Перейти к:
Позитронная эмиссионная томография совмещенная с компьютерной томографией с 18F-фторхолином в топической диагностике опухолей околощитовидных желез и вторичных изменений костной ткани при гиперпаратиреоидной остеодистрофии: два клинических наблюдения
https://doi.org/10.14341/probl9548
Аннотация
Первичный гиперпаратиреоз (ПГПТ) в 1% случаев обусловлен злокачественным новообразованием околощитовидной железы (ОЩЖ), риск наличия которого выше у пациентов с манифестной формой заболевания. Прогноз пациентов данной группы зависит от распространенности процесса и объема первичного хирургического вмешательства.
Большую трудность в таких случаях представляет дифференциальная диагностика между вторичными очагами в костях при раке ОЩЖ и гиперпаратиреоидной остеодистрофией.
В данной статье описаны два случая тяжелого ПГПТ, сопровождавшегося гиперпаратиреоидной остеодистрофией, подозрительной на метастазы рака ОЩЖ. В алгоритм обследования была включена позитронная эмиссионная томография, совмещенная с компьютерной томографией (ПЭТ/КТ) с 18F-фтордезоксиглюкозой (18F-ФДГ) и/или 18F-фторхолином и выявлены выраженные костные изменения, схожие с метастазами ОЩЖ. Накопление 18F-фторхолина наблюдалось также только в измененных ОЩЖ. При гистологическом исследовании послеоперационного материала верифицированы доброкачественные опухоли ОЩЖ, а характерные поражения костной ткани расценены как участки остеодистрофии.
Таким образом, накопление 18F-фторхолина в участках костной деструкции не позволяет дифференцировать гиперпаратиреоидную остеодистрофию от метастатического поражения, а чувствительность и специфичность метода в отношении топической диагностики измененных ОЩЖ требуют дальнейшего исследования.
Ключевые слова
Для цитирования:
Мокрышева Н.Г., Крупинова Ю.А., Долгушин М.Б., Оджарова А.А., Воронкова И.А., Воскобойников В.В., Кузнецов Н.С. Позитронная эмиссионная томография совмещенная с компьютерной томографией с 18F-фторхолином в топической диагностике опухолей околощитовидных желез и вторичных изменений костной ткани при гиперпаратиреоидной остеодистрофии: два клинических наблюдения. Проблемы Эндокринологии. 2018;64(5):299-305. https://doi.org/10.14341/probl9548
For citation:
Mokrysheva N.G., Krupinova J.A., Dolgushin M.B., Odzharova A.A., Voronkova I.A., Voskoboynikov V.V., Kuznecov N.S. Positron emission tomography in combination with computed tomography with 18F-fluorocholine in the topical diagnosis of parathyroid tumors and secondary changes in bone tissue associated with hyperparathyroid osteodystrophy: two case studies. Problems of Endocrinology. 2018;64(5):299-305. https://doi.org/10.14341/probl9548
Первичный гиперпаратиреоз (ПГПТ) — широко распространенное эндокринное заболевание, характеризующееся избыточной продукцией паратиреоидного гормона (ПТГ) вследствие гиперплазии или опухоли околощитовидных желез (ОЩЖ), а также верхненормальным или повышенным уровнем кальция в крови. ПГПТ чаще всего обусловлен аденомой и реже — гиперплазией ОЩЖ. Атипические аденомы и рак ОЩЖ встречаются наиболее редко. Единственным эффективным методом лечения ПГПТ является хирургический. При планировании оперативного вмешательства для топической диагностики первичного очага используют визуализирующие методы — в первую очередь ультразвуковое исследование (УЗИ) и радионуклидное исследование с 99mTc-метоксиизобутилизонитрилом (99mTc-МИБИ) [1], а их сочетание предоставляет информацию как об анатомических, так и функциональных особенностях ткани ОЩЖ. Чувствительность УЗИ в выявлении образований ОЩЖ варьирует от 76,1 до 93,2% [2], однако этот метод имеет ряд ограничений, среди которых недоступность эктопированных образований в области средостения [3]. Сцинтиграфия с 99mTc-МИБИ обладает бо`льшим пространственным разрешением, чем УЗИ, а при ее сочетании с однофотонной эмиссионной компьютерной томографией (ОФЭКТ) чувствительность метода достигает 86% (ДИ 81—90%) [4].
В случае расхождения результатов УЗИ и сцинтиграфии с 99mTc-МИБИ следует прибегнуть к альтернативным методам топической диагностики. Чувствительность ПЭТ/КТ с 18F-фтордезоксиглюкозой (18F-ФДГ) в выявлении опухолей ОЩЖ, по данным метаанализа от 2016 г., колеблется от 0 до 94%, а прогностическая ценность положительных результатов (PPV) — от 62 до 100% [5]. В отношении специфичности и чувствительности ПЭТ с 11С-метионином для визуализации ОЩЖ также получены противоречивые данные, однако рядом исследований подтверждена эффективность метода при отрицательных результатах рутинной диагностики [6].
В 2012 г. при проведении ПЭТ/КТ с 11С-холином у больного раком предстательной железы была случайно выявлена опухоль ОЩЖ и в последствии диагностирован ПГПТ. Такая же находка продемонстрирована и при проведении ПЭТ/КТ с 18F-фторхоли ном (18F-ФХ) у пациента с аналогичным диагнозом. Эти случаи показали возможность использования 18F-ФХ для визуализации измененных ОЩЖ [7—9]. В 2014 г. опубликованы результаты пилотного исследования, в котором ПЭТ/КТ с 18F-ФХ сравнивали со сцинтиграфией с 99mTc-МИБИ, совмещенной с ОФЭКТ у пациентов с ПГПТ. При анализе 21 аденомы и 18 гиперплазий ОЩЖ (наблюдались у 24 пациентов) продемонстрированы 92% чувствительность и 100% чувствительность и специфичность ПЭТ/КТ с 18F-ФХ для топической диагностики опухолей ОЩЖ, тогда как чувствительность сцинтиграфии с 99mTc-МИБИ/ОФЭКТ/КТ при 100% специфичности составила всего 49% [10]. Наибольшей диагностической эффективностью ПЭТ/КТ с 18F-ФХ обладает в случаях множественного поражения ОЩЖ, когда другие методы визуализации не столь эффективны [11]. При мультигландулярном поражении ОЩЖ у пациентов с терминальной стадией почечной недостаточности ПЭТ/КТ с 18F-ФХ также весьма информативна независимо от количества образований ОЩЖ и может быть рекомендована для использования в случаях неоднозначных результатов стандартных методов. Чувствительность ПЭТ/КТ с 18F-ФХ превысила таковую УЗИ и не уступала чувствительности сцинтиграфии с 99mTc-МИБИ [12].
Таким образом, ПЭТ/КТ с 18F-ФХ обладает схожей со сцинтиграфией с 99mTc-МИБИ чувствительностью в выявлении измененных ОЩЖ, а ее основное преимущество — бо`льшее пространственное разрешение изображений для оценки распространенности процесса и меньшая продолжительность исследования. Недостатком метода является высокая стоимость. В настоящее время не разработан абсолютно специфичный РФП для ткани ОЩЖ, что нередко обу словливает ложноположительные результаты исследований. Сравнительная характеристика методов топической диагностики при ПГПТ представлена в таблице.
Сравнительная характеристика методов топической диагностики при ПГПТ
|
Метод |
Чувствительность, % |
PPV, % |
Источник |
|
УЗИ |
76,1 (ДИ 70,4—81,4) |
93,2 (ДИ 90,7—95,3) |
[13] |
|
99mTc-МИБИ с ОФЭКТ |
74 (ДИ 66—82) |
[14, 15] |
|
|
99mTc-МИБИ с ОФЭКТ/КТ |
86 (ДИ 81—90) 78,9 (ДИ 64—90,6) |
90,7 (ДИ 83,5—96,0) |
|
|
ПЭТ-КТ с 18F-ФХ |
80—95 |
91—100 |
[16] |
|
ПЭТ-КТ с 18F-ФДГ |
0—94 |
62—100 |
Помимо топической диагностики первичной опухоли ОЩЖ, актуальной проблемой представляется оценка распространенности процесса при подозрении на рак ОЩЖ. Из-за отсутствия специфических клинических и лабораторных предоперационных критериев карциномы ОЩЖ диагноз обычно устанавливается лишь при морфологическом исследовании либо при рецидиве ПГПТ, а инструментальные методы в данном случае направлены на выявление регионарных и отдаленных метастазов. Для выявления метастазов рака ОЩЖ применяют сцинтиграфию с 99mTc-МИБИ и ПЭТ/КТ. Описаны случаи, когда метастатические поражения не выявлялись при сцинтиграфии, но были определены при ПЭТ/КТ [17].
Поиск вторичных очагов (метастазы), наиболее часто локализующихся в костях, осложнен наличием гиперпаратиреоидной остеодистрофии при тяжелой форме ПГПТ, характерной для большинства случаев рака ОЩЖ, а их дифференциальная диагностика с помощью сканирования скелета на данный момент не представляется возможной. Патология костной ткани при гиперпаратиреоидной остеодистрофии, по данным КТ, проявляется фиброзно-кистозным остеитом (генерализованная фиброзная остеодистрофия) и сходна с метастатическими поражениями. Гиперпаратериоидная остеодистрофия характеризуется избыточной остеокластической резорбцией костной ткани, фиброзным перерождением костного мозга и формированием «бурых опухолей». Выраженная остеодистрофия при тяжелом ПГПТ нередко является причиной ложноположительного заключения о метастатическом поражении костной ткани [18, 19].
В данной статье описаны два случая тяжелого течения ПГПТ с развитием выраженной гиперпаратиреоидной остеодистрофии, потребовавшей дифференциальной диагностики с метастазами в кости по данным КТ. В алгоритм обследования этих больных был включен ПЭТ/КТ с 18F-ФДГ и/или 18F-ФХ.
Описание случаев
Клинический случай 1.
Пациентка В., 34 года, обратилась в ФГБУ «НМИЦ эндокринологии» с жалобами на слабость, интенсивные боли в костях и суставах, ограничивающие самостоятельное передвижение, быструю потерю массы тела в течение 1 мес на 8 кг, головную боль, раздражительность, плаксивость. При лабораторном обследовании выявлена выраженная гиперкальциемия: уровень общего кальция 4,09 ммоль/л (норма 2,1—2,55), ионизированного кальция 1,91 ммоль/л (1,03—1,29), суточная кальциурия 11,49 ммоль/л (2,5— 8); уровень ПТГ до 1983 пг/мл (15—65), остеокальцина до 300 нг/мл (11—43), С-концевого телопептида коллагена 1-го типа до 6 нг/мл (0,01—0,69); креатинина 90,1 мкмоль/л, СКФ 71 мл/мин/1,73 м2. В семейном анамнезе какие-либо заболевания эндокринной системы отсутствовали.
При УЗИ выявлены объемные образования в правой нижней ОЩЖ (30×20×18 мм) и левой верхней ОЩЖ (12×04×04 мм) с четкими контурами, пониженной эхогенности; регионарные лимфоузлы не увеличены, не изменены. При сцинтиграфии ОЩЖ с 99mTc-МИБИ определяется накопление РФП в проекции правой нижней ОЩЖ (размером 20×10 мм). При остеоденситомерии выявлено выраженное снижение минеральной плотности костной ткани (МПК) максимально до –5,1 SD в лучевой кости по Z-крите рию. Учитывая данные лабораторно-инструментального обследования и результаты нашего предыдущего исследования [20], у пациентки была заподозрена карцинома ОЩЖ. Для оценки распространенности процесса и исключения метастазов больная была направлена в ФГБУ «НМИЦ онкологии им. Н.Н. Блохина» для проведения ПЭТ/КТ с 18F-ФДГ (рис. 1, а, на цв. вклейке). Дополнительно было решено провести ПЭТ с 18F-ФХ (см. рис. 1, б, на цв. вклейке), исследования проводилсь в разные дни. При исследовании с 18F-ФХ выявлены объемные образования с очаговым накоплением РФП: в правой нижней ОЩЖ размером 24×23×32 мм (макс. SUV 17,09), в левой верхней ОЩЖ размером 7×5 мм (макс. SUV 2,74) (см. рис. 1, в, на цв. вклейке). При исследовании с 18F-ФДГ метаболическая активность в образовании правой ОЩЖ была ниже (макс. SUV 9,95), в левой верхней ОЩЖ повышенного накопления 18F-ФДГ не обнаружено (см. рис. 1, г, на цв. вклейке).
Рис. 1. Результаты лучевой диагностики пациентки В.
а — ПЭТ с 18F-ФДГ (проекция максимальной интенсивности); б — ПЭТ с 18F-ФХ (проекция максимальной интенсивности);
в — ПЭТ/КТ с 18F-ФХ (аксиальные срезы — стрелками указаны очаги в правой нижней и левой верхней ОЩЖ); г — ПЭТ/КТ с 18F-ФДГ (аксиальные срезы — стрелками указаны ОЩЖ, в правой с накоплением, в левой без накопления РФП).
Выявлены множественные очаги патологического накопления обоих РФП в костях, которые соответствовали по КТ разнокалиберным очагам литической деструкции, с замещением нормальной костной ткани патологической, с деструкцией кортикальных слоев («бурые опухоли») и участкам уплотнения (фиброз) костного мозга в длинных трубчатых костях. Накопление 18F-ФДГ и 18F-ФХ во всех костных очагах было примерно одинаковым (макс. SUV от 2,74 до 6,55). Для демонстрации мы выбрали два очага — в акромиальном отростке левой лопатки и средней трети левой бедренной кости (рис. 2, на цв. вклейке).
Рис. 2. Результаты лучевой диагностики пациентки В. (стрелками указаны патологические очаги в костях).
а — очаг литической деструкции в левой лопатке по КТ (фронтальный срез); б — этот же очаг в левой лопатке по КТ (аксиальный срез); в — очаг литической деструкции в средней трети диафиза левой бедренной кости по КТ (фронтальный срез); г — очаг патологического накопления 18F-ФХ в левой лопатке (совмещенный ПЭТ/КТ, аксиальный срез); д — очаг патологического накопления 18F-ФДГ в левой лопатке (совмещенный ПЭТ/КТ, аксиальный срез); е — очаг патологического накопления 18F-ФХ в средней трети левой бедренной кости (совмещенный ПЭТ/КТ, аксиальный срез, 18F-ФХ).
В других органах и мягких тканях накопления РФП выявлено не было. Характер поражения костной ткани по данным КТ мог соответствовать как гиперпаратиреоидной остеодистрофии, так и метастазам рака ОЩЖ. В то же время, учитывая множественные поражения ОЩЖ и молодой возраст пациентки, был заподозрен синдром множественных эндокринных неоплазий 1-го типа, для исключения которого проведено полное геномное секвенирование MEN1.
Для профилактики гиперкальциемического криза проводились форсированный диурез и прием цинакальцета (90 мг/сут). На фоне лечения сохранялась выраженная гиперкальциемия: уровень общего кальция 3,92 (2,1—2,55) ммоль/л, ионизированного кальция 1,85 (1,03—1,29) ммоль/л, а общее состояние пациентки прогрессивно ухудшалось. Учитывая необходимость срочного хирургического лечения (ввиду жизнеугрожающей гиперкальциемии), было решено определить объем хирургического вмешательства во время операции (удаление опухоли единым блоком или селективная паратиреоидэктомия) и отказаться от пункционной биопсии одного из пораженных очагов костной ткани.
При интраоперационной ревизии за нижним полюсом правой доли ЩЖ выявлено и удалено образование размером 40×25×20 мм, не спаянное с тканью ЩЖ. При дальнейшей ревизии за левой долей ЩЖ выделены и удалены измененные левая верхняя (7×5 мм) и нижняя (5×5 мм) ОЩЖ. Учитывая множественность поражений ОЩЖ и отсутствие интраоперационных признаков злокачественности, риск рака ОЩЖ был оценен как низкий и хирургическое вмешательство ограничилось удалением трех ОЩЖ. Через 15 мин после хирургического удаления ОЩЖ зафиксировано снижение уровня ПТГ до 5,11 (15—65) пг/мл. На 3-и сутки после операции у больной развилась клиническая картина лабораторно подтвержденной гипокальциемии: кальций общий 1,89 (норма 2,1—2,55) ммоль/л, кальций ионизированный 0,97 (1,03—1,29) ммоль/л, уровень ПТГ 4,05 (15—65) пг/мл, что сопровождалось выраженной оссалгией (синдромом «голодных костей»), потребовавшей внутривенных инфузий глюконата кальция. Приемом активных метаболитов витамина D и кальция гипокальциемия была компенсирована. Также был выявлен дефицит 25(ОН)D — 18 (30—100) нг/мл, в связи с чем к терапии добавлен колекальциферол в насыщающей дозировке.
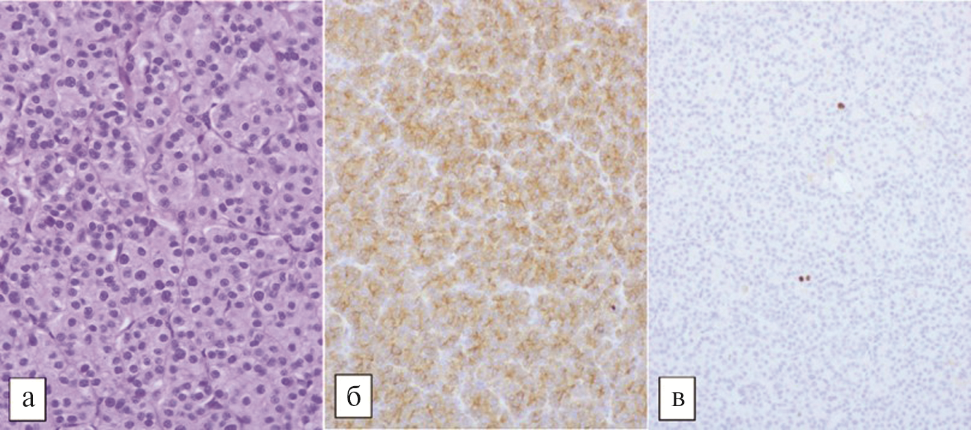
При гистологическом и иммуногистохимическом (ИГХ) исследовании послеоперационного материала диагностированы доброкачественные новообразования ОЩЖ: аденомы правой нижней и левой верхней, гиперплазия левой нижней железы. ИГХ исследование ткани аденомы правой нижней ОЩЖ выявило диффузную экспрессию ПТГ, а индекс пролиферации Ki-67 не превышал 2% (рис. 3, на цв. вклейке).
Рис. 3. Микроскопическое строение аденомы ОЩЖ пациентки В. и результаты иммуногистохимического исследования.
а — аденома правой нижней ОЩЖ из главных клеток (окраска гематоксилином и эозином, ×400); б — диффузная экспрессия паратиреоидного гормона, ×100; в — экспрессия ядерного белка Ki-67 (клон MIB-1), индекс маркера пролиферации Ki-67<2% (×100).
При генетическом исследовании мутация в MEN1 не выявлена.
Спустя 3 мес после хирургического лечения наблюдается ремиссия ПГПТ: кальций общий 2,45 ммоль/л, кальций ионизированный 1,15 ммоль/л, уровень ПТГ 13,33 пг/мл.
Клинический случай 2.
Пациентка А., 70 лет, обратилась в ФГБУ «НМИЦ эндокринологии» с жалобами на интенсивные боли в поясничном отделе позвоночника, тазобедренных суставах и кистях, учащенное мочеиспускание, выраженную головную боль, общую слабость, утомляемость. При лабораторном исследовании выявлена выраженная гиперкальциемия: кальций общий 3,19 ммоль/л, кальций ионизированный 1,62 ммоль/л, ПТГ 1682 пг/мл, остеокальцина 300 нг/мл, С-концевой телопептид коллагена 1-го типа 3,67 нг/мл, креатинин 105,4 мкмоль/л, СКФ 46 мл/мин/1,73 м2.
При УЗИ определялось объемное образование правой нижней ОЩЖ с гипоэхогенной структурой размером 36×20×17 мм. При сцинтиграфии ОЩЖ с 99mTc-МИБИ, совмещенной с ОФЭКТ, выявлены признаки гиперфункционирующей опухоли правой нижней ОЩЖ, расположенной загрудинно (размером 25×48 мм). Также зафиксировано низкоинтенсивное накопление РФП позади средней трети левой доли, соответствующее образованию 6×3×8 мм, для дифференциальной диагностики которого требовалось контрастное усиление. При остеоденсито метрии зафиксировано выраженное снижение МПК до –6,1 SD в лучевой кости по Т-критерию. При рентгенологическом исследовании поясничного отдела позвоночника в боковой проекции определяются компрессионные переломы LI, LII и LIV, начальная компрессия ThVII.
На фоне форсированного диуреза и приема цин акальцета (90 мг/сут) сохранялась выраженная гиперкальциемия: уровень общего кальция 3,09 ммоль/л. Учитывая тяжелое течение ПГПТ и наличие крупной опухоли ОЩЖ, у пациентки была заподозрена карцинома ОЩЖ. С целью оценки распространенности процесса и исключения метастатического поражения, а также для уточнения размера и локализации загрудинно расположенной опухоли, больная была направлена в ФГБУ «НМИЦ онкологии им. Н.Н. Блохина» для проведения ПЭТ/КТ. В качестве диагностического РФП был выбран 18F-ФХ. При ПЭТ/КТ определялись очаги патологического накопления в объемном образовании ОЩЖ на уровне ThI-ThIII превертебрально (справа от пищевода и трахеи) размером 26×18 мм, протяженностью до 43 мм, с максимальным накоплением SUV 8,60; пищевод и трахея на уровне образования смещены влево (рис. 4, на цв. вклейке). Очагового повышения накопления РФП в зонах типичного расположения ОЩЖ выявлено не было. При КТ в костях определяются множественные разнокалиберные очаги деструкции со структурными изменениями, характерными для «бурых опухолей». Накопление 18F-ФХ в очагах деструкции варьировало от макс. SUV 2,80 до 6,88. Повышенное накопление РФП в некоторых очагах костной деструкции отсутствовало. Для демонстрации мы выбрали два очага – в акромиальном отростке левой лопатки и средней трети левой бедренной кости (рис. 5, на цв. вклейке).
Рис. 4. Результаты лучевой диагностики пациентки А. (стрелками указана дистопированная в верхнее средостение ОЩЖ, ПЭТ/КТ с 18F-ФХ).
а — ПЭТ с 18F-ФХ (проекция максимальной интенсивности); б, в — КТ и совмещенные ПЭТ/КТ аксиальный срез верхнего средостения — очаг патологического накопления в ОЩЖ; г, д — КТ и совмещенные ПЭТ/КТ, этот же очаг — фронтальный срез.
Рис. 5. Результаты лучевой диагностики пациентки А. (стрелками указаны патологические очаги в костях, ПЭТ/КТ с 18F-ФХ).
а, б — очаг литической деструкции в седалищной кости слева с патологическим накоплением РФП (КТ и совмещенный ПЭТ/КТ, аксиальные срезы); в, г — очаг литической деструкции в головке левой плечевой кости с патологическим накоплением РФП (КТ и совмещенный ПЭТ/КТ, аксиальные срезы); д, е — очаг литической деструкции в крыле правой подвздошной кости без патологического накопления РФП (КТ и совмещенный ПЭТ/КТ, аксиальные срезы).
Объем хирургического вмешательства было решено определить во время операции. В ходе хирургического вмешательства у нижнего полюса правой доли ЩЖ превертебрально на уровне СVII-ThII определялось образование размером 50×35×25 мм. Под контролем целостности возвратно-гортанного нерва выполнено удаление атипично расположенной опухоли правой нижней ОЩЖ, вес которой составил 9,4 г. Интраоперационно зафиксировано снижение уровня ПТГ более чем на 50%. На 3-и сутки после операции развилась клиническая картина гипокальциемии, подтвержденная лабораторно: кальций общий 2,08 ммоль/л, кальций ионизированный 1,0 ммоль/л; уровень ПТГ достиг целевого значения (23,21 пг/мл). На фоне приема активных метаболитов витамина D и кальция клиническая картина гипокальциемии была купирована, уровень кальция достиг целевого значения.
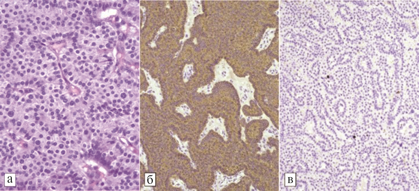
При гистологическом исследовании послеоперационного материала обнаружена опухоль солидно-трабекулярного строения из главных клеток. Местами отмечались участки клеточного полиморфизма, митотическая активность — 2 митоза на 10 полей зрения, опухоль окружена фиброзной капсулой. К опухоли прилежит ткань ОЩЖ с признаками атрофии. Для уточнения биологического потенциала образования проведено ИГХ-исследование, в результате которого индекс пролиферативной активности Ki-67 составил менее 2%. При ИГХ-исследовании с антителами к эндотелиальному маркеру CD34 признаков сосудистой инвазии не обнаружено, митотическая активность по экспрессии фосфогистона 3 (PHH3) составила 2 митоза на 50 полей зрения. Результаты ИГХ-исследования свидетельствовали в пользу аденомы ОЩЖ (рис. 6, на цв. вклейке).
Рис. 6. Микроскопическое строение аденомы ОЩЖ пациентки А. и результаты иммуногистохимического исследования.
а — аденома ОЩЖ из главных клеток (окраска гематоксилином и эозином, ×400); б — диффузная экспрессия ПТГ (×100);
в — экспрессия ядерного белка Ki-67 (клон MIB-1), индекс маркера пролиферации Ki-67 <2% (×100).
Обсуждение
У наблюдавшихся нами больных была заподозрена карцинома ОЩЖ ввиду сочетания выраженной гиперкальциемии, значимого повышения уровня ПТГ, крупных опухолевых образований и выраженных костных изменений по данным КТ. Однако при гистологическом исследовании у 2 пациенток верифицированы доброкачественные опухоли.
В первом случае у больной с аденомами правой нижней (визуализировались с помощью всех методов) и левой верхней (определялось повышенное накопление 18F-ФХ, но не 18F-ФДГ) ОЩЖ морфологически была выявлена и гиперплазия левой нижней ОЩЖ, которая не визуализировалась ни одним из методов. Вероятнее всего, гиперплазия левой нижней ОЩЖ имела вторичный характер и была следствием дефицита витамина D.
У второй больной с загрудинно расположенным образованием ОЩЖ при сцинтиграфии с 99mTc-МИБИ отмечалось повышенное накопление РФП позади левой доли ЩЖ, что не позволяло однозначно идентифицировать гиперплазированную ОЩЖ. Повышенного накопления 18F-ФХ в области типично расположенных ОЩЖ не отмечалось.
Таким образом, в обоих случаях накопление 18F-ФХ определялось только в измененных ОЩЖ, тогда как неизмененные ОЩЖ не накапливали ни 18F-ФХ, ни 18F-ФДГ, что предположительно связано с функциональной активностью ОЩЖ. Синтезируемый в ОЩЖ ПТГ выделяется из клетки путем экзоцитоза. Содержащие гормон цитоплазматические гранулы сливаются с плазматической мембраной паратиреоцита, приводя к небольшому увеличению общей поверхности клетки. Увеличение количества структур клеточной мембраны может приводить к повышенному потреблению холина, который является одним из компонентов фосфатидилхолина — важной части фосфолипидов клеточной мембраны. У обеих больных ОЩЖ, визуализированные при ПЭТ/КТ с 18F-ФХ, обладали высокой секреторной активностью, тогда как функция остальных ОЩЖ была подавлена. Это подтвердилось результатами лабораторных исследований до и после хирургического лечения (высокий уровень ПТГ на дооперационном этапе и стойкое снижение их после хирургического лечения, что требовало медикаментозной коррекции гипокальциемии).
Изменения в костной ткани под воздействием ПТГ приводят к развитию «бурых опухолей» (болезнь Реклингхаузена, фиброзно-кистозная остеодистрофия), состоящих в основном из гигантских многоядерных клеток, фибробластов, макрофагов, примитивных костных трабекул, полей свежих и старых кровоизлияний. Гигантские клетки «бурой опухоли» представлены остеокластами и гигантскими клетками инородных тел. Стромальный компонент этих опухолей состоит из клеток с ультраструктурными признаками фибробластов, миофибробластов и гистиоцитов. Большая площадь поверхности гигантских клеток и неровность их контуров обусловливают значительную протяженность клеточной стенки, одним из компонентов которой является фосфатидилхолин, необходимый для структурной стабильности и пролиферации клеток. Фосфотидилхолин синтезируется из холина. Этот синтез требует энергии АТФ и участия фермента холинкиназы [21]. Синтез АТФ на 95% осуществляется в митохондриях, которыми богаты гигантские клетки «бурой опухоли». Активный метаболизм может протекать и в клетках стромы «бурых опухолей» [22]. Данное предположение подтверждается исследованием F. Calabria и соавт. [23], которые при проведении ПЭТ/КТ с 11C/18F-холи ном из 1000 больных раком предстательной железы у 169 (16,9%) отметили накопление РФП, не связанное с основным опухолевым процессом. В большинстве случаев ложноположительные результаты были связаны с наличием очагов воспаления [23]. Активное накопление 18F-ФХ в костях, которое мы наблюдали, вероятно, обусловлено наличием «бурых опухолей», а гетерогенность метаболической активности в очагах деструкции также может объясняться разной функциональной активностью.
Заключение
Представленные случаи показывают, что лабораторно-инструментальные признаки агрессивного ПГПТ (выраженное повышение уровней кальция и ПТГ, крупный размер опухоли и деструктивные изменения костной ткани) не всегда соответствуют злокачественному поражению ОЩЖ.
Накопление 18F-ФХ в участках костной деструкции не позволяет отличить гиперпаратиреоидную остеодистрофию от метастазов, а по интенсивности включения РФП можно судить только о выраженности поражения костной ткани.
Необходим дальнейший поиск предоперационных маркеров, которые позволили бы заранее дифференцировать злокачественные поражения ОЩЖ и аденомы, что должно обеспечить адекватное хирургическое пособие пациентам с ПГПТ.
Представляется интересным сравнение чувствительности и специфичности ПЭТ/КТ с 18F-ФХ в отношении топической диагностики опухолей ОЩЖ с соответствующими параметрами рутинных методов исследования при ПГПТ.
Дополнительная информация
Дополнительные материалы к статье
|
Рис. 1. Результаты лучевой диагностики пациентки В. Доступен на цветной вклейке и в сети Интернет: https://doi.org/10.14341/probl9548-3199. |
Рис. 4. Результаты лучевой диагностики пациенткиА. Доступен на цветной вклейке и в сети Интернет: https://doi.org/10.14341/probl9548-3202 |
||
|
Рис. 2. Результаты лучевой диагностики пациентки В. Доступен на цветной вклейке и в сети Интернет:https://doi.org/10.14341/probl9548-3200 |
Рис. 5. Результаты лучевой диагностики пациенткиА. Доступен на цветной вклейке и в сети Интернет: https://doi.org/10.14341/probl9548-3203 |
||
|
Рис. 3. Микроскопическое строение аденомы ОЩЖ пациентки В и результаты иммуногистохимического исследования. Доступен на цветной вклейке и в сети Интернет:https://doi.org/10.14341/probl9548-3201 |
Рис. 6. Микроскопическое строение аденомы ОЩЖ пациентки А. и результаты иммуногистохимического исследования. Доступен на цветной вклейке и в сети Интернет:https://doi.org/10.14341/probl9548-3204 |
Источник финансирования: публикация настоящей работы осуществлена в рамках исполнения государственного задания «Наследственные опухолевые синдромы и множественные эндокринные неоплазии: персонализация диагностики и лечения, прогнозирование рисков, идентификация ядерных семей».
Согласие пациента. Пациенты добровольно подписали информированное согласие на публикацию медицинской информации в обезличенной форме в журнале «Проблемы эндокринологии».
Конфликт интересов. Авторы декларируют отсутствие явных и потенциальных конфликтов интересов, связанных с публикацией настоящей статьи.
Список литературы
1. Johnson NA, Carty SE, Tublin ME. Parathyroid Imaging. Radiol Clin North Am. 2011;49(3):489-509,Vi. doi: https://doi.org/10.1016/j.rcl.2011.02.009
2. Cheung K, Wang TS, Farrokhyar F, et al. A metaanalysis of reoperative localization techniques for patients with primary hyperparathyroidism. Ann Surg Oncol. 2012;19(2):577-583. doi: https://doi.org/10.1245/s10434-011-1870-5
3. Johnson NA, Tublin ME, Ogilvie JB. Parathyroid imaging: technique and role in the preoperative evaluation of primary hyperparathyroidism. Ajr Am J Roentgenol. 2007;188(6):1706-1715. doi: https://doi.org/10.2214/ajr.06.0938
4. Wong KK, Fig LM, Gross MD, Dwamena BA. Parathyroid adenoma localization with 99mTc-sestamibi spect/CT: a metaanalysis. Nucl Med Commun. 2015;36(4):363-375. doi: https://doi.org/10.1097/mnm.0000000000000262
5. Kluijfhout WP, Pasternak JD, Drake FT, et al. Use of pet tracers for parathyroid localization: a systematic review and metaanalysis. Langenbecks Arch Surg. 2016;401(7):925-935. doi: https://doi.org/10.1007/s00423-016-1425-0
6. Caldarella C, Treglia G, Isgro MA, Giordano A. Diagnostic performance of positron emission tomography using (1)(1)C-methionine in patients with suspected parathyroid adenoma: a metaanalysis. Endocrine. 2013;43(1):78-83. doi: https://doi.org/10.1007/s12020-012-9746-4
7. Quak E, Lheureux S, Reznik Y, et al. F18-choline, a novel pet tracer for parathyroid adenoma? J Clin Endocrinol Metab. 2013;98(8):3111-3112. doi: https://doi.org/10.1210/jc.2013-2084
8. Hodolic M, Huchet V, Balogova S, et al. Incidental uptake of (18)F-fluorocholine (FCH) in the head or in the neck of patients with prostate cancer. Radiol Oncol. 2014;48(3):228-234. doi: https://doi.org/10.2478/raon-2013-0075
9. Cazaentre T, Clivaz F, Triponez F. False-positive result in 18F-fluorocholine PET/CT due to incidental and ectopic parathyroid hyperplasia. Clin Nucl Med. 2014;39(6):E328-E330. doi: https://doi.org/10.1097/rlu.0b013e3182a77b62
10. Lezaic L, Rep S, Sever MJ, et al. (1)(8)F-Fluorocholine PET/CT for localization of hyperfunctioning parathyroid tissue in primary hyperparathyroidism: a pilot study. Eur J Nucl Med Mol Imaging. 2014;41(11):2083-2089. doi: https://doi.org/10.1007/s00259-014-2837-0
11. Michaud L, Burgess A, Huchet V, et al. Is 18F-fluorocholine-positron emission tomography/computerized tomography a new imaging tool for detecting hyperfunctioning parathyroid glands in primary or secondary hyperparathyroidism? J Clin Endocrinol Metab. 2014;99(12):4531-4536. doi: https://doi.org/10.1210/jc.2014-2821
12. Michaud L, Balogova S, Burgess A, et al. A pilot comparison of 18F-fluorocholine PET/CT, ultrasonography and 123i/99mTc-sestamibi dual-phase dual-isotope scintigraphy in the preoperative localization of hyperfunctioning parathyroid glands in primary or secondary hyperparathyroidism: influence of thyroid anomalies. Medicine (Baltimore). 2015;94(41):E1701. doi: https://doi.org/10.1097/md.0000000000001701
13. Cheung K, Wang TS, Farrokhyar F, et al. A metaanalysis of preoperative localization techniques for patients with primary hyperparathyroidism. Ann Surg Oncol. 2012;19(2):577-283. doi: https://doi.org/10.1245/s10434-011-1870-5
14. Wong KK, Fig LM, Gross MD, et al. Parathyroid adenoma localization with 99mTc-sestamibi spect/CT: a metaanalysis. Nucl Med Commun. 2015;36(4):363-375. doi: https://doi.org/10.1097/mnm.0000000000000262
15. Kunstman JW, Kirsch JD, Mahajan A, et al. Clinical review: parathyroid localization and implications for clinical management. J Clin Endocrinol Metab. 2013;98(3):902-912. doi: https://doi.org/10.1210/jc.2012-3168
16. Kluijfhout WP, Pasternak JD, Drake FT, et al. Use of pet tracers for parathyroid localization: a systematic review and metaanalysis. Langenbecks Arch Surg. 2016;401(7):925-935. doi: https://doi.org/10.1007/s00423-016-1425-0
17. Rozhinskaya L, Pigarova E, Sabanova E, et al. Diagnosis and treatment challenges of parathyroid carcinoma in a 27-year-old woman with multiple lung metastases. Endocrinol Diabetes Metab Case Rep. 2017;2017. doi: https://doi.org/10.1530/edm-16-0113
18. Demir H, Halac M, Gorur GD, et al. FDG PET/CT findings in primary hyperparathyroidism mimicking multiple bone metastases. Eur J Nucl Med Mol Imaging. 2008;35(3):686. doi: https://doi.org/10.1007/s00259-007-0653-5
19. Gahier Penhoat M, Drui D, Ansquer C, et al. Contribution of 18-FDG PET/CT to brown tumor detection in a patient with primary hyperparathyroidism. Joint Bone Spine. 2017;84(2):209-212. doi: https://doi.org/10.1016/j.jbspin.2016.06.007
20. Мокрышева Н.Г., Крупинова Ю.А, Мирная С.С. Клинические и лабораторно-инструментальные возможности пред операционной диагностики рака околощитовидных желез. // Эндокринная хирургия. — 2017. — Т. 11. — № 3. — С. 136—145. [Mokrysheva NG, Krupinova YuA, Mirnaya SS. Clinical, laboratory and instrumental methods of Pre-surgical diagnosis of the parathyroid glands cancer. Endocrine Surgery. 2017;11(3):136-145. (In Russ.)]. doi: https://doi.org/10.14341/serg20173136-145
21. Gibellini F, Smith TK. The kennedy pathway — de novo synthesis of phosphatidylethanolamine and phosphatidylcholine. Iubmb Life. 2010;62(6):414-428. doi: https://doi.org/10.1002/iub.337
22. Guma M, Sanchez-Lopez E, Lodi A, et al. Choline kinase inhibition in rheumatoid arthritis. Ann Rheum Dis. 2015;74(7):1399-1407. doi: https://doi.org/10.1136/annrheumdis-2014-2056966
23. Calabria F, Chiaravalloti A, Ciccio C, et al. PET/CT with (18)F-choline: physiological whole bio-distribution in male and female subjects and diagnostic pitfalls on 1000 prostate cancer patients: (18)F-choline PET/CT bio-distribution and pitfalls. A southern Italian experience. Nucl Med Biol. 2017;51:40-54. doi: https://doi.org/10.1016/j.nucmedbio.2017.04.004
Об авторах
Наталья Георгиевна МокрышеваФГБУ «Национальный медицинский исследовательский центр эндокринологии» Минздрава России
Россия
д.м.н., профессор
Юлия Александровна Крупинова
ФГБУ «НМИЦ эндокринологии» Минздрава России
Россия
научный сотрудник отделения патологии околощитовидных желез
Михаил Борисович Долгушин
ФГБУ «Национальный медицинский исследовательский центр онкологи и им. Н.Н. Блохина» Минздрава России
Россия
д.м.н. профессор
Акгуль Атаевна Оджарова
ФГБУ «Национальный медицинский исследовательский центр онкологи и им. Н.Н. Блохина» Минздрава России
Россия
к.м.н.
Ия Александровна Воронкова
ФГБУ «Национальный медицинский исследовательский центр эндокринологии» Минздрава России
Россия
к.м.н.
Валерий Витальевич Воскобойников
ФГБУ «Национальный медицинский исследовательский центр эндокринологии» Минздрава России
Россия
к.м.н.
Николай Сергеевич Кузнецов
ФГБУ «Национальный медицинский исследовательский центр эндокринологии» Минздрава России
Россия
д.м.н., профессор
Дополнительные файлы
|
|
1. Рис. 1. Результаты лучевой диагностики пациентки В. | |
| Тема | ||
| Тип | Исследовательские инструменты | |
Посмотреть
(2MB)
|
Метаданные ▾ | |
|
|
2. Рис. 2. Результаты лучевой диагностики пациентки В. (стрелками указаны патологические очаги в костях). | |
| Тема | ||
| Тип | Исследовательские инструменты | |
Посмотреть
(2MB)
|
Метаданные ▾ | |
|
|
3. Рис. 3. Микроскопическое строение аденомы ОЩЖ пациентки В. и результаты иммуногистохимического исследования. | |
| Тема | ||
| Тип | Исследовательские инструменты | |
Посмотреть
(2MB)
|
Метаданные ▾ | |
|
|
4. Рис. 4. Результаты лучевой диагностики пациентки А. (стрелками указана дистопированная в верхнее средостение ОЩЖ, ПЭТ/КТ с 18F-ФХ). | |
| Тема | ||
| Тип | Исследовательские инструменты | |
Посмотреть
(2MB)
|
Метаданные ▾ | |
|
|
5. Рис. 5. Результаты лучевой диагностики пациентки А. (стрелками указаны патологические очаги в костях, ПЭТ/КТ с 18F-ФХ). | |
| Тема | ||
| Тип | Исследовательские инструменты | |
Посмотреть
(2MB)
|
Метаданные ▾ | |
|
|
6. Рис. 6. Микроскопическое строение аденомы ОЩЖ пациентки А. и результаты иммуногистохимического исследования. | |
| Тема | ||
| Тип | Исследовательские инструменты | |
Посмотреть
(2MB)
|
Метаданные ▾ | |
Рецензия
Для цитирования:
Мокрышева Н.Г., Крупинова Ю.А., Долгушин М.Б., Оджарова А.А., Воронкова И.А., Воскобойников В.В., Кузнецов Н.С. Позитронная эмиссионная томография совмещенная с компьютерной томографией с 18F-фторхолином в топической диагностике опухолей околощитовидных желез и вторичных изменений костной ткани при гиперпаратиреоидной остеодистрофии: два клинических наблюдения. Проблемы Эндокринологии. 2018;64(5):299-305. https://doi.org/10.14341/probl9548
For citation:
Mokrysheva N.G., Krupinova J.A., Dolgushin M.B., Odzharova A.A., Voronkova I.A., Voskoboynikov V.V., Kuznecov N.S. Positron emission tomography in combination with computed tomography with 18F-fluorocholine in the topical diagnosis of parathyroid tumors and secondary changes in bone tissue associated with hyperparathyroid osteodystrophy: two case studies. Problems of Endocrinology. 2018;64(5):299-305. https://doi.org/10.14341/probl9548
Контент доступен под лицензией Creative Commons Attribution-NonCommercial-NoDerivatives 4.0 International License (CC BY-NC-ND 4.0).




































.jpg)

