Diagnosis and new treatment options for pituitary adenomas
https://doi.org/10.14341/probl13199
Abstract
Currently, the treatment of pituitary adenomas is inextricably linked with transsphenoidal neurosurgical intervention. Modern technologies used in surgery for this pituitary pathology, such as endoscopy using angled optics, as well as the use of specialized instruments, sealing and hemostatic materials, increase the effectiveness of surgical treatment of pituitary adenomas and reduce the incidence of intraand postoperative complications. The development of radiation methods of diagnostics, such as MRI, makes it possible to more accurately identify the formation of the pituitary gland, assess its size, direction of growth, and the degree of invasion of surrounding tissues. The authors of the article described in detail the modern technique of transsphenoidal removal of pituitary adenoma using an endoscope. Each stage of the operation is described step by step, taking into account various anatomical features and illustrated. This article discusses the MRI characteristics of pituitary adenomas: size of the tumor, the direction of its growth, the degree of invasion of the cavernous sinuses, the compression effect on the structures of the chiasmal-sellar region. The use of treatment methods, knowledge of the features of MRI diagnostics described in this article greatly increase the effectiveness of the treatment of patients with pituitary adenomas and reduce the risk of complications after neurosurgical intervention in such patients.
About the Authors
A. Yu. GrigorievRussian Federation
Andrey Yu. Grigoriev - PhD, MD; Scopus ID 57190411198.
Moscow
Competing Interests:
none
V. N. Azizyan
Russian Federation
Vilen N. Azizyan - PhD, MD, neurosurgeon.
Moscow
Competing Interests:
none
O. V. Ivashchenko
Russian Federation
Oksana V. Ivashchenko - neurosurgeon.
Moscow
Competing Interests:
none
G. Yu. Starkov
Russian Federation
Grigorii Yu. Starkov
Moscow
Competing Interests:
none
References
1. Buhman AI. Rentgenodiagnostika v jendokrinologii. Moscow: Medicina; 1975. (In Russ.).
2. Kadashev BA. Adenomy gipofiza: klinika, diagnostika, lechenie. Moscow: Tver’: 2007. P. 255–260. (In Russ.).
3. AACE Acromegaly Guidelines. Endocr Pract. 2004;10(3).
4. Abs R, Verhelst J, Maiter D, et al. Cabergoline in the treatment of acromegaly: a study in 64 patients. J Clin Endocrinol Metab. 1998;83(2):374-378. doi: https://doi.org/10.1210/jcem.83.2.4556
5. Alleyne CH, Barrow DL, Oyesiku NM. Combined transsphenoidal and pterional craniotomy approach to giant pituitary tumors. Surg Neurol. 2002;57(6):380-390. doi: https://doi.org/10.1016/S0090-3019(02)00705-X
6. Ambrosi B., Faglia G. Epidemiology of pituitary tumors. In: Faglia G, Beck-Peccoz P, Ambrosi B, et al. eds. Pituitary Adenomas: New Trends in Basic and Clinical Research. Amsterdam: Elsevier Science Publishers; 1991. Р. 159-168.
7. Arnaldi G, Angeli A, Atkinson AB, et al. Diagnosis and complications of Cushing’s syndrome: A consensus statement. J Clin Endocrinol Metab. 2003;88(12):5593-5602. doi: https://doi.org/10.1210/jc.2003-030871
8. Aron DC, Raff H, Findling JW. Effectiveness versus efficacy: the limited value in clinical practice of high dose dexamethasone suppression testing in the differential diagnosis of adrenocorticotropin- dependent Cushing’s syndrome. J Clin Endocrinol Metab. 1997;82(6):1780-1785. doi: https://doi.org/10.1210/jcem.82.6.3991
9. Assié G, Bahurel H, Coste J, et al. Corticotroph Tumor Progression after Adrenalectomy in Cushing’s Disease: A Reappraisal of Nelson’s Syndrome. J Clin Endocrinol Metab. 2007;92(1):172-179. doi: https://doi.org/10.1210/jc.2006-1328
10. Atkinson AB, Kennedy A, Wiggam MI, et al. Long-term remission rates after pituitary surgery for Cushing’s disease: the need for long-term surveillance. Clin Endocrinol (Oxf). 2005;63(5):549-559. doi: https://doi.org/10.1111/j.1365-2265.2005.02380.x
11. Baris D, Gridley G, Ron E, et al. Acromegaly and cancer risk: a cohort study in Sweden and Denmark. Cancer Causes Control. 2002;13(5):395-400. doi: https://doi.org/10.1023/a:1015713732717
12. Barrande G, Pittino-Lungo M, Coste J, et al. Hormonal and metabolic effects of radiotherapy in acromegaly: long-term results in 128 patients followed in a single center. J Clin Endocrinol Metab. 2000;85(10):3779-3785. doi: https://doi.org/10.1210/jcem.85.10.6870
13. Beck-Peccoz P, Brucker-Davis F, Persani L, et al. Thyrotropin-secreting pituitary tumors. Endocr Rev. 1996;17(6):610-638. doi: https://doi.org/10.1210/er.17.6.610
14. Bengtsson BA, Eden S, Ernest I, et al. Epidemiology and long-term survival in acromegaly. Acta Med. Scand. 1988;223(4):327-335.
15. Benveniste RJ, King WA, Walsh J, et al. et al. Repeated transsphenoidal surgery to treat recurrent or residual pituitary adenoma. J Neurosurg. 2005;102(6):1004-1012. doi: https://doi.org/10.3171/jns.2005.102.6.1004
16. Bevan JS, Burke CW, Esiri MM, Adams CBT. Misinterpretation of prolactin levels leading to management errors in patients with sellar enlargement. Am J Med. 1987;82(1):29-32. doi: https://doi.org/10.1016/0002-9343(87)90373-1
17. Bevan JS, Webster J, Burke CW, Scanlon MF. Dopamine Agonists and Pituitary Tumor Shrinkage. Endocr Rev. 1992;13(2):220-240. doi: https://doi.org/10.1210/edrv-13-2-220
18. Blevins LS, Christy JH, Khajavi M, Tindall GT. Outcomes of therapy for Cushing’s disease due to adrenocorticotropin-secreting pituitary macroadenomas. J Clin Endocrinol Metab. 1998;83(1):63-67. doi: https://doi.org/10.1210/jcem.83.1.4525
19. Boscaro M, Barzon L, Fallo F, Sonino N. Cushing’s syndrome. Lancet. 2001;357(9258):783-791. doi: https://doi.org/10.1016/S0140-6736(00)04172-6
20. Brada M, Burchell L, Ashley S, Traish D. The incidence of cerebrovascular accidents in patients with pituitary adenoma. Int J Radiat Oncol. 1999;45(3):693-698. doi: https://doi.org/10.1016/S0360-3016(99)00159-5
21. Buchfelder M, Fahlbusch R. Thyrotroph adenomas. In: Thapar K, Kovacs K, Scheithauer BW, Lloyd RV. eds. Diagnosis and management of pituitary tumors. Humana: Totowa, NJ; 2001. Р. 333-342.
22. Carter JN, Tyson JE, Tous G, et al. Prolactin-Secreting Tumors and Hypogonadism in 22 Men. N Engl J Med. 1978;299(16):847-852. doi: https://doi.org/10.1056/NEJM197810192991602
23. Castinetti F, Nagai M, Dufour H, et al. Gamma knife radiosurgery is a successful adjunctive treatment in Cushing’s disease. Eur J Endocrinol. 2007;156(1):91-98. doi: https://doi.org/10.1530/eje.1.02323
24. Ciccarelli A, Daly AF, Beckers A. The Epidemiology of Prolactinomas. Pituitary. 2005;8(1):3-6. doi: https://doi.org/10.1007/s11102-005-5079-0
25. Colao A, Sarno A, Cappabianca P, et al. Gender differences in the prevalence, clinical features and response to cabergoline in hyperprolactinemia. Eur J Endocrinol. 2003;148(3):325-331. doi: https://doi.org/10.1530/eje.0.1480325
26. Colao A, Vitale G, Cappabianca P, et al. Outcome of cabergoline treatment in men with prolactinoma: effects of a 24-month treatment on prolactin levels, tumor mass, recovery of pituitary function, and semen analysis. J Clin Endocrinol Metab. 2004;89(4):1704-1711. doi: https://doi.org/10.1210/jc.2003-030979
27. Colao A, Spinelli L, Marzullo P, et al. High Prevalence of Cardiac Valve Disease in Acromegaly: An Observational, Analytical, Case- Control Study. J Clin Endocrinol Metab. 2003;88(7):3196-3201. doi: https://doi.org/10.1210/jc.2002-021099
28. Corenblum B, Pairaudeau N, Shewchuk AB. Prolactin hypersecretion and short luteal phase defects. Obstet Gynecol. 1976;(47):486-488.
29. Daly AF, Rixhon M, Adam C, et al. High prevalence of pituitary adenomas: a cross-sectional study in the province of Liège, Belgium. J Clin Endocrinol Metab. 2006;91(12):4769-4775.
30. doi: https://doi.org/10.1210/jc.2006-1668
31. David SR, Taylor CC, Kinon BJ, Breier A. The effects of olanzapine, risperidone, and haloperidol on plasma prolactin levels in patients with schizophrenia. Clin Ther. 2000;22(9):1085-1096. doi: https://doi.org/10.1016/S0149-2918(00)80086-7
32. Davis JR, Farrell W, Clayton R. Pituitary tumours. Reproduction. 2001;22(9):363-371. doi: https://doi.org/10.1530/rep.0.1210363
33. De P, Rees DA, Davies N, et al. Transsphenoidal surgery for acromegaly in Wales: results based on stringent criteria of remission. J Clin Endocrinol Metab. 2003;88(8):3567-3572. doi: https://doi.org/10.1210/jc.2002-021822
34. De Rosa M, Zarrilli S, Vitale G, et al. Six months of treatment with cabergoline restores sexual potency in hyperprolactinemic males: An open longitudinal study monitoring nocturnal penile tumescence. J Clin Endocrinol Metab. 2004;89(2):621-625. doi: https://doi.org/10.1210/jc.2003-030852
35. De Tommasi C, Vance ML, Okonkwo DO, et al. Surgical management of adrenocorticotropic hormone — secreting macroadenomas: outcome and challenges in patients with Cushing’s disease or Nelson’s syndrome. J Neurosurg. 2005;103(5):825-830. doi: https://doi.org/10.3171/jns.2005.103.5.0825
36. DeLellis RA. Pathology and Genetics of Tumours of Endocrine Organs, WHO Classification of Tumours. Lyon: IARC Press; 2004.
37. Dickerman RD, Oldfield EH. Basis of persistent and recurrent Cushing disease: an analysis of findings at repeated pituitary surgery. J Neurosurg. 2002;97(6):1343-1349. doi: https://doi.org/10.3171/jns.2002.97.6.1343
38. Erfurth EM, Hagmar L. Cerebrovascular disease in patients with pituitary tumors. Trends Endocrinol Metab. 2005;16(7):334-342. doi: https://doi.org/10.1016/j.tem.2005.07.004
39. Esposito F, Dusick JR, Cohan P, et al. Early Morning Cortisol Levels as a Predictor of Remission After Transsphenoidal Surgery for Cushing’s Disease. J Clin Endocrinol Metab. 2006;91(1):7-13. doi: https://doi.org/10.1210/jc.2005-1204
40. Estrada J, Boronat M, Mielgo M, et al. The long-term outcome of pituitary irradiation after unsuccessful transsphenoidal surgery in Cushing’s disease. N Engl J Med. 1997;336(3):172-177. doi: https://doi.org/10.1056/NEJM199701163360303
41. Etxabe J, Vazquez JA. Morbidity and mortality in Cushing’s disease: an epidemiological approach. Clin Endocrinol (Oxf). 1994;40(4):479-484. doi: https://doi.org/10.1111/j.1365-2265.1994.tb02486.x
42. Ezzat S, Asa SL, Couldwell WT, et al. The prevalence of pituitary adenomas. Cancer. 2004;101(3):613-619. doi: https://doi.org/10.1002/cncr.20412
43. Fatti LM, Scacchi M, Pincelli AI, et al. Prevalence and pathogenesis of sleep apnea and lung disease in acromegaly. Pituitary. 2001;4(4):259-262. doi: https://doi.org/10.1023/a:1020702631793
44. Findling JW, Raff H. Cushing’s syndrome: important issues in diagnosis and management. J Clin Endocrinol Metab.
45. 2006;91(10):3746-3753. doi: https://doi.org/10.1210/jc.2006-0997
46. Giustina A, Barkan A, Casanueva FF, et al. Criteria for cure of acromegaly: a consensus statement. J Clin Endocrinol Metab. 2000;85(2):526-529. doi: https://doi.org/10.1210/jcem.85.2.6363
47. Greenman, M.D Y, Melmed, M.D S. Diagnosis and management of nonfunctioning pituitary tumors. Annu Rev Med. 1996;47(1):95-106. doi: https://doi.org/10.1146/annurev.med.47.1.95
48. Hammer GD, Tyrrell JB, Lamborn KR, et al. Transsphenoidal microsurgery for Cushing’s disease: initial outcome and longterm results. J Clin Endocrinol Metab. 2004;89(12):6348-6357. doi: https://doi.org/10.1210/jc.2003-032180
49. Hardy J, Vezina JL. Transsphenoidal neurosurgery of intracranial neoplasm. In: Ed by Thompson RA, Green JR. Advances in neurology. Neoplasia in the Central Nervous System. New York: Raven Press; 1976. Р. 261-274.
50. Ho DM-T, Hsu C, Ting L-T, Chiang H. The clinicopathological characteristics of gonadotroph cell adenoma: A study of 118 cases. Hum Pathol. 1997;28(8):905-911. doi: https://doi.org/10.1016/S0046-8177(97)90005-8
51. Hofmann B.M., Fahlbusch R. Treatment of Cushing’s disease: a retrospective clinical study of the latest 100 cases. Front Horm Res. 2006;(34):158-184. doi: https://doi.org/10.1159/000091580
52. Hofmann BM, Hlavac M, Kreutzer J, et al. Surgical treatment of recurrent Cushing’s disease. Neurosurgery. 2006;58(6):1108-1118. doi: https://doi.org/10.1227/01.NEU.0000215945.26764.92
Supplementary files
|
|
1. Рисунок 1. Эндоскопы с обычной и стержневой линзовой системой. | |
| Subject | ||
| Type | Исследовательские инструменты | |
View
(86KB)
|
Indexing metadata ▾ | |
|
|
2. Figure 2. Angle of view in straight and angled endoscopes. | |
| Subject | ||
| Type | Исследовательские инструменты | |
View
(187KB)
|
Indexing metadata ▾ | |
|
|
3. Figure 3. Fragment of the operation during access through the bone structures of the main sinus. | |
| Subject | ||
| Type | Исследовательские инструменты | |
View
(100KB)
|
Indexing metadata ▾ | |
|
|
4. Figure 4. The process of removing the tumor from the cavity of the Turkish saddle with the help of an aspirator (T - dura mater, O - tumor, A - aspirator). | |
| Subject | ||
| Type | Исследовательские инструменты | |
View
(117KB)
|
Indexing metadata ▾ | |
|
|
5. Figure 5. Sutured dura after removal of the pituitary tumor | |
| Subject | ||
| Type | Исследовательские инструменты | |
View
(102KB)
|
Indexing metadata ▾ | |
|
|
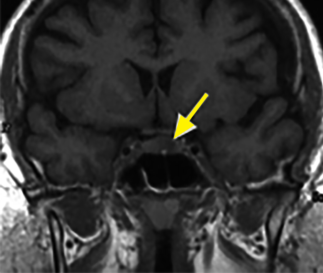
6. Figure 6. Endosellar corticotropinoma. Anterior T1-weighted MRI reveals a hypointense tumor (arrow). | |
| Subject | ||
| Type | Исследовательские инструменты | |
View
(97KB)
|
Indexing metadata ▾ | |
|
|
7. Figure 7. Endosellar corticotropinoma. On the frontal (A) and sagittal (B) T1-weighted MRI scans, with the introduction of a contrast agent, a reduced accumulation of a contrast agent is noted, in contrast to normal pituitary tissue. | |
| Subject | ||
| Type | Исследовательские инструменты | |
View
(173KB)
|
Indexing metadata ▾ | |
|
|
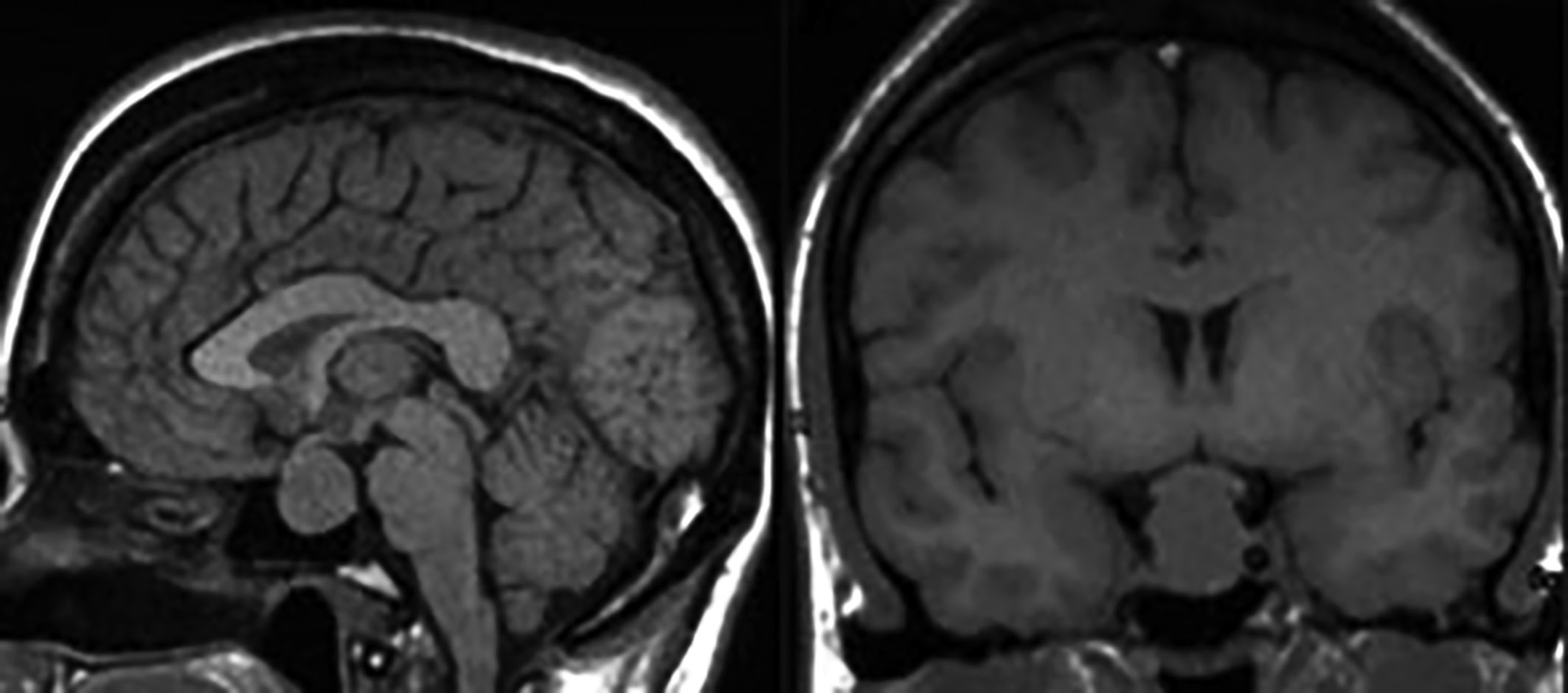
8. Figure 8. Endosuprasellar somatotropinoma. On sagittal (A) and frontal (B) MRI scans in T1-weighted mode, a hypointense tumor is detected. | |
| Subject | ||
| Type | Исследовательские инструменты | |
View
(169KB)
|
Indexing metadata ▾ | |
|
|
9. Figure 9. Endo-supra-infra-laterosellar somatotropinoma. On sagittal (A) and frontal (B) MRI scans in T1-weighted mode, a hypointense tumor is detected with growth into the sinus of the sphenoid bone, suprasellarly with compression of the optic chiasm, laterosellarly into the left cavernous sinus with fouling of the ICA siphon and compression of the medial parts of the temporal shares | |
| Subject | ||
| Type | Исследовательские инструменты | |
View
(164KB)
|
Indexing metadata ▾ | |
|
|
10. Figure 10. Endo-supra-infra-laterosellar somatotropinoma. On sagittal (A) and frontal (B) MRI scans in T1-weighted mode, a hypointense tumor is detected with growth into the sinus of the sphenoid bone, suprasellarly with compression of the fundus of the 3rd ventricle, laterosellarly - into the right cavernous sinus | |
| Subject | ||
| Type | Исследовательские инструменты | |
View
(164KB)
|
Indexing metadata ▾ | |
Review
For citations:
Grigoriev A.Yu., Azizyan V.N., Ivashchenko O.V., Starkov G.Yu. Diagnosis and new treatment options for pituitary adenomas. Problems of Endocrinology. 2023;69(2):4-10. (In Russ.) https://doi.org/10.14341/probl13199
This work is licensed under a Creative Commons Attribution-NonCommercial-NoDerivatives 4.0 International License (CC BY-NC-ND 4.0).




































.jpg)

