Перейти к:
Клинический полиморфизм псевдогипопаратиреоза у детей
https://doi.org/10.14341/probl2017633148-161
Аннотация
Обоснование. Псевдогипопаратиреоз (ПГП) — группа редких заболеваний, связанная с резистентностью к паратгормону (ПТГ). ПГП характеризуется генетической гетерогенностью и клиническим полиморфизмом. Помимо синдрома гипокальциемии на фоне резистентности к ПТГ, для ПГП характерны особенности фенотипа и резистентность к другим гормонам (ТТГ, ЛГ, ФСГ, ГР-РГ), объединенные в понятие наследственной остеодистрофии Олбрайта (НОО). В российской литературе до настоящего времени анализа больших когорт пациентов с ПГП не проводилось.
Цель — анализ большой когорты пациентов с ПГП с целью оценки клинических особенностей течения ПГП.
Материал и методы. Проанализирована группа из 32 пациентов с различными вариантами течения ПГП, обследованных в ФГБУ «Эндокринологический научный центр» в период с 2014 по 2016 г.
Результаты. У 16 (50%) детей, помимо гормональной резистентности, были выявлены признаки фенотипа остеодистрофии Олбрайта (1 пациент с одним признаком НОО (брахидактилия) и 15 с двумя и более признаками НОО). Помимо резистентности к ПТГ, у 22 (68,75%) пациентов отмечалась резистентность к ТТГ, у одной пациентки резистентность к ПТГ сочеталась с резистентностью к ТТГ и ЛГ/ФСГ. У 4 пациентов гипотиреоз предшествовал развитию резистентности к ПТГ. У 8 детей поводом для обращения к врачу было ожирение, из них у 5 при первичном обследовании была выявлена гипокальциемия; у 3 изначально отмечался повышенный уровень ПТГ при нормальном содержании кальция, у 2 позднее развилась гипокальциемия. Наиболее частым вариантом манифестации были проявления гипокальциемии (судорожный синдром, синкопальные состояния), отмечавшиеся у 23 (72%) детей. У 13 пациентов был изначально ошибочно установлен диагноз «эпилепсии», по поводу которого дети наблюдались неврологом от 2 мес до 7 лет, прежде чем была выявлена гипокальциемия.
Заключение. ПГП — редкое наследственное заболевание, связанное с резистентностью к ПТГ, которое помимо ПГП характеризуется разнообразием других клинических проявлений. Ожирение и гипотиреоз могут быть первыми проявлениями заболевания, предшествуя развитию гипокальциемии. Измерение концентрации кальция в крови важно проводить всем детям с судорожным синдромом с целью своевременной диагностики гипокальциемии и избежания диагностических ошибок.
Ключевые слова
Для цитирования:
Маказан Н.В., Орлова Е.М., Тозлиян Е.В., Меликян М.А., Карева М.А., Калинченко Н.Ю., Петеркова В.А. Клинический полиморфизм псевдогипопаратиреоза у детей. Проблемы Эндокринологии. 2017;63(3):148-161. https://doi.org/10.14341/probl2017633148-161
For citation:
Makazan N.V., Orlova E.M., Tozliyan E.V., Melikyan M.A., Kareva M.A., Kalinchenko N.Yu., Peterkova V.A. Variable phenotype of pseudohypoparathyroidism in children. Problems of Endocrinology. 2017;63(3):148-161. https://doi.org/10.14341/probl2017633148-161
Псевдогипопаратиреоз (ПГП) — редкое гетерогенное заболевание, характеризующееся мультигормональной резистентностью и особенностями фенотипа, объединенными в понятие наследственная остеодистрофия Олбрайта.
ПГП — первое заболевание, на примере которого было описано явление гормональной резистентности [1]. В основе заболевания лежит резистентность периферических тканей к действию гормонов (в первую очередь к паратгормону — ПТГ), обусловленная нарушениями пострецепторных механизмов передачи сигнала.
G-белок, ассоциированный со стимулирующей альфа-субъединицей (Gas), участвует в передаче сигнала от множества гормонов — ПТГ, ТТГ, ЛГ, ФСГ, соматолиберина и др. Gas — первый посредник при передаче сигнала от поверхностных рецепторов гормонов к ядру клетки. Соединение лиганда с рецептором ведет к активации Gas, что обеспечивает образование цАМФ и изменение экспрессии гормончувствительных генов [2]. Gas кодируется комплексным геном GNAS. Инактивирующие мутации в этом гене ведут к потере активности Gas и развитию заболевания.
Клиническая картина заболевания варьирует в зависимости от механизмов наследования инактивирующей мутации. Если мутация унаследована от матери или возникла de novo на материнском аллеле, то развивается ПГП Iа, включающий мультигормональную резистентность (нечувствительность к ПТГ, ТТГ, соматолиберину, ЛГ, ФСГ) и фенотипические особенности наследственной остеодистрофии Олбрайта (НОО), включающие ожирение, брахидактилию, укорочение пальцев за счет IV, V пястных и плюсневых костей, округлое лицо, короткую шею, подкожные кальцификаты, низкорослость, умственную отсталость [3].
Помимо ПГП Ia, описан клинически идентичный ему другой тип псевдогипопаратиреоза — ПГП Iс (PHP1C; OMIM #612462). При ПГП Ia Gas вообще не способна активировать цАМФ, а при ПГП Iс Gαs может активировать цАМФ рецепторнезависимым путем, но не способна реагировать на активацию рецептора [4].
Инактивирующие мутации на отцовском аллеле ведут к развитию НОО без признаков гормональной резистентности — псевдопсевдогипопаратиреоз (ППГП) (PPHP; OMIM #612463) либо к формированию прогрессивной костной гетероплазии, характеризующейся формированием глубоких распространенных кальцификатов дермы, мышц и фасций (POH, OMIM #166350).
Ген GNAS находится под воздействием эпигенетических факторов, регулирующих его экспрессию. Поэтому нарушение образования Gas может случиться не только при мутациях в самом гене, но и при нарушении работы этих факторов. В таких случаях молекулярно-генетическое исследование не выявляет мутаций в гене GNAS, а клинически имеется резистентность к ПТГ и ТТГ без каких-либо фенотипических особенностей. Эту форму заболевания называют ПГП Ib.
Помимо ПГП I типа с его тремя разновидностями выделяют также ПГП II типа (OMIM #203330), когда резистентность к гормонам обусловлена не инактивацией Gas, а нарушением других звеньев механизма пострецепторной передачи сигнала. При этой форме нет мутаций в гене GNAS, заподозрить заболевание можно по результатам теста Элсворта—Говарда.
Таким образом, классификация ПГП основана на нескольких критериях: наличие НОО отличает ПГП Ia/Ic от ПГП Ib; наличие гормональной резистентности отличает ПГП от ППГП; результаты исследования активности Gas в эритроцитах in vitro отличают ПГП Ia от ПГП Ic и, наконец, тест Элсворта—Говарда отличает ПГП 1-го типа от ПГП 2-го (табл. 1).
Таблица 1. Критерии текущей классификации ПГП
|
Наличие или отсутствие HOO |
ПГП Ia/Ic (есть фенотипические признаки HOO) ПГП Ib (нет появлений HOO) |
|
Наличие или отстствие гормональной резистентности |
ПГП (есть резистентность к ПТГ и другим гормонам) ППГР (есть только проявления HOO без лабораторных признаков гормональной резистетности) |
|
Активность Gas in vitro (исследование эритроцитов крови) |
ПГП Ia (сниженная активность, нет повышения цАМФ) ПГП Ic (активность Gas не нарушена) |
|
In vivo ответ на введение экзогенного ПТГ |
ПГПI (нет ожидаемого повышения экскреции фосфора и цАМФ) ППГ II (нет повышения фосфатурии, но есть адекватное повышение экскреции цАМФ) |
Примечание. Данная классификация основана на клинико-лабораторных данных и не учитывает другие заболевания, связанные с резистентностью к ПТГ (акродизостоз, прогрессирующая костная гетероплазия, ПТГ-рецепторсвязанные заболевания), возможность гено-фенотипической корреляции различных типов ПГП.
Данная классификация не учитывает некоторых молекулярно-генетических особенностей ПГП, обнаруженных в последние 10 лет. Строгой генотип-фенотипической корреляции ПГП не существует: ПГП Iа может быть обусловлен как инактивирующими мутациями в гене GNAS, так и эпигенетическими дефектами. Кроме того, описан случай ППГП (мальчик с фенотипическими признаками НОО без гормональной резистентности), когда мутация была унаследована не от отца, как можно было ожидать, а от матери [5]. Приведенная классификация не учитывает и наличия клинически сходных состояний (таких, как акродизостоз, обусловленный инактивацией протеинкиназы А, прогрессивную остеоидную гетероплазию, обусловленную также мутациями в гене GNAS). Для постановки диагноза требуется проведение специфических тестов. Европейской рабочей группой по исследованию ПГП разрабатывается новая классификация, включающая все заболевания, обусловленные нарушением сигнального пути ПТГ [6]. Разнообразие клинических форм и одновременно редкая встречаемость ПГП определяют трудности его диагностики и лечения. Описание и анализ клинических случаев могут быть полезны как для практики врачей-эндокринологов, так и для фундаментальной науки, поскольку таким образом накапливается мировой опыт в изучении этого редкого наследственного заболевания.
Цель — исследование проведено с целью оценки вариантов манифестации и течения ПГП, эффективности диагностики и лечения компонентов болезни, выявления распространенности осложнений этого редкого мультикомпонентного заболевания.
Материал и методы
Проведено одномоментное описательное исследование, включающее анализ вариантов манифестации, спектра клинических проявлений, подходов к терапии, осложнений у пациентов с ПГП. Первый этап включал сбор данных анамнеза болезни и семейного анамнеза, обследование пациентов с целью выявления фенотипических признаков НОО и мультигормональной резистентности, скрининг осложнений. Второй этап заключался в анализе полученных данных. На этом этапе проанализированы показатели физического развития при рождении у пациентов с ПГП Ia и ПГП Ib, проведена оценка фенотипических особенностей различных типов ПГП, определены варианты манифестации заболеваний, оценена частота встречаемости отдельных компонентов, разработаны алгоритмы обследования и лечения.
Критериями включения пациентов в исследование считались нижеприведенные сочетания клинико-лабораторных нарушений.
- Концентрация ПТГ в крови выше референсных значений в сочетании с гипокальциемией и гиперфосфатемией (ионизированный кальций сыворотки <1,03 ммоль/л, фосфор сыворотки >1,78 ммоль/л при ПТГ сыворотки >65 пг/мл).
- Концентрация ПТГ в крови выше референсных значений (ПТГ сыворотки >65 пг/мл) при нормальном содержании кальция (ионизированный кальций 1,03—1,29 ммоль/л) и фосфора (1,45—1,78 ммоль/л) в сыворотке в сочетании с фенотипом НОО и/или мультигормональной резистентностью. Признаками фенотипа НОО являлось выявление одного большого критерия НОО либо сочетание одного большого критерия с малым, либо два малых критерия. Большие критерии НОО: брахидактилия типа Е, подкожные кальцификаты. Малые критерии НОО: ожирение (SDS индекс массы тела — ИМТ ≥2), округлое лицо, низкорослость (SDS роста: ≤2), умственная отсталость. Мультигормональная резистентность устанавливалась при наличии лабораторных признаков нечувствительности к другим гормонам, помимо ПТГ, действующим через Gas, — к ТТГ, ГР-РГ, ЛГ/ФСГ.
Критериями исключения являлись: хроническая почечная недостаточность и недостаточность витамина D, при которой лабораторные признаки ПГП купировались приемом препаратов холе- или эргокальциферола. Недостаточность витамина D определялась при концентрации 25-ОН-витамина D в сыворотке <20 нг/мл, а дефицит — при <12 нг/мл.
Исследование выполнено на базе Института детской эндокринологии ФГБУ «Эндокринологический научный центр». Исследование проведено в период с 2014 до 2016 г.
Для подтверждения диагноза, скрининга компонентов заболевания и выявления возможных осложнений использовались следующие методы: осмотр, оценка масса-ростовых показателей при рождении и в динамике с расчетом стандартного отклонения при помощи приложения Auxology, венепункция с забором образцов периферической крови для исследования гормональных и биохимических показателей сыворотки, рентгенограмма кистей рук, МСКТ головы и участков тела с кальцификатами без контрастного усиления, УЗИ щитовидной железы, оценка остроты зрения, прозрачности оптических сред глаза, состояния глазного дна.
Оценивались антропометрические данные детей при рождении, в процессе роста и на момент обследования, наличие признаков НОО (брахидактилия типа Е, подкожные кальцификаты, ожирение (SDS имт: ≥2), округлое лицо, низкорослость (SDS роста: ≤2), умственная отсталость, варианты мультигормональной резистентности, спектр и частота встречаемости осложнений.
Пациенты были разделены на группы ПГП Ia и ПГП Ib на основании наличия или отсутствия проявлений НОО с целью сравнения антропометрических показателей при рождении.
Обследование включало опрос с уточнением анамнеза заболевания (каковы были первые проявления заболевания, что заставило впервые обратиться к врачу, отмечались и с какого возраста эпизоды тонических судорог, жалобы на боль в мышцах, нарушение сознания, ларингоспазмы в отсутствие интеркуррентных заболеваний); анамнеза жизни (данные роста и массы тела при рождении, особенности психомоторного развития, социальная адаптация, успеваемость в школе) и семейного анамнеза (наличие в семье родственников с брахидактилией, низкорослостью, эпизодами тонических судорог, эпилепсией, резистентной к терапии антиконвульсантами). Рост и масса тела на момент обследования измерялись с помощью электронных ростомера и весов соответственно. Расчет стандартного отклонения от нормы роста и массы тела проводился при помощи приложения Auxology. Ожирение диагностировалось при SDS ИМТ более 2, низкорослость при SDS роста менее 2. Умственная отсталость устанавливалась по результатам консультации психолога или психиатра. Подкожные кальцификаты определялись при пальпации, при сомнениях в генезе подкожных образований проводилась рентгенография и/или МСКТ частей тела с пальпируемыми образованиями. Признаками брахидактилии являлись укороченные пястные кости запястья, плюсневые кости стопы, выявляемые при осмотре и подтверждаемые при рентгенографии кистей рук и стоп. Методы лучевой диагностики (рентгенография, мультиспиральная компьютерная томография) осуществлялись на базе отделения лучевой диагностики ФГБУ «Эндокринологический научный центр». Лабораторные исследования сыворотки проводились на базе лаборатории биохимического анализа ФГБУ «Эндокринологический научный центр». Гормональные и биохимические показатели сыворотки анализировались в соответствии с нормативными значениями, определенными для каждого возраста. Резистентность к ПТГ устанавливалась на основании сочетания повышенной концентрации ПТГ с гипокальциемией и гиперфосфатемией (концентрация ионизированного кальция в сыворотке <1,03 ммоль/л, фосфора >1,78 ммоль/л, ПТГ >65 пг/мл) при исключенной хронической почечной недостаточности и дефицита витамина D (см. критерии исключения). Резистентность к ТТГ: повышенное содержание ТТГ, нормальный титр антител к ТПО и ТГ, отсутствие эхопризнаков изменений щитовидной железы, наблюдаемых при аутоиммунном тиреоидите. Резистентность к ЛГ/ФСГ: отсутствие вторичных половых признаков у девочек после 13 лет, у мальчиков после 14 лет, повышенный уровень ЛГ и ФСГ при низком содержании эстрадиола в крови у девочек после 13 лет и тестостерона у мальчиков после 14 лет. Резистентность к ГР-РГ: низкорослость (SDS роста ≤2) при SDS концентрации ИФР-1 ≤2 и содержание СТГ <10 нг/мл на фоне тестов с клофелином и инсулином. Синдром Фара выявлялся при МСКТ головы при выявлении кальцификатов ткани головного мозга. Оценка прозрачности оптических сред офтальмологом выявляла наличие/отсутствие катаракты.
Таблица 2. Фенотипы пациентов с ПГП
|
Компоненты заболевания |
N |
|
Резистентность к ПТГ |
8 |
|
Резистентность к ПТГ + брахидактилия |
1 |
|
Резистентность к ПТГ + ожирение + круглое лицо |
2 |
|
Резистентность к ПТГ и к ТТГ |
5 |
|
Резистентность к ПТГ и к ТТГ + подкожные кальцинаты + ожирение + округлое лицо |
1 |
|
Резистентность к ПТГ и к ТТГ + брахидактилия + умственная отсталость |
2 |
|
Резистентность к ПТГ и к ТТГ + брахидактилия + умственная отсталость + подкожные кальцинаты |
1 |
|
Резистентность к ПТГ и к ТТГ + брахидактилия + ожирение + круглое лицо |
1 |
|
Резистентность к ПТГ + к ТТГ + брахидактилия + ожирение + круглое лицо + умственная отсталость + резистентность к ЛГ/ФСГ |
1 |
|
Резистентность к ПТГ и к ТТГ + брахидактилия + низкорослость |
1 |
|
Резистентность к ПТГ и к ТТГ + брахидактилия + подкожные кальцинаты |
2 |
|
Резистентность к ПТГ и к ТТГ + брахидактилия + подкожные кальцинаты + ожирение |
1 |
|
Резистентность к ПТГ и к ТТГ + брахидактилия + подкожные кальцинаты + ожирение + круглое лицо |
1 |
|
Резистентность к ПТГ и к ТТГ + брахидактилия + подкожные кальцинаты + умственная отсталость + ожирение + круглое лицо |
1 |
|
Резистентность к ПТГ и к ТТГ + брахидактилия + подкожные кальцинаты + низкорослость |
1 |
|
Резистентность к ПТГ и к ТТГ + брахидактилия + подкожные кальцинаты + низкорослость + умственная отсталость |
3 |
Проведение исследования одобрено локальным этическим комитетом ФГБУ «Эндокринологический научный центр» (протокол ЛЭК №12 от 22.10.14).
Размер выборки предварительно не рассчитывался. Статистическая обработка полученных данных проводилась с использованием пакета статистических программ Statistica 10. Для обобщения и сравнения данных, полученных в рамках выборочного исследования, использовались методы описательной и непараметрической статистики. Показатели с нормальным распределением указывались с использованием среднего значения ± SD. При отсутствии нормального распределения результаты представлялись в виде меры центральной тенденции Me (Q25; Q75). Различия между независимыми группами по количественным признакам оценивались с помощью U-критерия Манна—Уитни, статистически достоверными считали различия при значении коэффициента статистической значимости p<0,05.
Результаты
В Институте детской эндокринологии ФГБУ «Эндокринологический научный центр» за период 2014—2016 гг. наблюдались 32 пациента с ПГП из 31 семьи (19 мальчиков и 13 девочек). Медиана возраста на момент первичного обследования составляла 12 лет (9,25—13,75 года). Основным критерием для постановки диагноза были лабораторные признаки ПГП (ионизированный кальций сыворотки <1,03 ммоль/л, фосфор >1,78 ммоль/л, ПТГ >65 пг/мл). На рис. 1—3 отражены результаты исследования показателей кальций-фосфорного обмена на момент диагностики заболевания.
Рис. 1. Концентрация ПТГ (пг/мл) на момент первичного обследования.
Рис. 2. Концентрация ионизированного кальция (ммоль/л) у пациентов на момент первичного обследования.
Рис. 3. Концентрация фосфора в сыворотке крови (ммоль/л) на момент диагностики гипокальциемии.
Варианты манифестации
Среди наших пациентов у 23 детей заболевание манифестировало клиническими проявлениями гипокальциемии, наиболее частыми среди которых были тонические судороги кистей, стоп, икроножных мышц. У 3 пациентов возникали эпизоды ларингоспазма. В 9 случаях отмечались генерализованные судороги, сходные с эпиприступом. У одного пациента клиническим проявлением гипокальциемии являлись эпизоды потери сознания на фоне физической нагрузки, при этом имели место выраженная гипокальциемия (ионизированный кальций 0,56 ммоль/л) и удлинение QT на ЭКГ. Медиана возраста дебюта гипокальцемических судорог составила 11 лет (5,25; 13,67 года); медиана возраста постановки диагноза — 11,8 года (8,87; 13,9 года) (рис. 4).
Рис. 4. Возраст дебюта судорожного синдрома и возраст диагностики гипокальциемии.
Большинству детей (n=13) с судорожным синдромом первоначально был установлен диагноз эпилепсия и назначена противосудорожная терапия. Продолжительность противосудорожной терапии в этой группе составляла от 2 мес до 7 лет. Отмена терапии антиконвульсантами проводилась после нормализации концентрации кальция в крови под контролем ЭЭГ.
У 8 пациентов поводом для обращения к врачу явилось раннее прогрессирующее ожирение, один пациент был обследован в связи с заболеванием у сестры.
Фенотип наследственной остеодистрофии Олбрайта
Наиболее распространенным признаком НОО оказалась брахидактилия (16 (50%) пациентов), встречавшаяся как в сочетании только с резистентностью к ПТГ, так и в комбинации с другими компонентами НОО. Вторым по частоте встречаемости признаком НОО среди наших пациентов были подкожные кальцинаты (10 (31,25%) пациентов). У 10 пациентов подкожные кальцинаты сочетались с брахидактилией и резистентностью к ТТГ и, за исключением одного пациента, отмечались другие проявления НОО. Ожирение отмечено у 8 (25%) пациентов. Среди пациентов с ожирением обращало на себя внимание наличие округлой формы лица у 7 пациентов, при этом двое не имели других характерных признаков НОО. Умственная отсталость различной степени наблюдалась у 8 (25%) пациентов. SDS роста пациентов варьировал от +1,9 до 3,35. Низкорослость (SDS роста менее –2) отмечалась у 5 (16%) пациентов.
На рис. 5 отражена распространенность признаков НОО, в табл. 1 указаны фенотипические варианты пациентов.
Рис. 5. Частота фенотипических признаков наследственной остеодистрофии Олбрайта и мультигормональной резистентности у пациентов с ПГП.
Гормональная резистентность
Помимо резистентности к ПТГ, наиболее часто встречалась резистентность к ТТГ (22 (69%) пациента), в одном случае (с наиболее выраженным фенотипом НОО) была выявлена резистентность к ЛГ/ФСГ.
Рост и масса тела при рождении
При оценке масса-ростовых показателей при рождении отмечены значимые различия в показателях SDS ИМТ среди пациентов с клинической картиной ПГП Ib и ПГП Ia (p=0,03) и статистически незначимые различия в показателях SDS роста. Медиана SDS массы у пациентов с ПГП Ib составила +1,2 (0,8; 1,9), медиана SDS ИМТ у пациентов с наличием признаков НОО +0,2 (–1,9; 0,4). Медиана SDS роста при рождении у пациентов с ПГП Ib составила +2,9 (1,24; 4), у пациентов с ПГП Ia +0,1 (–1,9; 0,4) (рис. 6 и 7). Следует учесть, что данные роста и массы тела при рождении были доступны не у всех пациентов: среди пациентов с клинической картиной ПГП Ib данные были доступны у 7 пациентов, из детей с ПГП Ia данные о росте и массе тела при рождении получены у 11 пациентов.
Рис. 6. Сравнение показателей SDS веса при рождении пациентов с ПГП Ib (0) и ПГП Ia т (1).
У пациентов с ПГП Ib показатели веса при рождении выше, чем у пациентов с ПГП Ia (p=0,03).
Рис. 7. Сравнение показателей SDS роста при рождении пациентов с ПГП Ib (0) и ПГП Ia (1).
Осложнения гипокальциемии и гиперфосфатемии
Неспецифическими осложнениями нарушенного кальций-фосфорного обмена являются образование кальцинатов в ткани головного мозга, в хрусталике, гипоплазия эмали. При проведении МСКТ головного мозга был выявлен синдром Фара (кальцинаты базальных ганглиев) у 20 пациентов, из них у 5 отмечались также начальные проявления катаракты, у 3 пациентов — признаки гипоплазии эмали. У 8 пациентов осложнения имелись уже на момент постановки диагноза. Медиана концентрации ионизированного кальция в крови у данных пациентов составила 0,6 (0,56; 0,66) ммоль/л. Медиана концентрации ионизированного кальция в крови у 5 пациентов с осложнениями на фоне длительной некупированной гипокальциемии (более 1 года) составила 0,77 (0,67; 0,8) ммоль/л (у 7 пациентов первичное обследование и диагностика были проведены по месту жительства, содержание ионизированного кальция на момент постановки диагноза неизвестно). Всего медиана срока, прошедшего с момента манифестации судорожного синдрома до диагностики гипокальциемии, среди пациентов с осложнениями составила 0,5 (0; 3,25) года (рис. 8 и 9).
Рис. 8. Характеристика осложнений гипокальциемии у пациентов с ПГП с указанием длительности некорригируемой гипокальциемии.
Описание клинических случаев ПГП
Классический семейный случай ПГП типа 1а (пациенты №1—5)
Пациент №1
Девочка 7 лет, от неродственного брака. С 3 мес жизни интенсивный набор массы тела. В возрасте 1 года родители обратили внимание на наличие подкожных кальцинатов. В 3 года появились периодические жалобы на боль в ногах, а в 3,5 года впервые возник эпизод тонических судорог в мышцах нижних конечностей. В 4,5 года при обследовании в связи с синкопальным состоянием было выявлено снижение концентрации кальция в крови, установлен гипопаратиреоз и назначена терапия препаратами альфакальцидола и кальция. Также были выявлены гормональные признаки первичного гипотиреоза и назначена терапия препаратами левотироксина.
При осмотре в 7 лет выявлено выраженное ожирение (масса тела 38,5 кг, SDS имт: +3,33), брахидактилия, диффузные подкожные кальцинаты и задержка психического развития. На фоне приема альфакальцидола (0,25 мкг/сут), кальция (1000 мг/сут), L-тироксина (75 мкг/сут) сохранялась гипокальциемия (0,77 ммоль/л), гиперфосфатемия (2,79 ммоль/л), повышенное содержание паратгормона (190 пг/мл), субклинический гипотиреоз (ТТГ 10,2 мЕд/л, Т4св 14 пмоль/л). Обследование, направленное на выявление осложнений хронической гипокальциемии, выявило синдром Фара. На основании вышеназванных характерных клинико-лабораторных признаков был установлен диагноз ПГП Iа.
Пациент №2
Брат девочки, с рождения наблюдается у невролога по поводу детского церебрального паралича (ДЦП), судорог у пациента никогда не отмечалось. Исследование кальций-фосфорного обмена было проведено в возрасте 1,9 года в связи с гипокальциемией у сестры и также выявило гипокальцемию, гиперфосфатемию и первичный гипотиреоз.
При осмотре в возрасте 4 лет обнаружены диффузные подкожные кальцинаты и брахидактилия, как и у сестры, однако в отличие от нее мальчик не имел избыточной массы тела (SDS имт: 0,55) и существенно отставал в росте (SDS роста: –2,94), наблюдался выраженный спазм мышц нижних конечностей в результате ДЦП. На фоне приема альфакальцидола (0,25 мкг), кальция (500 мг), левотироксина (50 мкг) наблюдалась нормокальциемия (ионизированный кальций 1,06 ммоль/л), сохранялась гиперфосфатемия (2,26 ммоль/л), повышенная концентрация ПТГ (348 пг/мл), субклинический гипотиреоз (ТТГ 6,8 мМЕ/л).
Пациентам №1 и 2, а также их матери проведено молекулярно-генетическое исследование гена GNAS и у всех 3 обнаружена гетерозиготная мутация с.156delG p.A193fsX203 в этом гене. Учитывая отсутствие у матери нарушений кальций-фосфорного обмена, логично предположить отцовский характер наследования ею мутации, что приводит к развитию псевдопсевдогипопаратиреоза (ППГП), однако ожидаемых в этом случае фенотипических признаков НОО у матери пациентов не было.
Пациент №3
Мальчик 13,5 года, впервые был обследован в связи с эпизодами потери сознания на фоне физической нагрузки. При обследовании выявлен синдром удлиненного QT, его причиной была гипокальциемия 0,5 ммоль/л. Дальнейшее исследование фосфорно-кальциевого обмена выявило повышенную концентрацию ПТГ (797 пг/мл), высокое содержание фосфора, нормальную концентрацию витамина D в крови. Имелось осложнение, косвенно указывавшее на длительный характер гипокальциемии — синдром Фара. Учитывая отсутствие каких-либо фенотипических особенностей и отягощенной наследственности, пациенту был установлен диагноз ПГП Ib типа.
Этот клинически случай служит хорошей иллюстрацией того, насколько вариабельными могут быть проявления гипокальциемии: при кальции крови 0,5 ммоль/л у мальчика никогда не было судорожного синдрома, а единственным клиническим признаком, позволившим установить диагноз, был синдром удлиненного QT.
Пациент №4
Мальчик наблюдается в Институте детской эндокринологии ЭНЦ с 13,5 года. Ребенок от неродственного брака, при анализе родословной данной семьи особенностей не выявлено, но обращал на себя внимание низкий рост матери (148 см) и ранняя менопауза у нее (35 лет). С младенчества у ребенка отмечалась задержка психоречевого развития. Впервые клинические признаки гипокальциемии стали проявляться с 8 лет болью в икроножных мышцах, с 12 лет появились эпизоды тонических судорог мышц конечностей, в связи с чем проводилось обследование и выявлена гипокальциемия (кальций общий 1,42 ммоль/л) и гиперфосфатемия (2,92 ммоль/л), а также первичный субклинический гипотиреоз.
В Институте детской эндокринологии в возрасте 13,5 лет выявлены характерные для фенотипа Олбрайта признаки — задержка роста (SDS роста: –2,1), брахидактилия, умственная отсталость. Обращало на себя внимание наличие необычного кальцината: по ходу портняжной мышцы правого бедра плотное образование длиной 7 см шириной 4 см (рис. 9) — несколько нетипично для кальцинатов при НОО глубокое расположение (по ходу мышечной фасции). Ожирения и гипогонадизма у ребенка не было. Наряду с гипокальциемией (кальций ион. 0,85 ммоль/л) и гиперфосфатемией (2,68 ммоль/л) определялась резко повышенная концентрация ПТГ (466 пг/мл), субклинический гипотиреоз (ТТГ 4,46 мМЕ/л, Т4св 14,8 пмоль/л). Рентгенография кистей и стоп подтвердила наличие брахидактилии: укорочение диафизов пястных костей IV, V пальцев кистей, плюсневых костей IV, V пальцев стоп. Кроме того, отмечалось обызвествление стенок сосудов мягких тканей. С целью диагностики осложнений гипокальциемии было проведено КТ головного мозга, выявлен синдром Фара. Назначена терапия препаратами альфакальцидола (6 мкг/сут), кальция (2000 мг/сут), L-тироксином (50 мкг/сут), на фоне которой отмечалась нормализация концентрации кальция в крови и ТТГ. Молекулярно-генетическое исследование выявило мутацию в гене GNAS c.565_568delGACT p.M189fsX202. Наличие признаков НОО и выявленная мутация позволяют диагностировать ПГП Ia.
Рис. 9. Кальцинаты по ходу фасций мышц бедра.
Пациент №5
Девочка наблюдается в Институте детской эндокринологии с 16 лет. C 5 лет периодически возникали судороги конечностей, дважды на фоне фебрильной лихорадки, в остальных случаях связи с интеркуррентными заболеваниями не наблюдалось.
При осмотре в 16 лет в Институте детской эндокринологии фенотипических особенностей не выявлено, костных деформаций не отмечалось. Обнаружена высокая концентрация ПТГ (266 пмоль/л), гипокальциемия (кальций ион. 0,9 ммоль/л, фосфор 1,72 ммоль/л) и гипокалиемия (3,2 ммоль/л) при нормальном содержании натрия (140 ммоль/л при норме 136—145 ммоль/л), ренина (32,6 мМЕ/мл при норме 2,8—39,9 ммоль/л). При анализе данных амбулаторной карты было установлено, что гипокальциемия и гипокалиемия наблюдались у девочки в течение многих лет. Тем не менее каких-либо осложнений длительной хронической гипокальциемии обнаружено не было. Синдром гиперкальций урической гипокальциемии может сопровождаться повышением уровня паратгормона и в редких случаях сочетаться с гипокалиемией, но у нашей пациентки не отмечалось гиперкальцийурии или других проявлений патологии почек. Сочетание высокой концентрации паратгормона с низким содержанием кальция и высоким содержанием фосфора в крови при отсутствии проявлений НОО позволили диагностировать ПГП Ib.
На фоне назначения альфакальцидола и препаратов калия показатели фосфорно-кальциевого обмена и концентрация калия нормализовались. Причина персистирующей гипокалиемии остается неясной.
Обсуждение
Все типы ПГП объединяет наличие нарушений фосфорно-кальциевого обмена — снижение концентрации кальция и повышение содержания фосфора при высокой концентрации паратгормона.
Гипокальциемия обусловливает повышение нервно-мышечной возбудимости, проявляющейся судорогами, парестезиями, тетанией. Поздняя диагностика ПГП, отсроченная по сравнению с манифестацией первых клинических проявлений в нашей группе, обусловлена тем, что при судорожном синдроме уровень кальция в крови измеряют не всегда. Наши данные демонстрируют важность включения в алгоритм дифференциальной диагностики исследования кальция крови всем детям с судорожным синдромом. Своевременная диагностика и адекватное лечение позволят предупредить развитие осложнений гипокальциемии. Нормализация концентрации кальция в крови при ПГП достигается назначением активных форм витамина D.
Кости являются одной из основных точек приложения действия ПТГ. В отсутствие резорбирующего эффекта витамина D и ПТГ минерализация костей при ПГП Iа не только не нарушается, а напротив, повышается [7]. В то же время описано немало случаев субпериостальной резорбции и паратиреоидной остеодистрофии у пациентов с различными вариантами ПГП, обусловленных, по-видимому, частично сохранной чувствительностью к ПТГ [8—11]. В нашей группе снижение минеральной плотности костей было выявлено лишь у одного пациента.
Из всех проявлений НОО в первую очередь внимание врача могут привлечь ожирение, брахидактилия, подкожные кальцинаты, низкорослость. Одной из особенных черт ожирения при ПГП, характерных для моногенных форм в целом, является ранний срок возникновения и прогрессирующий характер. Среди наших пациентов ожирение начиналось, как правило, с ранних лет. Точно указать возраст затруднительно, но на прогрессирующий набор массы тела обращать внимание начинали с 2—5 лет, у одной девочки выраженный избыток массы тела отмечался с первых месяцев жизни. При ПГП отмечается резко сниженный расход энергии покоя, что обусловливает тенденцию к набору массы тела даже при отсутствии избыточной калорийности питания и гиперфагии. Регуляция энергетического гомеостаза осуществляется через меланокортиновые рецепторы 4-го типа, действие которых также опосредуется активацией Gas. Развитие ожирения при ПГП может быть объяснено резистентностью этих рецепторов [12]. Специфических методов лечения ожирения при ПГП не существует; рекомендовано ограничение суточного калоража питания, регулярные физические нагрузки.
Среди наших пациентов брахидактилия встречалась у 16 пациентов в различной комбинации с другими проявлениями НОО. Брахидактилия при ПГП формируется за счет укорочения, как правило, IV и V пястных и плюсневых костей. Удостовериться в том, что укорочение пальцев происходит из-за недоразвития именно пястных костей помогает простой способ: при сжатии руки в кулак очевидно отсутствие IV, V пястно-фаланговых суставов (рис. 10; рис 11, см. на цв. вклейке, дополнительный материал на сайте журнала). Gas играет важную роль в процессах роста костей (препятствует дифференцировке хондроцитов и преждевременному закрытию зон роста), и отражением ослабления ее активности является укорочение пястных и плюсневых костей, преждевременное закрытие эпифизов и как следствие — низкорослость [13, 14].
Рис. 10. Укорочение IV, V пястных костей, выраженное больше справа.
Еще один характерный признак НОО — подкожные кальцинаты. Gas предупреждает развитие эктопической кальцификации, регулируя дифференцировку остеобластов [14]. Снижение экспрессии Gas в жировой ткани приводит к перерождению стволовых клеток, локализованных в жировой ткани, в остеобласты с последующим образованием кальцинатов [15]. Они представляют собой различные по размерам и распространенности образования — от мелких (которые проще пропальпировать, чем увидеть) до крупных, способных вызывать болезненные ощущения. В нашей группе пациентов подкожные кальцинаты отмечались у 9 детей. У одного из них кальцинаты образовали единый подкожный конгломерат в области поясничного отдела позвоночника, ограничивающий подвижность, но безболезненный. У другого пациента (клинический случай №4) отмечалось глубокое расположение кальцинатов — по ходу мышечной фасции. Пациентам с подкожными кальцинатами не рекомендуется хирургическое удаление, так как оперативное вмешательство может спровоцировать появление новых образований.
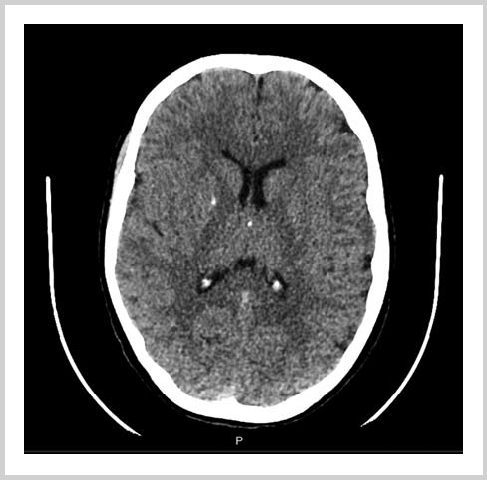
Помимо подкожных кальцинатов, при ПГП могут встречаться кальцинаты в ткани головного мозга (синдром Фара) (рис. 12) и в хрусталике (катаракта). Это не является характерным признаком именно ПГП, а лишь осложнением гипокальциемии и гиперфосфатемии и встречается при других болезнях, сопровождающихся низким содержанием кальция в крови и высоким содержанием фосфора (гипопаратиреоз, хроническая почечная недостаточность). Интересно, что среди наших пациентов осложнения, отражающие, как считается, большую длительность нарушений кальций-фосфорного обмена, в 60% случаев были выявлены при первичном обследовании, проведенном при манифестации проявлений гипокальциемии (первый эпизод судорог и/или синкопального состояния); самому младшему пациенту было 4,7 года. Это может объясняться тем, что возраст начала клинических проявлений гипокальциемии не совпадает с началом выявления снижения концентрации кальция в крови и повышением содержания фосфора. Обращает на себя внимание и разница в концентрации кальция в крови у 8 пациентов с синдромом Фара и длительностью гипокальцемических судорог менее 1 года 0,6 (0,56; 0,66 ммоль/л и у 5 пациентов, страдавших от судорожного эпизода более 1 года прежде чем была выявлена гипокальциемия — 0,77 (0,67; 0,8 ммоль/л). Однако утверждать статистическую значимость такой разницы преждевременно из-за недостаточного размера выборки. Вопрос о длительности некупируемых изменений концентрации кальция и фосфора, достаточной для развития осложнений, остается открытым. Следует подчеркнуть, что кальцинаты головного мозга — самые частые осложнения гипокальцемии, и в нашем исследовании все случаи катаракты и гипоплазии эмали сопровождались синдромом Фара.
Рис. 12. Синдром Фара — кальцинаты в ткани головного мозга.
Распространенным, но неспецифичным признаком НОО, является умственная отсталость, тяжесть которой варьирует от тяжелой олигофрении до сохранной способности к обучению. У 8 наших пациентов с ПГП Ia наблюдалась умственная отсталость разной степени. Признаки сниженного интеллекта проявляются, как правило, с первых лет жизни, однако так происходит не всегда. У одной пациентки снижение умственных способностей стало прогрессировать с 7 лет; до этого времени в развитии она не отставала. Не следует исключать другие возможные причины задержки развития (тяжелые поражения ЦНС в неонатальном периоде, ДЦП и т.д.).
Если при ПГП Ia встречаются проявления НОО, то ПГП Ib также имеет свои клинические особенности: более высокие показатели физического развития при рождении, особенно в случае с наследственными формами ПГП Ib, обусловенными делециями STX6 [15]. Среди наших пациентов с предполагаемым ПГП Ib и доступными данными о росте и массе тела при рождении SDS имт при рождении был значимо выше, чем у пациентов с ПГП Ia. Медиана SDS роста была выше средних популяционных данных без статистически значимой разницы в показателях между пациентами с ПГП Ib и Ia, что согласуется с данными других исследований [15].
Помимо нарушений кальций-фосфорного обмена и клинических проявлений НОО при ПГП может отмечаться резистентность к другим гормонам. С Gas связаны рецепторы к ТТГ, ЛГ и ФСГ, ГР-РГ и другие. Однако только в проксимальных почечных канальцах, щитовидной железе, соматотрофах гипофиза и гонадах Gas синтезируется за счет экспрессии GNAS только с материнского аллеля, так что при инактивирующих мутациях гена GNAS в этих тканях следует ожидать более выраженного дефицита Gas, влекущего за собой нарушение чувствительности к гормонам.
Резистентность к ГР-РГ и гипергонадотропный гипогонадизм возможен при ПГП Ia, тем не менее, по данным литературы, эти проявления встречаются редко. В 2013 г. E. Fernández-Rebollo и соавт. [16] опубликовали первые данные клинико-генетического исследования большой группы пациентов с различными вариантами ПГП: из 63 пациентов (из них 29 с ПГП Ia) гипогонадизм не был выявлен ни у одного, однако 15 пациентов на момент обследования находились в допубертатном возрасте. Из 32 наших пациентов гипергонадотропный гипогонадизм был диагностирован лишь у одной девочки. Следует отметить, что 12 пациентов на момент публикации данных были моложе 14 лет, из них 3 пациента с ПГП Ia, у которых нельзя исключить возможность развития резистентности к гонадотропным гормонам.
Низкорослость при ПГП Ia не всегда обусловлена резистентностью к ГР-РГ. В нашей группе пациентов среди детей даже с выраженной задержкой роста ИФР1 был в пределах нормы, оснований для подозрения СТГ-дефицита не было. Развитие низкорослости при отсутствии СТГ-дефицита у детей с ПГП обусловлено преждевременным закрытием эпифизов, вследствие нарушения механизма сигнальной трансдукции в хондроцитах [13, 14]. Подобная тенденция к опережению костного возраста отмечена у двух наших пациентов с ПГП Ia (опережение костного возрста на 2 года). При этом девочки находятся в допубертатном периоде и преждевременное половое развитие было исключено.
Всем детям с задержкой роста на фоне ПГП следует определять содержание ИФР-I и при необходимости проводить СТГ-стимуляционные пробы. В случае установленного СТГ-дефицита необходимо проводить ростостимулирующую терапию гормоном роста. Как было показано в исследовании G. Mantovani и соавт. [17], начало ростостимулирующей терапии в допубертатном периоде улучшает ростовой прогноз у детей с СТГ-дефицитом на фоне ПГП Iа.
Наиболее распространенным признаком мультигормональной резистентности, наблюдаемой при ПГП, является гипотиреоз. ТТГ-резистентность (субклинический или клинический неаутоиммунный гипотиреоз), отмечавшийся у 22 наших пациентов, встречается как в сочетании с другими проявлениями НОО, так и в отсутствие каких-либо фенотипических особенностей.
На результатах исследования могло сказаться ограниченное число пациентов. Количество случаев ПГП в РФ возможно гораздо больше. Варианты ПГП Ib в отсутствие признаков НОО остаются нераспознанными. Тем не менее, учитывая редкость заболевания, результаты анализа 32 пациентов являются ценными с клинической и научной точки зрения. Мультисистемный характер заболевания обусловливает соответствующий подход к ведению и лечению пациентов с ПГП. Необходимы компенсация нарушений фосфорно-кальциевого обмена с поддержанием концентрации ПТГ в пределах нормы; заместительная гормональная терапия в случае имеющейся резистентности к другим гормонам (гипотиреоз, гипогонадизм, СТГ-дефицит); контроль состояния почек, учитывая редкое, но возможное осложнение — нефрокальциноз; коррекция пищевого поведения и физической активности детям с ожирением; адекватная психосоциальная адаптация при наличии умственной отсталости.
Выводы
- ПГП чаще всего (72% случаев) манифестирует судорожным синдромом (тонические судороги мышц кистей, стоп, икроножных мышц, реже наблюдается ларингоспазм), редко потерей сознания на фоне синдрома удлиненного QT без судорог. В 25% случаев ПГП устанавливается при обследовании по поводу ожирения. ПГП диагностируется через 2 мес — 7 лет после начала клинических проявлений. Отсроченная диагностика может быть связана с ошибочной оценкой судорожного синдрома как проявления эпилепсии.
- Наиболее частыми фенотипическими проявлениями ПГП являются брахидактилия (50%), подкожные кальцификаты (31%), ожирение (25%), умственная отсталость (25%), низкорослость (16%). Частым проявлением мультигормональной резистентности при ПГП является сочетание нечувствительности к паратгормону и ТТГ (69%). Пациенты с ПГП Ib отличаются более высокими показателями массы тела при рождении, чем пациенты с ПГП Ia.
ДОПОЛНИТЕЛЬНАЯ ИНФОРМАЦИЯ.
Источник финансирования. Исследование является частью диссертационной работы, выполняемой при финансовой поддержке фонда «КАФ».
Конфликт интересов. Авторы декларируют отсутствие явных и потенциальных конфликтов интересов, связанных с публикацией настоящей статьи. Получено письменное согласие законных представителей пациентов на публикацию медицинской информации.
Участие авторов: концепция и дизайн исследования — Н.В. Маказан, Е.М. Орлова, М.А. Карева, В.А. Петеркова; предоставление материалов исследования — Н.В. Маказан, Е.М. Орлова, Е.В. Тозлиян, М.А. Меликян, М.А. Карева, Н.Ю. Калинченко; сбор и обработка материалов — Н.В. Маказан; анализ полученных данных, написание текста — Н.В. Маказан; редакция текста, внесение ценных замечаний — Е.М. Орлова, Е.В. Тозлиян, Н.Ю. Калинченко, М.А. Карева, В.А. Петеркова.
Список литературы
1. Albbight F, Bubnett С, Smith P, Paeson W. Pseudohypoparathyroidism—an example of ‘Seabright-Bantam syndrome. Report of three cases. Endocrinology.1942;30:922-932.
2. Weinstein LS, Yu S, Warner DR, Liu J. Endocrine manifestations of stimulatory G protein alpha-subunit mutations and the role of genomic imprinting. Endocr Rev. 2001;22(5):675-705. doi: 10.1210/edrv.22.5.0439
3. Mantovani G. Clinical review: Pseudohypoparathyroidism: diagnosis and treatment. J Clin Endocrinol Metab. 2011;96(10):3020-3030. doi: 10.1210/jc.2011-1048
4. Elli FM, Linglart A, Garin I, et al. The Prevalence of GNAS Deficiency-Related Diseases in a Large Cohort of Patients Characterized by the EuroPHP Network. J Clin Endocrinol Metab. 2016;101(10):3657-3668. doi: 10.1210/jc.2015-4310
5. Thiele S, Mantovani G, Barlier A, et al. From pseudohypoparathyroidism to inactivating PTH/PTHrP signalling disorder (iPPSD), a novel classification proposed by the EuroPHP network. Eur J Endocrinol. 2016;175(6):1-17. doi: 10.1530/EJE-16-0107
6. Long DN, Levine MA, Germain-Lee EL. Bone mineral density in pseudohypoparathyroidism type 1a. J Clin Endocrinol Metab. 2010;95(9):4465-4475. doi: 10.1210/jc.2010-0498
7. Chen YJ, Shu SG, Chi CS. Pseudohypoparathyroidism: report of seven cases. Acta Paediatr Taiwan. 2005;46(6):374-380.
8. Cohen RD, Vince FP. Pseudohypoparathyroidism with raised plasma alkaline phosphatase. Arch Dis Child. 1969;44(233):96-101.
9. Eubanks PJ, Stabile BE. Osteitis fibrosa cystica with renal parathyroid hormone resistance: a review of pseudohypoparathyroidism with insight into calcium homeostasis. Arch Surg. 1998;133(6):673-676.
10. Murray TM, Rao LG, Wong MM, et al. Pseudohypoparathyroidism with osteitis fibrosa cystica: direct demonstration of skeletal responsiveness to parathyroid hormone in cells cultured from bone. J Bone Miner Res.1993;8(1):83-91. doi: 10.1002/jbmr.5650080111
11. Roizen JD, Danzig J, Groleau V, et al. Resting Energy Expenditure Is Decreased in Pseudohypoparathyroidism Type 1A. J Clin Endocrinol Metab. 2016;101(3):880-888. doi: 10.1210/jc.2015-3895
12. Chagin AS, Kronenberg HM. Role of G-proteins in the differentiation of epiphyseal chondrocytes. J Mol Endocrinol. 2014;53(2):R39-R45. doi: 10.1530/JME-14-0093
13. Sakamoto A, Chen M, Kobayashi T, et al. Chondrocyte-specific knockout of the G protein G(s)alpha leads to epiphyseal and growth plate abnormalities and ectopic chondrocyte formation. J Bone Miner Res. 2005;20(4):663-671. doi: 10.1359/JBMR.041210
14. Regard JB, Malhotra D, Gvozdenovic-Jeremic J, et al. Activation of Hedgehog signaling by loss of GNAS causes heterotopic ossification. Nat Med. 2013;19(11):1505-1512. doi: 10.1038/nm.3314
15. Brehin AC, Colson C, Maupetit-Mehouas S, et al. Loss of me thylation at GNAS exon A/B is associated with increased intrauterine growth. J Clin Endocrinol Metab. 2015;100(4):E623-E631. doi: 10.1210/jc.2014-4047
16. Fernandez-Rebollo E, Lecumberri B, Gaztambide S, et al. Endocrine profile and phenotype-(epi)genotype correlation in Spanish patients with pseudohypoparathyroidism. J Clin Endocrinol Metab. 2013;98(5):E996-1006. doi: 10.1210/jc.2012-4164
17. Mantovani G, Ferrante E, Giavoli C, et al. Recombinant human GH replacement therapy in children with pseudohypoparathyroidism type Ia: first study on the effect on growth. J Clin Endocrinol Metab. 2010;95(11):5011-5017. doi: 10.1210/jc.2010-1649
Об авторах
Надежда Викторовна МаказанФГБУ «Эндокринологический научный центр» Минздрава России
Россия
педиатр-эндокринолог, клинический аспирант Института детской эндокринологии
Елизавета Михайловна Орлова
ФГБУ «Эндокринологический научный центр» Минздрава России
Россия
педиатр-эндокринолог, к.м.н., ведущий научный сотрудник Института детской эндокринологии
Елена Васильевна Тозлиян
ФГБОУ ВО «Российский национальный исследовательский медицинский университет им. Н.И.Пирогова»
Россия
педиатр-эндокринолог, к.м.н., ведущий научный сотрудник «Научно-исследовательский клинический институт педиатрии им. акад. Ю.Е. Вельтищева»
Мария Арменаковна Меликян
ФГБУ «Эндокринологический научный центр» Минздрава России
Россия
педиатр-эндокринолог, к.м.н., ведущий научный сотрудник Института детской эндокринологии
Мария Андреевна Карева
ФГБУ «Эндокринологический научный центр» Минздрава России
Россия
педиатр-эндокринолог, к.м.н., ведущий научный сотрудник, заведующий детским отделением опухолей эндокринной системы Института детской эндокринологии
Наталья Юрьевна Калинченко
ФГБУ «Эндокринологический научный центр» Минздрава России
Россия
педиатр-эндокринолог, к.м.н., ведущий научный сотрудник отделения наследственных эндокринопатий
Валентина Александровна Петеркова
ФГБУ «Эндокринологический научный центр» Минздрава России
Россия
главный детский эндокринолог Минздрава России, член корреспондент РАН, д.м.н., профессор, директор Института детской эндокринологии
Дополнительные файлы
|
|
1. Рис. 1. Концентрация ПТГ (пг/мл) на момент первичного обследования. | |
| Тема | ||
| Тип | Исследовательские инструменты | |
Посмотреть
(32KB)
|
Метаданные ▾ | |
|
|
2. Рис. 2. Концентрация ионизированного кальция (ммоль/л) у пациентов на момент первичного обследования. | |
| Тема | ||
| Тип | Исследовательские инструменты | |
Посмотреть
(18KB)
|
Метаданные ▾ | |
|
|
3. Рис. 3. Концентрация фосфора в сыворотке крови (ммоль/л) на момент диагностики гипокальциемии. | |
| Тема | ||
| Тип | Исследовательские инструменты | |
Посмотреть
(32KB)
|
Метаданные ▾ | |
|
|
4. Рис. 4. Возраст дебюта судорожного синдрома и возраст диагностики гипокальциемии. | |
| Тема | ||
| Тип | Исследовательские инструменты | |
Посмотреть
(17KB)
|
Метаданные ▾ | |
|
|
5. Рис. 5. Частота фенотипических признаков наследственной остеодистрофии Олбрайта и мультигормональной резистентности у пациентов с ПГП. | |
| Тема | ||
| Тип | Исследовательские инструменты | |
Посмотреть
(31KB)
|
Метаданные ▾ | |
|
|
6. Рис. 6. Сравнение показателей SDS веса при рождении пациентов с ПГП Ib (0) и ПГП Ia т (1). | |
| Тема | ||
| Тип | Исследовательские инструменты | |
Посмотреть
(24KB)
|
Метаданные ▾ | |
|
|
7. Рис. 7. Сравнение показателей SDS роста при рождении пациентов с ПГП Ib (0) и ПГП Ia (1). | |
| Тема | ||
| Тип | Исследовательские инструменты | |
Посмотреть
(24KB)
|
Метаданные ▾ | |
|
|
8. Рис. 8. Характеристика осложнений гипокальциемии у пациентов с ПГП с указанием длительности некорригируемой гипокальциемии. | |
| Тема | ||
| Тип | Исследовательские инструменты | |
Посмотреть
(16KB)
|
Метаданные ▾ | |
|
|
9. Рис. 9. Кальцинаты по ходу фасций мышц бедра. | |
| Тема | ||
| Тип | Исследовательские инструменты | |
Посмотреть
(571KB)
|
Метаданные ▾ | |
|
|
10. Рис. 10. Укорочение IV, V пястных костей, выраженное больше справа. | |
| Тема | ||
| Тип | Исследовательские инструменты | |
Посмотреть
(156KB)
|
Метаданные ▾ | |
|
|
11. Рис. 12. Синдром Фара — кальцинаты в ткани головного мозга. | |
| Тема | ||
| Тип | Исследовательские инструменты | |
Посмотреть
(88KB)
|
Метаданные ▾ | |
|
|
12. Рис. 11. Пороки развития кистей при ПГП. а — внешний вид кистей с брахидактилией; б — отсутствие видимых IV, V фаланго-пяcтных суставов при сжатии кисти в кулак. | |
| Тема | ||
| Тип | Исследовательские инструменты | |
Посмотреть
(755KB)
|
Метаданные ▾ | |
Рецензия
Для цитирования:
Маказан Н.В., Орлова Е.М., Тозлиян Е.В., Меликян М.А., Карева М.А., Калинченко Н.Ю., Петеркова В.А. Клинический полиморфизм псевдогипопаратиреоза у детей. Проблемы Эндокринологии. 2017;63(3):148-161. https://doi.org/10.14341/probl2017633148-161
For citation:
Makazan N.V., Orlova E.M., Tozliyan E.V., Melikyan M.A., Kareva M.A., Kalinchenko N.Yu., Peterkova V.A. Variable phenotype of pseudohypoparathyroidism in children. Problems of Endocrinology. 2017;63(3):148-161. https://doi.org/10.14341/probl2017633148-161
Контент доступен под лицензией Creative Commons Attribution-NonCommercial-NoDerivatives 4.0 International License (CC BY-NC-ND 4.0).




































.jpg)

