Preview

Проблемы Эндокринологии

Расширенный поиск

Клинические, генетические и радионуклидные характеристики пациентов с фокальной формой врожденного гиперинсулинизма

https://doi.org/10.14341/probl10317

Содержание

Перейти к:

Аннотация

Обоснование. Врожденный гиперинсулинизм (ВГИ) является тяжелым заболеванием с высоким риском развития осложнений в виде неврологического дефицита. Персистирующие гипогликемии при фокальной форме ВГИ в 96,4% не купируются медикаментозной терапией, что приводит к необходимости оперативного лечения. В настоящий момент имеется дефицит информации касательно характеристик российской популяции пациентов с фокальной формой ВГИ. Исследование данной группы пациентов направлено на поиск возможностей оптимизации диагностики и лечения.


Цель: изучение клинических, молекулярно-генетических и радионуклидных особенностей фокальной формы врожденного гиперинсулинизма в российской группе пациентов.


Методы. В данное наблюдательное исследование были включены все пациенты с гистологически подтвержденной фокальной формой ВГИ, поступившие в ФГБУ «НМИЦ эндокринологии» с января 2008 г. по январь 2019 г. Был проведен статистический анализ имеющихся клинических, молекулярно-генетических данных и результатов позитронно-эмиссионной томографии (ПЭТ) с 18F-дигидроксифенилаланином (18F-ДОФА). Медиана продолжительности наблюдения составила 18 мес.


Результаты. В исследование был включен 31 пациент с фокальной формой ВГИ (14 (45,2%) мальчиков). У всех пациентов отмечалась неонатальная манифестация заболевания с высокой потребностью в непрерывной инфузии глюкозы для поддержания эугликемии. Разница между возрастом манифестации гипогликемии и возрастом постановки диагноза колебалась от 1 дня до 3,9 месяцев. Во всех случаях было констатировано диазоксид резистентное течение заболевания. Тем не менее, у 9 пациентов удалось отменить непрерывную терапию глюкозой и поддерживать относительную эугликемию при применении октреотида в предоперационном периоде. Проведение молекулярно-генетического исследования позволило обнаружить различные варианты мутаций в генах ABCC8 и KCNJ11 у 30 пациентов. Показатели панкреатического индекса (ПИ) по данным ПЭТ с 18F-ДОФА колебались в широких пределах – от 1,16 до 3,59. После частичной резекции участка поджелудочной железы с гиперсекрецией инсулина у всех пациентов наблюдалось полное выздоровление.


Заключение. Фокальная форма ВГИ имеет тяжелое течение с высоким процентом развития неврологических осложнений. Для предоперационной диагностики формы заболевания необходимо проведение молекулярно-генетического и радионуклидного исследований. Исключительная оценка математических параметров при проведении ПЭТ с 18F-ДОФА без учета визуальных данных и результатов молекулярно-генетического исследования не позволяет однозначно установить диагноз. Важными задачами представляются своевременная диагностика и лечение заболевания, а также определение факторов риска и профилактика осложнений персистирующей гипогликемии.

Для цитирования:


Губаева Д.Н., Меликян М.А., Рыжкова Д.В., Пойда М.Д., Баиров В.Г., Сухоцкая А.А., Соколов Ю.Ю., Ефременков А.М., Митрофанова Л.Б., Кристесен Х., Никитина И.Л. Клинические, генетические и радионуклидные характеристики пациентов с фокальной формой врожденного гиперинсулинизма. Проблемы Эндокринологии. 2019;65(5):319-329. https://doi.org/10.14341/probl10317

For citation:


Gubaeva D.N., Melikyan M.A., Ryzhkova D.V., Poyda M.D., Bairov V.G., Sukhotskaya A.A., Sokolov Yu.Yu., Efremenkov A.M., Mitrofanova L.B., Christesen H., Nikitina I.L. Clinical, genetic, and radionuclide characteristics of the focal form of congenital hyperinsulinism. Problems of Endocrinology. 2019;65(5):319-329. https://doi.org/10.14341/probl10317

Обоснование

Врожденный гиперинсулинизм (ВГИ) является одной из частых причин гипогликемии в детском возрасте [1]. Основой данного заболевания является неадекватная гиперсекреция инсулина β-клетками поджелудочной железы вследствие генетического дефекта. Распространенность ВГИ составляет, по данным мировой литературы [2], 1:30 000 новорожденных. Клиническая картина ВГИ неспецифична и обусловлена гипогликемией. Персистирующая гипогликемия в детском возрасте может приводить к задержке психомоторного развития, эпилепсии, слепоте и другим неврологическим нарушениям, что обусловливает необходимость ранней диагностики и своевременной терапии ВГИ.

Существует две основные морфологические формы ВГИ: диффузная и фокальная. Знания о наличии той или иной морфологической формы заболевания у пациента необходимы для прогнозирования клинической картины и, соответственно, выбора тактики ведения. Развитие диффузной либо фокальной формы ВГИ определяется генетическим дефектом. В настоящее время известно 14 генов (ABCC8, KCNJ11, GLUD1, GCK, HADH, SLC16A1, UCP2, HNF4A, HNF1A, HK1, PGM1, PMM2, CACNA1D, FOXA2), мутации в которых приводят к развитию ВГИ [3]. По данным исследований, наиболее часто развитие ВГИ обусловлено патогенными мутациями в генах, ответственных за работу АТФ-зависимых калиевых каналов, – ABCC8 и KCNJ11 [4]. Так, при наличии патогенной мутации во всех β-клетках поджелудочной железы возникает диффузная форма ВГИ. Напротив, фокальная форма заболевания возникает при наследовании патогенной мутации на отцовской аллели в генах ABCC8 или KCNJ11 с одновременной соматической потерей материнской аллели в области 11p15. Следует подчеркнуть, что основой развития фокальной формы ВГИ является не новообразование, а группа β-клеток с генетически детерминированной гиперсекрецией инсулина.

Известно, что диффузная форма в большинстве случаев поддается медикаментозной терапии [4]. Для лечения заболевания наиболее широко используются такие препараты, как диазоксид и октреотид. Однако в случае фармакорезистентного течения диффузной формы возникает необходимость в проведении субтотальной панкреатэктомии, что является инвалидизирующей операцией, приводящей к экзокринной и эндокринной недостаточности поджелудочной железы. Особенность фокальной формы – неэффективность инсулиностатических препаратов у подавляющего большинства пациентов [5, 6]. Предпочтительной тактикой лечения у пациентов с фокальной формой ВГИ является проведение резекции участка гиперпродукции инсулина с сохранением интактной ткани поджелудочной железы, что позволяет излечить заболевание и полностью сохранить функцию органа.

Заподозрить фокальную форму помогают молекулярно-генетические исследования. Единственным доступным неинвазивным методом топической предоперационной диагностики морфологической формы ВГИ остается проведение позитронно-эмиссионной томографии (ПЭТ) с радиофармацевтическим препаратом 18F-дигидроксифенилаланином (18F-ДОФА) [1, 7]. Использование других методов визуализации (УЗИ, магнитно-резонансная томография, компьютерная томография (КТ) с контрастированием, ПЭТ с 18F-фтордезоксиглюкозой) не позволяет определить форму заболевания. Применение ПЭТ с 18F-ДОФА и одновременное использование КТ дают возможность не только провести дифференциальную диагностику между формами заболевания, но и определить локализацию очага гиперсекреции инсулина в ткани поджелудочной железы при фокальной форме ВГИ.

В настоящее время имеется дефицит данных относительно особенностей клинического течения и диагностики у пациентов с фокальной формой ВГИ в российской популяции. Представляется необходимым расширенное исследование данной группы пациентов, включая клиническую картину, выявление спектра патогенных и частых мутаций, характерных для российской популяции, определение радионуклидных характеристик и особенностей фокальной формы ВГИ.

Цель

Определение клинических, молекулярно-генетических и радионуклидных характеристик фокальной формы врожденного гиперинсулинизма в российской группе пациентов.

Методы

Дизайн исследования

В наблюдательное одномоментное многоцентровое сплошное исследование с ретроспективным компонентом были включены пациенты с доказанной фокальной формой ВГИ.

Критерии соответствия

Для участия в исследовании из базы данных пациентов НМИЦ эндокринологии были отобраны и приглашены все пациенты с врожденным гиперинсулинизмом (их законные представители), находившиеся под наблюдением с января 2008 г. по январь 2019 г.

Критерии включения: возраст на момент обследования менее 18 лет; наличие гипокетотической гипогликемии с повышенной концентрацией инсулина; гистологически подтвержденная фокальная форма ВГИ.

Для оценки причины гипогликемических состояний выполнялась проба с голоданием, в момент определения гипогликемии менее 3,0 ммоль/л по капиллярной крови у пациентов пунктировалась периферическая вена и выполнялся забор венозной крови для определения биохимических параметров (глюкоза, кетоны, печеночные ферменты, лактат) и проведения гормональных исследований (инсулин, С-пептид). При наличии повышенной секреции инсулина (более 2,0 мМЕ/мл) на фоне гипогликемии (менее 3,0 ммоль/л) и гипокетонемии (менее 1,0 ммоль/л) устанавливался диагноз органического гиперинсулинизма.

Критерии исключения: отсутствие гистологического заключения послеоперационных препаратов; отсутствие согласия пациентов/родителей пациентов на участие в исследовании.

Условия проведения

Клиническое, биохимическое и гормональное исследования проводились в ФГБУ «НМИЦ эндокринологии» (Москва, Россия) и ФГБУ «НМИЦ им. В.А. Алмазова» (г. Санкт-Петербург, Россия). С 2008 по 2017 г. ПЭТ пациентам проводилась в Дании, с 2017 года исследование проводилось в России.

Продолжительность исследования

Исследование проведено в 2019 г. и включает анализ клинических и лабораторно-инструментальных данных пациентов, обследованных за период с 2008 по 2019 гг. Все участники исследования были обследованы во время постановки диагноза и после операции.

Описание медицинского вмешательства

Для анализа использованы данные историй болезни. Все медицинские вмешательства проводились вне исследования в рамках рутинной клинической практики по актуальным на соответствующий момент времени международным стандартам и строго при наличии показаний у каждого конкретного пациента.

Исходы исследования

Конечными точками исследования являлись разность между возрастом манифестации и возрастом постановки диагноза, частота фармакорезистентных случаев среди пациентов с фокальными формами ВГИ, встречаемость аллельных вариантов генов ABCC8 и KCNJ11 в исследуемой выборке, а также значение панкреатического индекса при проведении ПЭТ с 18F-ДОФА.

Методы регистрации исходов

Молекулярно-генетический анализ крови пациентов выполнен в лаборатории наследственных эндокринопатий ФГБУ «НМИЦ эндокринологии» (Москва, Россия). У большей части пациентов (21 ребенок) было проведено секвенирование нового поколения панели генов GCG, GLUD1, WFS1, HNF1A, GCK, INS, HNF1B, ABCC8, HNF4A, RFX6, PTF1A, NEUROD1, AKT2, ZFP57, INSR, EIF2AK3, PPARG, PAX4, PDX1, GLIS3, KCNJ11, SLC16A1, FOXP3, BLK, CEL, KLF11, SCHAD и GCGR на платформе Ion Torrent. У 10 пациентов молекулярно-генетический анализ генов ABCC8, KCNJ11 и GLUD1 проводился методом Сэнгера. Выбор того или иного метода молекулярно-генетического исследования обусловлен доступностью определенной технологии на момент обследования пациентов. В 26 случаях также проводилось исследование искомой мутации у родителей пациентов методом прямого секвенирования.

ПЭТ/КТ с 18F-ДОФА выполнено 25 пациентам: 14 – на базе научно-исследовательского отдела ядерной медицины и тераностики ФГБУ «НМИЦ им. В.А. Алмазова» (Санкт-Петербург, Россия), 11 – на базе Университетской клиники г. Оденс (Оденс, Дания).

До исследования проводилась подготовка пациентов в стационаре, минимум за 48 ч до процедуры отменялась терапия инсулиностатическими препаратами (диазоксид, соматостатин, глюкагон). Исследование проводилось под общим наркозом с использованием пропофола. ПЭТ/КТ выполнялась на совмещенной системе Discovery 710 (General Electric). Доза вводимого радиоизотопа рассчитывалась по формуле 4 МБк на 1 кг массы тела пациента. Регистрация данных ПЭТ и КТ проводилась в следующие отрезки времени в зависимости от момента введения 18F-ДОФА: 10–20, 20–40, 40–50 и 50–60 мин. Оценку ПЭТ изображений осуществляли в режиме 3D-реконструкции. Расчет панкреатического индекса (ПИ) производили по формуле: отношение максимального значения стандартизированного показателя накопления радиофармпрепарата (SUVmax) в патологическом фокусе 18F-ДОФА к следующему максимальному по значению показателю SUV в другом участке поджелудочной железы.

После проведения хирургического вмешательства у всех пациентов было выполнено морфологическое исследование ткани поджелудочной железы по стандартному протоколу дифференциальной диагностики морфологических форм ВГИ. Подготовка к операции, хирургическое лечение, гистологическое исследование, послеоперационное ведение проводились на базах ФГБУ «НМИЦ им. В.А. Алмазова», Университетской клиники г. Оденс (Дания), РДКБ, ДГКБ им. З.А. Башляевой.

Этическая экспертиза

Проведение исследования было одобрено локальным этическим комитетом ФГБУ «НМИЦ эндокринологии» МЗ РФ (протокол №18 от 11.10.17). Информированное согласие на проведение исследования и обработку данных было подписано законными представителями участников исследования.

Статистический анализ

Для анализа данных использовали программу Statistica 10 («StatSoft», США). Предварительного расчета размера выборки не проводилось. В ходе расчетов использовались проценты, медиана и интерквартильный размах.

Результаты

Объекты (участники) исследования

Всего за период с января 2008 г. по январь 2019 г. в Институте детской эндокринологии ФГБУ «НМИЦ эндокринологии» был выявлен 241 пациент с ВГИ. Из них у 32 была диагностирована фокальная форма заболевания, однако у одного из детей отсутствовало достоверное гистологическое заключение, поэтому данный пациент был исключен из исследования. Таким образом, группу исследования составил 31 пациент с доказанной фокальной формой ВГИ. У всех пациентов на фоне пробы с голоданием была зафиксирована гипокетотическая гипогликемия с повышенной концентрацией инсулина. Гистологическое исследование послеоперационного материала тканей поджелудочной железы подтвердило наличие фокальной формы заболевания. Медиана возраста пациентов на момент обследования составила 1 мес, медиана продолжительности наблюдения – 18 мес. В качестве медикаментозной инсулиностатической терапии до определения морфологической формы заболевания 22 пациента получали диазоксид в средней терапевтической дозе не менее 3 дней; 25 пациентов получали октреотид в средней терапевтической дозе не менее 1 сут.

Основные результаты исследования

С целью достижения эугликемии до момента определения морфологической формы ВГИ, помимо внутривенного введения растворов глюкозы, пациентам проводилась инсулиностатическая терапия (диазоксид 19/31, октреотид 31/31). Медиана максимальной дозы диазоксида составила 14,9 кг/кг/сут [12,8;15,6]. Медиана суточной дозы октреотида составила 13,7 мкг/кг [8,0;20,0]. Терапия диазоксидом была отменена у всех получавших его пациентов в связи с отсутствием положительного эффекта (17/19) либо из-за развития таких побочных эффектов, как отеки, анорексия, рвота (2/19). Применение октреотида оказалось более успешным: у 9/31 (29,0%) пациентов удалось достигнуть субкомпенсации заболевания без внутривенной дотации глюкозой. У 1 пациента сохранялись приемлемые показатели гликемии на фоне частого дробного кормления, терапия диазоксидом оказалась неэффективной, попытку лечения октреотидом не проводили.

У всех пациентов, кроме одного, отмечались неонатальная манифестация заболевания и потребность во внутривенной дотации растворами глюкозы для поддержания эугликемии (табл. 1).

Таблица 1. Клинические характеристики пациентов с фокальной формой ВГИ (n=31)

Характеристика

Медиана [Q25; Q75]

Возраст манифестации, дни

2 [1; 3]

Возраст постановки диагноза, дни

2 [14; 30]

Разница между возрастом манифестации и постановки диагноза, дни

14 [12; 32]

SDS веса при рождении по отношению к сроку гестации

1,0 [0,06; 1,99]

Минимальная зафиксированная гликемия, ммоль/л

0,9 [0,7; 1,4]

Инсулин плазмы на фоне гипогликемии, Ед/л

15,5 [8,9; 28,1]

Скорость утилизации в/в вводимой глюкозы до достижения эугликемии, мг/кг/мин

12,3 [8,7; 15,0]

В большинстве случаев причиной развития ВГИ у детей с фокальной формой ВГИ являлись гетерозиготные мутации в гене ABCC8 (27/31). Всего было выявлено 22 различные мутации, 13 из которых ранее не были описаны в литературе.

Обследование родителей пробандов было возможно в 22 из 27 семей. Во всех случаях мутации были наследованы от отца.

Патогенные мутации в гене KCNJ11 были обнаружены у 6/31 пациентов. Данные мутации были унаследованы по отцовской линии, один вариант ранее не был описан в литературе.

У одного пациента не было выявлено наличия патогенных мутаций. Данному ребенку проводилось исследование генов ABCC8, KCNJ11 и GLUD1 методом Сэнгера.

В семьях пробандов не отмечалось близкородственных браков и отягощенного наследственного анамнеза по ВГИ.

По результатам ПЭТ/КТ с 18F-ДОФА с оценкой визуальных и расчетных данных у всех пациентов была диагностирована фокальная форма ВГИ. Медиана возраста проведения процедуры составила 4 мес. Размеры фокусов гиперсекреции инсулина колебались от 7 до 21,5 мм. Информация о расположении фокуса была доступна у 24/25 пациентов (рис. 1). Основные результаты исследования представлены в табл. 2.

Рис. 1. Схематическое расположение фокусов у пациентов с фокальной формой ВГИ (n=24).

Таблица 2. Основные данные пациентов с фокальной формой ВГИ

№ пациента

Пол

Возраст манифестации, дни

Гетерозиготные патогенные мутации

Размер фокуса по ПЭТ

Расположение фокуса

ПИ на 10–20`

ПИ на 20–40`

ПИ на 40–50`

ПИ на 50–60`

Терапия до операции

Возраст операции, операция,

Возраст и терапия на настоящий момент

1

ж

2

δABCC8

c.G1332T:p.Q444H

12×12×10

г

2,66

3,18

3,59

диета+октр

5 мес, резекция фокуса

1 год 10 мес, нд

2

ж

1

*ABCC8

с 1923+2T>A

12,8×15,56×22

г

2,55

2,55

2,76

2,97

глюк+октр

4 мес, резекция фокуса

1 год 9 мес, б/т

3

4

ж

3

#*ABCC8

c.1032C>G: p.Y344X

8,3×10,0×11,0

г

2,34

2,63

2,62

2,58

глюк+октр

2 мес, резекция фокуса

4 мес, б/т

#*KCNJ11

c.1096G>A: p.G366R

5

м

6

*ABCC8

c.G1705C: p.А569Р

9,4×10,0×12,4

г

1,82

2,01

1,87

2,05

диета+октр

3 мес, резекция фокуса

1 год 10 мес, б/т

6

м

1

KCNJ11

c.560C>T: p.A187V

10,7×8,9×7,7

г

1,84

1,96

1,83

2,04

октр

4 мес, резекция фокуса

7 мес., б/т

7

ж

1

*ABCC8

c.2691C>G:p.D897E

13,6

т

1,59

1,68

1,86

1,85

глюк+октр

нд, резекция фокуса

1 год 4 мес, б/т

8

м

2

*ABCC8

c.T3629C: p.L1210P

11×10,4×11

г

1,66

1,66

1,77

1,80

октр

6 мес, резекция фокуса

2 года, б/т

9

м

2

*ABCC8

с.1332+1delG

нд

г

1,68

1,65

1,73

глюк+октр

4 мес, резекция фокуса

2 года 4 мес, диета

10

ж

1

*ABCC8

c.C2113T: p.R705X

нд

х

1,39

1,59

диаз+октр

7 мес, резекция фокуса

2 года 6 мес, б/т

11

ж

3

ABCC8

c.2521C>T: p.R841X

11,9×12×9,3

г

1,26

1,33

1,44

1,40

диета+октр

2 мес, резекция фокуса

1 год 9 мес, нд

12

ж

1

*ABCC8

c.3324dupC: p.

M1109fs

13,2×11,4×12,9

г

1,24

1,41

1,37

1,40

диета+октр

12 мес, резекция фокуса

1 год 11 мес, б/т

13

м

3

*ABCC8

c.A680G: p.E227G

12,3×9,6×9,7

т

1,12

1,25

1,14

1,16

диета+октр

1 год 10 мес, резекция фокуса

3 года 3 мес, б/т

14

ж

2

ABCC8

c.C4306G: p.R1436G

8,2×7,1×6,0

г+т

1,10

1,16

1,16

1,08

диета+октр

12 мес, резекция фокуса

2 года 5 мес, диета

15

м

1

*ABCC8

c.3330-13G>A

46,5×21,5×20

мультифокус

1,06

1,01

1,12

1,16

диета

5 мес, резекция фокуса

1 год 9 мес, б/т

16

м

2

ABCC8

c.2522G>C: p.R841P

не делали

не делали

       

глюк

1 мес, с/т ПЭ

9 лет 5 мес, инсулин

17

м

2

KCNJ11

c.400insG: p.R136AFsX5

не делали

не делали

       

нд

2 мес, с/т ПЭ

9 лет 10 мес, б/т

18

ж

3

*ABCC8

c.4575+1G>C

7

х

       

глюк+октр

1 мес, резекция фокуса

5 лет, б/т

19

ж

3

δABCC8

c.G1332T:p.Q444H

нд

нд

       

нд

4 мес, резекция фокуса

8 лет 10 мес, б/т

20

м

2

не делали

не делали

       

нд

2 мес, с/т ПЭ

11 лет 2 мес, б/т

21

м

3

ABCC8

c.C3640T: p.R1215W

не делали

не делали

       

глюк

5 мес, с/т ПЭ

8 лет 5 мес, инсулин

22

ж

3

ABCC8

c.C4238T: p.P1413L

нд

х

       

глюк+октр

4 мес, резекция фокуса

3 года 3 мес, б/т

23

ж

1

ABCC8

c.C4477T: p.R1493W

нд

нд

       

диета+октр

Нд, резекция фокуса

4 года 1 мес, б/т

24

25

ж

2

#*ABCC8

c.1038C >G: p.Y344X

7

г

       

глюк+октр

3 мес, резекция фокуса

2 года 5 мес, б/т

#*KCNJ11

c.1096G>A: p.G366R

26

м

90

KCNJ11

c.C761T: p.P254L

нд

г

       

октр

2 года 6 мес, резекция фокуса

6 лет 8 мес, б/т

27

ж

3

ABCC8

c.G4411A: p.D1472N

нд

г

       

октр

2 года 4 мес, резекция фокуса

8 лет 3 мес, б/т

28

м

1

ABCC8

c.3992-9G>A

6×8×5

х

       

диета+октр

1 год 9 мес, резекция фокуса

7 лет 6 мес, б/т

29

м

1

*ABCC8

c.3557+1G>A

8

г

       

глюк+октр

3 мес, резекция фокуса

3 года 5 мес, б/т

30

ж

1

δABCC8

c.G1332T:p.Q444H

2×4×7

т

       

глюк+октр

3 мес, резекция фокуса

З года 8 мес, б/т

31

32

ж

1

#*ABCC8

c.1038C>G: p.Y344X

не делали

не делали

       

глюк

1 год 6 мес., с/т ПЭ

8 лет 11 мес, б/т

#*KCNJ11

c.1096G>A: p.G366R

33

м

1

δABCC8

c.G1332T:p.Q444H

не делали

не делали

       

глюк

3 мес, с/т ПЭ

15 лет 9 мес, инсулин

34

ж

3

*ABCC8

c.C4059A: p. Y1353X

нд

Эктопированный в 12пк

       

октр

1 год 6 мес, резекция фокуса

4 года 9 мес, б/т

Примечание: * – не описанная мутация; 12пк – двенадцатиперстная кишка; ПИ – панкреатический индекс; мес – месяц; м – мужской пол; ж – женский; нд – нет данных; г – головка поджелудочной железы; т – тело поджелудочной железы; х – хвост поджелудочной железы; диета – кормления каждые 2–4 ч; октр – применение октреотида; глюк – проведение внутривенной; инфузии растворами глюкозы; б/т – без терапии; инсулин – инсулинотерапия; с/т ПЭ – субтотальная панкреатэктомия; # – обозначение идентичных мутаций; δ – обозначение идентичных мутаций; полужирным выделено максимальное значение ПИ.

В большинстве случаев (13/24) локализация участка повышенного синтеза инсулина располагалась в головке поджелудочной железы. У 1 пациента фокус располагался на границе головки и тела, у 3 – в теле, у 4 – в хвосте поджелудочной железы. Гигантский фокус визуализировался у 1 пациента (пациент 14). Эктопическое расположение фокуса в стенке двенадцатиперстной кишки было выявлено у пациента 31.

Информация для расчета ПИ была доступна у 14 пациентов. При этом максимальное значение данного параметра широко варьировало – от 1,16 до 3,59, медиана значения ПИ составила 1,76 [1,4; 2,0]. Визуально у всех пациентов определялся повышенный захват изотопа в локусе гиперпродукции инсулина.

Обсуждение

Рис. 2. Схематическое изображение генетических механизмов, обусловливающих формирование фокуса гиперинсулинизма.

По результатам исследования, за 11-летний период был выявлен 31 пациент с доказанной фокальной формой ВГИ, что составило 12,8% от общего числа пациентов. Формирование кластера клеток с неадекватной гиперсекрецией инсулина у пациентов с фокальной формой ВГИ возможно за счет совокупности двух патогенетических механизмов (рис. 2). Первый механизм включает появление мутации на отцовской аллели в хромосомальной области 11p15.1, содержащей гены KCNJ11 и ABCC8 [4]. Второй механизм представляет собой потерю здорового участка 11p15 на материнской аллели, что в совокупности ведет к формированию гомозиготной мутации в искомой клетке. Более того, вследствие данных изменений развивается дисбаланс в системе пролиферации клеток. На материнской аллели описанного участка располагаются гены, подавляющие деление клеток (H19 и CDKN1C). В то время как на отцовской аллели расположен ген, стимулирующий деление клеток IGF2. Таким образом, происходит избыточная пролиферация клеток с отцовской изодисомией и мутацией в генах, ответственных за функционирование АТФ-зависимых калиевых каналов, что и формирует гиперинсулинемический фокус [8].

За исключением одного случая, у всех пациентов было выявлено наличие патогенной мутации в генах, ответственных за развитие АТФ-зависимых калиевых каналов. Данные мутации у пациентов с фокальной формой ВГИ могут наследоваться от отца либо возникать de novo на отцовской аллели. Отсутствие мутации у пациента 19 может быть связано с неполным покрытием в рамках проведения генетического исследования, погрешностями метода или наличием мутации в интронной области.

В целом в ходе исследования было обнаружено 13 ранее не описанных мутаций в гене ABCC8 (с.1923+2T>A, c.G1705C: p.А569Р, c.2691C>G:p.D897E, c.T3629C: p.L1210P, с.1332+1delG, c.C2113T: p.R705X, c.3324dupC: p.M1109fs, c.A680G: p.E227G, c.3330-13G>A, c.4575+1G>C, c.3557+1G>A, c.1038C>G: p.Y344X, c.C4059A: p. Y1353X). Также стоит обратить внимание на выявление идентичных мутаций в группе неродственных пациентов. У 4 российских пациентов отмечалось наличие патогенной мутации c.1332G>T: p.Q444H в гене ABCC8 (мутация ранее описана в литературе у европейских пациентов с фокальной формой ВГИ) [9]. Более того, у 3 неродственных пациентов было выявлено сочетание нонсенс мутации c.1038C>G: p.Y344X в гене ABCC8 и вероятно патогенной мутации c.1096G>A, p.G366R в гене KCNJ11 на одной аллели. Также стоит отметить, что по отдельности данные варианты нами выявлены не были. На настоящий момент такое сочетание описано только у российских пациентов, что может быть вызвано эффектом основателя [10].

Клиническая картина заболевания в группе пациентов с фокальной формой ВГИ отличалась тяжестью течения. Основными особенностями фокальной формы заболевания являлись неонатальная манифестация и потребность в высоких дозах глюкозы для поддержания эугликемии. Полученные результаты согласуются с данными зарубежной литературы [5, 6]. Также у большинства пациентов при рождении отмечалась крупная масса тела по отношению к гестационному возрасту (медиана SDS массы тела 1,0). Возраст постановки корректного диагноза значительно отличался от возраста манифестации, медиана задержки в постановке диагноза составила 14 дней. Связь между персистирующей гипогликемией и наличием неврологических осложнений неоднократно была установлена в других исследования [11, 12]. Для профилактики неврологических осложнений рекомендуется раннее выявление пациентов с ВГИ и незамедлительное начало терапии, направленной на поддержание эугликемии [13, 14].

Как правило, у пациентов с фокальной формой ВГИ отмечается отсутствие положительного эффекта от инсулиностатической терапии, хотя у части удается добиться эугликемии на фоне терапии октреотидом [5,6]. Также опубликованы единичные случаи диазоксид-чувствительного течения фокальной формы ВГИ [15–17]. В нашей выборке применение диазоксида либо оказалось неэффективным, либо было прервано из-за побочных эффектов у всех получавших его пациентов. Следует отметить, что почти у 1/3 пациентов с фокальной формой ВГИ был получен положительных ответ на фоне терапии октреотидом.

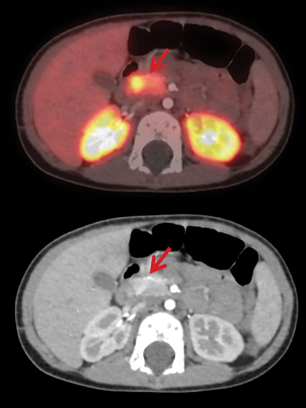
Учитывая принципиальные различия в объеме оперативного вмешательства, пациентам с фармакорезистентным течением ВГИ показано проведение ПЭТ с 18F-ДОФА. Визуализация поджелудочной железы происходит за счет захвата островковыми клетками радиоизотопа [18, 19]. В мировой литературе предлагается применение математического показателя ПИ для оценки результатов ПЭТ. При значении ПИ более 1,5 устанавливается фокальная форма, при значении ПИ менее 1,3 диагностируется диффузная форма ВГИ [20]. Однако на практике существуют определенные затруднения при применении данного параметра для дифференциальной диагностики морфологических форм. В нашем исследовании, несмотря на гистологически подтвержденную фокальную форму, у 1/3 пациентов значение ПИ было менее 1,5. Фокальная форма ВГИ по результатам ПЭТ у данной группы пациентов была предположена исходя из визуальных данных (рис. 3). Значение ПИ было максимальным в промежутках через 20–60 мин после введения радиоизотопа. Таким образом, вызывает сомнения необходимость проведения сканирования через 10 мин после исследования. Затруднения в применении ПИ могут возникнуть за счет физиологического повышенного захвата 18F-ДОФА в области головки поджелудочной железы, при оценке гигантских фокусов или мультифокусов [21, 22].

Рис. 3. Результаты ПЭТ/КТ с 18F-ДОФА у пациентов с различными морфологическими формами ВГИ.

а – диффузная форма ВГИ. Захват 18F-ДОФА равномерен; б – фокальная форма ВГИ. Визуализируется очаг накопления радиофармпрепарата; в – эктопическая локализация фокальной формы ВГИ. Очаг накопления радиоизотопа визуализируется в области двенадцатиперстной кишки.

Стоит отметить, что у 54% пациентов фокусы гиперсекреции инсулина располагались в области головки поджелудочной железы, что отмечено и другими группами исследователей [17, 23]. Однако причины превалирующего расположения фокуса ВГИ именно в этой части органа остаются неясными. Более того, обнаружено, что количество островков Лангерганса у взрослых пациентов в 2 раза больше в области хвоста поджелудочной железы по сравнению с головкой и телом [24]. Наиболее вероятно, что определенную роль в возникновении очага гиперпродукции инсулина играют особенности эмбриогенеза, пролиферации и гистологического строения поджелудочной железы в неонатальном возрасте.

В исследуемой группе пациентов у 1 ребенка (пациент 14) визуализировался гигантский очаг повышенного захвата при проведении ПЭТ/КТ с 18F-ДОФА. Позднее, по результатам гистологического исследования, была установлена мультифокальная форма ВГИ. Также представляет интерес тот факт, что этот пациент имел относительную компенсацию заболевания на фоне дробного кормления без применения медикаментозной терапии.

У 1 (пациент 31) диагностировано эктопическое расположение фокуса гиперинсулинизма в двенадцатиперстной кишке. Данное наблюдение не удивительно, учитывая эмбриогенетическую связь поджелудочной железы с двенадцатиперстной кишкой. В целом мультифокальное и эктопическое расположение фокусов у пациентов с ВГИ встречается достаточно редко [21, 22].

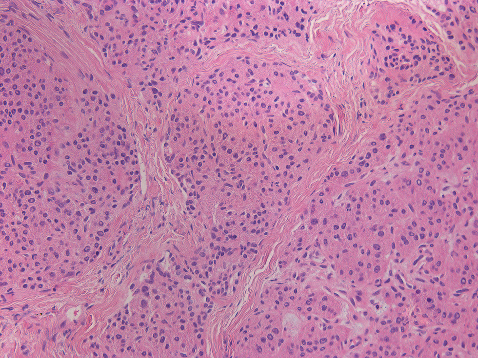
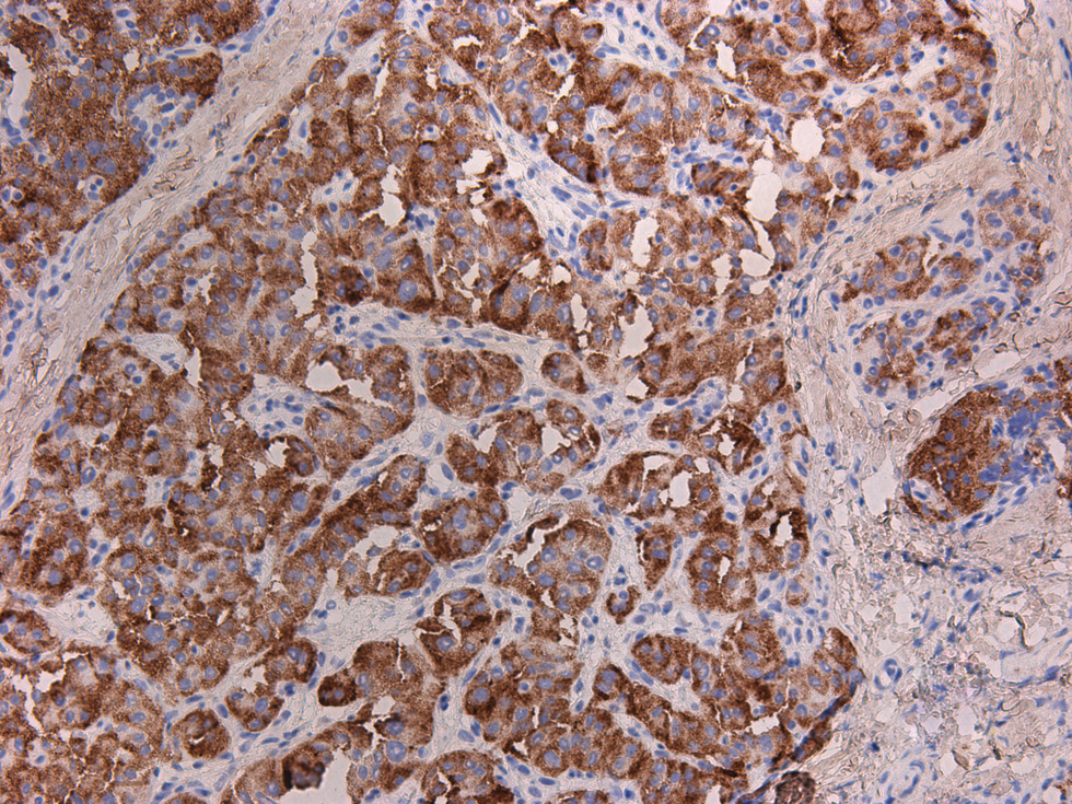
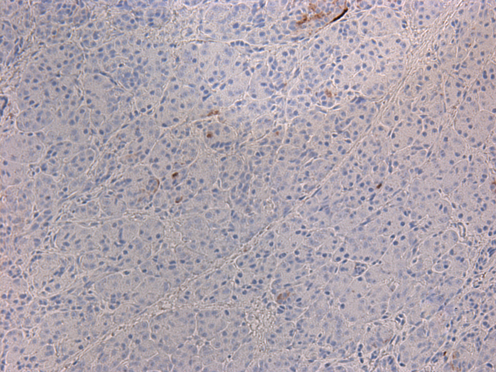
Несмотря на относительную эугликемию у части больных на фоне лечения октреотидом или диетотерапии, всем пациентам было проведено хирургическое вмешательство. Показания к оперативному лечению были обусловлены высоким риском развития гипогликемии на фоне пропуска приема пищи, тахифилаксией при применении октреотида, а также возможностью полного излечения после проведения резекции фокуса [23]. Большей части (25/31) детей выполнена резекция участка аденоматоза с проведением интраоперационной гистологической диагностики для оценки края иссечения (рис. 4). Проведение субтотальной панкреатэктомии пациентам с фокальной формой ВГИ было связано с отсутствием возможности проведения полной предоперационной диагностики, в частности ПЭТ/КТ с 18F-ДОФА на момент обследования.

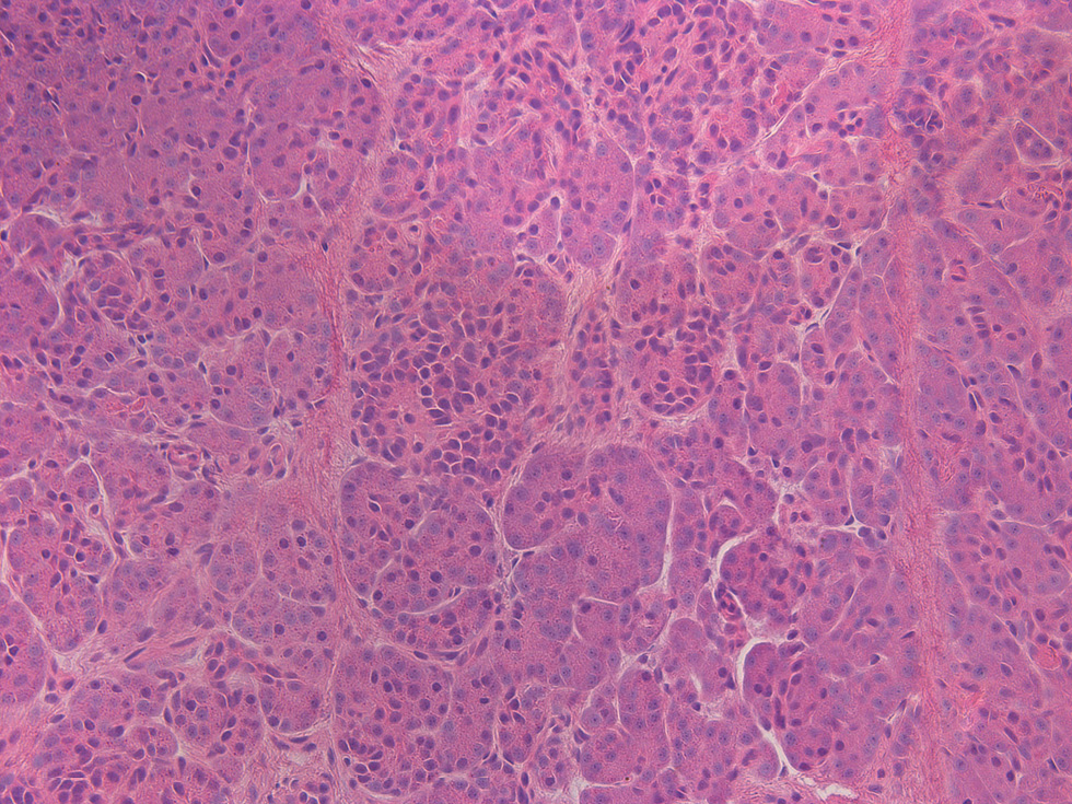
Рис. 4. Гистологическое исследование ткани поджелудочной железы у пациента с фокальной формой ВГИ.

а – фокус гиперсекреции инсулина, метаплазия островков (окраска гематоксилином и эозином, ×20); б – выраженная экспрессия инсулина в фокусе при проведении иммунногистохимии; в – ткань поджелудочной железы вне фокуса гиперсекреции инсулина (окраска гематоксилином и эозином, ×200); г – низкая экспрессия инсулина вне фокуса при проведении иммунногистохимии.

В подавляющем большинстве случаев в послеоперационном периоде у пациентов сохранялась эугликемия на фоне обычного режима питания, у 3 детей после проведения субтотальной панкреатэктомии развились инсулинопотребный сахарный диабет и экзокринная недостаточность поджелудочной железы, 2 пациента нуждались в частом кормлении после проведения резекции фокуса ВГИ. У пациента 8 в послеоперационном периоде сохранялись гипогликемические состояния в течение 1 года, потребовавшие применения непрерывного подкожного введения октреотида. При последующем обследовании в 1 год 4 мес у него была констатирована ремиссия ВГИ и наличие кетотических гипогликемий, что потребовало частого кормления и введения в рацион кукурузного крахмала. У пациента 13 после проведения оперативного лечения зафиксированы гипогликемические состояния, исключена неадекватная гиперсекреция инсулина, однако генез гипогликемических состояний остается неясным. В настоящий момент пациенту 13 рекомендовано кормление по требованию в течение дня и прием кукурузного крахмала на ночь.

Ограничения исследования

Основным ограничением данного исследования являлось малое число пациентов в связи с невысокой распространенностью заболевания.

Заключение

Фокальная форма ВГИ характеризуется тяжелым течением заболевания. Задержка в постановке диагноза и начале терапии у пациентов с фокальной формой ВГИ, по данным исследования, составляет примерно 2 нед. Применение медикаментозной инсулиностатической терапии не эффективно у большинства пациентов, и основным методом лечения фокальной формы ВГИ является проведение резекции участка гиперпродукции инсулина. При анализе данных ПЭТ с 18F-ДОФА стоит принимать во внимание как расчетные, так и визуальные данные, а также помнить о возможности эктопии, гигантских фокусов и множественных очагов. Применение предоперационной дифференциальной диагностики с использованием молекулярно-генетического анализа и ПЭТ/КТ с 18F-ДОФА позволило избежать субтотальной панкреатэктомии и ее последствий у пациентов с фокальной формой ВГИ. В течение последних 2 лет дети с данной патологией начали получать полный цикл лечения в нашей стране (ФГБУ «НМИЦ эндокринологии», ФГБУ «НМИЦ им. В. А. Алмазова»). Актуальными проблемами в данной области остаются сокращение периода персистирующей гипогликемии за счет своевременной диагностики ВГИ, определение факторов риска и профилактика осложнений заболевания, разработка доступных методов дифференциальной диагностики с возможностью определения объективных параметров.

Дополнительная информация

Дополнительные материалы к статье

Рис. 3. Результаты ПЭТ/КТ с 18F-ДОФА у пациентов с различными морфологическими формами ВГИ.

а – диффузная форма ВГИ. Захват 18F-ДОФА равномерен; б – фокальная форма ВГИ. Визуализируется очаг накопления радиофармпрепарата; в – эктопическая локализация фокальной формы ВГИ. Очаг накопления радиоизотопа визуализируется в области двенадцатиперстной кишки.

Доступен на цветной вклейке и в сети Интернет: https://doi.org/10.14341/probl10317-4766

 

Рис. 4. Гистологическое исследование ткани поджелудочной железы у пациента с фокальной формой ВГИ.

а – фокус гиперсекреции инсулина, метаплазия островков (окраска гематоксилином и эозином, ×20); б – выраженная экспрессия инсулина в фокусе при проведении иммунногистохимии; в – ткань поджелудочной железы вне фокуса гиперсекреции инсулина (окраска гематоксилином и эозином, ×200); г – низкая экспрессия инсулина вне фокуса при проведении иммунногистохимии.

Доступен на цветной вклейке и в сети Интернет: https://doi.org/10.14341/probl10317-4767

 

Источник финансирования. Молекулярно-генетическое исследования и ПЭТ/КТ с 18F-ДОФА выполнено при финансовой поддержке фонда поддержки и развития филантропии «КАФ».

Конфликт интересов. Авторы декларируют отсутствие явных и потенциальных конфликтов интересов, связанных с публикацией настоящей статьи.

Участие авторов: М.А. Меликян, Д.Н. Губаева, И.Л. Никитина, Х. Кристесен – диагностика заболевания, ведение пациентов, подбор терапии; Д.В. Рыжкова, М.Д. Пойда – проведение ПЭТ/КТ с 18F-ДОФА и оценка результатов; В.Г. Баиров, А.А. Сухоцкая, Ю.Ю. Соколов, А.М. Ефременков – проведение оперативного лечения; Л.Б. Митрофанова – гистологическое исследование с определением формы врожденного гиперинсулинизма; Д.Н. Губаева, М.А. Меликян, Д.В. Рыжкова, И.Л. Никитина – сбор и анализ полученных данных, написание статьи; М.А. Меликян, Д.В. Рыжкова, И.Л. Никитина, Х. Кристесен – редактирование. Все авторы внесли значимый вклад в проведение исследования и подготовку статьи, прочли и одобрили финальную версию статьи перед публикацией.

Список литературы

1. Banerjee I, Salomon-Estebanez M, Shah P, et al. Therapies and outcomes of congenital hyperinsulinism-induced hypoglycaemia. Diabet Med J Br Diabet Assoc. 2019;36(1):9-21. doi: https://doi.orghttps://doi.org/10.1111/dme.13823

2. Dunne MJ, Kane C, Shepherd RM, et al. Familial persistent hyperinsulinemic hypoglycemia of infancy and mutations in the sulfonylurea receptor. N Engl J Med. 1997;336(10):703-706. doi: https://doi.org/10.1056/NEJM199703063361005

3. Galcheva S, Demirbilek H, Al-Khawaga S, Hussain K. The genetic and molecular mechanisms of congenital hyperinsulinism. Front Endocrinol (Lausanne). 2019;10:111. doi: https://doi.org/10.3389/fendo.2019.00111

4. Kapoor RR, Flanagan SE, Arya VB, et al. Clinical and molecular characterisation of 300 patients with congenital hyperinsulinism. Eur J Endocrinol. 2013;168(4):557-564. doi: https://doi.org/10.1530/EJE-12-0673

5. Yorifuji T. Congenital hyperinsulinism: current status and future perspectives. Ann Pediatr Endocrinol Metab. 2014;19(2):57-68. doi: https://doi.org/10.6065/apem.2014.19.2.57

6. Arya VB, Guemes M, Nessa A, et al. Clinical and histological heterogeneity of congenital hyperinsulinism due to paternally inherited heterozygous ABCC8/KCNJ11 mutations. Eur J Endocrinol. 2014;171(6):685−695. doi: https://doi.org/10.1530/EJE-14-0353

7. Blomberg BA, Moghbel MC, Saboury B, et al. The value of radiologic interventions and (18)F-DOPA PET in diagnosing and localizing focal congenital hyperinsulinism: systematic review and meta-analysis. Mol Imaging Biol MIB Off Publ Acad Mol Imaging. 2013;15(1):97-105. doi: https://doi.org/10.1007/s11307-012-0572-0

8. Giurgea I, Sempoux C, Bellanné-Chantelot C, et al. The Knudson’s two-hit model and timing of somatic mutation may account for the phenotypic diversity of focal congenital hyperinsulinism. J Clin Endocrinol Metab. 2006;91(10):4118-4123. doi: https://doi.org/10.1210/jc.2006-0397

9. Mohnike K, Wieland I, Barthlen W, et al. Clinical and genetic evaluation of patients with katp channel mutations from the german registry for congenital hyperinsulinism. Horm Res Paediatr. 2014;81(3):156-168. doi: https://doi.org/10.1159/000356905

10. Melikyan MA, Kareva MA, Petryaikina EE, et al. Congenital hyperinsulinism. Results of molecular-genetic investigations in a Russian population. Problemy endokrinologii. 2012;58(2):3-9. doi: 10.14341/probl20125823-9

11. Ludwig A, Ziegenhorn K, Empting S, et al. Glucose metabolism and neurological outcome in congenital hyperinsulinism. Semin Pediatr Surg. 2011;20(1):45−49. doi: https://doi.org/10.1053/j.sempedsurg.2010.10.005

12. Helleskov A, Melikyan M, Globa E, et al. Both low blood glucose and insufficient treatment confer risk of neurodevelopmental impairment in congenital hyperinsulinism: a multinational cohort study. Front Endocrinol (Lausanne). 2017;8:156. doi: https://doi.org/10.3389/fendo.2017.00156

13. Meissner T, Wendel U, Burgard P, et al. Long-term follow-up of 114 patients with congenital hyperinsulinism. Eur J Endocrinol. 2003;149(1):43-51. doi: https://doi.org/10.1530/eje.0.1490043

14. Shchederkina IO, Melikyan MA, Zavadenko AN, et al. Neurological paroxysmal disorders in children with hypoglycemia in congenital hyperinsulinism: polymorphism of clinical implications. Epilepsy Paroxysmal Conditions. 2015;7(2):49-58. doi: https://doi.org/10.17749/2077-8333.2015.7.2.049-058

15. Maiorana A, Barbetti F, Boiani A, et al. Focal congenital hyperinsulinism managed by medical treatment: a diagnostic algorithm based on molecular genetic screening. Clin Endocrinol (Oxf). 2014;81(5):679-688. doi: https://doi.org/10.1111/cen.12400

16. Ismail D, Kapoor RR, Smith VV, et al. The heterogeneity of focal forms of congenital hyperinsulinism. J Clin Endocrinol Metab. 2012;97(1):E94-E99. doi: https://doi.org/10.1210/jc.2011-1628

17. Dastamani A, Yau D, Gilbert C, et al. Clinical outcomes of focal congenital hyperinsulinism – a UK perspective. Endocr Abstr. 2018. doi: https://doi.org/10.1530/endoabs.58.oc4.7

18. Koopmans KP, Neels ON, Kema IP, et al. Molecular imaging in neuroendocrine tumors: Molecular uptake mechanisms and clinical results. Crit Rev Oncol Hematol. 2009;71(3):199−213. doi: https://doi.org/10.1016/j.critrevonc.2009.02.009

19. De Lonlay P, Simon-Carre A, Ribeiro MJ, et al. Congenital hyperinsulinism: pancreatic [18F]fluoro-L-dihydroxyphenylalanine (DOPA) positron emission tomography and immunohistochemistry study of DOPA decarboxylase and insulin secretion. J Clin Endocrinol Metab. 2006;91(3):933-940. doi: https://doi.org/10.1210/jc.2005-1713

20. Meintjes M, Endozo R, Dickson J, et al. 18F-DOPA PET and enhanced CT imaging for congenital hyperinsulinism: initial UK experience from a technologist’s perspective. Nucl Med Commun. 2013;34(6):601-608. doi: https://doi.org/10.1097/MNM.0b013e32836069d0

21. Barthlen W, Blankenstein O, Mau H, et al. Evaluation of [18F]Fluoro-l-DOPA positron emission tomography-computed tomography for surgery in focal congenital hyperinsulinism. J Clin Endocrinol Metab. 2008;93(3):869-875. doi: https://doi.org/10.1210/jc.2007-2036

22. Yang J, Yuan L, Meeks JK, et al. 18F-DOPA positron emission tomography/computed tomography application in congenital hyperinsulinism. J Pediatr Endocrinol Metab. 2012;25(7−8):619-622. doi: https://doi.org/10.1515/jpem-2012-0114

23. Adzick NS, Leon DD, States LJ, et al. Surgical treatment of congenital hyperinsulinism: results from 500 pancreatectomies in neonates and children. J Pediatr Surg. 2019;54(1):27-32. doi: https://doi.org/10.1016/j.jpedsurg.2018.10.030

24. Wang X, Misawa R, Zielinski MC, et al. Regional differences in islet distribution in the human pancreas – preferential beta-cell loss in the head region in patients with type 2 diabetes. PLoS One. 2013;8(6):e67454. doi: https://doi.org/10.1371/journal.pone.0067454


Об авторах

Диляра Наилевна Губаева
Национальный медицинский исследовательский центр эндокринологии Минздрава России
Россия

аспирант



Мария Арменаковна Меликян
Национальный медицинский исследовательский центр эндокринологии Минздрава России
Россия

к.м.н.



Дарья Викторовна Рыжкова
Национальный медицинский исследовательский центр им. В.А. Алмазова Минздрава России
Россия

д.м.н., профессор



Михаил Дмитриевич Пойда
Национальный медицинский исследовательский центр им. В.А. Алмазова Минздрава России
Россия

Аспирант



Владимир Гиреевич Баиров
Национальный медицинский исследовательский центр им. В.А. Алмазова Минздрава России

д. м. н., профессор



Анна Андреевна Сухоцкая
Национальный медицинский исследовательский центр им. В.А. Алмазова Минздрава России
Россия

к.м.н. 



Юрий Юрьевич Соколов
Российская медицинская академия непрерывного профессионального образования
Россия

д. м. н., профессор 



Артем Михайлович Ефременков
Российская медицинская академия непрерывного профессионального образования
Россия

к.м.н.



Любовь Борисовна Митрофанова
Национальный медицинский исследовательский центр им. В.А. Алмазова Минздрава России
Россия

д.м.н.



Хенрик Кристесен
Университетская клиника города Оденс
Дания

д.м.н., профессор 



Ирина Леоровна Никитина
Национальный медицинский исследовательский центр им. В.А. Алмазова Минздрава России
Россия

д.м.н.,  заведующая кафедрой детских болезней, зав. НИЛ детской эндокринологии



Дополнительные файлы

1. Рис. 1. Схематическое расположение фокусов у пациентов с фокальной формой ВГИ (n=24).
Тема
Тип Прочее
Посмотреть (25KB)    
Метаданные ▾
2. Рис. 2. Схематическое изображение генетических механизмов, обусловливающих формирование фокуса гиперинсулинизма.
Тема
Тип Прочее
Посмотреть (41KB)    
Метаданные ▾
3. Рис. 3. Результаты ПЭТ/КТ с 18F-ДОФА у пациентов с различными морфологическими формами ВГИ. (а)
Тема
Тип Прочее
Посмотреть (72KB)    
Метаданные ▾
4. Рис. 3. Результаты ПЭТ/КТ с 18F-ДОФА у пациентов с различными морфологическими формами ВГИ. (б)
Тема
Тип Прочее
Посмотреть (107KB)    
Метаданные ▾
5. Рис. 3. Результаты ПЭТ/КТ с 18F-ДОФА у пациентов с различными морфологическими формами ВГИ. (в)
Тема
Тип Прочее
Посмотреть (127KB)    
Метаданные ▾
6. Рис. 4. Гистологическое исследование ткани поджелудочной железы у пациента с фокальной формой ВГИ. (а)
Тема
Тип Прочее
Посмотреть (456KB)    
Метаданные ▾
7. Рис. 4. Гистологическое исследование ткани поджелудочной железы у пациента с фокальной формой ВГИ. (б)
Тема
Тип Прочее
Посмотреть (502KB)    
Метаданные ▾
8. Рис. 4. Гистологическое исследование ткани поджелудочной железы у пациента с фокальной формой ВГИ. (в)
Тема
Тип Прочее
Посмотреть (384KB)    
Метаданные ▾
9. Рис. 4. Гистологическое исследование ткани поджелудочной железы у пациента с фокальной формой ВГИ. (г)
Тема
Тип Прочее
Посмотреть (301KB)    
Метаданные ▾
10. Рис. 3 (сборный)
Тема
Тип Прочее
Посмотреть (134KB)    
Метаданные ▾
11. Рис. 4 (сборный)
Тема
Тип Прочее
Метаданные ▾

Рецензия

Для цитирования:


Губаева Д.Н., Меликян М.А., Рыжкова Д.В., Пойда М.Д., Баиров В.Г., Сухоцкая А.А., Соколов Ю.Ю., Ефременков А.М., Митрофанова Л.Б., Кристесен Х., Никитина И.Л. Клинические, генетические и радионуклидные характеристики пациентов с фокальной формой врожденного гиперинсулинизма. Проблемы Эндокринологии. 2019;65(5):319-329. https://doi.org/10.14341/probl10317

For citation:


Gubaeva D.N., Melikyan M.A., Ryzhkova D.V., Poyda M.D., Bairov V.G., Sukhotskaya A.A., Sokolov Yu.Yu., Efremenkov A.M., Mitrofanova L.B., Christesen H., Nikitina I.L. Clinical, genetic, and radionuclide characteristics of the focal form of congenital hyperinsulinism. Problems of Endocrinology. 2019;65(5):319-329. https://doi.org/10.14341/probl10317

Просмотров: 2758


ISSN 0375-9660 (Print)
ISSN 2308-1430 (Online)