Cushing’s syndrome due to bilateral oncocytic adrenal tumor
Abstract
Cushing’s syndrome accounts for approximately 20–30% of endogenous hypercortisolism cases, and adrenal involvement can be either unilateral or bilateral. Cushing’s syndrome due to bilateral adrenal tumors is extremely rare. Adrenal oncocytomas are another rare cause of endogenous hypercortisolism: about 13 cases are described in the literature. Oncocytomas are rare epithelial neoplasms, characterized by abnormally excessive accumulation of defective mitochondria in the cytoplasm of cells, and make up 1.8% of all adrenal neoplasms.
We describe a 58-year old patient with Cushing’s syndrome and bilateral adrenal tumors. Multispiral computed tomography of the adrenals showed signs suspicious of lipid-poor atypical adenomas or malignant tumors. Surgical treatment was the method of choice, and the larger tumor was excised first. Due to the absence of remission of endogenous hypercortisolism the excision of the second tumor was performed. Morphological and immunohistochemical examination confirmed the diagnosis of bilateral oncocytic adrenocortical tumors with uncertain malignant potential. Cases of bilateral hormone-producing adrenal oncocytomas have not been described in the literature.
About the Authors
Ekaterina I. KimRussian Federation
medical student
Elizaveta O. Mamedova
Russian Federation
MD
Liliya S. Selivanova
Russian Federation
MD, PhD
Svetlana A. Buryakina
Russian Federation
MD, PhD
Natalya P. Gorbunova
Russian Federation
MD
Nonna V. Latkina
Russian Federation
MD, PhD
Nikolay S. Kuznetsov
Russian Federation
MD, PhD, professor
Zhanna E. Belaya
Russian Federation
MD, PhD, Professor
References
1. Lacroix A, Feelders RA, Stratakis CA, Nieman LK. Cushing’s syndrome. Lancet. 2015;386(9996):913–927. doi: 10.1016/s0140-6736(14)61375-1.
2. Pędziwiatr M, Wierdak M, Ostachowski M, et al. Single center outcomes of laparoscopic transperitoneal lateral adrenalectomy – lessons learned after 500 cases: a retrospective cohort study. Int J Surg. 2015;20:88–94. doi: 10.1016/j.ijsu.2015.06.020.
3. Al Badi MK, Al-Alwan I, Al-Dubayee M, et al. Testosterone- and cortisol-secreting oncocytic adrenocortical adenoma in the pediatric age-group. Pediatr Dev Pathol. 2018;21(6):568−573. doi: 10.1177/1093526617753045.
4. Runderawala H, Shah S, Manked A. Adrenal oncocytoma − a rare functional tumor presenting as Cushing Syndrome. J Assoc Physicians India. 2017;65(12):100−101.
5. Kotoulová M, Mikysková I, Dušková J, et al. [Adrenocortical oncocytoma presenting as Cushing’s syndrome in pregnancy with spontaneous postpartum uterine rupture. (In Czech)]. Ceska Gynekol. 2016;81(3):228−232.
6. Tartaglia N, Cianci P, Altamura A, et al. A rare case of functioning adrenocortical oncocytoma presenting as Cushing syndrome. Case Rep Surg. 2016;2016:8964070. doi: 10.1155/2016/8964070.
7. Vicente DM, Rubio AR, Abarca PY, et al. Cushing’s syndrome associated with an adrenocortical oncocytoma. Endocrinol Nutr. 2015;62(8):416−418. doi: 10.1016/j.endonu.2015.04.002.
8. Pereira BD, Rios ES, Cabrera RA, et al. Adrenocortical oncocytoma presenting as Cushing’s syndrome: an additional report of a paediatric case. Endocr Pathol. 2014;25(4):397−403. doi: 10.1007/s12022-014-9325-8.
9. Lee SS, Baek KH, Lee YS, et al. Subclinical Cushing’s syndrome associated with an adrenocortical oncocytoma. J Endocrinol Invest. 2008;31(7):675−679. doi: 10.1007/BF03345624.
10. Geramizadeh B, Norouzzadeh B, Bolandparvaz S, Sefidbakht S. Functioning adrenocortical oncocytoma: a case report and review of literature. Indian J Pathol Microbiol. 2008;51(2):237−239. doi: 10.4103/0377-4929.41667.
11. Peynirci H, Taskıran B, Dik N, et al. Oncocytic neoplasms; rare adrenocortical tumours − a report of eleven patients. Endokrynol Pol. 2018;69(6):682−687. doi: 10.5603/EP.a2018.0066.
12. Liu W, Chen W, He X. An unusual cause of Cushing’s syndrome and virilization. Gastroenterology. 2015;149(4):e5−6. doi: 10.1053/j.gastro.2015.02.020.
13. Селиванова Л.С., Абдулхабирова Ф.М., Воронкова И.А., и др. Онкоцитарная адренокортикальная опухоль надпочечника // Архив патологии. — 2015. — Т.77. — №1. — С. 55−59. [Selivanova LS, Abdulkhabirova FM, Voronkova IA, et al. Оnkotsitarnaya adrenokortikal’naya opukhol’ nadpochechnika. Archive of Pathology. 2015;77(1):55−59. (In Russ).] doi: 10.17116/patol201577155.
14. Shastri C, Rana C, Kumari N, et al. Bilateral adrenocortical oncocytoma with bilateral myelolipomatous metaplasia. Endocr Pathol. 2012;23(2):112−114. doi: 10.1007/s12022-012-9198-7.
15. Correia M, Pinheiro P, Batista R, et al. Etiopathogenesis of oncocytomas. Semin Cancer Biol. 2017;47:82–94. doi: 10.1016/j.semcancer.2017.06.014.
16. Sav A, Scheithauer BW, Mazzola CA, et al. Oncocytic choroid plexus carcinoma: case report. Clin Neuropathol. 2010;29(1):14–20. doi: 10.5414/npp29014.
17. Chang A, Harawi SJ. Oncocytes, oncocytosis, and oncocytic tumors. Pathol Annu. 1992;27Pt 1:263–304.
18. Bisceglia M, Ludovico O, Di Mattia A, et al. Adrenocortical oncocytic tumors: report of 10 cases and review of the literature. Int J Surg Pathol. 2004;12(3):231–243. doi: 10.1177/106689690401200304.
19. Wong DD, Spagnolo DV, Bisceglia M, et al. Oncocytic adrenocortical neoplasms – a clinico-pathologic study of 13 new cases emphasizing the importance of their recognition. Hum Pathol. 2011;42(4):489−499. doi: 10.1016/j.humpath.2010.08.010.
20. Costanzo PR, Paissan AL, Knoblovits P. Functional plurihormonal adrenal oncocytoma: case report and literature review. Clinical Case Reports. 2017;6(1):37–44. doi: 10.1002/ccr3.1279.
21. Tahar GT, Nejib KN, Sadok SS. Adrenocortical oncocytoma: a case report and review of literature. J Ped Surg. 2008;43(5):E1−E3. doi: 10.1016/j.jpedsurg.2007.12.067.
22. Тарбаева Н.В., Бурякина С.А., Волеводз Н.Н., и др. Мультиспиральная компьютерная томография в эндокринологии / Под ред. И.И. Дедова. — М.: Видар-М, 2020. — 176 с. [Tarbaeva NV, Buryakina SA, Volevodz NN, et al. Mul’tispiral’naya komp’yuternaya tomografiya v endokrinologii. Ed by I.I. Dedov. Moscow: Vidar-M; 2020. 176 р. (In Russ).]
23. Fassnacht M, Arlt W, Bancos I, et al. Management of adrenal incidentalomas: European society of endocrinology clinical practice guideline in collaboration with the European network for the study of adrenal tumors. Eur J Endocrinol. 2016;175(2):G1–G34. doi: 10.1530/eje-16-0467.
24. Glazer DI, Mayo-Smith WW. Management of incidental adrenal masses: an update. Abdom Radiol. 2020;45(4):892−900. doi: 10.1007/s00261-019-02149-2.
25. De Leo A, Mosconi C, Zavatta G, et al. Radiologically defined lipid-poor adrenal adenomas: histopathological characteristics. J Endocrinol Invest. 2020. doi: 10.1007/s40618-020-01198-5.
26. Tirkes T, Gokaslan T, McCrea J, et al. Oncocytic neoplasms of the adrenal gland. AJR Am J Roentgenol. 2011;196(3):592−596. doi: 10.2214/AJR.10.5212.
27. Lau SK, Weiss LM. The Weiss system for evaluating adrenocortical neoplasms: 25 years later. Human Pathology. 2009;40(6):757–768. doi: 10.1016/j.humpath.2009.03.010.
28. Bisceglia M, Ben-Dor D, Pasquinelli G. Oncocytic adrenocortical tumors. Pathol Case Rev. 2005;10(5):228–242. https://doi.org/10.1097/01.pcr.0000175102.22075.54.
Supplementary files
|
1. pictures | |
| Subject | ||
| Type | Other | |
Download
(874KB)
|
Indexing metadata ▾ | |
|
2. tables | |
| Subject | ||
| Type | author.submit.suppFile.tableDataSet | |
Download
(31KB)
|
Indexing metadata ▾ | |
|
|
3. Figure 1. Multislice computed tomography of the left adrenal gland formation, axial projection: A - native phase; B - arterial phase; B - portal phase; D - delayed phase. | |
| Subject | ||
| Type | Other | |
View
(306KB)
|
Indexing metadata ▾ | |
|
|
4. Figure 2. Multislice computed tomography of the right adrenal gland formation, axial projection: A - native phase; B - arterial phase; B - portal phase; D - delayed phase. | |
| Subject | ||
| Type | Other | |
View
(291KB)
|
Indexing metadata ▾ | |
|
|
5. Figure 3. Multislice computed tomography of the formations of both adrenal glands, coronal projection: A - native phase; B - arterial phase; B - portal phase; D - delayed phase. Formation of the right adrenal gland (short arrow), left adrenal gland (long arrow). | |
| Subject | ||
| Type | Other | |
View
(390KB)
|
Indexing metadata ▾ | |
|
|
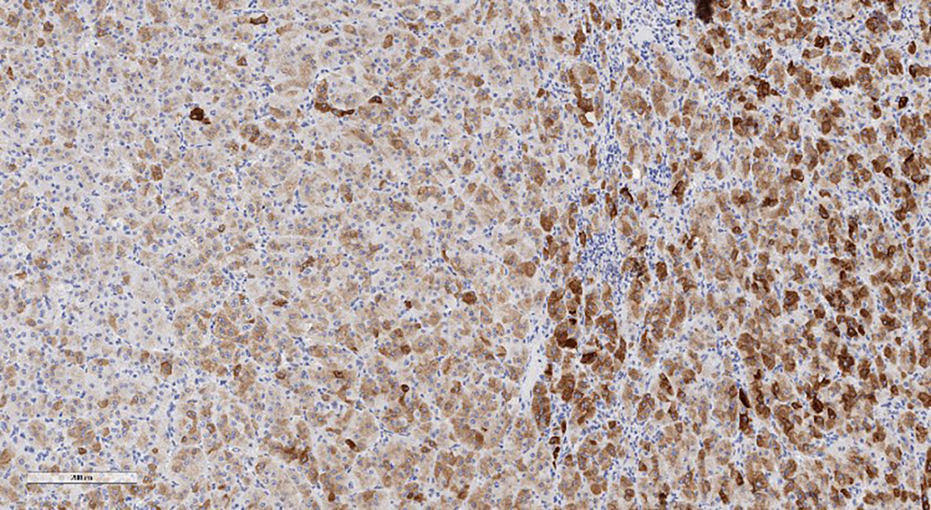
6. Figure 4. Expressed expression of antimitochondrial antibodies by tumor cells. Magnification × 100. | |
| Subject | ||
| Type | Other | |
View
(396KB)
|
Indexing metadata ▾ | |
|
|
7. Figure 5. Focal Melan A expression by tumor cells. Magnification × 100. | |
| Subject | ||
| Type | Other | |
View
(317KB)
|
Indexing metadata ▾ | |
|
|
8. Figure 6. Focal expression of Inhibin A by tumor cells. Magnification × 100. | |
| Subject | ||
| Type | Other | |
View
(336KB)
|
Indexing metadata ▾ | |
|
|
9. Figure 7. Microscopic picture of a removed tumor of the right adrenal gland. Staining with hematoxylin and eosin. Magnification × 100. | |
| Subject | ||
| Type | Other | |
View
(249KB)
|
Indexing metadata ▾ | |
Review
For citations:
Kim E.I., Mamedova E.O., Selivanova L.S., Buryakina S.A., Gorbunova N.P., Latkina N.V., Kuznetsov N.S., Belaya Zh.E. Cushing’s syndrome due to bilateral oncocytic adrenal tumor. Problems of Endocrinology. 2020;66(3):47-55. (In Russ.)




































.jpg)

