KI-67 as a predictive indicator of papillary thyroid cancer in Iraqi patients
https://doi.org/10.14341/probl13410
Аннотация
BACKGROUND. KI-67 (MKI-67 in humans) is a protein able to bind to DNA which contributes to cell growth and cell proliferation. KI-67 is currently considered as a biomarker that is widely utilized as prognostic indicator for evaluating cell proliferation, diagnosing diseases, and conducting research. Several different kinds of cancer have high Ki-67 expression, which simplifying the choice of treatment for individuals with various cancer types.
AIM. The objective was to evaluate the expression of KI67 in patients suffering papillary thyroid cancer (PTC) also the association between patients age and gender and KI67 expression.
MATERIALS AND METHODS. To undertake an in-depth investigation of KI67 in malignant and normal tissues, we used thyroid tissue sections to analyze KI67 expression in 70 samples, 50 different PTC (44 female and 6 male), and 20 normal types (10 for each gender). Each group’s average age is between 20 and 60.
RESULTS. The analysis of the data revealed a substantial difference in the expression of ki67 between the patients and control groups. Ki67 expression and either gender or age did not significantly correlate.
CONCLUSION. This study suggest that KI67 may be a crucial marker for assessing the aggressiveness of tumors and inflammatory diseases.
Об авторах
Noor Mohammed Naji Al-TimimiИрак
Noor Mohammed Naji Al-Timimi, MSc student; Dept. Biology, Coll. of Science
Baghdad (00964)
Abed Hassan Baraaj
Ирак
Abed Hassan Baraaj, Professor Dr.; Dept. Biology, Coll. of Science
Baghdad (00964)
Список литературы
1. Khachatryan MA, Mkhitaryan LM. Papillary thyroid cancer, Hashimoto’s thyroiditis, adenomatoid hyperplasia. Do they have any connection? Problems of Endocrinology. 2016;62(5):55-56. doi: https://doi.org/10.14341/probl201662555-56
2. Doubi A, Al-Qannass A, Al-Angari SS, Al-Qahtani KH, Alessa M, Al-Dhahri S. Trends in thyroid carcinoma among thyroidectomy patients: A 12-year multicenter study. Ann Saudi Med. 2019. doi: https://doi.org/10.5144/0256-4947.2019.345
3. Lloyd RV, Osamura RY, Kloppel G, et al. WHO classification of tumours of endocrine organs. Lyon: (IARC). 2017. Available from: https://publications.iarc.fr/Book-And-Report-Series/Who-Classification-Of-Tumours/WHO-Classification-Of-Tumours-Of-Endocrine-Organs-2017
4. Mao J, Zhang Q, Zhang H, Zheng K, Wang R, Wang G. Risk Factors for Lymph Node Metastasis in Papillary Thyroid Carcinoma: A Systematic Review and Meta-Analysis. Front Endocrinol (Lausanne). 2020;11. doi: https://doi.org/10.3389/fendo.2020.00265
5. Dwivedi SS. Study of Immunohistochemical Markers (CK-19, CD-56, Ki-67, p53) in Differentiating Benign and Malignant Solitary Thyroid Nodules with special Reference to Papillary Thyroid Carcinomas. J Clin DIAGNOSTIC Res. 2016. doi: https://doi.org/10.7860/JCDR/2016/22428.9114
6. LI LT, JIANG G, CHEN Q, ZHENG JN. Ki67 is a promising molecular target in the diagnosis of cancer (Review). Mol Med Rep. 2015;11(3):1566-1572. doi: https://doi.org/10.3892/mmr.2014.2914
7. Lindfors H, Karlsen M, Karlton E, et al. Thyroglobulin expression, Ki-67 index, and lymph node ratio in the prognostic assessment of papillary thyroid cancer. Sci Rep. 2023;13(1):1070. doi: https://doi.org/10.1038/s41598-023-27684-3
8. Somuncu E. What is the meaning of ki67 expression in papillary thyroid cancer? Biomed. Res. 2021:S49-S52. Available from: https://www.alliedacademies.org/articles/what-is-the-meaning-of-ki67-expression-in-papillary-thyroid-cancer.pdf
9. Ahmed S, Rashed H, Hegazy A, Mohamed AM, Elmesallamy W. Prognostic value of aldh1, ezh2 and ki-67 in astrocytic gliomas. Turkish J Pathol. 2016. doi: https://doi.org/10.5146/tjpath.2015.01344
10. Davey MG, Hynes SO, Kerin MJ, Miller N, Lowery AJ. Ki-67 as a Prognostic Biomarker in Invasive Breast Cancer. Cancers (Basel). 2021;13(17):4455. doi: https://doi.org/10.3390/cancers13174455
11. MAIA R, SANTOS GA DOS, REIS S, et al. Can we use Ki67 expression to predict prostate cancer aggressiveness? Rev Col Bras Cir. 2022;49. doi: https://doi.org/10.1590/0100-6991e-20223200-en
12. Suhaimi SNA, Shuhaili MA, Isa NM, Puad SHM, Shah SA, Mohammad R. The Missing Link between Ki-67 and Papillary Thyroid Carcinoma. World J Endocr Surg. 2020;12(2):80-85. doi: https://doi.org/10.5005/jp-journals-10002-1287
13. Sun X, Kaufman PD. Ki-67: more than a proliferation marke. Chromosoma. 2018;127(2):175–186. Available from: https://www.ncbi.nlm.nih.gov/pmc/articles/PMC5945335/
14. Remnant L, Kochanova NY, Reid C, Cisneros-Soberanis F, Earnshaw WC. The intrinsically disorderly story of Ki-67. Open Biol. 2021. doi: https://doi.org/10.1098/rsob.210120
15. Zhou Y, Jiang H-G, Lu N, Lu B-H, Chen Z-H. Expression of Ki67 in Papillary Thyroid Microcarcinoma and its Clinical Significance. Asian Pacific J Cancer Prev. 2015;16(4):1605-1608. doi: https://doi.org/10.7314/APJCP.2015.16.4.1605
16. Tran QL, Davies L. Thyroid cancer incidence differences between men and women. Curr Opin Endocr Metab Res. 2023. doi: https://doi.org/10.1016/j.coemr.2023.100472
17. Yu L, Hong H, Han J, Leng SX, Zhang H, Yan X. Comparison of Survival and Risk Factors of Differentiated Thyroid Cancer in the Geriatric Population. Front Oncol. 2020;10. doi: https://doi.org/10.3389/fonc.2020.00042
18. Lei Y, Zhao X, Feng Y, He D, Hu D, Min Y. The Value of Ki-67 Labeling Index in Central Lymph Node Metastasis and Survival of Papillary Thyroid Carcinoma: Evidence From the Clinical and Molecular Analyses. Cancer Control. 2023;30. doi: https://doi.org/10.1177/10732748231155701
19. Siironen P, Nordling S, Louhimo J, Haapiainen R, Haglund C. Immunohistochemical expression of Bcl-2, Ki-67, and p21 in patients with papillary thyroid cancer: Increased Ki-67 expression in older patients. Tumor Biol. 2005. doi: https://doi.org/10.1159/000084340
20. Pan DH, Wen DY, Luo YH, et al. The diagnostic and prognostic values of KI-67/ MIB-1 expression in thyroid cancer: A meta-analysis with 6,051 cases. Onco Targets Ther. 2017. doi: https://doi.org/10.2147/OTT.S135593
Дополнительные файлы
|
|
1. Figure 1. Cross section of thyroid tissue in (A) healthy tissue (B) malignant papillary thyroid tissue by using IHC that revealed negative expression of Ki 67 (less than 5%).10X | |
| Тема | ||
| Тип | Исследовательские инструменты | |
Посмотреть
(713KB)
|
Метаданные ▾ | |
|
|
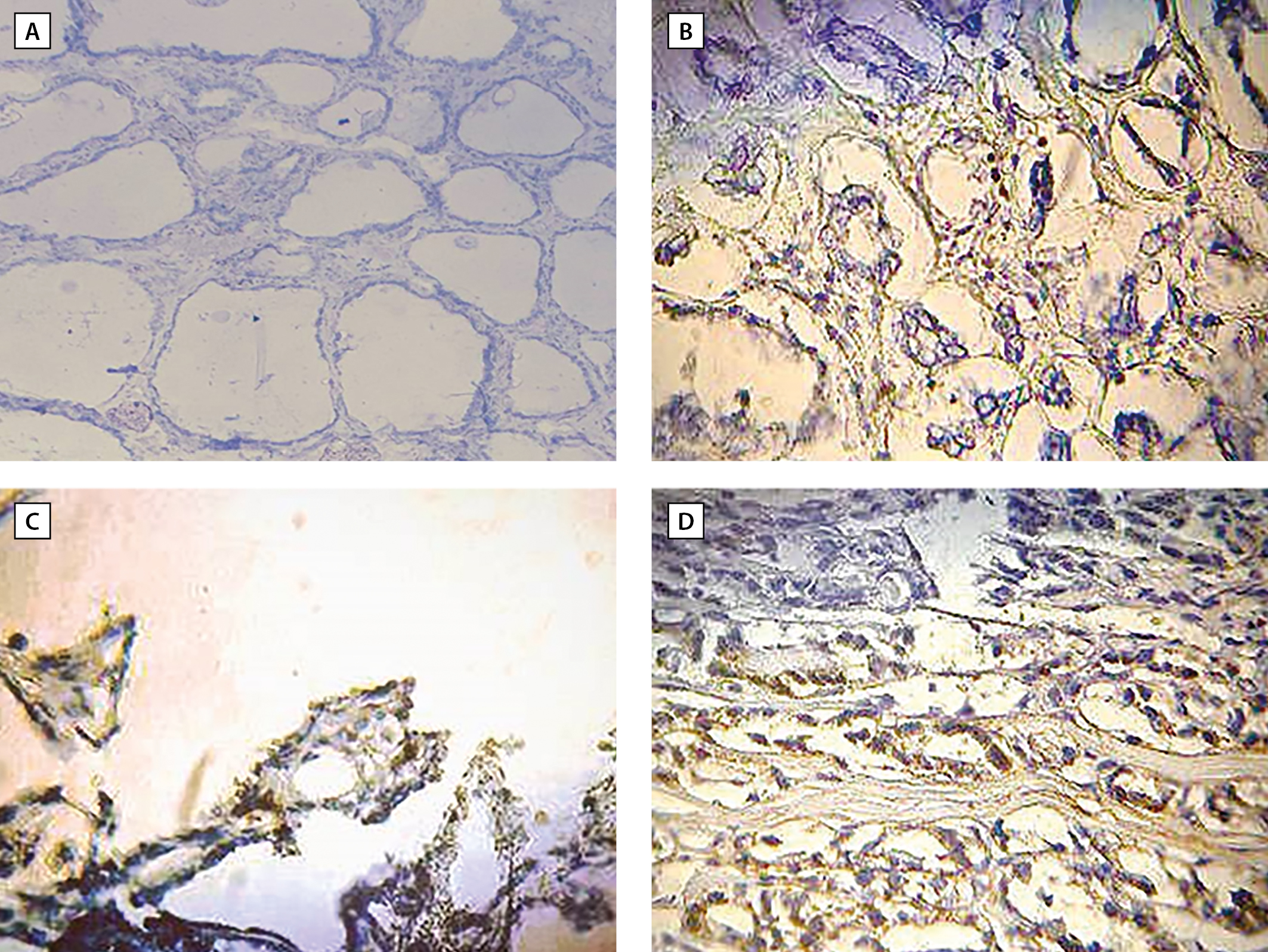
2. Figure 2. Cross section of thyroid tissue in (A) control showed negative expression of KI-67 (less than 5%). (B) Patient with PTC showed low expression of KI-67 (less than 5%). (C) Patient with PTC showed intermediate expression of KI-67 represent (5-10%). (D) Patient with PTC showed high expression of KI67 represent more than 10%. 40X | |
| Тема | ||
| Тип | Исследовательские инструменты | |
Посмотреть
(1MB)
|
Метаданные ▾ | |
Рецензия
Для цитирования:
Al-Timimi N.M., Baraaj A.H. KI-67 as a predictive indicator of papillary thyroid cancer in Iraqi patients. Проблемы Эндокринологии. 2024;70(6):62-66. https://doi.org/10.14341/probl13410
For citation:
Al-Timimi N.M., Baraaj A.H. KI-67 as a predictive indicator of papillary thyroid cancer in Iraqi patients. Problems of Endocrinology. 2024;70(6):62-66. https://doi.org/10.14341/probl13410
JATS XML
Контент доступен под лицензией Creative Commons Attribution-NonCommercial-NoDerivatives 4.0 International License (CC BY-NC-ND 4.0).




































.jpg)

