АКТГ-эктопический синдром, вызванный кортико-медуллярной опухолью надпочечника
https://doi.org/10.14341/probl201662150-54
Аннотация
Описан клинический случай эндогенного гиперкортицизма, обусловленного эктопической продукцией АКТГ смешанноклеточной кортико-медуллярной опухолью левого надпочечника у пациентки 61 года. В литературе имеются единичные описания случаев АКТГ-продуцирующей феохромоцитомы, но отсутствуют публикации о кортико-медулярных опухолях надпочечника смешанного строения, секретирующих АКТГ. В связи с редкостью данной нозологии, считаем целесообразным поделиться собственным опытом, а также рассмотреть аспекты взаимодействия системы феохромоцитома — кора надпочечников — гипофиз, которые могли привести к морфологическим и клиническим изменениям, обнаруженным у данной пациентки.
Об авторах
Евгения Ивановна МароваРоссия
д.м.н., проф., гл.н.с. отд-ния нейроэндокринологии и остеопатий Института клинической эндокринологии
Николай Сергеевич Кузнецов
Россия
д.м.н., проф., зав. отд. хирургии Института клинической эндокринологии
Людмила Яковлевна Рожинская
Россия
д.м.н., проф., гл.н.с. отд-ния нейроэндокринологии и остеопатий
Олег Валерьевич Ремизов
Россия
д.м.н., зав. отд. лучевой диагностики
Нонна Вадимовна Латкина
Россия
к.м.н., ст.н.с. отд. хирургии
Ольга Владимировна Тихонова
Россия
аспирант
Любовь Ефимовна Кац
Россия
к.м.н., зав. отд-ния анестезиологии и реанимации отд. хирургии Института клинической эндокринологии
Ия Александровна Воронкова
Россия
к.м.н., н.с. отд. патоморфологии
Анастасия Михайловна Лапшина
Россия
к.м.н., н.с. отд. патоморфологии
Галина Сергеевна Колесникова
Россия
д.б.н., гл.н.с. лаб. гормонального анализа
Список литературы
1. Ситкин И.И., Белая Ж.Е., Рожинская Л.Я., и др. Двусторонний селективный забор крови из нижних каменистых синусов на фоне стимуляции десмопрессином в дифференциальной диагностике АКТГ-зависимого гиперкортицизма. // Диагностическая и интервенционная радиология. — 2013. — Т. 7. — №3 — С. 57-68. [Sitkin II, Belaya ZE, Rozhinskaya LJ. Simultaneous bilateral inferior petrosal sinus blood sampling after desmopressin stimulation in the differential diagnosis of ACTH-dependent Cushing’s syndrome. Diagnosticheskaia interventsionnaia radiologiia. 2013;7(3):57-68. (In Russ.)].
2. Воронкова И.А. Нейроэндокринные опухоли негипофизарной локализации, продуцирующие АКТГ: клинические, морфологические, иммуногистохимические характеристики. Автореферат. 2013: 3-24. [Voronkova IA. ACTG-producing neuroendocrine tumors with extrahypophyseal localization: clinical, morphological and immunohistochemistry characters. [PhD dissertation]. Moscow, 2013. (In Russ.)].
3. Oh HC, Koh J-M, Kim MS, et al. A Case of ACTH-Producing Pheochromocytoma Associated with Pregnancy. Endocr J. 2003;50(6):739-744. doi: 10.1507/endocrj.50.739.
4. Кузнецов Н.С., Латкина Н.В., Добрева Е.А. АКТГ–эктопированный синдром: клиника, диагностика, лечение. // Эндокринная хирургия. — 2012. — Т. 6. — №1 — С. 24-36. [Kuznetsov NS, Latkina NV, Dobreva EA. Еctopic ACTH syndrome: clinical picture, diagnosis, treatment. Endocrine Surgery. 2012;6(1):24-36. (In Russ)]. doi: 10.14341/2306-3513-2012-1-24-36.
5. Williams GA, Crockett CL, Butler WWS, Crispell KR. The Coexistence of Pheochromocytoma and Adrenocortical Hyperplasia. J Clin Endocr Metab. 1960;20(4):622-631. doi: 10.1210/jcem-20-4-622.
6. Кузнецов Н.С., Марова Е.И., Латкина Н.В., и др. АКТГ-продуцирующая феохромоцитома. Клинический случай. // Эндокринная хирургия. — 2012. — Т. 6. — №4 — С. 43–50. [Kuznetsov NS, Marova EI, Latkina NV, et al. ACTH-Secreting Pheochromocytoma. Case report. Endocrine Surgery. 2012;6(4):43-50. (In Russ.)]. doi: 10.14341/2306-3513-2012-4-43-50.
7. Forman B.H. ACTH-Secreting Pheochromocytoma. N Engl J Med. 1979;301(25):1399-1399. doi: 10.1056/nejm197912203012516.
8. Chen H, Doppman J, Chrousos G, et al. Adrenocorticotropic hormone-secreting pheochromocytomas: The exception to the rule1. Surgery. 1995;118(6):988-995. doi: 10.1016/s0039-6060(05)80104-7.
9. Giguere V, Cote J, Labrie F. Characteristics of the α-Adrenergic Stimulation of Adrenocorticotropin Secretion in Rat Anterior Pituitary Cells. Endocrinology. 1981;109(3):757-762. doi: 10.1210/endo-109-3-757.
10. Perkins SN, Evans WS, Thorner MO, et al. β-Adrenergic Binding and Secretory Responses of the Anterior Pituitary. Endocrinology.1985;117(5):1818-1825. doi: 10.1210/endo-117-5-1818.
11. Tse A, Tse FW. α-Adrenergic stimulation of cytosolic Ca2+oscil¬lations and exocytosis in identified rat corticotrophs. The Journal of Physiology. 1998;512(2):385-393. doi: 10.1111/j.1469-7793.1998.385be.x.
12. Axelrod J, Reisine T. Stress hormones: their interaction and regulation. Science. 1984;224(4648):452-459. doi: 10.1126/science.6143403.
13. Negro A, Manicardi E, Grasselli C, et al. Severe Ectopic Cushing’s Syndrome Due to ACTH-Secreting Pheochromocytoma. Int J Clin Med. 2013;04(04):228-231. doi: 10.4236/ijcm.2013.44040.
14. Goyal A, Panchani R, Varma T, et al. Adrenal incidentaloma: A case of pheochromocytoma with sub-clinical Cushing′s syndrome. Indian J Endocrinol Metab.2013;17(7):246. doi: 10.4103/2230-8210.119587.
15. Kimura T, Usui T, Inamoto S, et al. Pheochromocytoma with Subclinical Cushing’s Syndrome Caused by Corticomedullary Mixed Tumor of the Adrenal Gland. J Clin Endocr Metab. 2009;94(3):746-747. doi: 10.1210/jc.2008-2013.
16. Takizawa N, Muguruma K, Sasano H. Pheochromocytoma and subclinical Cushing’s syndrome with focal adrenocortical hyperplasia. Int J Urol. 2011;18(7):548-549. doi: 10.1111/j.1442-2042.2011.02759.x.
17. Wieneke JA, Thompson LDR, Heffess CS. Corticomedullary mixed tumor of the adrenal gland. Ann Diagn Pathol. 2001;5(5):304-308. doi: 10.1053/adpa.2001.28297.
Дополнительные файлы
|
|
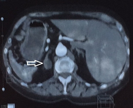
1. МСКТ брюшной полости и забрюшинного пространства | |
| Тема | ||
| Тип | Исследовательские инструменты | |
Посмотреть
(61KB)
|
Метаданные ▾ | |
|
|
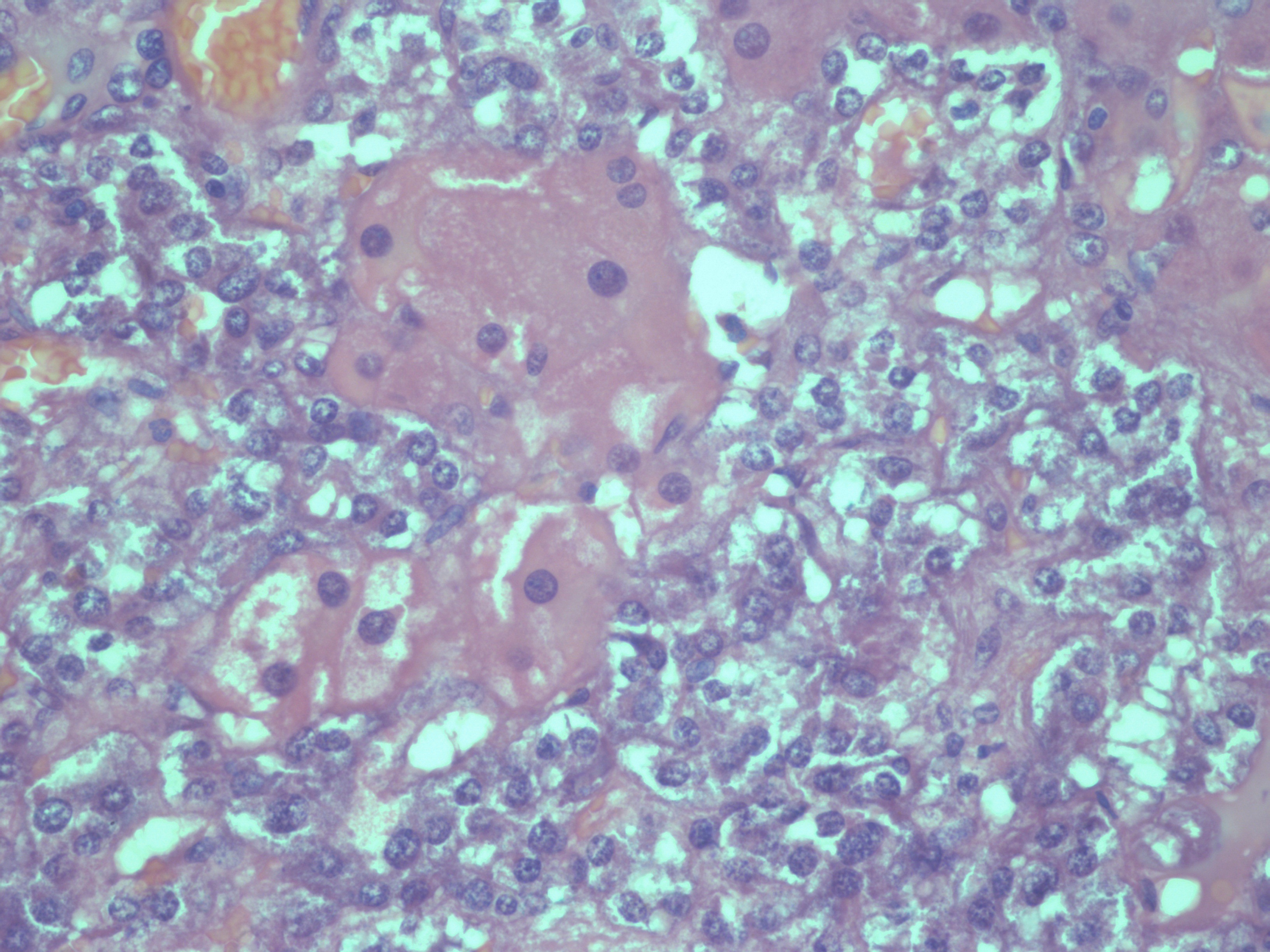
2. Смешанно-клеточное строение | |
| Тема | ||
| Тип | Исследовательские инструменты | |
Посмотреть
(1MB)
|
Метаданные ▾ | |
|
|
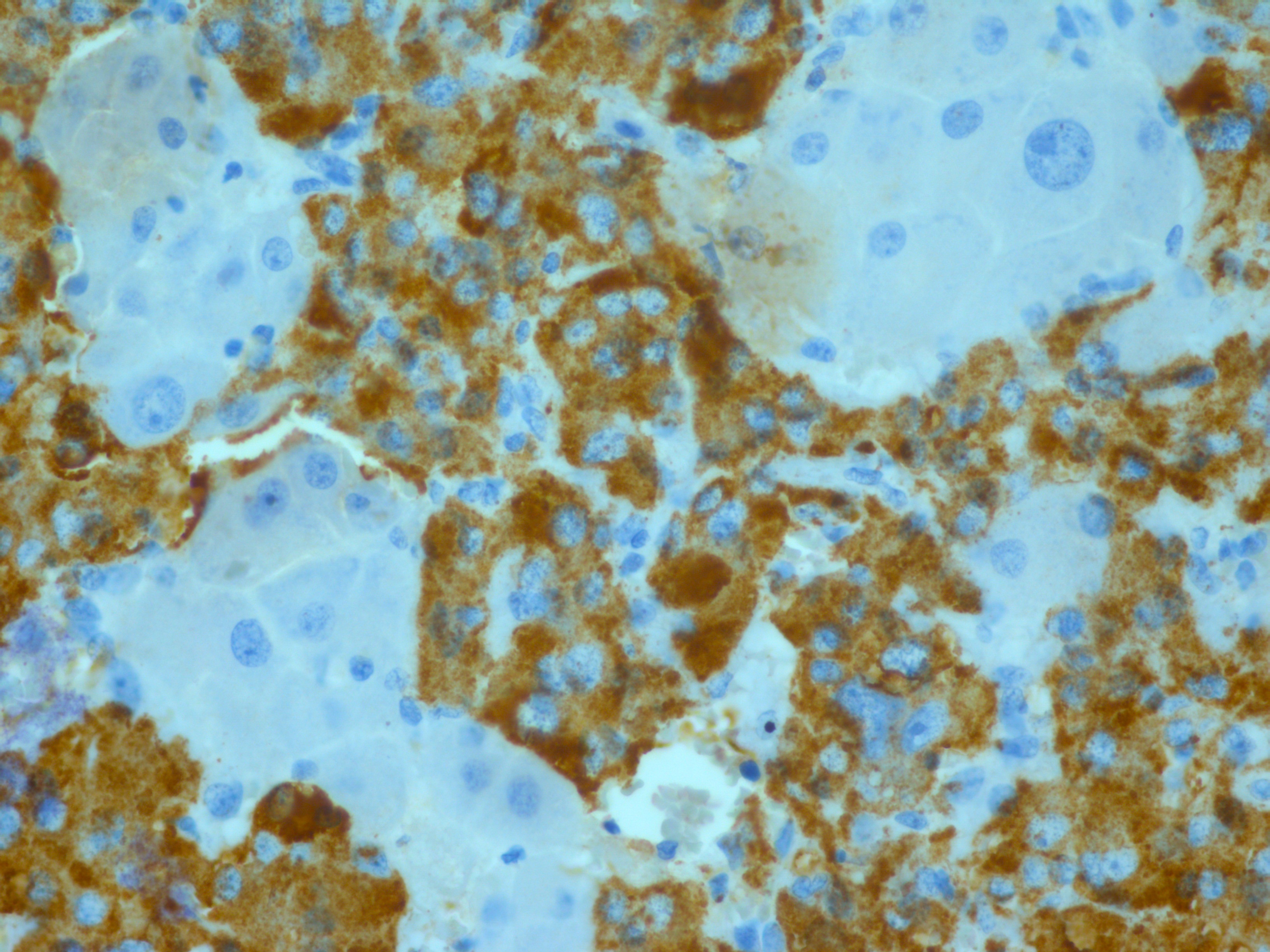
3. ИГХ смешанно-клеточной опухоли (антитела к АКТГ) | |
| Тема | ||
| Тип | Исследовательские инструменты | |
Посмотреть
(1MB)
|
Метаданные ▾ | |
Рецензия
Для цитирования:
Марова Е.И., Кузнецов Н.С., Рожинская Л.Я., Ремизов О.В., Латкина Н.В., Тихонова О.В., Кац Л.Е., Воронкова И.А., Лапшина А.М., Колесникова Г.С. АКТГ-эктопический синдром, вызванный кортико-медуллярной опухолью надпочечника. Проблемы Эндокринологии. 2016;62(1):50-54. https://doi.org/10.14341/probl201662150-54
For citation:
Marova E.I., Kuznetsov N.S., Rozhinskaya L.Ya., Remizov O.V., Latkina N.V., Tikhonova O.V., Kats L.E., Voronkova I.A., Lapshina A.M., Kolesnikova G.S. ACTH ectopic syndrome caused by corticomedullary mixed tumor. Problems of Endocrinology. 2016;62(1):50-54. https://doi.org/10.14341/probl201662150-54
Контент доступен под лицензией Creative Commons Attribution-NonCommercial-NoDerivatives 4.0 International License (CC BY-NC-ND 4.0).



































.jpg)

