Перейти к:
IgG4-ассоциированное заболевание в дифференциальной диагностике воспалительных орбитопатий
https://doi.org/10.14341/probl10223
Аннотация
IgG4-ассоциированное заболевание (IgG4–АЗ) – это системное воспалительное заболевание, которое, как правило, характеризуется формированием опухолеподобных склерозирующих очагов. Дифференциальный диагноз при поражении орбиты при IgG4–АЗ довольно обширный и включает такие заболевания, как эндокринная офтальмопатия, саркоидоз, гранулематоз с полиангиитом, идиопатическое воспаление орбиты, лимфопролиферативные заболевания и др. В статье представлен клинический случай IgG4–АЗ с поражением нескольких органов-мишеней и сложным дифференциальным диагнозом. Этот клинический пример является демонстрацией достаточно необычной манифестации IgG4–АЗ, при которой ведущим проявлением было поражение орбит, схожее с таковым при эндокринной офтальмопатии. В течение длительного времени системный процесс не был распознан, и только после проведения биопсии аномально увеличенной слезной железы было диагностировано IgG4–АЗ. Дифференциальный диагноз проводили с другими системными заболеваниями, в первую очередь гранулематозом с полиангиитом и саркоидозом, а также с лимфомой. Данные биопсии в представленном случае соответствовали «золотому стандарту» диагноза IgG4–АЗ, т.е. более 40% плазматических клеток были IgG4-позитивны. Этот случай демонстрирует необходимость проведения биопсии патологически измененных тканей орбиты до назначения иммуносупрессивного лечения во избежание ошибок в выборе тактики лечения пациента.
Ключевые слова
Для цитирования:
Груша Я.О., Исмаилова Д.С., Свириденко Н.Ю., Новиков П.И., Ковригина А.М. IgG4-ассоциированное заболевание в дифференциальной диагностике воспалительных орбитопатий. Проблемы Эндокринологии. 2019;65(5):367-372. https://doi.org/10.14341/probl10223
For citation:
Grusha Ya.O., Ismailova D.S., Sviridenko N.Yu., Novikov P.I., Kovrigina A.M. IgG4-associated disease in differential diagnosis of inflammatory orbitopathy. Problems of Endocrinology. 2019;65(5):367-372. https://doi.org/10.14341/probl10223
Актуальность
IgG4-ассоциированное заболевание (IgG4–АЗ) – это системное воспалительное заболевание, которое, как правило, характеризуется формированием опухолеподобных склерозирующих очагов [1]. Такие очаги могут локализоваться практически в любом органе: описано вовлечение поджелудочной железы, печени, щитовидной железы, гепато-биллиарной системы, аорты, забрюшинного пространства и лимфатических узлов. В области головы и шеи подобные очаги воспаления могут встречаться в мозговых оболочках, гипофизе, слюнных железах, околоносовых пазухах и среднем ухе. Среди глазных проявлений типичным является вовлечение слезной железы, экстраокулярных мышц и мягких тканей орбиты, а также более редко поражаются веки и носослезный проток.
Дифференциальный диагноз при поражении орбиты при IgG4–АЗ довольно обширный и включает такие заболевания, как эндокринная офтальмопатия (ЭОП), саркоидоз, гранулематоз с полиангиитом (ГПА), идиопатическое воспаление орбиты, лимфопролиферативные заболевания и др. Поскольку экзофтальм является частым симптомом при IgG4–АЗ с поражением орбиты, эндокринолог может быть первым специалистом, к которому попадает пациент с данной патологией. Чтобы избежать диагностических ошибок, необходим тщательный подход к сбору анамнеза и оценке объективных данных. Учитывая системный характер патологического процесса, вовлечение различных органов и многообразие симптомов, одними из важнейших факторов успешной диагностики и лечения IgG4–АЗ являются тесное взаимодействие врачей различных специальностей и междисциплинарный подход к принятию клинических решений.
Ниже приводим клинический случай IgG4–АЗ с поражением нескольких органов-мишеней и сложным дифференциальным диагнозом.
Описание случая
Пациентка М. поступила в ФГБУ «МНИЦ эндокринологии» Минздрава России с диагнозом «Аутоиммунный тиреоидит, эндрокринная офтальмопатия (ЭОП)», с жалобами на снижение зрения, выпячивание глазных яблок, отеки век, слезотечение, двоение, дискомфорт и боли в глазах, ухудшение памяти, быструю утомляемость.
Пациентка считает себя больной с момента, когда 3 года назад появился малопродуктивный кашель, повышение температуры тела до 40°. При рентгенографии и мультиспиральной компьютерной томографии (МСКТ) органов грудной клетки выявлены очаговые изменения в легких, лимфаденопатия. По месту жительства проводилась антибактериальная терапия без эффекта, исключался туберкулез (кожные пробы отрицательные). После неоднократной смены антибактериальных препаратов температура тела нормализовалась, однако очаговые изменения в легких и лимфаденопатия сохранялись. Пациентка была консультирована онкологами. Неоднократно проводилась бронхоскопия без специфической картины. С того же времени отмечает появление слезоточивости, нарушения зрения (двоение), отечность верхних век, экзофтальм (больше справа). Специфического лечения не получала. В течение 3 лет состояние было стабильным, постоянно отмечалось увеличение подчелюстных лимфатических узлов с формированием свищей и отделяемым из них. Сохранялись экзофтальм и отечность век. Спустя 3 года состояние стало ухудшаться. Учитывая наличие экзофтальма, было проведено обследование щитовидной железы (ЩЖ). Выявлено повышение титра антител к тиропероксидазе (ТПО) до 40 МЕ/мл (норма до 5,6), повышение титра антител к тиреоглобулину (ТГ) до 326,5 МЕ/мл (норма до 4,1), изменения эхоструктуры ЩЖ, при нормальных показателях функции ЩЖ концентрация тиреотропного гормона (ТТГ) составила 1,6 мМЕ/л (норма 0,3-4,0). Учитывая наличие экзофтальма, повышение содержания антител к ТПО и ТГ, глазная патология расценивалась в рамках эндокринного генеза. При повторной фибробронхоскопии патологии бронхиального дерева не выявлено. При МСКТ органов грудной клетки выявлено диссеминированное поражение, бронхоаденит. Повторно осмотрена фтизиатром, проба Манту, диаскин-тест отрицательные. Проведена биопсия легкого и лимфатических узлов. При патогистологическом исследовании: хроническая интерстициальная пневмония с пневмосклерозом и геморрагиями, гиперпластическая лимфаденопатия реактивного характера. Проводилась антибактериальная и муколитическая терапия, без эффекта (сохранение очагов).
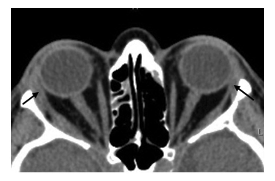
Через 6 мес после начала ухудшения отметила появление выраженного экзофтальма, болей в проекции правой орбиты, слезотечения, отеков век. Концентрация тиреоидных гормонов была в пределах нормы (ТТГ 1,22 мМЕ/л, свободного Т4 12,5 пмоль/л), содержание антител к рецептору ТТГ составляла 0,3 МЕ/л. Отмечались небольшое превышение содержания антител к ТПО до 22,7 МЕ/м (при норме до 5,6 МЕ/м), увеличение объема ЩЖ до 21 см3, умеренное снижение эхогенности с множественными мелкими гипоэхогенными зонами, неизмененная васкуляризация. При объективном исследовании обращали на себя внимание отек век, более выраженный справа, расширение эписклеральных сосудов, двусторонний экзофтальм, более выраженный справа (правый глаз (OD) 26 мм, левый глаз (OS) 22 мм), затруднение репозиции глазных яблок, вторичное косоглазие слева, нечеткость границ зрительного нерва при офтальмоскопии (рис. 1). Проведена МСКТ орбит: КТ-картина выраженного экзофтальма, утолщения глазодвигательных мышц (наружной и нижней прямых), значительное увеличение слезных желез (справа 30,0×15,8 мм, слева 25,0×11,5 мм, при норме: длина 5,4–12,9×2,7–6,5 мм), структура однородная, плотность снижена: справа 52 НU, слева 52 НU, признаки апикального сгущения справа (рис. 2).
Рис. 1. Внешний вид пациентки до лечения:
а – вид анфас, двусторонний экзофтальм (больше выражен справа), эзотропия слева; б – вид с запрокинутой головой.
Рис. 2. МСКТ орбит (аксиальная проекция) до лечения. Выраженное утолщение наружной прямой мышцы, увеличение слезных желез (стрелки).
Учитывая данные офтальмологического обследования, подозрение на оптическую нейропатию, данные МСКТ орбит, отсутствие убедительных данных за ЭОП, отсутствие нарушения функции ЩЖ, было рекомендовано дообследование для уточнения диагноза в условиях специализированной офтальмологической клиники. Пациентка была направлена в ФГБНУ «НИИ Глазных болезней» для обследования и уточнения диагноза. При осмотре отмечались двусторонний, более выраженный справа, экзофтальм (OD 27 мм, OS 22 мм), отек периорбитальных тканей. Подвижность глазных яблок ограничена, левый глаз отклонен в носовую сторону на 10˚, бинокулярное двоение во всех положениях взора. Верхнее веко справа незначительно опущено в наружной половине (S-образная деформация контура верхнего века), с обеих сторон ретракция нижних век, лагофтальма не было. Афферентный зрачковый дефект отсутствовал. При осмотре глазного дна диск зрительного нерва бледно-розовый, границы четкие.
По данным офтальмологического обследования и анамнеза заподозрено поражение орбиты в рамках системного заболевания. Для исключения системной ревматической патологии пациентка была направлена в ревматологическое отделение Университетской клинической больницы № 3 Сеченовского Университета. По результатам проведенного обследования не было обнаружено признаков системных васкулитов и диффузных заболеваний соединительной ткани (в том числе саркоидоза, болезни Шегрена), а также опухолевых и инфекционных процессов. По данным МСКТ органов грудной клетки, не выявлено лимфаденопатии, клинически незначимые очаговые фиброзные и интерстициальные изменения (очаги до 0,6 см). Значения СОЭ и СРБ, АПФ были в пределах нормальных значений, содержание антител к протеиназе-3, миелопероксидазе, SS-A, антинуклеарного фактора, ревматоидного фактора не отклонялись от нормы. Концентрация IgG4 в сыворотке крови была в норме. По данным других исследований, в том числе расширенного онкопоиска, скрининга на инфекции, обследования у стоматолога, КТ придаточных пазух носа и среднего уха, головного мозга, анализов мочи, электрофореза белков крови и мочи с иммунохимическим исследованием, существенных отклонений обнаружено не было. Обсуждалась возможность АНЦА-отрицательного ГПА, однако отсутствие других типичных органных поражений (в том числе верхних дыхательных путей, органа слуха, почек, периферической нервной системы), а также длительный анамнез поражения органа зрения и легких без системного прогрессирования, несмотря на отсутствие постоянной иммуносупрессивной терапии, делало это предположение маловероятным. Для верификации диагноза, определения тактики ведения была выполнена транскутанная биопсия слезной железы.
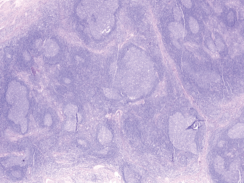
При гистологическом исследовании выявлены фрагменты фиброзной ткани со структурами слезной железы, многочисленными лимфоидными фолликулами с широкими центрами размножения; присутствовали пласты зрелых плазматических клеток, расположенных парафолликулярно, перидуктально, часть из них – интрафолликулярно, с примесью эозинофильных гранулоцитов (рис. 3, 4).
Рис. 3. Лимфоидная инфильтрация ткани слезной железы представлена многочисленными вторичными фолликулами.
Окраска гематоксилином и эозином (ув. ×25).
Рис. 4. Участки зрелоклеточной плазмоклеточной инфильтрации с примесью эозинофильных гранулоцитов.
Окраска гематоксилином и эозином (ув. ×200).
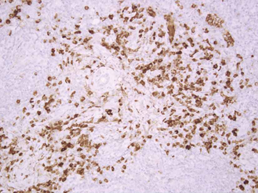
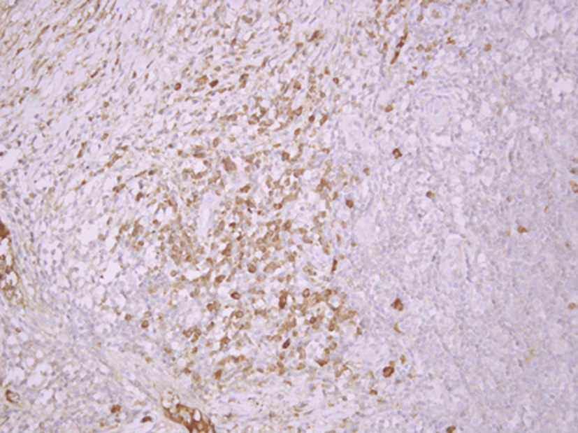
В целях проведения дифференциальной диагностики между MALT-тканью, MALT-лимфомой и IgG4-связанным заболеванием было проведено иммуногистохимическое (ИГХ) исследование. При ИГХ-исследовании: фолликулы четко очерчены CD20+ (рис. 5), светлые центры размножения CD10-позитивны, BCL-2-негативны; интерфолликулярно преобладают Т-клетки CD3+ (рис. 6). Клетки лимфоидного пролиферата не экспрессируют MNDA – миелоидный ядерный дифференцировочный антиген («внутренний» позитивный контроль – гистиоциты). В участках скоплений зрелых плазматических клеток соотношение IgG4/IgG >40% (рис. 7–12); IgG и IgG4-позитивные зрелые клетки расположены в том числе интрафолликулярно. Таким образом, морфологическая картина и данные ИГХ-исследования свидетельствовали в пользу IgG4-связанного заболевания (IgG4-связанного дакриоаденита/IgG4-связанного воспаления орбиты, синоним – мультифокальный склероз орбит) [2].
Рис. 5. Лимфоидные фолликулы представлены четко очерченными В-клеточными структурами. Реакция с антителами к CD20.
Иммуноферментный метод (ув. ×100).
Рис. 6. Интерфолликулярно преобладают Т-клетки. Реакция с антителами к CD3.
Иммуноферментный метод (ув. ×100).
Рис. 7. Пласты зрелых плазматических клеток экспрессируют IgG.
Иммуноферментный метод (ув. ×200).
Рис. 8. Пласты зрелых плазматических клеток экспрессируют IgG4 (IgG/IgG4>40%).
Иммуноферментный метод (ув. ×200).
Рис. 9. Внешний вид пациентки через 10 мес после начала терапии.
Глаза расположены правильно: а – вид анфас, ортотропия, справа сохранялся минимальный птоз верхнего века; б – вид с запрокинутой головой, экзофтальм отсутствует.
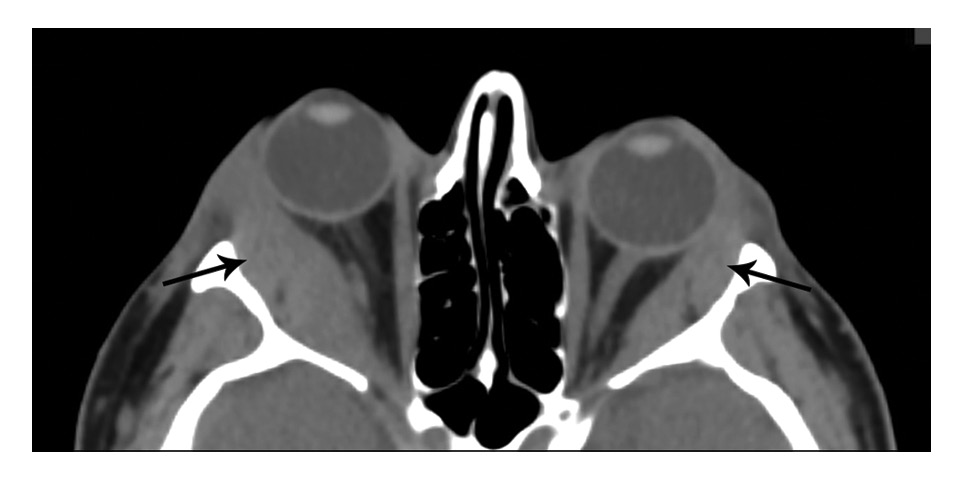
Рис. 10. КТ орбит (аксиальная проекция) на сроке лечения 10 мес. Значительное уменьшение поперечника наружных прямых мышц и слезных желез (стрелки).
С учетом результатов морфологического исследования, учитывая сохранение активного орбитального воспаления, угрожающего необратимой утратой зрения, ревматологами УКБ №3 Сеченовского Университета были назначены глюкокортикоиды перорально в дозе 40 мг/сут (по преднизолону) на 4 нед с последующим постепенным снижением дозировки.
В результате иммуносупрессивного лечения отмечена выраженная положительная динамика: уменьшение экзофтальма, ретракции нижних век, регрессия косоглазия, бинокулярного двоения и периорбитальных отеков (рис. 9, 10). Лагофтальм на правом глазу не регистрируется. На сроке наблюдения 10 мес ремиссия воспалительного процесса в орбите сохранялась на поддерживающей дозе глюкокортикоидов.
Однако через 1 год лечения на фоне снижения дозы преднизолона до 5 мг/сут появились признаки рецидива заболевания. У пациентки вновь появились отеки век, повысилось содержание С-реактивного белка. В связи с рецидивом доза преднизолона была повышена до 20 мг/сут, на фоне чего была быстро достигнута ремиссия заболевания. В дальнейшем на фоне снижения дозы глюкокортикоидов сохранялась стойкая длительная ремиссия заболевания.
Обсуждение
В клиническом случае представлена пациентка с IgG4–АЗ с вовлечением в патологический воспалительный процесс тканей орбиты (включая прямые глазодвигательные мышцы), лимфатических узлов, предположительно аутоиммунной патологии щитовидной железы (повышение уровня антител к ТПО, изменения эхоструктуры ЩЖ). Однако отсутствие нарушения функции ЩЖ не позволило верифицировать данную патологию.
IgG4–АЗ относительно недавно было выделено в отдельную нозологическую форму и до 2003 г. не рассматривалось как системное [5]. IgG4–АЗ является локализованным или мультиорганным процессом с выраженной лимфоплазмоцитарной инфильтрацией, «муаровым» фиброзом с последующими явлениями облитерирующего флебита, повышенным тканевым содержанием IgG4-позитивных плазмоцитов (>40%) и часто повышенной сывороточной секрецией IgG4 (>135 мг/дл), что сопровождается активацией Th2 клеток с секрецией IgE, активацией каскада провоспалительных и профибротических цитокинов [6–8].
В патологический процесс могут быть вовлечены любые ткани, и в результате в пораженных органах развиваются фиброзные изменения [1]. Термин «IgG4–АЗ» объединяет несколько заболеваний, описанных много лет назад под различными названиями в зависимости от пораженного органа («синдром Микулича», «тиреоидит Риделя» и «ретроперитонеальный фиброз»). Поражение орбиты в рамках IgG4–АЗ является типичным проявлением заболевания и встречается в 3,6–12,5% случаев, наиболее часто (62%) в патологический процесс вовлекается слезная железа [3, 4, 6, 9, 10]. При вовлечении экстраокулярных мышц КТ-картина отличается от таковой при ЭОП, при которой наиболее часто в патологический процесс вовлекаются нижняя и медиальная прямые мышцы [11]. В нашем случае наибольшим изменениям были подвергнуты наружные прямые мышцы, размер которых намного превосходил размеры остальных экстраокулярных мышц.
Этот клинический пример является демонстрацией достаточно необычной манифестации IgG4–АЗ, при которой ведущим проявлением было поражение орбит, схожее с таковым при ЭОП. В течение длительного времени системный процесс не был распознан, и только после проведения биопсии увеличенной слезной железы было диагностировано IgG4–АЗ. Дифференциальный диагноз проводили с другими системными заболеваниями, в первую очередь ГПА и саркоидозом, а также лимфомой. Данные биопсии в представленном случае соответствовали «золотому стандарту» диагноза IgG4–АЗ, т.е. более 40% плазматических клеток были IgG4 позитивны.
В целом орбитопатию в рамках IgG4–АЗ из-за схожей клинической картины можно легко перепутать с ЭОП. Сомнения должны вызывать случаи ЭОП с эутиреоидной орбитопатией, нехарактерной КТ-картиной (увеличение слезных желез, вовлечение «нехарактерных» экстраокулярных мышц, «плюс»-ткань в орбите). Кроме того, важно обращать внимание на наличие каких-либо системных проявлений воспаления и вовлечения других органов.
Для индукции ремиссии при IgG4–АЗ препаратом первой линии являются глюкокортикоиды, применение которых, как правило, приводит к очень быстрому (в течение нескольких недель) улучшению состояния [12]. При ЭОП глюкокортикоиды также являются лечением выбора. Однако в последнем случае их назначают в высоких дозах (пульс-терапия) в течение непродолжительного времени. Подобная схема в случае IgG4–АЗ привела бы к выраженной положительной динамике (зачастую даже более выраженной, чем при ЭОП), однако этот стартовый эффект при отмене глюкокортикоидов был бы нестабильным, что привело бы к рецидиву воспаления. При IgG4–АЗ иммуносупрессивное лечение должно быть длительным с постепенным снижением дозы глюкокортикоидных гормонов. Однако в некоторых случаях для достижения ремиссии требуется несколько месяцев, и эффект глюкокортикоидных гормонов недостаточен или вообще отсутствует. В таких случаях резистентности к глюкокортикоидам или противопоказаний к ним препаратом выбора является ритуксимаб [13]. В нашем случае лечение глюкокортикоидными гормонами было эффективным, однако при снижении дозы до 5 мг отмечался рецидив, что потребовало повышения дозы препарата с последующим снижением до поддерживающего уровня в течение длительного времени.
Заключение
Постановка ошибочного диагноза при IgG4–АЗ может иметь серьезные последствия, когда при рецидиве воспаления в связи с резкой отменой глюкокортикоидов пациенту могла бы быть выполнена костная декомпрессия орбиты или проведена лучевая терапия. Именно поэтому в нетипичных случаях ЭОП важно привлекать к проведению диагностики и лечению специалистов разного профиля, включая не только эндокринологов, офтальмологов, но и ревматологов, иммунологов, морфологов. Проведение биопсии патологически измененных тканей орбиты в этих случаях всегда должно предшествовать назначению иммуносупрессивного лечения.
Дополнительная информация
Дополнительные материалы к статье
|
Рис. 1. Внешний вид пациентки до лечения: а – вид анфас, двусторонний экзофтальм (больше выражен справа), эзотропия слева; б – вид с запрокинутой головой. Доступен на цветной вклейке и в сети Интернет: https://doi.org/10.14341/probl10223-4020 |
|
|
Рис. 3. Лимфоидная инфильтрация ткани слезной железы представлена многочисленными вторичными фолликулами. Окраска гематоксилином и эозином (ув. ×25). Доступен на цветной вклейке и в сети Интернет: https://doi.org/10.14341/probl10223-4022 |
|
|
Рис. 4. Участки зрелоклеточной плазмоклеточной инфильтрации с примесью эозинофильных гранулоцитов. Окраска гематоксилином и эозином (ув. ×200). Доступен на цветной вклейке и в сети Интернет: https://doi.org/10.14341/probl10223-4023 |
|
|
Рис. 5. Лимфоидные фолликулы представлены четко очерченными В-клеточными структурами. Реакция с антителами к CD20. Иммуноферментный метод (ув. ×100). Доступен на цветной вклейке и в сети Интернет: https://doi.org/10.14341/probl10223-4024 |
|
|
Рис. 6. Интерфолликулярно преобладают Т-клетки. Реакция с антителами к CD3. Иммуноферментный метод (ув. ×100). Доступен на цветной вклейке и в сети Интернет: https://doi.org/10.14341/probl10223-4025 |
|
|
Рис. 7. Пласты зрелых плазматических клеток экспрессируют IgG. Иммуноферментный метод (ув. ×200). Доступен на цветной вклейке и в сети Интернет: https://doi.org/10.14341/probl10223-4026 |
|
|
Рис. 8. Пласты зрелых плазматических клеток экспрессируют IgG4 (IgG/IgG4>40%). Иммуноферментный метод (ув. ×200). Доступен на цветной вклейке и в сети Интернет: https://doi.org/10.14341/probl10223-4027 |
|
|
Рис. 9. Внешний вид пациентки через 10 мес после начала терапии. Глаза расположены правильно: а – вид анфас, ортотропия, справа сохранялся минимальный птоз верхнего века; б – вид с запрокинутой головой, экзофтальм отсутствует. Доступен на цветной вклейке и в сети Интернет: https://doi.org/10.14341/probl10223-4028 |
Источник финансирования. Данная работа выполнена при финансовой поддержке Российского научного фонда (грант РНФ №17-75-30035).
Согласие пациента. Пациентка добровольно подписала информированное согласие на публикацию персональной медицинской информации в журнале «Проблемы эндокринологии» в обезличенной форме.
Участие авторов: Я.О. Груша, Д.С. Исмаилова – проведение офтальмологического исследования, биопсии слезной железы; Н.Ю. Свириденко – проведение эндокринологического исследования; П.И. Новиков – проведение лечения глюкокортикоидами; А.М. Ковригина – проведение гистологического и иммуногистохимического исследования.
Конфликт интересов. Авторы декларируют отсутствие явных и потенциальных конфликтов интересов, связанных с публикацией настоящей статьи.
Список литературы
1. Stone JH, Khosroshahi A, Deshpande V, et al. Recommendations for the nomenclature of IgG4-related disease and its individual organ system manifestations. Arthritis Rheum. 2012;64(10):3061-3067. doi: https://doi.org/10.1002/art.34593.
2. Sedyshev SKh, Vasiliev VI, Kovrigina AM, Nasonov EL. IgG4-linked systemic disease. Modern outlook on «old» disease. Science-practical rheumatology. 2012;(5):64-72.
3. Hamano H, Arakura N, Muraki T, et al. Prevalence and distribution of extrapancreatic lesions complicating autoimmune pancreatitis. J Gastroenterol. 2006;41(12):1197-1205. doi: https://doi.org/10.1007/s00535-006-1908-9
4. Takuma K, Kamisawa T, Anjiki H, et al. Metachronous extrapancreatic lesions in autoimmune pancreatitis. Intern Med. 2010; 49(6):529−533. doi: https://doi.org/10.2169/internalmedicine.49.3038
5. Ferry JA, Klepeis V, Sohani AR, et al. IgG4-related orbital disease and its mimics in a western population. Am J Surg Pathol. 2015;39(12):1688-1700. doi: https://doi.org/10.1097/pas.0000000000000497
6. Masaki Y, Kurose N, Umehara H. IgG4-related disease: a novel lymphoproliferative disorder discovered and established in Japan in the 21st century. J Clin Exp Hematop. 2011;51(1):13-20. doi: https://doi.org/10.3960/jslrt.51.13
7. Sah RP, Chari ST. Serologic issues in IgG4-related systemic disease and autoimmune pancreatitis. Curr Opin Rheumatol. 2011;23(1): 108–113. doi: https://doi.org/10.1097/bor.0b013e3283413469
8. Strehl JD, Hartmann A, Agaimy A. Numerous IgG4-positive plasma cells are ubiquitous in diverse localised non-specific chronic inflammatory conditions and need to be distinguished from IgG4-related systemic disorders. J Clin Pathol. 2011;64(3):237-243. doi: https://doi.org/10.1136/jcp.2010.085613
9. Berry-Brincat A, Rose GE. Idiopathic orbital inflammation: a new dimension with the discovery of immunoglobulin G4-related disease. Curr Opin Ophthalmol. 2012;23(5):415-419. doi: https://doi.org/10.1097/ICU.0b013e32835563ec
10. Tiegs-Heiden CA, Eckel LJ, Hunt CH, et al. Immunoglobulin G4-related disease of the orbit: imaging features in 27 patients. AJNR Am J Neuroradiol. 2014;35(7):1393-1397. doi: https://doi.org/10.3174/ajnr.A3865
11. Siakallis LC, Uddin JM, Miszkiel KA. Imaging investigation of thyroid eye disease. Ophthalmic Plast Reconstr Surg. 2018; 34(4S Suppl 1):S41-S51. doi: https://doi.org/10.1097/IOP.0000000000001139.
12. Hagiya C, Tsuboi H, Yokosawa M, et al. Clinicopathological features of IgG4-related disease complicated with orbital involvement. Mod Rheumatol. 2014;24(3):471-476. doi: https://doi.org/10.3109/14397595.2013.844307
13. Detiger SE, Karim AF, Verdijk RM, et al. The treatment outcomes in IgG4-related orbital disease: a systematic review of the literature. Acta Ophthalmol. 2019;97(5):451-459. doi: https://doi.org/10.1111/aos.14048
Об авторах
Ярослав Олегович ГрушаРоссия
д.м.н., проф.
Диляра Султанмуратовна Исмаилова
Россия
к.м.н.
Наталья Юрьевна Свириденко
Национальный медицинский исследовательский центр эндокринологии
Россия
д.м.н.
Павел Игоревич Новиков
Россия
к.м.н.
Алла Михайловна Ковригина
Россия
д.б.н.
Дополнительные файлы
|
|
1. Рис. 1. Внешний вид пациентки до лечения:а – вид анфас, двусторонний экзофтальм (больше выражен справа), эзотропия слева; б – вид с запрокинутой головой. | |
| Тема | ||
| Тип | Прочее | |
Посмотреть
(148KB)
|
Метаданные ▾ | |
|
|
2. Рис. 1. Внешний вид пациентки до лечения:а – вид анфас, двусторонний экзофтальм (больше выражен справа), эзотропия слева; б – вид с запрокинутой головой. | |
| Тема | ||
| Тип | Прочее | |
Посмотреть
(89KB)
|
Метаданные ▾ | |
|
|
3. Рис. 2. МСКТ орбит (аксиальная проекция) до лечения. Выраженное утолщение наружной прямой мышцы, увеличение слезных желез (стрелки). | |
| Тема | ||
| Тип | Прочее | |
Посмотреть
(39KB)
|
Метаданные ▾ | |
|
|
4. Рис. 3. Лимфоидная инфильтрация ткани слезной железы представлена многочисленными вторичными фолликулами. | |
| Тема | ||
| Тип | Прочее | |
Посмотреть
(209KB)
|
Метаданные ▾ | |
|
|
5. Рис. 4. Участки зрелоклеточной плазмоклеточной инфильтрации с примесью эозинофильных гранулоцитов. | |
| Тема | ||
| Тип | Прочее | |
Посмотреть
(216KB)
|
Метаданные ▾ | |
|
|
6. Рис. 5. Лимфоидные фолликулы представлены четко очерченными В-клеточными структурами. Реакция с антителами к CD20. | |
| Тема | ||
| Тип | Прочее | |
Посмотреть
(185KB)
|
Метаданные ▾ | |
|
|
7. Рис. 6. Интерфолликулярно преобладают Т-клетки. Реакция с антителами к CD3. | |
| Тема | ||
| Тип | Прочее | |
Посмотреть
(231KB)
|
Метаданные ▾ | |
|
|
8. Рис. 7. Пласты зрелых плазматических клеток экспрессируют IgG. | |
| Тема | ||
| Тип | Прочее | |
Посмотреть
(197KB)
|
Метаданные ▾ | |
|
|
9. Рис. 8. Пласты зрелых плазматических клеток экспрессируют IgG4 (IgG/IgG4>40%). | |
| Тема | ||
| Тип | Прочее | |
Посмотреть
(205KB)
|
Метаданные ▾ | |
|
|
10. Рис. 9. Внешний вид пациентки через 10 мес после начала терапии. | |
| Тема | ||
| Тип | Прочее | |
Посмотреть
(122KB)
|
Метаданные ▾ | |
|
|
11. Рис. 9. Внешний вид пациентки через 10 мес после начала терапии. | |
| Тема | ||
| Тип | Прочее | |
Посмотреть
(94KB)
|
Метаданные ▾ | |
|
|
12. Рис. 10. КТ орбит (аксиальная проекция) на сроке лечения 10 мес. Значительное уменьшение поперечника наружных прямых мышц и слезных желез (стрелки). | |
| Тема | ||
| Тип | Прочее | |
Посмотреть
(59KB)
|
Метаданные ▾ | |
Рецензия
Для цитирования:
Груша Я.О., Исмаилова Д.С., Свириденко Н.Ю., Новиков П.И., Ковригина А.М. IgG4-ассоциированное заболевание в дифференциальной диагностике воспалительных орбитопатий. Проблемы Эндокринологии. 2019;65(5):367-372. https://doi.org/10.14341/probl10223
For citation:
Grusha Ya.O., Ismailova D.S., Sviridenko N.Yu., Novikov P.I., Kovrigina A.M. IgG4-associated disease in differential diagnosis of inflammatory orbitopathy. Problems of Endocrinology. 2019;65(5):367-372. https://doi.org/10.14341/probl10223
Контент доступен под лицензией Creative Commons Attribution-NonCommercial-NoDerivatives 4.0 International License (CC BY-NC-ND 4.0).




































.jpg)

