Перейти к:
Фенотипы эндокринной офтальмопатии: клиническая манифестация и томографические характеристики
https://doi.org/10.14341/probl9618
Аннотация
Эндокринная офтальмопатия (ЭОП) имеет разнообразные клинические проявления, обусловленные вовлечением различных анатомических структур глаза в аутоиммунный процесс. Для выбора эффективного метода лечения ЭОП необходимо определить избирательность поражения тканей орбиты, что бывает затруднительным при использовании только клинических критериев. Обследованы 102 пациента с ЭОП и болезнью Грейвса. Всем пациентам выполнены стандартное офтальмологическое обследование и мультиспиральная компьютерная томография орбит. Проведено сопоставление клинических и томографических параметров, что позволило выделить 3 варианта течения ЭОП: липогенный, миогенный и классический. У пациентов с липогенным вариантом преобладал выраженный экзофтальм без нарушения функции экстраокулярных мышц и зрительных нарушений. У пациентов с миогенным вариантом преобладали глазодвигательные нарушения, диплопия, косоглазие, снижение зрения. У пациентов с классическим вариантом отмечался экзофтальм, периорбитальные отеки и глазодвигательные нарушения. Выделение самостоятельных клинических вариантов ЭОП с особенностями клинической симптоматики и разными томографическими характеристиками свидетельствует о разных патогенетических механизмах развития ЭОП и определяет персонализированные подходы к лечению.
Для цитирования:
Беловалова И.М., Свириденко Н.Ю., Бессмертная Е.Г., Чепурина А.С., Шеремета М.С., Михеенков А.А. Фенотипы эндокринной офтальмопатии: клиническая манифестация и томографические характеристики. Проблемы Эндокринологии. 2018;64(6):383-389. https://doi.org/10.14341/probl9618
For citation:
Belovalova I.M., Sviridenko N.Yu., Bessmertnaya E.G., Chepurina A.A., Sheremeta M.S., Mikheenkov A.A. Phenotypes of endocrine ophthalmopathy: clinical manifestation and tomographic characteristics. Problems of Endocrinology. 2018;64(6):383-389. https://doi.org/10.14341/probl9618
Симптомы эндокринной офтальмопатии (ЭОП) чрезвычайно разнообразны. Последовательность, частота возникновения, клиническая выраженность, индивидуальные проявления симптомов ЭОП определяются очередностью вовлечения анатомических структур глаза в аутоиммунный процесс. В настоящее время до конца не ясно, почему у некоторых пациентов наблюдается одна последовательность вовлечения тканей, а у других — иная. В литературе отсутствует четкое определение клинического симптомокомплекса ЭОП. Описываются разные симптомы, которые могут быть вызваны влиянием тиреотоксикоза на мышцы орбит и век или быть проявлениями собственно ЭОП. Основные симптомы ЭОП — экзофтальм, периорбитальные отеки и глазодвигательные нарушения могут быть обусловлены разными причинами, например, увеличением экстраокулярных мышц (ЭОМ) или увеличением объема только ретробульбарной клетчатки (РБК). Для выбора эффективного метода лечения ЭОП и прогнозирования его исходов необходимо разграничить формы заболевания, что бывает затруднительным при использовании только клинических критериев. С внедрением в практическую медицину радиологических методов исследования — компьютерной томографии (КТ) и мультиспиральной КТ (МСКТ) — у клиницистов появилась возможность оценивать состояние ЭОМ, РБК, зрительного нерва (ЗН), слезных желез и сосудов, как при выраженной симптоматике ЭОП, так и при субклинических формах заболевания. Исследование костной составляющей орбиты, ее размеров, конфигурации имеет большое значение при планировании хирургической декомпрессии, выборе техники оперативного вмешательства.
Описание случаев
Обследованы 102 пациента с ЭОП и болезнью Грейвса (БГ) (204 глаза/орбиты), из них 72 (70,6%) женщины и 30 (29,4%) мужчин. Средний возраст обследованных составил 48,4±12,2 года. Период наблюдения — от 6 до 12 мес.
Всем пациентам выполнено стандартное офтальмологическое обследование на базе отделения диабетической ретинопатии и офтальмохирургии ФГБУ «НМИЦ эндокринологии» Минздрава России. Диагноз ЭОП верифицировали соответственно рекомендациям EUGOGO [1]. Тяжесть ЭОП оценивалась по классификации NOSPECS [2], а активность — по шкале клинической активности CAS [3]. Из исследования были исключены пациенты с сопутствующей патологией глаз (глаукома, краевой кератит, язва роговицы).
Уровень тиреотропного гормона (ТТГ), свободного трийодтиронина (свТ3) и свободного тироксина (свТ4) определяли в лаборатории клинической биохимии НМИЦ эндокринологии методом усиленной хемилюминесценции на автоматическом анализаторе Architect («Аbbott Diagnostics», США). Референсные значения для базального ТТГ: 0,25—3,5 мЕд/л, свТ4: 9,0—20,0 пмоль/л, свТ3: 2,5—5,5 пмоль/л. УЗИ ЩЖ выполнено на ультразвуковом сканере Toshiba Aplio 790 датчиком переменной частотой 7,5—10 МГц с применением цветовой допплерографии.
МСКТ орбит проводилась в отделении рентгенодиагностики и компьютерной томографии НМИЦ эндокринологии на 320-срезовом аппарате Aquilion One («Toshiba», Япония) со сканированием в автоматическом режиме. Принимая во внимание возможность разной выраженности патологического процесса в обеих орбитах, каждую орбиту оценивали отдельно в 3 проекциях: аксиальной, корональной, сагиттальной. Определение минимальных и максимальных значений плотности ЭОМ и РБК проводили в корональной и аксиальной проекциях, отступив 1–2 мм от контуров мышцы [4, 5].
Результаты физикального, лабораторного и инструментального исследования
Мы проанализировали хронологическую связь между началом тиреотоксикоза при болезни Грейвса и началом ЭОП [6]. В 26,3% симптомы ЭОП возникали до появления функциональных нарушений щитовидной железы, в 18,4% — на фоне манифестации тиреотоксикоза, в 55,3% — после развития тирео токсикоза или в период эутиреоза после медикаментозной коррекции тиреотоксикоза (рис. 1). Таким образом, ЭОП может протекать на фоне клинического эутиреоза, нормальных уровней тиреоидных гормонов и ТТГ и при отсутствии болезни Грейвса в анамнезе.
Рис. 1. Хронологическая связь между манифестацией тиреотоксикоза при болезни Грейвса и появлением симптомов эндокринной офтальмопатии.
0 — одновременная манифестация тиреотоксикоза и эндокринной офтальмопатии; от –18 мес до 0 — манифестация эндокринной офтальмопатии до появления симптомов тиреотоксикоза; от 0 до 84 мес — манифестация эндокринной офтальмопатии после развития тиреотоксикоза.
Глазные симптомы, ассоциированные с тиреотоксикозом
Тиреотоксикоз сам по себе может приводить к нарушению двигательной функции мышц глаза, гладких мышц зрачка вследствие воздействия избытка тиреоидных гормонов на двигательные центры и/или проводящие пути центрального и периферического отделов нервной системы. Первоначально тиреотоксикоз вызывает гипертонус мышцы Мюллера, верхней прямой мышцы и леватора верхнего века [7]. В результате развивается ретракция верхнего века (рис. 2 на цв. вклейке, см. раздел Дополнительная информация). При этом возникает картина ложного экзофтальма. Именно с ретракцией верхнего века связано появление симптомов Грефе (отставание верхнего века от верхнего лимба), Дальримпля (расширение глазной щели с появлением белой полоски между верхним лимбом и краем верхнего века) и Штельвага (редкое мигание век в сочетании с расширением глазной щели).
Рис. 2. Глазные симптомы, ассоциированные с тиреотоксикозом: ретракция верхних век (а, б).
Другие глазные симптомы тиреотоксикоза встречаются в клинической практике реже: симптом Бостона (при взгляде вниз после начальной задержки верхнее веко опускается рывком), симптом Розенбаха (дрожание век при их закрывании) и симптом Жоффруа (отсутствие морщин на лбу при взгляде вверх).
Мы исследовали динамику 11 наиболее часто встречающихся глазных симптомов (Грефе, Кохера (отставание верхнего века от верхнего лимба при взгляде вверх), Краусса (усиленный блеск глаз), Дальримпля, Мебиуса (потеря способности фиксировать взгляд на близком расстоянии — слабость ЭОМ, слабость конвергенции), Штельвага, Розенбаха, Бостона, Зенгера (мягкая, подушкообразная припухлость век), Жоффруа и Еллинека (пигментация кожи вокруг глаз) после хирургического лечения болезни Грейвса (рис. 3).
Рис. 3. Частота выявления 11 глазных симптомов у пациентов с болезнью Грейвса после хирургического лечения
К 6-му месяцу наблюдения на фоне медикаментозного эутиреоза отмечено уменьшение частоты 7 из 11 глазных симптомов. Особенно показательна динамика симптомов Розенбаха, Бостона, Краусса, Грефе, Кохера, Жоффруа. Частота симптома Мебиуса во все сроки наблюдения не менялась, что связано с нарушением конвергенции и слабостью аккомодации одновременно. Симптомы Зенгера и Дальримпля сохранялись примерно у 25% пациентов к 12-му месяцу наблюдения, несмотря на достигнутый медикаментозный эутиреоз. Симптом Дальримпля обусловлен ретракцией верхнего века. По мере компенсации тиреотоксикоза величина ретракции верхнего века обычно значительно сокращается. Однако, если тиреотоксикоз длительно не лечить, гипертонус леватора верхнего века становится постоянным, что приводит к формированию необратимой контрактуры. В отличие от ретракции верхнего века, степень ретракции нижнего века коррелирует с выраженностью экзофтальма. Особенностью ЭОП является увеличение размеров глазной щели в ее наружной трети.
Клинико-томографические сопоставления при эндокринной офтальмопатии
Увеличение ЭОМ и (или) РБК может приводить к возникновению экзофтальма (проптоза). Установить причину экзофтальма можно с помощью визуализирующих методов исследования [9]. Вовлечение в процесс ЭОМ обнаруживается при МСКТ у большинства пациентов. Увеличение объема РБК при нормальных размерах мышц или их незначительном увеличении наблюдается значительно реже. По нашим данным, увеличение РБК без увеличения ЭОМ, так называемый «липогенный» вариант ЭОП, наблюдается у 20% пациентов с ЭОП, увеличение ЭОМ без увеличения РБК («миогенный» вариант) у 11%. В остальных 69% случаев ЭОП имела типичный характер с вовлечением в процесс как ЭОМ, так и РБК.
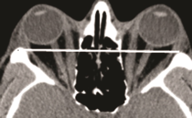
Основной характеристикой «липогенного» варианта является отсутствие увеличения ЭОМ при выраженной пролиферации РБК. Липогенный вариант протекает более доброкачественно [10]. Несмотря на выраженный проптоз и периорбитальные отеки, движения ЭОМ сохраняются в полном объеме. У больных с липогенным вариантом редко наблюдаются оптическая нейропатия (ОН), изменение глазного дна, ухудшение остроты зрения и цветового зрения, так как отсутствует компрессия ЗН в области вершины орбиты. Липогенный вариант подтверждается различными методами визуализации, которые не выявляют или выявляют очень умеренное утолщение ЭОМ (рис. 4 на цв. вклейке, см. раздел Дополнительная информация). При исследовании рентгеновской плотности ЭОМ выявляются гиподенсные участки, которые приближаются по плотности к жировой ткани (от 0 до –36 HU).
Рис. 4. Липогенный вариант эндокринной офтальмопатии. а — фотография пациента с выраженным экзофтальмом
Рис. 4. Липогенный вариант эндокринной офтальмопатии. б — МСКТ орбит, аксиальная проекция (глазные яблоки расположены выше межскуловой линии – белая линия).
Основной характеристикой «миогенного» варианта является изолированное поражение ЭОМ, без увеличения в объеме РБК. У таких больных наблюдается нарушение функции ЭОМ с развитием диплопии, косоглазия, расстройством бинокулярного зрения, но без выраженного экзофтальма [11]. Фиброз развивается быстро, через 3–4 мес после первых клинических проявлений, что дополнительно ограничивает подвижность ЭОМ за счет образования спаек и развития контрактуры. У больных с миогенной формой практически отсутствует поражение роговицы. Эта форма ЭОП тяжело поддается лечению, а уже развившиеся диплопия и косоглазие не имеют обратного развития (рис. 5 на цв. вклейке, см. раздел Дополнительная информация). При исследовании рентгеновской плотности ЭОМ выявляются гиперденсные участки с повышением плотности (+50 — +98 HU).
Рис. 5. Клинические проявления ЭОП с избирательным вовлечением ЭОМ. Выраженная асимметрия положения глазных яблок в орбитах. а — паралитическое косоглазие, преимущественно вертикального типа
Рис. 5. Клинические проявления ЭОП с избирательным вовлечением ЭОМ. Выраженная асимметрия положения глазных яблок в орбитах. б — МСКТ, корональная проекция OS — увеличение нижней прямой и наружной прямой мышц.
Наиболее часто в процесс при ЭОП вовлекаются как ЭОМ, так и РБК (рис. 6 на цв. вклейке, см. раздел Дополнительная информация). У пациентов наблюдаются классические симптомы воспаления: белый или красный хемоз— отек конъюнктивы. Развитие этого симптома означает вовлечение в процесс слизистой оболочки глаза. Визуально отмечается утолщение конъюнктивы, которая слегка приподнимается над склерой. Увеличение ширины глазной щели приводит к увеличению испарения слезы, что вместе с нарушением процесса моргания вызывает развитие точечных поверхностных эрозий и симптомов раздражения поверхности глаза.
Рис. 6. Клинические проявления ЭОП с вовлечением ЭОМ и РБК. а — фотография
Рис. 6. Клинические проявления ЭОП с вовлечением ЭОМ и РБК. б — МСКТ, аксиальная проекция: компрессия зрительного нерва (белые стрелки) у пациентки с тяжелой формой ЭОП, осложнившейся оптической нейропатией.
Следующим ранним проявлением ЭОП являются периорбитальные отеки. Отек век приводит к формированию мешков над и под глазами. На стадии выраженной клинической симптоматики отек век сопровождается гиперемией кожи или даже некоторой синюшностью (из-за венозного стаза).
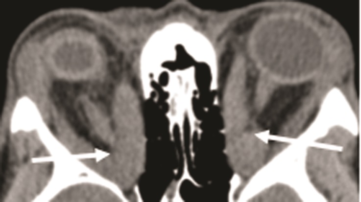
По нашим данным, у пациентов с отечным экзофтальмом в 33% случаев в процесс вовлекается слезная железа. Она увеличивается в объеме и может смещаться к наружному краю верхней орбитальной стенки, вызывая асимметрию положения век. При этом в области верхнего века может пальпироваться опухолевидное образование. Вовлечение в патологический процесс слезной железы сопровождается усилением слезопродукции и появлением слезотечения. По мере увеличения проптоза и ширины глазной щели компенсаторные возможности слезной железы истощаются и развивается синдром «сухого» глаза [12]. Томографические исследования установили вовлечение слезной железы в аутоиммунное воспаление в 38% случаев. У этих пациентов присутствовали признаки дакриоаденита. Таким образом, слезную железу, наряду с РБК и ЭОМ, можно считать органом-мишенью аутоагрессии. Вовлечение слезной железы в аутоиммунный процесс сопровождалось достоверным увеличением длины и ширины орбитальной части глаза (рис. 7).
Рис. 7. МСКТ, корональная проекция: визуализируются увеличенные слезные железы (белые стрелки)
Вовлечение в аутоиммунный процесс ЭОМ сопровождается девиацией глазного яблока с отклонением от зрительной оси. Клинически это проявляется косоглазием, отсутствием слаженной координации движений глазных яблок, недостаточностью конвергенции и ослаблением аккомодации, т.е. развитием глазодвигательных нарушений и возникновением диплопии. Попытки приспособиться к диплопии приводят к формированию вынужденного положения головы.
Увеличение объема ЭОМ в области их брюшка и в зоне Циннова кольца у вершины орбиты приводит к компрессии ЗН, нарушению кровотока и повышению внутриглазного давления. К томографическим признакам ОН относится и синдром «апикального сгущения» (рис. 8 на цв. вклейке, см. раздел Дополнительная информация). Этот синдром при ОН выявлялся значимо чаще, чем натяжение ЗН: соответственно в 62 и в 47% случаев. Синдром «апикального сгущения» определяется как исчезновение периневральной жировой ткани в задней части глазницы. Сочетание апикального сгущения с признаками выпячивания жировой ткани через верхнюю глазничную щель считается надежным диагностическим критерием ОН, специфичность которого достигает 91%, а чувствительность — 94%. При компьютерной периметрии выявляются центральные и парацентральные скотомы с последующим выпадением полей зрения.
Рис. 8. Клинические проявления эндокринной офтальмопатии с оптической нейропатией. а — фотография пациента с ЭОП и оптической нейропатией
Рис. 8. Клинические проявления эндокринной офтальмопатии с оптической нейропатией. б — МСКТ орбит, корональная проекция — сдавление зрительного нерва (белые стрелки) у вершины орбиты увеличенными в объеме ЭОМ.
Вовлечение в процесс роговицы приводит к снижению ее прозрачности и остроты зрения вследствие развития стойких помутнений: от небольших полупрозрачных инфильтратов (облачко) до грубых рубцов — бельмо. Наиболее тяжелая кератопатия развивается при сочетании экзофтальма с ретракцией верхнего века и лагофтальмом (несмыканием глазной щели) (рис. 9 на цв. вклейке, см. раздел Дополнительная информация).
Рис. 9. Выраженный двусторонний лагофтальм. а — несмыкание век во время сна
Рис. 9. Выраженный двусторонний лагофтальм. б — компрессия зрительного нерва (белые стрелки) у пациентки с тяжелой формой ЭОП, осложнившейся оптической нейропатией и выраженным экзофтальмом.
Обсуждение
Клинические симптомы ЭОП чрезвычайно разнообразны. Они могут быть вызваны как влиянием тирео токсикоза на мышцы глаза и век, так и аутоиммунным процессам в тканях орбиты. Последовательность вовлечения тканей орбиты в аутоиммунный процесс определяет клинический симптомокомплекс ЭОП. Основными проявлениями ЭОП являются: экзофтальм, периорбитальные отеки и глазодвигательные нарушения. Развитие экзофтальма связано с анатомическими особенности орбиты. Орбита представляет собой пространство, ограниченное костными стенками. Любое увеличение объема орбитальных структур приводит вначале к выпячиванию глаза кпереди. Нарастание экзофтальма сопровождается линейным натяжением ЭОМ с ограничением их подвижности и ЗН с последующим развитием оптической нейропатии (ОН). Именно по этой причине врачи должны проявлять особую настороженность в отношении риска развития ОН у пациентов с ограничением мышечной подвижности и выраженным экзофтальмом. В результате компрессии ЗН увеличенными ЭОМ возникают вторичные функциональные нарушения зрительного анализатора: изменения центрального и периферического зрения, цветового зрения, эфферентных зрачковых рефлексов [8]. При офтальмоскопии выявляются признаки компрессии ЗН (отек соска ЗН, гиперемия, увеличение его размеров и выстояние).
Одинаковые внешние клинические проявления ЭОП (экзофтальм, отеки век, глазодвигательные нарушения, снижение зрения) могут быть обусловлены разными причинами. Томографическая визуализация орбит в каждом конкретном случае позволяет определить вовлеченные в аутоиммунный процесс ткани. Анализ клинических и томографических параметров позволил выделить 3 варианта течения ЭОП: классический, липогенный, миогенный. Для классического варианта характерно вовлечение в ауто иммунный процесс ЭОМ и РБК, осложнением которого может быть сдавление ЗН в области вершины орбиты резко увеличенными ЭОМ и развитие ОН. У пациентов с липогенным вариантом в процесс вовлекается РБК. Пролиферация РБК приводит к выраженному экзофтальму и натяжению ЗН, но ОН развивается редко, так как сдавления ЗН в области вершины орбиты не происходит.
При миогенном варианте наблюдается изолированное увеличение ЭОМ. Значительное увеличение ЭОМ в области вершины орбиты также приводит к компрессии ЗН, развитию ОН и при несвоевременном лечении — к полной утрате зрения. Раннее развитие фиброза обусловливает быстрое развитие косоглазия, диплопии, ограничения подвижности глазных яблок.
Заключение
Выделение самостоятельных клинических вариантов ЭОП (липогенного и миогенного) с особенностями клинической симптоматики и разными томографическими характеристиками может свидетельствовать о разных патогенетических механизмах развития ЭОП и определять персонализированные подходы к лечению.
Дополнительная информация
Источник финансирования. Данная работа выполнена при финансовой поддержке Российского научного фонда (грант РНФ №17-75-30035).
Конфликт интересов. Авторы декларируют отсутствие явных и потенциальных конфликтов интересов, связанных с публикацией настоящей статьи.
Участие авторов: Все авторы внесли существенный вклад в проведение поисково-аналитической работы и подготовку статьи, прочли и одобрили финальную версию перед публикацией.
Согласие пациентов. Пациенты добровольно подписали информированное согласие на публикацию персональной медицинской информации в журнале «Проблемы эндокринологии» в обезличенной форме.
Список литературы
1. Wiersinga WM, Perros P, et al. Clinical assessment of patients with graves’ orbitopathy: the European Group on graves’ orbitopathy recommendations to generalists, specialists and clinical researchers. Eur J Endocrinol. 2006;155(3):387-389. doi: https://doi.org/10.1530/eje.1.02230
2. Werner SC. Modification of the classification of the eye changes of graves’ disease. Am J Ophthalmol. 1977;83(5):725-727. doi: https://doi.org/10.1016/0002-9394(77)90140-4
3. Mourits MP, Koornneef L, Wiersinga WM, et al. Clinical criteria for the assessment of disease activity in graves’ ophthalmopathy: a novel approach. Br J Ophthalmol. 1989;73(8):639-644. doi: https://doi.org/10.1136/bjo.73.8.639
4. Чепурина А.А., Свириденко Н.Ю., Ремизов О.В., Беловалова И.М. Визуализирующие методы исследования в диагностике эндокринной офтальмопатии. // Медицинская визуализация. — 2012. — № 1. — C. 36-44. [Chepurina AA, Sviridenko NYu, Remizov OV, Belovalova IM. Imaging methods in the diagnosis of thyroid-associated orbitopathy. Medical Visualization. 2012;(1):36-44. (In Russ.)].
5. Naik MN, Tourani KL, Sekhar GC, Honavar SG. Interpretation of computed tomography imaging of the eye and orbit. A systematic approach. Indian J Ophthalmol. 2002;50(4):339-353.
6. Свириденко Н.Ю., Беловалова И.М., Шеремета М.С., и др. Компьютерная томография. В кн.: Болезнь Грейвса и Эндокринная Офтальмопатия. / Под ред. Дедова И.И., Мельниченко Г.А. — М. — 2012. — C. 73-88. [Sviridenko NYu, Belovalova IM, Sheremeta MS, et al. Komp’yuternaya Tomografiya. In: Dedov II, Melnichenko GA (Editors). Bolezn’ Greyvsa I Endokrinnaya Oftal’mopatiya. Moscow. 2012;73-88. (In Russ.)].
7. Бровкина А.Ф. Тиреотоксический Экзофтальм. В кн.: Эндокринная Офтальмопатия. — М.: ГЭОТАР-Медиа, 2008. — С. 68-70. [Brovkina AF. Tireotoksicheskiy Ekzoftal’m. In: Endokrinnaya Oftal’mopatiya. Moscow: Geotar-Media, 2008;68-70. (In Russ.)].
8. Пантелеева О.Г. Современная концепция механизма развития нарушений зрительных функций при эндокринной офтальмопатии: Дис. … д-ра мед. наук. — М. 2007. [Panteleeva OG. Sovremennaya Kontseptsiya Mekhanizma Razvitiya Narusheniy Zritel’nykh Funktsiy Pri Endokrinnoy Oftal’mopatii. [Dissertation]. Moscow. 2007. (In Russ.)].
9. Bijlsma WR, Mourits MP. Radiologic measurement of extraocular muscle volumes in patients with graves’ orbitopathy: a review and guideline. Orbit. 2009;25(2):83-91. doi: https://doi.org/10.1080/01676830600675319
10. Бровкина А.Ф., Яценко О.Ю., Аубакирова А.С., Мослехи Ш. Липогенный вариант отечного экзофтальма (клиника, лечение). // Вестник Офтальмологии. — 2008. — Т. 124. — № 2. — C. 28-30. [Brovkina AF, Yatsenko OYu, Aubakirova AS, Moslekhi Sh. Lipogenic type of edematous exophthalmos: clinic picture, treatment. Annals of Ophthalmology. 2008;124(2):28-30. (In Russ.)].
11. Бровкина А.Ф., Жукова О.Д. Эндокринная миопатия — одна из клинических форм эндокринной офтальмопатии. // Практическая Медицина. — 2016. — Т. 1. — № 2. — C. 17-21. [Brovkina AF, Zhukova OD. Endocrine myopathy is one of the clinical forms of endocrine ophthalmopathy. Prakticheskaya Meditsina. 2016;1(2): 17-21. (In Russ.)].
12. George JL, Tercero ME, Angioï-Duprez K, Maalouf T. Risk of dry eye after mullerectomy via the posterior conjunctival approach for thyroid-related upper eyelid retraction. Orbit. 2009;21(1):19-25. doi: https://doi.org/10.1076/orbi.21.1.19.2602
Об авторах
Ирина Михайловна БеловаловаФГБУ «Национальный медицинский исследовательский центр эндокринологии» Минздрава России
Россия
к.м.н.
Наталья Юрьевна Свириденко
ФГБУ «Национальный медицинский исследовательский центр эндокринологии» Минздрава России
Россия
д.м.н., профессор
Елена Григорьевна Бессмертная
ФГБУ «Национальный медицинский исследовательский центр эндокринологии» Минздрава России
Россия
к.м.н.
Анна Сергеевна Чепурина
ФГБУ «Национальный медицинский исследовательский центр эндокринологии» Минздрава России
Россия
к.м.н.
Марина Сергеевна Шеремета
ФГБУ «Национальный медицинский исследовательский центр эндокринологии» Минздрава России
Россия
к.м.н.
Александр Александрович Михеенков
ФГБУ «Национальный медицинский исследовательский центр эндокринологии» Минздрава России
Россия
врач-эндокринолог
Дополнительные файлы
|
|
1. Рис. 1. Хронологическая связь между манифестацией тиреотоксикоза при болезни Грейвса и появлением симптомов эндокринной офтальмопатии. | |
| Тема | ||
| Тип | Исследовательские инструменты | |
Посмотреть
(81KB)
|
Метаданные ▾ | |
|
2. Рисунки к статье | |
| Тема | ||
| Тип | Прочее | |
Скачать
(2MB)
|
Метаданные ▾ | |
|
|
3. Рис. 2. Глазные симптомы, ассоциированные с тиреотоксикозом: ретракция верхних век (а, б). | |
| Тема | ||
| Тип | Прочее | |
Посмотреть
(695KB)
|
Метаданные ▾ | |
|
|
4. Рис. 3. Частота выявления 11 глазных симптомов у пациентов с болезнью Грейвса после хирургического лечения | |
| Тема | ||
| Тип | Прочее | |
Посмотреть
(167KB)
|
Метаданные ▾ | |
|
|
5. Рис. 4. Липогенный вариант эндокринной офтальмопатии. а — фотография пациента с выраженным экзофтальмом | |
| Тема | ||
| Тип | Прочее | |
Посмотреть
(666KB)
|
Метаданные ▾ | |
|
|
6. Рис. 4. Липогенный вариант эндокринной офтальмопатии. б — МСКТ орбит, аксиальная проекция (глазные яблоки расположены выше межскуловой линии – белая линия). | |
| Тема | ||
| Тип | Прочее | |
Посмотреть
(596KB)
|
Метаданные ▾ | |
|
|
7. Рис. 5. Клинические проявления ЭОП с избирательным вовлечением ЭОМ. Выраженная асимметрия положения глазных яблок в орбитах. а — паралитическое косоглазие, преимущественно вертикального типа | |
| Тема | ||
| Тип | Прочее | |
Посмотреть
(687KB)
|
Метаданные ▾ | |
|
|
8. Рис. 5. Клинические проявления ЭОП с избирательным вовлечением ЭОМ. Выраженная асимметрия положения глазных яблок в орбитах. б — МСКТ, корональная проекция OS — увеличение нижней прямой и наружной прямой мышц. | |
| Тема | ||
| Тип | Прочее | |
Посмотреть
(624KB)
|
Метаданные ▾ | |
|
|
9. Рис. 6. Клинические проявления ЭОП с вовлечением ЭОМ и РБК. а — фотография | |
| Тема | ||
| Тип | Прочее | |
Посмотреть
(652KB)
|
Метаданные ▾ | |
|
|
10. Рис. 6. Клинические проявления ЭОП с вовлечением ЭОМ и РБК. б — МСКТ, аксиальная проекция: компрессия зрительного нерва (белые стрелки) у пациентки с тяжелой формой ЭОП, осложнившейся оптической нейропатией. | |
| Тема | ||
| Тип | Прочее | |
Посмотреть
(601KB)
|
Метаданные ▾ | |
|
|
11. Рис. 7. МСКТ, корональная проекция: визуализируются увеличенные слезные железы (белые стрелки) | |
| Тема | ||
| Тип | Прочее | |
Посмотреть
(54KB)
|
Метаданные ▾ | |
|
|
12. Рис. 8. Клинические проявления эндокринной офтальмопатии с оптической нейропатией. а — фотография пациента с ЭОП и оптической нейропатией | |
| Тема | ||
| Тип | Прочее | |
Посмотреть
(650KB)
|
Метаданные ▾ | |
|
|
13. Рис. 8. Клинические проявления эндокринной офтальмопатии с оптической нейропатией. б — МСКТ орбит, корональная проекция — сдавление зрительного нерва (белые стрелки) у вершины орбиты увеличенными в объеме ЭОМ. | |
| Тема | ||
| Тип | Прочее | |
Посмотреть
(596KB)
|
Метаданные ▾ | |
|
|
14. Рис. 9. Выраженный двусторонний лагофтальм. а — несмыкание век во время сна | |
| Тема | ||
| Тип | Прочее | |
Посмотреть
(607KB)
|
Метаданные ▾ | |
|
|
15. Рис. 9. Выраженный двусторонний лагофтальм. б — компрессия зрительного нерва (белые стрелки) у пациентки с тяжелой формой ЭОП, осложнившейся оптической нейропатией и выраженным экзофтальмом. | |
| Тема | ||
| Тип | Прочее | |
Посмотреть
(595KB)
|
Метаданные ▾ | |
Рецензия
Для цитирования:
Беловалова И.М., Свириденко Н.Ю., Бессмертная Е.Г., Чепурина А.С., Шеремета М.С., Михеенков А.А. Фенотипы эндокринной офтальмопатии: клиническая манифестация и томографические характеристики. Проблемы Эндокринологии. 2018;64(6):383-389. https://doi.org/10.14341/probl9618
For citation:
Belovalova I.M., Sviridenko N.Yu., Bessmertnaya E.G., Chepurina A.A., Sheremeta M.S., Mikheenkov A.A. Phenotypes of endocrine ophthalmopathy: clinical manifestation and tomographic characteristics. Problems of Endocrinology. 2018;64(6):383-389. https://doi.org/10.14341/probl9618
Контент доступен под лицензией Creative Commons Attribution-NonCommercial-NoDerivatives 4.0 International License (CC BY-NC-ND 4.0).




































.jpg)

