Перейти к:
Костно-суставные структурные нарушения при акромегалии
https://doi.org/10.14341/probl9305
Аннотация
Повышенные концентрации соматотропного гормона (СТГ) и инсулиноподобного фактора роста 1 (ИФР-1) в сыворотке крови у пациентов с акромегалией приводят к интенсификации костного обмена, о чем свидетельствуют увеличение уровня маркеров костного ремоделирования и возрастание риска низкотравматических переломов тел позвонков. Однако неоднократно отмечено, что минеральная плотность кости (МПК) при акромегалии (в том числе в активной стадии заболевания) остается нормальной или даже возрастает. Повышенная секреция СТГ/ИФР-1 вызывает структурные изменения позвонков и периферических суставов (образование остеофитов и гипертрофия суставного хряща), приводя к болевому синдрому и разнообразным деформациям суставного аппарата. Эти изменения объединяются под названием «акромегалическая артропатия». Она представляет собой достаточно специфическое осложнение заболевания. Скелетные осложнения акромегалии могут сохраняться и после радикального лечения, т.е. их течение и прогрессирование, по-видимому, не обязательно зависят от степени ремиссии основного заболевания. В данном обзоре суммированы современные представления о патофизиологии, клинике, диагностике и лечении костно-суставных осложнений акромегалии.
Ключевые слова
Для цитирования:
Цориев Т.Т., Белая Ж.Е. Костно-суставные структурные нарушения при акромегалии. Проблемы Эндокринологии. 2018;64(2):121-129. https://doi.org/10.14341/probl9305
For citation:
Tsoriev T.T., Belaya Zh.E. Bone and joint structural impairments in acromegaly. Problems of Endocrinology. 2018;64(2):121-129. https://doi.org/10.14341/probl9305
Акромегалия — хроническое прогрессирующее заболевание, вызываемое СТГ-продуцирующей аденомой гипофиза, что сопровождается увеличением концентрации гормона роста (СТГ) и инсулиноподобного фактора роста-1 (ИФР-1) [1]. Костно-суставные нарушения являются одним из ключевых осложнений акромегалии, значительно ухудшающих качество жизни в активной стадии заболевания и в ряде случаев сохраняющихся при достижении ремиссии акромегалии [2].
Скелет — динамическая ткань с непрерывно происходящими процессами ремоделирования: резорбции костной ткани остеокластами и последующим костеобразованием, когда новая кость продуцируется остеобластами [3, 4]. Нарушения баланса костного обмена или отдельных составляющих костного ремоделирования приводят к нарушению костной прочности и переломам, которые становятся причиной инвалидности и повышают риск летального исхода [5]. При акромегалии очень часто нарушаются и функции суставного аппарата: у 50—70% пациентов артропатия является одним из ключевых симптомов при диагностике. Распространенность артропатии у пациентов с акромегалией в 4—12 раз выше, чем в общей популяции [6].
Биологические эффекты соматотропного гормона
СТГ и ИФР-1 — важные регуляторы гомеостаза костной и хрящевой ткани, играющие центральную роль в процессе нормального роста кости в длину и прироста костной массы. СТГ стимулирует остеобластогенез и пролиферацию остеобластов через влияние на дифференцировку мезенхимальной клетки-предшественника. В культурах клеток СТГ также стимулирует хондрогенез и препятствует адипогенезу [7]. Помимо влияния на дифференцировку остеобластов, СТГ прямо и опосредованно (через ИФР-1) стимулирует активность зрелых остеобластов, карбоксилирование остеокальцина (маркера функции остеобластов) и продукцию остеопротегерина в костном матриксе [7]. СТГ и ИФР-1 могут стимулировать и костную резорбцию путем вовлечения в процесс цитокинов, таких как интерлейкин-6 (ИЛ-6), лиганд рецептора, активирующего ядерный фактор-κB (RANKL), и фактор некроза опухоли-альфа (ФНО-α) [7].
Согласно некоторым экспериментальным исследованиям [8], реализация анаболического эффекта СТГ требует участия механорецепторов, т.е. эффект проявляется только в условиях механической нагрузки, а на уровне ДНК обусловливается эстрогенами (см. рисунок).
Механизм реализации анаболических эффектов СТГ и ИФР-1 в костной ткани через механорецепторы и эстрогены.
α, β — субъединицы белков-интегринов; ЕРα — α-субъединица эстрогеновых рецепторов; FAK, Ras, Raf, MEK, ERK1/2 — элементы сигнального пути MAPK/ERK; Е2 — эстрадиол; P — фосфатный остаток. Интегрины совместно с рецепторами к ИФР-1 запускают каскад внутриклеточных реакций, включая активацию сигнального пути MAPK/ERK (митогенактивируемая протеинкиназа/киназа, регулируемая внеклеточным сигналом) и затем эстрогеновых рецепторов. В присутствии эстрадиола механическая нагрузка вызывает фосфорилирование эстрогеновых рецепторов ERK-1 и ERK-2, приводящее как к классической активации транскрипции генов внутри ядра, так и к участию эстрогеновых рецепторов во внеклеточной передаче сигналов. Эстрадиол и механическая нагрузка регулируют экспрессию генов ИФР-1 и ИФР-2, воздействующих аутокринным или паракринным образом на рецепторы ИФР-1, которые в свою очередь требуют наличия эстрогеновых рецепторов для проведения сигнала. Таким образом, анаболический эффект СТГ в костной ткани при механической нагрузке реализуется через увеличение секреции ИФР-1 с активным вовлечением в процесс эстрогенов (в частности эстрадиола, и эстрогеновых рецепторов).
Остеопороз и низкотравматические переломы при акромегалии
Диагностика остеопороза при акромегалии
Лучевая диагностика (денситометрия)
В клинической практике основой диагностики остеопороза и прогнозирования риска переломов является измерение минеральной плотности кости (МПК) в поясничном отделе позвоночника, проксимальном отделе бедра и шейке бедренной кости с помощью двухэнергетической рентгеновской абсорбциометрии (DXA) [9, 10]. Диагностика остеопороза, согласно критериям ВОЗ, основана на сравнении МПК пациента со средней МПК у молодых взрослых женщин (20—30 лет) с поправкой на расовую принадлежность. T-критерий ≤–2,5 SD в бедре или позвоночнике позволяет диагностировать остео пороз, тогда как Т-критерий между –1,0 и –2,5 SD соответствует остеопении [9, 11]. Однако это определение применимо лишь для женщин в постменопаузе и мужчин старше 50 лет. Для более молодых людей Z-критерий (т.е. число стандартных отклонений от значений у сопоставимых по возрасту контрольных лиц) –2,0 или ниже характеризует МПК как «ниже ожидаемой по возрасту» [9]. Так как акромегалия часто развивается у мужчин моложе 50 лет и женщин в пременопаузе, у пациентов этой категории диагноз остеопороза не может быть установлен лишь на основании МПК.
Данные о МПК у пациентов с акромегалией значительно разнятся, причем сообщения о низких показателях МПК достаточно редки [12]. В большинстве публикаций приводятся сведения о повышенной [13—15] или неизмененной [16—19] МПК. Разброс данных может объясняться несколькими факторами. Прежде всего пациенты с акромегалией часто страдают остеоартрозом со структурными изменениями позвонков (образование остеофитов и гипертрофия поперечных отростков дуг позвонков), что может завышать значения МПК в поясничном отделе позвоночника [20]. Существует концепция преимущественного воздействия избыточного количества СТГ на содержание минерального компонента, а не на объем костной ткани [13—19]. Интересно, что «анаболическое» действие проявлялось только в кортикальной костной ткани, тогда как трабекулярная микроархитектоника под влиянием избытка СТГ ухудшалась [7, 21]. Метаанализ основных клинических исследований о влиянии акромегалии на костную ткань обнаружил более высокую МПК именно в шейке бедра (т.е. в участке, богатом кортикальной костной тканью) [22]. Возможно, плотность кортикальной кости возрастает вследствие стимулирующего воздействия СТГ на процесс периостальной оссификации [7, 23].
Другой потенциально влияющий на МПК при акромегалии фактор — половой статус [24]. Как правило, у пациентов с гипогонадизмом МПК ниже, чем у пациентов с нормальной функцией гонад. Различия отмечались преимущественно в поясничном отделе позвоночника [15, 24, 25], тогда как влияние гипогонадизма на шейку бедра было менее очевидным [18, 26]. Эти данные согласуются с концепцией, согласно которой гипогонадизм сам по себе влия ет в основном на микроархитектонику трабекулярной кости, которая в значительной степени представлена в позвонках; в кортикальной же кости, хорошо выраженной в шейке бедра, его эффекты менее заметны.
Активно исследуются альтернативные методы оценки повышенной склонности к переломам. Так, применялись количественная ультразвуковая денситометрия (КУД), периферическая количественная компьютерная томография высокого разрешения (пККТ-ВР) или измерение трабекулярного костного индекса с помощью DXA [27, 28]. Надежность этих методов в отношении прогнозирования риска низкотравматических переломов при акромегалии недостаточно подтверждена и продолжает изу чаться. Использование пККТ-ВР позволило еще раз подтвердить специфическое негативное действие акромегалии в активной стадии на состояние трабекулярной кости; плотность кортикальной кости, наоборот, повышалась [21].
Лабораторная диагностика (биохимические показатели)
Первичные гистоморфометрические исследования продемонстрировали активацию костного ремоделирования при избытке СТГ [7]. Маркеры костеобразования и костной резорбции также повышаются у пациентов с активной акромегалией. Как правило, костная резорбция усиливалась в большей степени, чем костеобразование, особенно у пациентов с активной акромегалией [29, 30], и это считается одной из причин вторичного остеопороза у таких пациентов.
Кроме того, при активной форме заболевания часто отмечаются нарушения кальциево-фосфорного обмена, такие как мягкая гиперфосфатемия, тенденция к повышению уровня кальция в сыворотке и моче [31]. Гиперкальциурия, наблюдаемая у пациентов с акромегалией, в типичных случаях связана с повышенной абсорбцией кальция в кишечнике, регулируемой кальцитриолом, а также с повышенным костным обменом, индуцированным избытком СТГ [31]. Таким образом, гиперкальциурия может считаться, хотя бы отчасти, маркером склонности к переломам. Повышенные концентрации фосфора в плазме объясняются как усиленной кальцитриол-стимулированной абсорбцией фосфора из пищи, так и прямым антифосфатурическим действием ИФР-1 в проксимальных почечных канальцах. Кроме того, избыточная продукция СТГ и ИФР-1, вероятно, обусловливает резистентность к фактору роста фибробластов 23 (ФРФ-23), продуцируемому остеоцитами [32].
Риск переломов при акромегалии
Поскольку при акромегалии редко отмечалась низкая МПК, длительно считалось, что избыток СТГ не способствует развитию вторичного остеопороза и повышению риска переломов [33]. Эта гипотеза подтверждалась и отсутствием данных об увеличении распространенности зарегистрированных переломов у пациентов с акромегалией [34]. Вместе с тем только 30—50% переломов тел позвонков распознаются клинически [35], что делает рентгенологический и морфометрический подходы методами выбора для оценки истинной распространенности и частоты переломов в популяционных исследованиях [27]. Используя такой подход, S. Bonadonna и соавт. [13] впервые указали на связь между акромегалией и повышением распространенности переломов тел позвонков. Это открытие было подтверждено другими одномоментными исследованиями [14, 36, 37]. В последнее время два независимых проспективных исследования позволили точно установить, что пациенты с акромегалией имеют высокий риск переломов тел позвонков [16, 38]. Переломы позвонков были отмечены у 42% пациентов при 3-летнем периоде наблюдения, их распространенность зависела от длительности активной стадии заболевания [16]. Прогрессирование позвоночных переломов происходило также у 20% пациентов с биохимически контролируемой (по данным гормональных анализов) или хирургически леченной акромегалией. Таким образом переломы тел позвонков происходят не только в активной стадии болезни. Наивысший риск их развития наблюдается у пациентов с предшествующими переломами тел позвонков, нелеченым гипогонадизмом, а также у мужчин [16, 38]. Переломы позвонков чаще происходят в грудном отделе [38], вероятно, вследствие частого развития при акромегалии гиперкифоза. У пациентов с гипогонадизмом наблюдалась более высокая встречаемость переломов позвонков, чем при нормогонадотропном состоянии [14, 36]. Значительная доля переломов была ассоциирована с высокими сывороточными уровнями ИФР-1 и большей длительностью активной стадии заболевания [13, 14], хотя высокая частота переломов наблюдалась даже среди пациентов в состоянии длительной ремиссии акромегалии [36]. Любопытно, что переломы позвонков фиксировались и у пациентов с нормальной МПК [13, 14, 36] и предполагавшимся (согласно алгоритму FRAX) очень низким риском переломов [37].
Риск переломов тел позвонков у пациентов в активной стадии акромегалии приблизительно в 3 раза превышает таковой у лиц с контролируемым заболеванием (ОШ 3,35; 95% ДИ 1,61—6,96). При этом у некоторых пациентов с контролируемой акромегалией риск переломов тел позвонков оставался высоким, несмотря на нормализацию секреции СТГ, что, вероятно, объясняется сопутствующими факторами риска переломов, такими как нелеченый гипогонадизм и предшествующие переломы тел позвонков [16, 38].
Таким образом, пациенты с акромегалией имеют повышенный риск переломов тел позвонков, в большей степени в активной стадии заболевания, несмотря на нормальную или даже повышенную МПК. Однако повышенный риск переломов сохраняется и при достижении ремиссии заболевания.
Мониторирование и лечение вторичного остеопороза при акромегалии
В первом консенсусе по диагностике и лечению осложнений акромегалии, опубликованном в 2003 г., измерение МПК с помощью денситометрии было рекомендовано только при сопутствующем гипогонадизме [39]. В 2013 г. в пересмотренных рекомендациях подчеркивалось, что переломы позвонков могут происходить у пациентов с акромегалией вне зависимости от МПК. Это затрудняет выявление лиц с риском таких переломов тел позвонков, вследствие чего для диагностики переломов в подобной клинической ситуации рекомендуется боковая рентгенография грудного и поясничного отделов позвоночника [40]. Однако рентгенография была рекомендована лишь при болях в позвоночнике. Следует отметить, что предшествующие переломы тел позвонков, даже бессимптомные, могут предрасполагать к переломам в дальнейшем как при акромегалии [16, 38], так и в общей популяции [41]; переломы тел позвонков ассоциированы со сниженной выживаемостью [42], повышенным риском низкотравматических переломов в будущем [43] и ухудшением качества жизни [44]. Переломы позвонков в грудном отделе могут снижать жизненную емкость легких, что сказывается на сердечно-легочной деятельности [45]. В связи с этим для выявления компрессионных переломов у пациентов с акромегалией оправдано проведение боковой рентгенографии грудного и поясничного отделов позвоночника, несмотря на неустановленную экономическую эффективность такого скрининга. Существующие рекомендации не содержат точных указаний на сроки повторной рентгенографии позвоночника [37]. Исходя из данных проспективных исследований [16, 38], мы считаем обоснованным проведение рентгенографии позвоночника каждые 18—24 мес у пациентов с акромегалией и наличием риска развития переломов позвонков (т.е. у пациентов с активной стадией заболевания и/или нелеченым гипогонадизмом, и/или предшествующими переломами тел позвонков). Одобрение Управления по контролю за качеством пищевых продуктов и лекарственных препаратов США (FDA) получила лишь рентгенологическая оценка переломов позвонков [46], но не денситометрия. В клинической практике возможно применение полуколичественной оценки позвонков по боковому денситометрическому изображению у пациентов со снижением МПК в поясничных позвонках <–1,0 SD по Т-критерию. В том случае, если позвонки не могут быть удовлетворительно визуализированы или имеются их деформации, необходима стандартная рентгенография с целью исключения бессимптомных переломов и уточнения кандидатов для терапевтического вмешательства [47, 48].
В ходе лечения акромегалии снижение/нормализация уровней СТГ и ИФР-1, как правило, сопровождается нормализацией костного обмена [22]. Поэтому максимально раннее достижение ремиссии акромегалии может предупредить развитие переломов. Однако радикальные методы лечения (нейрохирургия и радиохирургия) у некоторых пациентов чреваты развитием гипопитуитаризма и дефицита СТГ, что отрицательно сказывается на состоянии костей [49, 50]. С другой стороны, у некоторых пациентов с хорошо контролируемой акромегалией или даже при полной ее ремиссии могут по-прежнему происходить переломы, связанные с другими факторами риска. Таким образом, помимо лечения самой акромегалии, важно корректировать и другие потенциальные факторы риска переломов, в особенности гипогонадизм, а также дефицит витамина D, избыточную заместительную терапию надпочечниковой недостаточности и гипотиреоза [40, 51, 52]. У пациентов с имеющимися переломами тел позвонков лечение акромегалии и коррекция модифицируемых факторов риска могут оказаться недостаточными для предотвращения новых переломов. Наконец, некоторые пациенты с акромегалией страдают от костных осложнений при полной нормализации секреции СТГ и адекватной функции гипофиза после оперативного вмешательства. Не исключено, что даже временный избыток СТГ может вызывать стойкие изменения в костной ткани.
Таким образом, главным в лечении вторичного остеопороза при акромегалии является компенсация основного заболевания. Вместе с тем при наличии низкотравматических переломов, а также при гипогонадизме (включая постменопаузу и возрастные сдвиги у мужчин) может быть оправдано назначение препаратов для лечения остеопороза (бисфосфонаты, деносумаб, терипаратид). Надежные данные об эффективности таких препаратов в плане предотвращения переломов при акромегалии пока отсутствуют.
Акромегалическая болезнь суставов
Фенотип и патофизиологические процессы
Предполагается существование двух фаз патогенеза акромегалической артропатии. В первой фазе повышенные уровни СТГ и ИФР-1 приводят к гипертрофии хрящей и чрезмерной растяжимости околосуставных связок, что проявляется ограничением амплитуды движений. В этой фазе рентгенологически отмечается расширение суставной щели и гипертрофия околосуставных мягких тканей. При адекватном лечении ранняя стадия считается частично обратимой [53]. Однако при персистенции избытка СТГ заболевание приобретает черты дегенеративного процесса: формируются рубцовые тяжи, кисты и остеофиты с дальнейшим ухудшением суставной архитектоники. На этой поздней фазе изменения становятся необратимыми и, вероятно, СТГ-независимыми, так что лечение акромегалии лишь ограничивает степень проявлений суставных симптомов.
Диагностика акромегалической артропатии
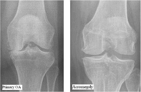
Стандартная рентгенография по-прежнему остается рекомендуемой визуализирующей методикой для оценки структурных изменений при остеоартрозе. Применяются различные инструменты и стандартизованные атласы для полуколичественного анализа признаков остеоартроза в каждом суставном компартменте [54]. Примеры таких методов — критерий OARSI (Международного общества по изу чению остеоартроза) [55], оценивающий сужение суставной щели (ССЩ) и отдельно — наличие остео фитов, а также критерий Келлгрена—Лоуренса [56] — суставной показатель, учитывающий и образование остеофитов, и сужение суставной щели. В отсутствие специфической системы классификации для акромегалической артропатии предлагается использование классификации OARSI из-за возможности раздельного учета наличия остеофитов и ССЩ как независимых диагностических критериев [57]. Однако важным ограничением этих неспецифических классификаций является отсутствие в них признака, с наибольшей вероятностью отражающего тяжесть акромегалической артропатии, — расширения суставной щели.
Таким образом, акромегалическая артропатия характеризуется тяжелым остеофитозом, но суставные щели скорее расширены, чем сужены, тогда как преобладающий признак при первичном остеоартрозе — ССЩ. Избыток СТГ предохраняет от потери хрящевой ткани, что проявляется стойкой гипертрофией хряща. Хотя некоторые УЗ-исследования демонстрируют частичную обратимость расширения суставной щели после терапии аналогами соматостатина [56], характерный рентгенологический фенотип акромегалической артропатии у большинства пациентов сохраняется и после достижения биохимического контроля заболевания [6, 57]. Вместе с тем у небольшой подгруппы пациентов наблюдались противоположные изменения (ССЩ) [58]. У этих пациентов суставные симптомы были особенно выраженными. Отмечена ассоциация ССЩ с продолжающимся избыточным воздействием СТГ/ИФР-1 и временем до проведения хирургического лечения.
K. van’t Klooster и соавт. [59] описали количественный полуавтоматизированный метод анализа рентгенограмм кисти, достаточно чувствительный для сопоставления ширины суставной щели с маркерами активности акромегалии. Благодаря этой особенности метод способен полностью характеризовать эффекты предшествовавшего избытка СТГ на суставной хрящ, включая измерение расширения суставной щели. С помощью нового метода были впервые обнаружены количественные различия в ширине суставной щели между пациентами с акромегалией и контрольными лицами. Более чувствительные визуализирующие методики, такие как МРТ, могут быть полезны для мониторирования прогрессирования суставных изменений у пациентов с акромегалией, а также позволяют составить детальную количественную характеристику патологических изменений хрящевой ткани.
Клиническая картина
Основной жалобой пациентов с акромегалической артропатией является боль и/или ригидность суставов. Рентгенологически остеоартроз более чем в одном суставе обнаруживается у 99% пациентов, прежде всего в позвоночнике и тазобедренных суставах [6]. При этом далеко не все пациенты предъявляли жалобы, соответствующие рентгенологической картине, и поэтому установке диагноза данные рентгенографии должны дополняться клинической симптоматикой. При оценке клинических симптомов остеоартроза могут быть приняты во внимание наличие боли, функциональное состояние сустава, ригидность и качество жизни. Боль может быть оценена по визуальной аналоговой шкале (VAS) или болевым подшкалам на основе стандартизованных опросников, таких как самостоятельно заполняемый Индекс Университета Макмастера Западного Онтарио (WOMAC) для остеоартроза тазобедренного сустава [60] и Австралийско-Канадский Индекс (AUSCAN) для остеоартроза лучезапястного сустава [61].
Другой способ ранжирования клинического остеоартроза — использование критериев Американского колледжа ревматологии (ACR) [62]. Так как суставные жалобы у лиц с первичным остеоартрозом и акромегалией схожи, эти методы могут быть полезны для количественной оценки и последующего наблюдения при акромегалической артропатии.
Акромегалическая артропатия ассоциирована с хорошо известными факторами риска первичного остеоартроза: женский пол, пожилой возраст в момент диагностики и повышенный ИМТ (последнее подразумевает важность контроля массы тела у этих пациентов) [63]. Более того, некоторые исследования учитывают специфичные для акромегалии факторы риска: длительность активной стадии болезни, ее тяжесть, уровни СТГ и ИФР-1 до начала лечения. R. Dons и соавт. [64] зафиксировали связь повышенных уровней базального СТГ и течения артропатии. Кроме того, риск артропатии был повышен у пациентов с высокими значениями ИФР-1 в момент диагностики и у пациентов с полиморфизмом гена рецептора СТГ (рСТГ с делецией экзона 3 – d3-GHR), который ассоциируется с усиленной ответной реакцией на СТГ [65, 66]. Другие исследования [67, 68], напротив, не обнаруживали связи между уровнями ИФР-1 до лечения и артропатией. Противоречия могут быть связаны с различиями в дизайне исследований, неоднородностью групп пациентов, длительностью ремиссии и методами стратификации остеоартроза.
Информация о течении акромегалической артропатии у пациентов в состоянии ремиссии остается скудной. Несмотря на длительный биохимический контроль заболевания, более чем у 70% пациентов остеофитоз прогрессирует [69]. Максимальная частота рентгенологической прогрессии была отмечена у пожилых пациентов и у пациентов с высокой активностью заболевания. Интересно, что у лиц, получавших медикаментозное лечение, болезнь суставов прогрессировала чаще, чем у перенесших нейрохирургическое вмешательство [69]. Так как секреция СТГ не всегда нормализуется в ходе лечения соматостатином, его продолжающаяся минимальная гиперсекреция, несмотря на нормальные уровни ИФР-1, может объяснить повышенную частоту прогрессирования артропатии у таких пациентов. Аналогичные данные получены и в отношении диастолической функции сердечной мышцы и качества жизни [70, 71]. Определить степень активности СТГ/ИФР-1 на тканевом уровне достаточно трудно.
Основываясь на этих результатах, можно заключить, что акромегалическая артропатия — прогрессирующая болезнь суставов, которая не прекращается и не излечивается полностью даже при удовлетворительном биохимическом контроле заболевания. Активность СТГ/ИФР-1, как оказалось, играет роль не только в начале развития артропатии, но и в поздней фазе прогрессирования остеоартроза.
Мониторирование и лечение артропатии
Перед установлением диагноза акромегалической артропатии очень важно исключить другую или сочетанную патологию суставов, а именно воспалительные и ревматические болезни, требующие принципиально иных подходов к лечению. Следует отметить, что ревматическая патология у пациентов с акромегалией встречается несколько реже, чем в популяции [72]. Оценка распространенности поражения суставов, рентгенологической тяжести и характеристик артропатии важна для определения прогноза заболевания. Ввиду отсутствия на данный момент чувствительных биомаркеров, доступных для мониторирования акромегалической артропатии, предлагается сосредоточиться на клиническом течении суставных нарушений, так как они напрямую связаны с ухудшением качества жизни. При неблагоприятном прогнозе с вовлечением ключевых суставов (межпозвонковых, тазобедренных, коленных, плечевых, локтевых, лучезапястных) первым методом терапии акромегалии является нейрохирургическое лечение, позволяющее максимально быстро добиться биохимического контроля заболевания. Оптимальное лечение акромегалической артропатии неизвестно; лекарственные средства, способные предотвратить возникновение остеоартроза или замедлить прогрессирование структурных изменений, отсутствуют. Краеугольным камнем лечения суставных осложнений акромегалии остается тщательный контроль секреции СТГ. Кроме того, показан прием анальгетиков и выполнение рекомендаций по коррекции образа жизни. Лечение остеоартроза остается симптоматическим и нацелено на адекватное обезболивание и поддержку или улучшение функции суставов. Способы медикаментозного лечения не отличаются от рекомендованных при первичном остеоартрозе, включая парацетамол и нестероидные противовоспалительные средства. В случае стойких тяжелых нарушений может быть применена реконструктивная хирургия. Роль физиотерапии, как и хондропротекторов, не изучена.
Заключение
Поскольку у большинства пациентов с акромегалией имеются суставные нарушения и возникают низкотравматические переломы (в частности, переломы тел позвонков), целесообразно включить в рутинное обследование 1 раз в 12 или 24 мес рентгенологическое исследование ключевых зон скелета (грудного и поясничного отделов позвоночника, хотя бы двух крупных суставов конечностей). Суррогатные диагностические и прогностические критерии оценки состояния опорно-двигательного аппарата и способы коррекции костно-суставных нарушений у пациентов с акромегалией вне зависимости от уровня ИФР-1 являются важными направлениями будущих исследований.
Дополнительная информация
Конфликт интересов. Авторы декларируют отсутствие явных и потенциальных конфликтов интересов, связанных с написанием данной обзорной статьи и ее публикацией.
Источники финансирования. Поисково-аналитическая работа выполнена при поддержке гранта Президента Российской Федерации для молодых ученых (МД-3204.2017.7).
Участие авторов: сбор материала, написание обзорной статьи, поиск и адаптация графических данных — Цориев Т.Т., поиск графических данных, редактирование — Белая Ж.Е.
Список литературы
1. Эндокринология. Российские клинические рекомендации./ Под ред. Дедова И.И., Мельниченко Г.А. — М.: ГЭОТАР-Медиа; 2016. [Dedov II, Mel’nichenko GA, editors. Endocrinology. Russian clinical guidelines. Moscow: GEOTAR-Media; 2016. (In Russ.)].
2. Colao A, Ferone D, Marzullo P, et al. Systemic complications of acromegaly: epidemiology, pathogenesis, and management. Endocr Rev. 2004;25(1):102-152. doi: 10.1210/er.2002-0022
3. Mazziotti G, Bilezikian J, Canalis E, et al. New understanding and treatments for osteoporosis. Endocrine. 2012;41(1):58-69. doi: 10.1007/s12020-011-9570-2
4. Гребенникова Т.А., Белая Ж.Е., Рожинская Л.Я., и др. Эпигенетические аспекты остеопороза. //Вестник Российской академии медицинских наук. — 2015. — Т. 70. — № 5. — C. 541-548. [Grebennikova TA, Belaya ZhE, Rozhinskaya LY, Mel’nichenko GA, Dedov II. Epigenetic aspects of osteoporosis. Vestnik Rossiyskoy Akademii Meditsinskikh Nauk. 2015;70(5):541-548. (In Russ.)]. doi: 10.15690/vramn.v70.i5.1440
5. Дедов И.И., Мельниченко Г.А., Белая Ж.Е., Рожинская Л.Я. Остеопороз — от редкого симптома эндокринных болезней до безмолвной эпидемии XX—XXI века. // Проблемы эндокринологии. — 2011. — Т. 57. — № 1. — С. 35-45. [Dedov II, Mel’nichenko GA, Belaya ZhE, Rozhinskaya LY. Osteoporosis: from a rare symptom of endocrine diseases to the tacit epidemic of XX—XXI centuries. Problemy Endokrinologii. 2011;57(1):35-45. (In Russ.)]. doi: 10.14341/probl201157135-45
6. Wassenaar MJ, Biermasz NR, van Duinen N, et al. High prevalence of arthropathy, according to the definitions of radiological and clinical osteoarthritis, in patients with longterm cure of acromegaly: a case-control study. Eur J Endocrinol. 2009;160(3):357-365. doi: 10.1530/EJE-08-0845
7. Giustina A, Mazziotti G, Canalis E. Growth hormone, insulin-like growth factors, and the skeleton. Endocr Rev.2008;29(5):535-559. doi: 10.1210/er.2007-0036
8. Lanyon L, Armstrong V, Ong D, Zaman G, Price J. Is estrogen receptor alpha key to controlling bones’ resistance to fracture? J Endocrinol. 2004;182(2):183-191. doi: 10.1677/joe.0.1820183
9. Schousboe JT, Shepherd JA, Bilezikian JP, et al. Executive summary of the 2013 International Society for Clinical Densitometry Position Development Conference on bone densitometry. J Clin Densitom. 2013;16(4):455-466. doi: 10.1016/j.jocd.2013.08.004
10. Цориев Т.Т., Белая Ж.Е., Мельниченко Г.А. Трабекулярный костный индекс – неинвазивный метод оценки качества костной ткани на основании рутинной двухэнергетической денситометрии. Перспективы использования в клинической практике. // Альманах клинической медицины. — 2016. — Т. 44. — № 4. — С. 462-476. [Tsoriev TT, Belaya ZhE, Mel’nichenko GA. Trabecular bone score — a non-invasive analytical method to evaluate bone quality based on routine dual-energy absorptiometry. Perspectives of its use in clinical practice. Almanaс of clinical medicine. 2016;44(4):462-476. (In Russ.)]. doi: 10.18786/2072-0505-2016-44-4-462-476
11. Мельниченко Г.А., Белая Ж.Е., Рожинская Л.Я. и др. Краткое изложение клинических рекомендаций по диагностике и лечению остеопороза Российской ассоциации эндокринологов. // Остеопороз и остеопатии. — 2016. — Т. 19. — № 3. — С. 28-36. [Melnichenko GA, Belaya ZhE, Rozhinskaya LY, et al. Summary of clinical guidelines for the diagnosis and treatment of osteoporosis of the Russian Association of Endocrinologists. Osteoporosis and osteopathy. 2016;19(3):28-36. (In Russ.)].
12. Longobardi S, Di Somma C, Di Rella F, et al. Bone mineral density and circulating cytokines in patients with acromegaly. J Endocrinol Invest. 1998;21(10):688-693. doi: 10.1007/bf03350799
13. Bonadonna S, Mazziotti G, Nuzzo M, et al. Increased prevalence of radiological spinal deformities in active acromegaly: a cross-sectional study in postmenopausal women. J Bone Miner Res. 2005;20(10):1837-1844. doi: 10.1359/JBMR.050603
14. Mazziotti G, Bianchi A, Bonadonna S, et al. Prevalence of vertebral fractures in men with acromegaly. J Clin Endocrinol Metab. 2008;93(12):4649-4655. doi: 10.1210/jc.2008-0791
15. Scillitani A, Chiodini I, Carnevale V, et al. Skeletal involvement in female acromegalic subjects: the effects of growth hormone excess in amenorrheal and menstruating patients. J Bone Miner Res. 1997;12(10):1729-1736. doi: 10.1359/jbmr.1997.12.10.1729
16. Mazziotti G, Bianchi A, Porcelli T, et al. Vertebral fractures in patients with acromegaly: a 3-year prospective study. J Clin Endocrinol Metab. 2013;98(8):3402-3410. doi: 10.1210/jc.2013-1460
17. Matsuyama J, Eshima N, Fukunaga T, et al. Various risks of osteoporosis in patients with pituitary adenomas. J Bone Miner Metab. 2003;21(2):91-97. doi: 10.1007/s007740300015
18. Bolanowski M, Daroszewski J, Medra M, et al. Bone mineral density and turnover in patients with acromegaly in relation to sex, disease activity, and gonadal function. J Bone Miner Metab. 2006;24(1):72-78. doi: 10.1007/s00774-005-0649-9
19. Ueland T, Fougner SL, Godang K, et al. Serum GH and IGF-I are significant determinants of bone turnover but not bone mineral density in active acromegaly: a prospective study of more than 70 consecutive patients. Eur J Endocrinol. 2006;155(5):709-715. doi: 10.1530/eje.1.02285
20. Romijn JA. Acromegalic arthropathy: current perspectives. Endocrine. 2013;43(2):245-246. doi: 10.1007/s12020-012-9781-1
21. Madeira M, Neto LV, de Paula Paranhos Neto F, et al. Acromegaly has a negative influence on trabecular bone, but not on cortical bone, as assessed by high-resolution peripheral quantitative computed tomography. J Clin Endocrinol Metab. 2013;98(4):1734-1741. doi: 10.1210/jc.2012-4073
22. Mazziotti G, Biagioli E, Maffezzoni F, et al. Bone turnover, bone mineral density, and fracture risk in acromegaly: a metaanalysis. J Clin Endocrinol Metab. 2015;100(2):384-394. doi: 10.1210/jc.2014-2937
23. Потешкин Ю.Е., Пронин В.С., Мельниченко Г.А. и др. Влияние избытка гормона роста и ИФР-1 на костно-суставную систему при акромегалии. // Актуальная эндокринология. — 2015. — № 10. — С. 2. [Poteshkin YE, Pronin VS, Mel’nichenko GA, et al. Growth hormone and IGF-1 effects on articular and skeletal system in acromegaly. Relevant endocrinology. 2015;(10):2. (In Russ.)]. doi: 10.18508/endo3539
24. Diamond T, Nery L, Posen S. Spinal and peripheral bone mineral densities in acromegaly: the effects of excess growth hormone and hypogonadism. Ann Intern Med. 1989;111(7):567-573. doi: 10.7326/0003-4819-111-7-567
25. Lesse GP, Fraser WD, Farquharson R, et al. Gonadal status is an important determinant of bone density in acromegaly. Clin Endocrinol (Oxf). 1998;48(1):59-65. doi: 10.1046/j.1365-2265.1998.00349.x
26. Padova G, Borzi G, Incorvaia L, et al. Prevalence of osteoporosis and vertebral fractures in acromegalic patients. Clin Cases Miner Bone Metab. 2011;8(3):37-43.
27. Griffith JF, Genant HK. New advances in imaging osteoporosis and its complications. Endocrine.2012;42(1):39-51. doi: 10.1007/s12020-012-9691-2
28. Ulivieri FM, Silva BC, Sardanelli F, et al. Utility of the trabecular bone score (TBS) in secondary osteoporosis. Endocrine. 2014;47(2):435-448. doi: 10.1007/s12020-014-0280-4
29. Marazuela M, Astigarraga B, Tabuenca MJ, et al. Serum bone Gla protein as a marker of bone turnover in acromegaly. Calcif Tissue Int. 1993;52(6):419-421. doi: 10.1007/bf00571329
30. Tsoriev TT, Grebennikova TA, Belaya ZE, et al. Bone turnover markers and serum sclerostin levels in patients with acromegaly. In: Kanis JA, Cosman F, editors. Osteoporos Int (Abstract Book). 27 Suppl 1. WCO-IOF-ESCEO 2016: Proceedings of the World Congress on Osteoporosis, Osteoarthritis and Musculoskeletal Diseases; 2016 Apr 14-17; Malaga, Spain. Berlin: Springer; 2016;182-183.
31. Kamenicky P, Mazziotti G, Lombes M, et al. Growth hormone, insulin-like growth factor-1, and the kidney: pathophysiological and clinical implications. Endocr Rev. 2014;35(2):234-281. doi: 10.1210/er.2013-1071
32. Гребенникова Т.А., Белая Ж.Е., Цориев Т.Т. и др. Эндокринная функция костной ткани. //Остеопороз и остеопатии. — 2015. — Т. 18. — № 1. — С. 28-37. [Grebennikova TA, Belaya ZhE, Tsoriev TT, et al. The endocrine function of the bone tissue. Osteoporosis and osteopathy. 2015;18(1):28-37. (In Russ.)]. doi: 10.14341/osteo2015128-37
33. Kayath MJ, Vieira JG. Osteopenia occurs in a minority of patients with acromegaly and is predominant in the spine. Osteoporos Int. 1997;7(3):226-230. doi: 10.1007/bf01622293
34. Vestergaard P, Mosekilde L. Fracture risk is decreased in acromegaly – a potential beneficial effect of growth hormone. Osteoporos Int. 2004;15(2):155-159. doi: 10.1007/s00198-003-1531-z
35. Cooper C, Atkinson EJ, O’Fallon WM, et al. Incidence of clinically diagnosed vertebral fractures: a population-based study in Rochester, Minnesota, 1985—1989. J Bone Miner Res. 1992;7(2):221-227. doi: 10.1002/jbmr.5650070214
36. Wassenaar MJ, Biermasz NR, Hamdy NA, et al. High prevalence of vertebral fractures despite normal bone mineral density in patients with long-term controlled acromegaly. Eur J Endocrinol. 2011;164(4):475-483. doi: 10.1530/EJE-10-1005
37. Brzana J, Yedinak CG, Hameed N, et al. FRAX score in acromegaly: does it tell the whole story? Clin Endocrinol (Oxf). 2014;80(4):614-616. doi: 10.1111/cen.12262
38. Claessen KM, Kroon HM, Pereira AM, et al. Progression of vertebral fractures despite longterm biochemical control of acromegaly: a prospective follow-up study. J Clin Endocrinol Metab. 2013;98(12):4808-4815. doi: 10.1210/jc.2013-2695
39. Giustina A, Casanueva FF, Cavagnini F, et al. Diagnosis and treatment of acromegaly complications. J Endocrinol Invest. 2003;26(12):1242-1247. doi: 10.1007/bf03349164
40. Melmed S, Casanueva FF, Klibanski A, et al. A consensus on the diagnosis and treatment of acromegaly complications. Pituitary. 2013;16(3):294-302. doi: 10.1007/s11102-012-0420-x
41. Lindsay R, Pack S, Li Z. Longitudinal progression of fracture prevalence through a population of postmenopausal women with osteoporosis. Osteoporos Int. 2005;16(3):306-312. doi: 10.1007/s00198-004-1691-5
42. Jalava T, Sarna S, Pylkkänen L, et al. Association between vertebral fracture and increased mortality in osteoporotic patients. J Bone Miner Res. 2003;18(7):1254-1260. doi: 10.1359/jbmr.2003.18.7.1254
43. Cauley JA, Hochberg MC, Lui LY, et al. Long-term risk of incident vertebral fractures. JAMA. 2007;298(23):2761-2767. doi: 10.1001/jama.298.23.2761
44. Oleksik A, Lips P, Dawson A, et al. Health-related quality of life in postmenopausal women with low BMD with or without prevalent vertebral fractures. J Bone Miner Res. 2000;15(7):1384-1392. doi: 10.1359/jbmr.2000.15.7.1384
45. Mazziotti G, Baracca M, Doga M, et al. Prevalence of thoracic vertebral fractures in hospitalized elderly patients with heart failure. Eur J Endocrinol. 2012;167(6):865-872. doi: 10.1530/EJE-12-0566
46. Diacinti D, Guglielmi G. Vertebral morphometry. Radiol Clin North Am. 2010;48(3):561-575. doi: 10.1016/j.rcl.2010.02.018
47. Vosse D, Heijckmann C, Landewé R, et al. Comparing morphometric X-ray absorptiometry and radiography in defining vertebral wedge fractures in patients with ankylosing spondylitis. Rheumatology (Oxford). 2007;46(11):1667-1671. doi: 10.1093/rheumatology/kem135
48. Schousboe JT, Vokes T, Broy SB, et al. Vertebral Fracture Assessment: the 2007 ISCD Official Positions. J Clin Densitom. 2008;11(1):92-108. doi: 10.1016/j.jocd.2007.12.008
49. Mazziotti G, Bianchi A, Bonadonna S, et al. Increased prevalence of radiological spinal deformities in adult patients with GH deficiency: influence of GH replacement therapy. J Bone Miner Res. 2006;21(4):520-528. doi: 10.1359/jbmr.060112
50. Biermasz NR, van Dulken H, Roelfsema F. Long-term follow-up results of postoperative radiotherapy in 36 patients with acromegaly. J Clin Endocrinol Metab. 2000;85(7):2476-2482. doi: 10.1210/jcem.85.7.6699
51. Mazziotti G, Porcelli T, Bianchi A, et al. Glucocorticoid replacement therapy and vertebral fractures in hypopituitary adult males with GH deficiency. Eur J Endocrinol. 2010;163(1):15-20. doi: 10.1530/EJE-10-0125
52. Mazziotti G, Mormando M, Cristiano A, et al. Association between l-thyroxine treatment, GH deficiency, and radiological vertebral fractures in patients with adult-onset hypopituitarism. Eur J Endocrinol. 2014;170(6):893-899. doi: 10.1530/EJE-14-0097
53. Colao A, Marzullo P, Vallone G, et al. Ultrasonographic evidence of joint thickening reversibility in acromegalic patients treated with lanreotide for 12 months. Clin Endocrinol (Oxf). 1999;51(5):611-618. doi: 10.1046/j.1365-2265.1999.00851.x
54. Dieppe PA. Recommended methodology for assessing the progression of osteoarthritis of the hip and knee joints. Osteoarthritis Cartilage. 1995;3(2):73-77. doi: 10.1016/s1063-4584(05)80040-8
55. Altman RD, Hochberg M, Murphy WAJr, et al. Atlas of individual radiographic features in osteoarthritis. Osteoarthritis Cartilage. 1995;3 Suppl A:3-70.
56. Kellgren JH, Lawrence JS. Radiological assessment of osteo-arthrosis. Ann Rheum Dis. 1957;16(4):494-502. doi: 10.1136/ard.16.4.494
57. Wassenaar MJ, Biermasz NR, Bijsterbosch J, et al. Arthropathy in long-term cured acromegaly is characterised by osteophytes without joint space narrowing: a comparison with generalised osteoarthritis. Ann Rheum Dis. 2011;70(2):320-325. doi: 10.1136/ard.2010.131698
58. Claessen KM, Kloppenburg M, Kroon HM, et al. Two phenotypes of arthropathy in long-term controlled acromegaly? A comparison between patients with and without joint space narrowing (JSN). Growth Horm IGF Res. 2013;23(5):159-164. doi: 10.1016/j.ghir.2013.05.003
59. Biermasz NR, van’t Klooster KR, Wassenaar MJ, et al. Automated image analysis of hand radiographs reveals widened joint spaces in patients with long-term control of acromegaly: relation to disease activity and symptoms. Eur J Endocrinol. 2012;166(3):407-413. doi: 10.1530/EJE-11-0795
60. Bellamy N, Buchanan WW, Goldsmith CH, et al. Validation study of WOMAC: a health status instrument for measuring clinically important patient relevant outcomes to antirheumatic drug therapy in patients with osteoarthritis of the hip or knee. J Rheumatol. 1988;15(12):1833-1840. doi: 10.1186/1471-2474-13-168
61. Bellamy N, Campbell J, Haraoui B, et al. Clinimetric properties of the AUSCAN Osteoarthritis Hand Index: an evaluation of reliability, validity and responsiveness. Osteoarthritis Cartilage. 2002;10(11):863-869. doi: 10.1053/joca.2002.0838
62. Altman R, Asch E, Bloch D, et al. Development of criteria for the classification and reporting of osteoarthritis. Classification of osteoarthritis of the knee. Diagnostic and Therapeutic Criteria Committee of the American Rheumatism Association. Arthritis Rheum. 1986;29(8):1039-1049. doi: 10.1002/art.1780290816
63. Kropf LL, Madeira M, Vieira NL, et al. Functional evaluation of the joints in acromegalic patients and associated factors. Clin Rheumatol. 2013;32(7):991-998. doi: 10.1007/s10067-013-2219-1
64. Dons RF, Rosselet P, Pastakia B, et al. Arthropathy in acromegalic patients before and after treatment: a long-term follow-up study. Clin Endocrinol (Oxf). 1988;28(5):515-524. doi: 10.1111/j.1365-2265.1988.tb03686.x
65. Biermasz NR, Wassenaar MJ, van der Klaauw AA, et al. Pretreatment insulin-like growth factor-I concentrations predict radiographic osteoarthritis in acromegalic patients with long-term cured disease. J Clin Endocrinol Metab. 2009;94(7):2374-2379. doi: 10.1210/jc.2008-2393
66. Wassenaar MJ, Biermasz NR, Pereira AM, et al. The exon-3 deleted growth hormone receptor polymorphism predisposes to long-term complications of acromegaly. J Clin Endocrinol Metab. 2009;94(12):4671-4678. doi: 10.1210/jc.2009-1172
67. Biermasz NR, Dekker FW, Pereira AM, et al. Determinants of survival in treated acromegaly in a single center: predictive value of serial insulin-like growth factor I measurements. J Clin Endocrinol Metab. 2004;89(6):2789-2796. doi: 10.1210/jc.2003-032041
68. Scarpa R, De Brasi D, Pivonello R, et al. Acromegalic axial arthropathy: a clinical case-control study. J Clin Endocrinol Metab. 2004;89(2):598-603. doi: 10.1210/jc.2003-031283
69. Claessen KM, Ramautar SR, Pereira AM, et al. Progression of acromegalic arthropathy despite long-term biochemical control: a prospective, radiological study. Eur J Endocrinol. 2012;167(2):235-244. doi: 10.1530/EJE-12-0147
70. van Thiel SW, Bax JJ, Biermasz NR, et al. Persistent diastolic dysfunction despite successful long-term octreotide treatment in acromegaly. Eur J Endocrinol. 2005;153(2):231-238. doi: 10.1530/eje.1.01955
71. Neggers SJ, van Aken MO, de Herder WW, et al. Quality of life in acromegalic patients during long-term somatostatin analog treatment with and without pegvisomant. J Clin Endocrinol Metab. 2008;93(10):3853-3859. doi: 10.1210/jc.2008-0669
72. Örük G, Tarhan F, Argın M, et al. Is every joint symptom related to acromegaly? Endocrine. 2013;43(2):404-411. doi: 10.1007/s12020-012-9770-4
Об авторах
Тимур Тамерланович ЦориевФГБУ «Национальный медицинский исследовательский центр эндокринологии» Минздрава России
Россия
Аспирант, Институт клинической эндокринологии, отделение нейроэндокринологии и остеопатий
Жанна Евгеньевна Белая
ФГБУ «Национальный медицинский исследовательский центр эндокринологии» Минздрава России
Россия
Д.м.н., главный научный сотрудник, Институт клинической эндокринологии, заведующая отделением нейроэндокринологии и остеопатий
Дополнительные файлы
|
|
1. Рисунок 1 | |
| Тема | ||
| Тип | Исследовательские инструменты | |
Посмотреть
(55KB)
|
Метаданные ▾ | |
|
|
2. Рисунок 2 | |
| Тема | ||
| Тип | Исследовательские инструменты | |
Посмотреть
(20KB)
|
Метаданные ▾ | |
|
|
3. Механизм реализации анаболических эффектов СТГ и ИФР-1 в костной ткани через механорецепторы и эстрогены. | |
| Тема | ||
| Тип | Исследовательские инструменты | |
Посмотреть
(182KB)
|
Метаданные ▾ | |
Рецензия
Для цитирования:
Цориев Т.Т., Белая Ж.Е. Костно-суставные структурные нарушения при акромегалии. Проблемы Эндокринологии. 2018;64(2):121-129. https://doi.org/10.14341/probl9305
For citation:
Tsoriev T.T., Belaya Zh.E. Bone and joint structural impairments in acromegaly. Problems of Endocrinology. 2018;64(2):121-129. https://doi.org/10.14341/probl9305
Контент доступен под лицензией Creative Commons Attribution-NonCommercial-NoDerivatives 4.0 International License (CC BY-NC-ND 4.0).




































.jpg)

