-Hänninen T. Postnatal hypothalamic-pituitary-gonadal axis activation (i.e., minipuberty) in full-term and preterm infants:longitudinal assessment of hormone levels and target tissue effects. [dissertation]. Clinical Medicine Dissertation University of Eastern Finland; 2015.
6. Verkauskas G, Jaubert F, Lortat-Jacob S, et al. The long-term followup of 33 cases of true hermaphroditism: a 40-year experience with conservative gonadal surgery. J Urol. 2007;177(2):726-731;discussion 731. doi: 10.1016/j.juro.2006.10.003
7. Hisamatsu E, Nakagawa Y, Sugita Y. Two cases of late-diagnosed ovotesticular disorder of sex development. APSP J Case Rep. 2013;4(3):40. PMC3863829
8. Raygorodskaya NY, Chernykh VB, Morozov DA, et al. A 3-year-old boy with ovotestes: gender reassignment and surgical management. J Pediatr Endocrinol Metab. 2011;24(7-8):587-589.
9. Wilhelm D, Washburn LL, Truong V, et al. Antagonism of the testis- and ovary-determining pathways during ovotestis development in mice. Mech Dev. 2009;126(5-6):324-336. doi: 10.1016/j.mod.2009.02.006
Supplementary files
|
|
1. Рисунок 1. Микропрепарат ткани яичника | |
| Subject | ||
| Type | Исследовательские инструменты | |
View
(2MB)
|
Indexing metadata ▾ | |
|
|
2. Рисунок 2. Микропрепарат ткани яичка | |
| Subject | ||
| Type | Исследовательские инструменты | |
View
(2MB)
|
Indexing metadata ▾ | |
|
|
3. Рис. 1. Микроскопическая картина ткани яичника: диф- ференцировка на корковый и мозговой слой, в корковом слое примордиальные фолликулы с дистрофическими изменениями. Окраска гематоксилином и эозином, ув. 250. | |
| Subject | ||
| Type | Исследовательские инструменты | |
View
(631KB)
|
Indexing metadata ▾ | |
|
|
4. Рис. 2. Микроскопическая картина ткани яичка: эпителий канальцев незрелый, с дистрофическими и пролифера- тивными изменениями. Окраска гематоксилином и эозином, ув. 250. | |
| Subject | ||
| Type | Исследовательские инструменты | |
View
(648KB)
|
Indexing metadata ▾ | |
Review
For citations:
Raygorodskaya N.Y., Bolotova N.V., Jarkov D.A., Palatova T.V., Dorovskaya N.S. Ovotesticular disorder of sexual development in a patient with 46,XY karyotype. Problems of Endocrinology. 2017;63(3):201-203. https://doi.org/10.14341/probl2017633201-203
This work is licensed under a Creative Commons Attribution-NonCommercial-NoDerivatives 4.0 International License (CC BY-NC-ND 4.0).




































.jpg)

