Перейти к:
Синдром Иценко–Кушинга вследствие двусторонней онкоцитарной адренокортикальной опухоли
https://doi.org/10.14341/probl12496
Аннотация
Синдром Иценко–Кушинга составляет около 20–30% в структуре эндогенного гиперкортицизма, при этом поражение надпочечников может быть как односторонним, так и двусторонним. Синдром Иценко–Кушинга вследствие двусторонних образований надпочечников встречается крайне редко. Также редкой причиной развития эндогенного гиперкортицизма являются адренокортикальные онкоцитомы: в литературе описано около 13 клинических случаев. Онкоцитомы представляют собой специфический редкий тип эпителиальных новообразований, характеризующихся аномально-избыточным накоплением дефектных митохондрий в цитоплазме клеток, и составляют 1,8% от всех новообразований надпочечников.
В статье представлен клинический случай пациентки 58 лет с синдромом Иценко–Кушинга и объемными образованиями обоих надпочечников. При проведении мультиспиральной компьютерной томографии надпочечников обращали на себя внимание признаки, позволяющие заподозрить атипичные аденомы с низким содержанием жира или образования злокачественной природы. Методом выбора послужило хирургическое лечение, при этом первым этапом было удалено большее по размеру образование. В связи с отсутствием ремиссии эндогенного гиперкортицизма в последующем было проведено удаление второго образования. По результатам морфологического и иммуногистохимического исследований установлен диагноз двусторонней онкоцитомы неопределенного злокачественного потенциала. Случаи двусторонних гормонально активных онкоцитарных аденом надпочечников в литературе ранее описаны не были.
Ключевые слова
Для цитирования:
Ким Е.И., Мамедова Е.О., Селиванова Л.С., Бурякина С.А., Горбунова Н.П., Латкина Н.В., Кузнецов Н.С., Белая Ж.Е. Синдром Иценко–Кушинга вследствие двусторонней онкоцитарной адренокортикальной опухоли. Проблемы Эндокринологии. 2020;66(3):47-55. https://doi.org/10.14341/probl12496
For citation:
Kim E.I., Mamedova E.O., Selivanova L.S., Buryakina S.A., Gorbunova N.P., Latkina N.V., Kuznetsov N.S., Belaya Zh.E. Cushing’s syndrome due to bilateral oncocytic adrenal tumor. Problems of Endocrinology. 2020;66(3):47-55. (In Russ.) https://doi.org/10.14341/probl12496
АКТУАЛЬНОСТЬ
Синдром Иценко–Кушинга (СИК, АКТГ-независимый гиперкортицизм; АКТГ — адренокортикотропный гормон) составляет около 20–30% в структуре эндогенного гиперкортицизма. При этом поражение надпочечников может быть как односторонним [аденома надпочечника (75–90%) или адренокортикальный рак (<5%)], так и двусторонним (10%). Двустороннее поражение надпочечников может быть представлено двусторонней макронодулярной гиперплазией (<2%), двусторонней микронодулярной гиперплазией (<2%) и в единичных случаях двусторонними аденомами и карциномами [1].
Онкоцитомы надпочечников встречаются крайне редко и составляют 1,8% от всех новообразований надпочечников, они обычно доброкачественные и гормонально неактивные, могут быть классифицированы как онкоцитарная аденома, карцинома, опухоль с неопределенным злокачественным потенциалом или феохромоцитома [2]. В литературе описано около 13 клинических случаев односторонних онкоцитом надпочечника, ассоциированных с синдромом Иценко–Кушинга [3–13]. Также в литературе найдено описание одного случая двусторонних гормонально-неактивных онкоцитом надпочечников [14]. На настоящий момент нами не было найдено в литературе ни одного случая двусторонних гормонально-активных онкоцитом надпочечников. Ниже представлен случай двусторонних онкоцитом надпочечников у пациентки с синдромом Иценко–Кушинга.
ОПИСАНИЕ СЛУЧАЯ
Пациентка Т. обратилась в отделение нейроэндокринологии и остеопатий ФГБУ «НМИЦ эндокринологии» Минздрава России в возрасте 58 лет. Из анамнеза известно, что диагноз сахарного диабета установлен в 56 лет, на фоне терапии препаратами сульфонилмочевины сохранялось повышение гликемии до 20 ммоль/л. Повышение артериального давления отмечала в течение длительного времени (более 16 лет). С 58 лет отметила стойкие подъемы АД на фоне прежней гипотензивной терапии. В этот же период была госпитализирована по месту жительства в связи с декомпенсацией углеводного обмена, где была переведена на интенсифицированную инсулинотерапию в режиме многократных инъекций. Тогда же выявлены обострение хронического пиелонефрита и обтурация левого мочеточника конкрементом на фоне мочекаменной болезни, в связи с чем проведена литотрипсия. В ходе госпитализации был заподозрен эндогенный гиперкортицизм на основании клинических данных (изменение внешности по «кушингоидному» типу – матронизм, лунообразное лицо, перераспределение подкожно-жировой клетчатки).
Результаты физикального, лабораторного и инструментального исследования
За время госпитализации в отделении нейроэндокринологии и остеопатий диагноз АКТГ-независимого гиперкортицизма подтвержден (табл. 1).
Таблица 1. Результаты лабораторных методов исследования за время наблюдения
Название теста Дата | Июль-сентябрь 2017 | Ноябрь 2017 | Декабрь 2017 | Март 2018 | Сентябрь 2018 | Ноябрь 2018 | Май 2019 | Октябрь 2019 | Референсный интервал | ||
АКТГ-независимый гиперкортицизм подтвержден | Декабрь 2017 — лапароскопическая адреналэктомия справа Заместительная терапия: гидрокортизон 25 мг/сут | 1 день | 2 день | Исключение эндогенного гиперкортицизма | Подтвержден эндогенный гиперкортицизм | Октябрь 2019 — лапароскопическая адреналэктомия с опухолью слева Заместительная терапия: гидрокортизон 40 мг/сут, флудрокортизон 0,05 мг утром | |||||
Исключение надпочечниковой недостаточности на фоне отмены гидрокортизона | |||||||||||
АКТГ в 23:00, пг/мл | <5 | 1,13 | 1,48 | - | - | 1 | 1 | 1,11 | 2–25,5 | ||
АКТГ в 8:00, пг/мл | - | - | 1,39 | - | - | 1 | 1 | 1,43 | 7,2–63,3 | ||
Кортизол сыворотки в 23:00, нмоль/л | - | 683,4 | 371,1 | 320,4 | - | 330,7 | 447,8 | 463,6 | 64–327 | ||
Кортизол сыворотки в 8:00, нмоль/л | - | - | 362 | 306 | - | 331,3 | 422,6 | 406,1 | 171–536 | ||
Свободный кортизол суточной мочи, нмоль/сут | 860,5 | 1153 | - | - | 137,5 | 327 | 309,4 | 100–379 | |||
Свободный кортизол в слюне в 23:00, нмоль/л | 17,7 | - | - | 5,3 | 10,18 | 15,77 | 0,5–9,65 | ||||
Кортизол сыворотки в ходе ночного подавляющего теста с 1 мг дексаметазона, нмоль/л | - | - | - | - | - | 573,5 | <50 | ||||
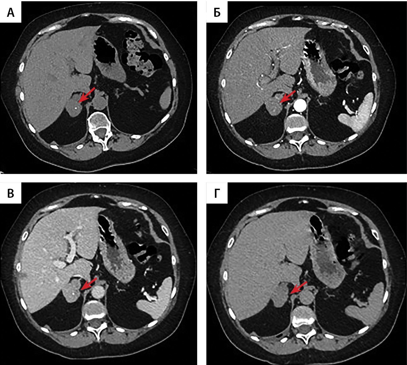
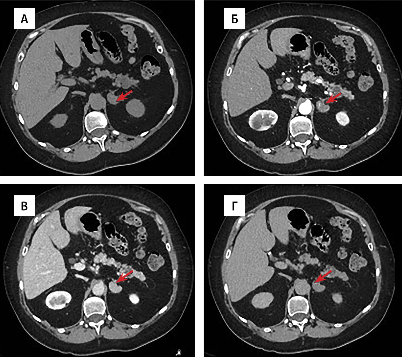
По данным мультиспиральной компьютерной томографии (МСКТ) надпочечников: образование левого надпочечника бобовидной формы с четкими ровными контурами, однородной структуры, размерами 25×14×20 мм. При болюсном контрастном усилении образование неоднородно накапливает контрастный препарат, максимально в венозную фазу. Плотность его по фазам составляет (нативная-артериальная-портальная-отсроченная): 50–59–106–54 ед.Н. Вымывание контрастного препарата: абсолютное 92,9%, относительное — 49,1%. Регионарные лимфатические узлы не увеличены. Образование правого надпочечника овальной формы с четкими бугристыми контурами, неоднородной структуры, размерами 29×41×35 мм. В структуре определяются кальцинаты. При болюсном контрастном усилении образование неоднородно накапливает контрастный препарат, максимально в венозную фазу. Плотность по фазам составляет (нативная-артериальная-портальная-отсроченная): 46–55–104–52 ед.Н. Вымывание контрастного препарата: абсолютное 89,7%, относительное — 50%. В артериальную фазу в структуре обоих образований определяются мелкие гиперконтрастные включения плотностью до 188 ед.Н. Регионарные лимфатические узлы не увеличены (рис. 1, 2, 3). По заключению — образования обоих надпочечников необходимо дифференцировать между атипичными аденомами с низким содержанием жира и образованиями злокачественной природы.
Рисунок 1. Мультиспиральная компьютерная томография образования левого надпочечника, аксиальная проекция: А — нативная фаза; Б — артериальная фаза; В — портальная фаза; Г — отсроченная фаза.
Рисунок 2. Мультиспиральная компьютерная томография образования правого надпочечника, аксиальная проекция: А — нативная фаза; Б — артериальная фаза; В — портальная фаза; Г — отсроченная фаза.
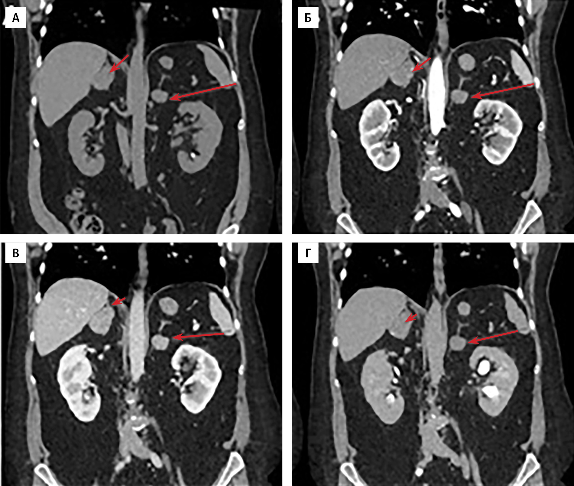
Рисунок 3. Мультиспиральная компьютерная томография образований обоих надпочечников, корональная проекция: А — нативная фаза; Б — артериальная фаза; В — портальная фаза; Г — отсроченная фаза. Образование правого надпочечника (короткая стрелка), левого надпочечника (длинная стрелка).
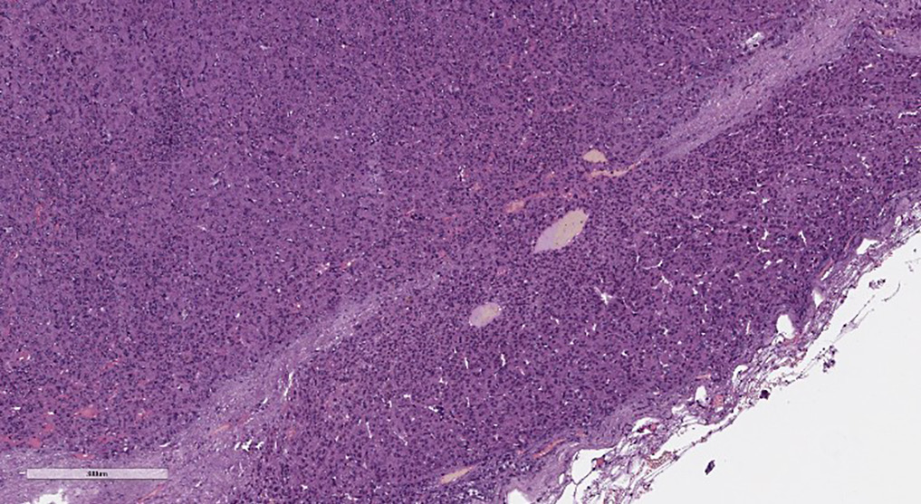
Учитывая двустороннее поражение надпочечников, было принято решение первым этапом провести удаление большего по размеру образования. В декабре 2017 г. выполнена лапароскопическая адреналэктомия справа. В послеоперационном периоде назначена заместительная терапия гидрокортизоном в дозе 25 мг/сут. Морфологическое исследование послеоперационного материала: в исследуемом материале определяются фрагменты опухоли, преимущественно солидного строения, из крупных клеток с обильной эозинофильной зернистой цитоплазмой, с крупными полиморфными ядрами, некоторые из них содержат псевдовключения; в опухоли отмечаются признаки неполной капсулярной инвазии, мелкие фокусы некроза, кровоизлияния и очаги фиброза. Результаты иммуногистохимического исследования: выраженная позитивная реакция опухолевых клеток с антимитохондриальными антителами (рис. 4), позитивная реакция опухолевых клеток с меланом А (рис. 5), ингибином А (рис. 6), отрицательная реакция с хромогранином, индекс пролиферации Ki67 составил 4%. По системе Lin–Weiss–Bisceglia (LWB) для онкоцитарных адренокортикальных опухолей выявлены 2 малых критерия — инвазия в капсулу и некрозы (рис. 7), что свидетельствует в пользу адренокортикальной онкоцитарной опухоли с неопределенным злокачественным потенциалом.
Рисунок 4. Выраженная экспрессия антимитохондриальных антител опухолевыми клетками. Увеличение ×100.
Рисунок 5. Очаговая экспрессия Melan A опухолевыми клетками. Увеличение ×100.
Рисунок 6. Очаговая экспрессия Inhibin А опухолевыми клетками. Увеличение ×100.
Рисунок 7. Микроскопическая картина удаленной опухоли правого надпочечника. Окраска гематоксилином и эозином. Увеличение ×100.
В марте 2018 г. пациентка повторно госпитализирована в отделение нейроэндокринологии и остеопатий. По данным контрольной МСКТ надпочечников в левом надпочечнике сохранялось образование с четкими ровными контурами размерами 24×16×20 мм, плотностью 38 ед.Н. По сравнению с исследованием от ноября 2017 г. — размер образования без динамики. Надпочечниковая недостаточность была исключена на основании лабораторных методов исследования (табл. 1), в связи с чем гидрокортизон был отменен. Учитывая данные лабораторного обследования (нарушение ритма секреции кортизола и низкий уровень АКТГ при нормальном уровне свободного кортизола в суточной моче), было принято решение о динамическом наблюдении.
В возрасте 59 лет во время очередной госпитализации в отделение нейроэндокринологии и остеопатий подтвержден эндогенный гиперкортицизм (см. табл. 1). Пациентка консультирована хирургом, показано проведение планового оперативного лечения, однако по техническим причинам проведение операции было отложено. В марте 2019 г. пациентка госпитализирована в неврологическое отделение по месту жительства с острым нарушением мозгового кровообращения по ишемическому типу в бассейне среднемозговой артерии (по данным магнитно-резонансной томографии (МРТ) головного мозга от марта 2019 г. выявлено умеренное расширение боковых желудочков мозга, выявлены очаги ишемии в заднетеменных отделах справа 0,6–1,0 см). В мае 2019 г. госпитализирована в ФГБУ «НМИЦ эндокринологии» Минздрава России для проведения левосторонней адреналэктомии. В ходе обследования отмечено извращение суточного ритма секреции АКТГ и кортизола (см. табл. 1). Оперативное вмешательство было решено отложить в связи с анестезиологическими рисками, учитывая недавно перенесенное острое нарушение мозгового кровообращения. В октябре 2019 г. проведена лапароскопическая адреналэктомия с опухолью слева. По данным гистологического исследования послеоперационного материала выявлена опухоль аналогичного строения с опухолью, удаленной справа: адренокортикальная онкоцитарная опухоль, солидного строения, неопределенного злокачественного потенциала. Назначена заместительная терапия: гидрокортизон 40 мг/сут (20 мг утро + 10 мг обед + 10 мг вечер), флудрокортизон 0,05 мг утром.
ОБСУЖДЕНИЕ
Онкоцитомы — группа эпителиальных новообразований, характеризующихся аномально-избыточным накоплением дефектных митохондрий в цитоплазме клеток. Чаще всего онкоцитарные образования локализуются в щитовидной, околощитовидных и слюнных железах, почках, гипофизе [15], также описаны случаи поражения хориоидального сплетения, легких и гортани, печени, молочной железы, яичников, желудка, тонкой кишки, тимуса, простаты [16, 17]. Онкоцитомы надпочечников встречаются крайне редко и наиболее распространены среди женщин (2/3), преимущественно на 4–5-м десятилетии жизни, около 20% имеют злокачественные признаки, 10–20% — гормонально-активные (могут секретировать АКТГ, дегидроэпиандростерон сульфат, андростендион, тестостерон, прогестерон, кортизол, альдостерон, эстрадиол, 17-гидроксипрогестерон, интерлейкин-6, адреналин и норадреналин) [18, 19]. В литературе описаны такие клинические проявления, как гирсутизм или вирилизация, гинекомастия, преждевременное половое созревание, вторичная артериальная гипертензия, боли в пояснице, похудение, лихорадка, а также признаки синдрома Иценко–Кушинга [17, 20–21]. Онкоцитомы надпочечников в большинстве случаев выявляются случайно при инструментальном обследовании, в случае гормонально-активных образований диагностический поиск начинается с оценки клинической симптоматики.
МСКТ надпочечников является методом выбора для их визуализации, так как помогает определить размер, структуру, контуры и нативную плотность выявленного образования, а также оценить характер его контрастирования. Ключевыми дифференциально-диагностическими признаками аденом с низким содержанием жира являются: высокая нативная плотность (>10 ед.Н.), однородное накопление контрастного препарата в фазы контрастного усиления (преимущественно в портальную) и выраженное его вымывание к отсроченной фазе (на 15-й минуте исследования) [22]. В свою очередь, злокачественный потенциал можно заподозрить при неоднородности структуры образования, в том числе в фазы болюсного контрастного усиления, а также при задержке вымывания контрастного препарата в отсроченную фазу (абсолютный процент вымывания <60% или относительный <40%) [23, 24]. По результатам последних исследований было выявлено, что аденомы с низким содержанием жира в большинстве случаев (более 75% случаев) представляют собой онкоцитомы, при этом около 1/3 из них имеют пограничный потенциал злокачественности [25]. В настоящее время, к сожалению, не существует достоверных КТ-критериев дифференциальной диагностики доброкачественных онкоцитарных опухолей от образований с пограничным и злокачественным потенциалом [26]. В нашем наблюдении заподозрить онкоцитому, в том числе со злокачественным потенциалом, можно ввиду наличия нетипичного для аденомы неоднородного накопления контрастного препарата в артериальную фазу, где определялись мелкие гиперконтрастные участки. Таким образом, в дальнейшем при выявлении у аденомы с низким содержанием жира атипичных КТ-признаков, например, неоднородности контрастирования, целесообразно включать онкоцитарную опухоль в дифференциальную диагностику.
Окончательный диагноз основывается на гистологическом и иммуногистохимическом анализе послеоперационного материала, однако существуют трудности морфологической диагностики, так как классификация Weiss не применима в случае адренокортикальных онкоцитом [27]. В связи с этим в 2004 г. была разработана модифицированная система Lin–Weiss–Bisceglia (LWB) для оценки степени злокачественности адренокортикальных онкоцитом, которая включила: (1) большие критерии: частота митозов >5 на 50 полей, любые нетипичные митозы или венозная инвазия; (2) малые критерии [большой размер (>10 см и/или вес >200 г), некроз, инвазия капсулы или синусов]; (3) морфологические критерии онкоцитарных клеток (преимущественно клетки с эозинофильно-гранулярной цитоплазмой, высоким ядерно-цитоплазматическим соотношением и диффузным архитектурным рисунком) [28]. Наличие одного из больших критериев указывает на злокачественность (онкоцитарная адренокортикальная карцинома), в то время как наличие по меньшей мере одного малого критерия говорит о неопределенном (пограничном) злокачественном потенциале. Отсутствие признаков свидетельствует о доброкачественном образовании (адренокортикальная онкоцитома) [18]. Иммуногистохимическое исследование помогает определить природу опухоли и злокачественный потенциал.
Среди описанных в литературе случаев (табл. 2) гормонально-активные онкоцитомы надпочечников, проявлявшиеся синдромом Иценко–Кушинга, чаще обнаруживались на четвертом-шестом десятилетии жизни, однако описаны три случая у детей; среди больных преобладали женщины. При оценке гормонального статуса в половине случаев наблюдалась изолированная секреция кортизола, в половине —– смешанная секреция с другими гормонами. Во всех случаях диагностический поиск начинался с клинических проявлений гиперкортицизма, который был подтвержден на основании результатов лабораторных методов исследований, как и в описанном нами случае. Нативная плотность образований по данным МСКТ составила более 20 ед.H. Анализ описанных случаев показал, что онкоцитарные образования иммунореактивны к виментину, синаптофизину, ингибину-α, в некоторых случаях к хромогранину, негативны к s-100 протеину.
Таблица 2. Описанные в литературе случаи онкоцитарных образований надпочечников, ассоциированных с эндогенным гиперкортицизмом
Случай (ссылка) | Возраст на момент диагноза, лет | Пол | Гормональная активность | Нативная плотность образования (КТ) | Размер (см) / вес опухоли (г) | Иммуногистохимическое исследование |
Al Badi et al., 2018 [3] | 5 | муж | Кортизол, тестостерон, ДГЭАС, ФСГ | НД | 3×3×1,5 / 8,4 | Ингибин-α (+), мелан A (+), синаптофизин (+), p53 (+), цитокератин (-); хромогранин А (-), s-100 протеин (-). Ki-67<2% |
Runderawala et al., 2017 [4] | 38 | жен | Кортизол | НД | 2,5×1,8 / 6 | Мелан A (+), ингибин А (-), хромогранин А (-), эпителиальный мембранный антиген (-). Ki-67 8–10% |
Kotoulova et al., 2016 [5] | 33 | жен | Кортизол | НД | 3,2×2,9×2,1 / НД | Ki-67 7%. |
Tartaglia et al., 2016 [6] | 44 | жен | Кортизол | НД | 4×4×0,5 / 24 | Виментин (+), кальретинин (+); хромогранин (-) |
Calderón et al., 2015 [7] | 61 | жен | Кортизол | 23 ед.Н.; степень вымывания более 50% | 3/НД | Виментин (+), ингибин-α (+); мелан А (+); кальретинин (слабо+); синаптофизин (фокально+); хромогранин (+); s-100 протеин (-). Ki-67<1% |
Pereira et al., 2014 [8] | 5,8 | жен | Кортизол, ДГЭАС, тестостерон | НД | 4,5/НД | Ингибин-α (+), цитокератин (-), s-100 протеин (-); хромогранин (-). Ki-67 3,7% |
Lee et al., 2008 [9] | 47 | муж | Кортизол | 35 ед.Н.; процент вымывания через 15 мин — 75% | 2,4×2,2×2,2/ НД | Цитокератин (+), синаптофизин (+), ингибин-α (+); хромогранин (-), s-100 протеин (-). Ki-67 1–2% |
Geramizadeh et al., 2008 [10] | 43 | жен | Кортизол, тестостерон, ДГЭАС | НД | 9 / 95 | Виментин (+), синаптофизин (+); хромогранин (-), цитокератин (-) |
Peynirici et al., 2018 [11] | 35 | жен | Кортизол | НД | 3,5×3,5 / НД | Ингибин-α (+), синаптофизин (локально+) |
Peynirici et al., 2018 [11] | 54 | жен | Кортизол | НД | 5,0×3,2 / НД | - |
Liu et al., 2015 [12] | 12 | жен | Кортизол, тестостерон, ДГЭАС, 17ОНР | НД | 7,9 / НД | Мелан А (+), кальретинин (+), синаптофизин (+), АКТГ (-), AE1/AE3 (-), HMB45, хромогранин A (-), S-100 протеин (-), CD10 (-), актин гладкомышечных клеток (-). Ki-67 1% |
Селиванова Л.С. и соавт., 2015 [13] | 33 | жен | Кортизол, эстрадиол, ДГЭАС, тестостерон, 17ОНР | 40 ед.Н | 6,8×7,9×7,9 / 161 | Антимитохондриальные антитела (+), виментин (+), синаптофизин (+), ингибин А (слабо+); мелан А (слабо+); Хромогранин (-); панцитокератин (-). Ki-67 1,54% |
Представленный нами случай | 58 | жен | Кортизол | Правый надпочечник — 50 ед.Н., левый надпочечник — 38 ед.Н. | Правый надпочечник — 29×41×35; левый надпочечник — 2,4×1,6×2,0 | См. текст статьи |
Примечания: НД – нет данных; ДГЭАС — дегидроэпиандростерон сульфат; ФСГ — фолликулостимулирующий гормон; 17ОНР — 17-гидроксипрогестерон; муж — мужской; жен — женский.
Особенностью данного клинического случая является двустороннее поражение надпочечников, при этом оба образования были гормонально-активными и представляли собой онкоцитарные адренокортикальные опухоли с неопределенным злокачественным потенциалом согласно системе LWB.
ЗАКЛЮЧЕНИЕ
Адренокортикальные онкоцитомы являются редкой причиной развития синдрома Иценко–Кушинга, а двустороннее поражение надпочечников встречается казуистически редко. При проведении МСКТ выявление аденомы надпочечника с низким содержанием жира может быть подозрительно на онкоцитому. Окончательный диагноз устанавливается по результатам морфологического исследования. Необходимо помнить, что для оценки степени злокачественности онкоцитарных образований надпочечников должна использоваться модифицированная система LWB.
ДОПОЛНИТЕЛЬНАЯ ИНФОРМАЦИЯ
Источник финансирования. Работа выполнена по государственному заданию «Наследственные опухолевые синдромы и множественные эндокринные неоплазии: персонализация диагностики и лечения, прогнозирование рисков, идентификация ядерных семей», регистрационный номер #AAAA-A18-118051590057-2.
Согласие пациента. Пациентка добровольно подписала информированное согласие на публикацию персональной медицинской информации в обезличенной форме в журнале «Проблемы эндокринологии».
Конфликт интересов. Авторы декларируют отсутствие явных и потенциальных конфликтов интересов, связанных с публикацией настоящей статьи.
Участие авторов. Ким Е.И. – анализ литературных данных, написание текста статьи; Мамедова Е.О. – анализ литературных данных, написание текста статьи; Селиванова Л.С. – проведение морфологического и иммуногистохимического исследований; Бурякина С.А. – проведение и описание МСКТ надпочечников; Горбунова Н.П. – редактирование статьи; Латкина Н.В. – проведение оперативных вмешательств, редактирование статьи; Кузнецов Н.С. – проведение оперативных вмешательств, финальное редактирование статьи; Белая Ж.Е. – финальное редактирование статьи. Все авторы внесли существенный вклад в подготовку статьи, прочли и одобрили финальную версию до публикации.
Список литературы
1. Lacroix A, Feelders RA, Stratakis CA, Nieman LK. Cushing’s syndrome. Lancet. 2015;386(9996):913–927. doi: 10.1016/s0140-6736(14)61375-1.
2. Pędziwiatr M, Wierdak M, Ostachowski M, et al. Single center outcomes of laparoscopic transperitoneal lateral adrenalectomy – lessons learned after 500 cases: a retrospective cohort study. Int J Surg. 2015;20:88–94. doi: 10.1016/j.ijsu.2015.06.020.
3. Al Badi MK, Al-Alwan I, Al-Dubayee M, et al. Testosterone- and cortisol-secreting oncocytic adrenocortical adenoma in the pediatric age-group. Pediatr Dev Pathol. 2018;21(6):568−573. doi: 10.1177/1093526617753045.
4. Runderawala H, Shah S, Manked A. Adrenal oncocytoma − a rare functional tumor presenting as Cushing Syndrome. J Assoc Physicians India. 2017;65(12):100−101.
5. Kotoulová M, Mikysková I, Dušková J, et al. [Adrenocortical oncocytoma presenting as Cushing’s syndrome in pregnancy with spontaneous postpartum uterine rupture. (In Czech)]. Ceska Gynekol. 2016;81(3):228−232.
6. Tartaglia N, Cianci P, Altamura A, et al. A rare case of functioning adrenocortical oncocytoma presenting as Cushing syndrome. Case Rep Surg. 2016;2016:8964070. doi: 10.1155/2016/8964070.
7. Vicente DM, Rubio AR, Abarca PY, et al. Cushing’s syndrome associated with an adrenocortical oncocytoma. Endocrinol Nutr. 2015;62(8):416−418. doi: 10.1016/j.endonu.2015.04.002.
8. Pereira BD, Rios ES, Cabrera RA, et al. Adrenocortical oncocytoma presenting as Cushing’s syndrome: an additional report of a paediatric case. Endocr Pathol. 2014;25(4):397−403. doi: 10.1007/s12022-014-9325-8.
9. Lee SS, Baek KH, Lee YS, et al. Subclinical Cushing’s syndrome associated with an adrenocortical oncocytoma. J Endocrinol Invest. 2008;31(7):675−679. doi: 10.1007/BF03345624.
10. Geramizadeh B, Norouzzadeh B, Bolandparvaz S, Sefidbakht S. Functioning adrenocortical oncocytoma: a case report and review of literature. Indian J Pathol Microbiol. 2008;51(2):237−239. doi: 10.4103/0377-4929.41667.
11. Peynirci H, Taskıran B, Dik N, et al. Oncocytic neoplasms; rare adrenocortical tumours − a report of eleven patients. Endokrynol Pol. 2018;69(6):682−687. doi: 10.5603/EP.a2018.0066.
12. Liu W, Chen W, He X. An unusual cause of Cushing’s syndrome and virilization. Gastroenterology. 2015;149(4):e5−6. doi: 10.1053/j.gastro.2015.02.020.
13. Селиванова Л.С., Абдулхабирова Ф.М., Воронкова И.А., и др. Онкоцитарная адренокортикальная опухоль надпочечника // Архив патологии. — 2015. — Т.77. — №1. — С. 55−59. [Selivanova LS, Abdulkhabirova FM, Voronkova IA, et al. Оnkotsitarnaya adrenokortikal’naya opukhol’ nadpochechnika. Archive of Pathology. 2015;77(1):55−59. (In Russ).] doi: 10.17116/patol201577155.
14. Shastri C, Rana C, Kumari N, et al. Bilateral adrenocortical oncocytoma with bilateral myelolipomatous metaplasia. Endocr Pathol. 2012;23(2):112−114. doi: 10.1007/s12022-012-9198-7.
15. Correia M, Pinheiro P, Batista R, et al. Etiopathogenesis of oncocytomas. Semin Cancer Biol. 2017;47:82–94. doi: 10.1016/j.semcancer.2017.06.014.
16. Sav A, Scheithauer BW, Mazzola CA, et al. Oncocytic choroid plexus carcinoma: case report. Clin Neuropathol. 2010;29(1):14–20. doi: 10.5414/npp29014.
17. Chang A, Harawi SJ. Oncocytes, oncocytosis, and oncocytic tumors. Pathol Annu. 1992;27Pt 1:263–304.
18. Bisceglia M, Ludovico O, Di Mattia A, et al. Adrenocortical oncocytic tumors: report of 10 cases and review of the literature. Int J Surg Pathol. 2004;12(3):231–243. doi: 10.1177/106689690401200304.
19. Wong DD, Spagnolo DV, Bisceglia M, et al. Oncocytic adrenocortical neoplasms – a clinico-pathologic study of 13 new cases emphasizing the importance of their recognition. Hum Pathol. 2011;42(4):489−499. doi: 10.1016/j.humpath.2010.08.010.
20. Costanzo PR, Paissan AL, Knoblovits P. Functional plurihormonal adrenal oncocytoma: case report and literature review. Clinical Case Reports. 2017;6(1):37–44. doi: 10.1002/ccr3.1279.
21. Tahar GT, Nejib KN, Sadok SS. Adrenocortical oncocytoma: a case report and review of literature. J Ped Surg. 2008;43(5):E1−E3. doi: 10.1016/j.jpedsurg.2007.12.067.
22. Тарбаева Н.В., Бурякина С.А., Волеводз Н.Н., и др. Мультиспиральная компьютерная томография в эндокринологии / Под ред. И.И. Дедова. — М.: Видар-М, 2020. — 176 с. [Tarbaeva NV, Buryakina SA, Volevodz NN, et al. Mul’tispiral’naya komp’yuternaya tomografiya v endokrinologii. Ed by I.I. Dedov. Moscow: Vidar-M; 2020. 176 р. (In Russ).]
23. Fassnacht M, Arlt W, Bancos I, et al. Management of adrenal incidentalomas: European society of endocrinology clinical practice guideline in collaboration with the European network for the study of adrenal tumors. Eur J Endocrinol. 2016;175(2):G1–G34. doi: 10.1530/eje-16-0467.
24. Glazer DI, Mayo-Smith WW. Management of incidental adrenal masses: an update. Abdom Radiol. 2020;45(4):892−900. doi: 10.1007/s00261-019-02149-2.
25. De Leo A, Mosconi C, Zavatta G, et al. Radiologically defined lipid-poor adrenal adenomas: histopathological characteristics. J Endocrinol Invest. 2020. doi: 10.1007/s40618-020-01198-5.
26. Tirkes T, Gokaslan T, McCrea J, et al. Oncocytic neoplasms of the adrenal gland. AJR Am J Roentgenol. 2011;196(3):592−596. doi: 10.2214/AJR.10.5212.
27. Lau SK, Weiss LM. The Weiss system for evaluating adrenocortical neoplasms: 25 years later. Human Pathology. 2009;40(6):757–768. doi: 10.1016/j.humpath.2009.03.010.
28. Bisceglia M, Ben-Dor D, Pasquinelli G. Oncocytic adrenocortical tumors. Pathol Case Rev. 2005;10(5):228–242. https://doi.org/10.1097/01.pcr.0000175102.22075.54.
Об авторах
Екатерина Игоревна КимРоссия
студентка лечебного факультета
Елизавета Октаевна Мамедова
Россия
Научный сотрудник отделения нейроэндокринологии и остеопатий
Лилия Сергеевна Селиванова
Россия
кандидат медицинских наук, научный сотрудник отдела фундаментальной патоморфологии
Светлана Алексеевна Бурякина
Россия
к.м.н.
Наталья Петровна Горбунова
Россия
врач-эндокринолог
Нонна Вадимовна Латкина
Россия
к.м.н.
Николай Сергеевич Кузнецов
Россия
д.м.н., профессор
Жанна Евгеньевна Белая
Россия
д.м.н., зав. отделения нейроэндокринологии и остеопатий,профессор кафедры эндокринология, института высшего и дополнительного образования
Дополнительные файлы
|
1. Картинки | |
| Тема | ||
| Тип | Прочее | |
Скачать
(874KB)
|
Метаданные ▾ | |
|
2. Таблицы | |
| Тема | ||
| Тип | author.submit.suppFile.tableDataSet | |
Скачать
(31KB)
|
Метаданные ▾ | |
|
|
3. Рисунок 1. Мультиспиральная компьютерная томография образования левого надпочечника, аксиальная проекция: А — нативная фаза; Б — артериальная фаза; В — портальная фаза; Г — отсроченная фаза. | |
| Тема | ||
| Тип | Прочее | |
Посмотреть
(306KB)
|
Метаданные ▾ | |
|
|
4. Рисунок 2. Мультиспиральная компьютерная томография образования правого надпочечника, аксиальная проекция: А — нативная фаза; Б — артериальная фаза; В — портальная фаза; Г — отсроченная фаза. | |
| Тема | ||
| Тип | Прочее | |
Посмотреть
(291KB)
|
Метаданные ▾ | |
|
|
5. Рисунок 3. Мультиспиральная компьютерная томография образований обоих надпочечников, корональная проекция: А — нативная фаза; Б — артериальная фаза; В — портальная фаза; Г — отсроченная фаза. Образование правого надпочечника (короткая стрелка), левого надпочечника (длинная стрелка). | |
| Тема | ||
| Тип | Прочее | |
Посмотреть
(390KB)
|
Метаданные ▾ | |
|
|
6. Рисунок 4. Выраженная экспрессия антимитохондриальных антител опухолевыми клетками. Увеличение ×100. | |
| Тема | ||
| Тип | Прочее | |
Посмотреть
(396KB)
|
Метаданные ▾ | |
|
|
7. Рисунок 5. Очаговая экспрессия Melan A опухолевыми клетками. Увеличение ×100. | |
| Тема | ||
| Тип | Прочее | |
Посмотреть
(317KB)
|
Метаданные ▾ | |
|
|
8. Рисунок 6. Очаговая экспрессия Inhibin А опухолевыми клетками. Увеличение ×100. | |
| Тема | ||
| Тип | Прочее | |
Посмотреть
(336KB)
|
Метаданные ▾ | |
|
|
9. Рисунок 7. Микроскопическая картина удаленной опухоли правого надпочечника. Окраска гематоксилином и эозином. Увеличение ×100. | |
| Тема | ||
| Тип | Прочее | |
Посмотреть
(249KB)
|
Метаданные ▾ | |
Рецензия
Для цитирования:
Ким Е.И., Мамедова Е.О., Селиванова Л.С., Бурякина С.А., Горбунова Н.П., Латкина Н.В., Кузнецов Н.С., Белая Ж.Е. Синдром Иценко–Кушинга вследствие двусторонней онкоцитарной адренокортикальной опухоли. Проблемы Эндокринологии. 2020;66(3):47-55. https://doi.org/10.14341/probl12496
For citation:
Kim E.I., Mamedova E.O., Selivanova L.S., Buryakina S.A., Gorbunova N.P., Latkina N.V., Kuznetsov N.S., Belaya Zh.E. Cushing’s syndrome due to bilateral oncocytic adrenal tumor. Problems of Endocrinology. 2020;66(3):47-55. (In Russ.) https://doi.org/10.14341/probl12496
Контент доступен под лицензией Creative Commons Attribution-NonCommercial-NoDerivatives 4.0 International License (CC BY-NC-ND 4.0).




































.jpg)

